Здравствуйте, гость ( Вход | Регистрация )

Форум судебных медиков России
5 страниц V  1 2 3 > »   
>

легкие дышавшие или нет?

>
selti
сообщение 5.03.2014 - 19:30
Сообщение #1


Читатель

Группа: СМЭ
Регистрация: 26.11.2012
Пользователь №: 34 827


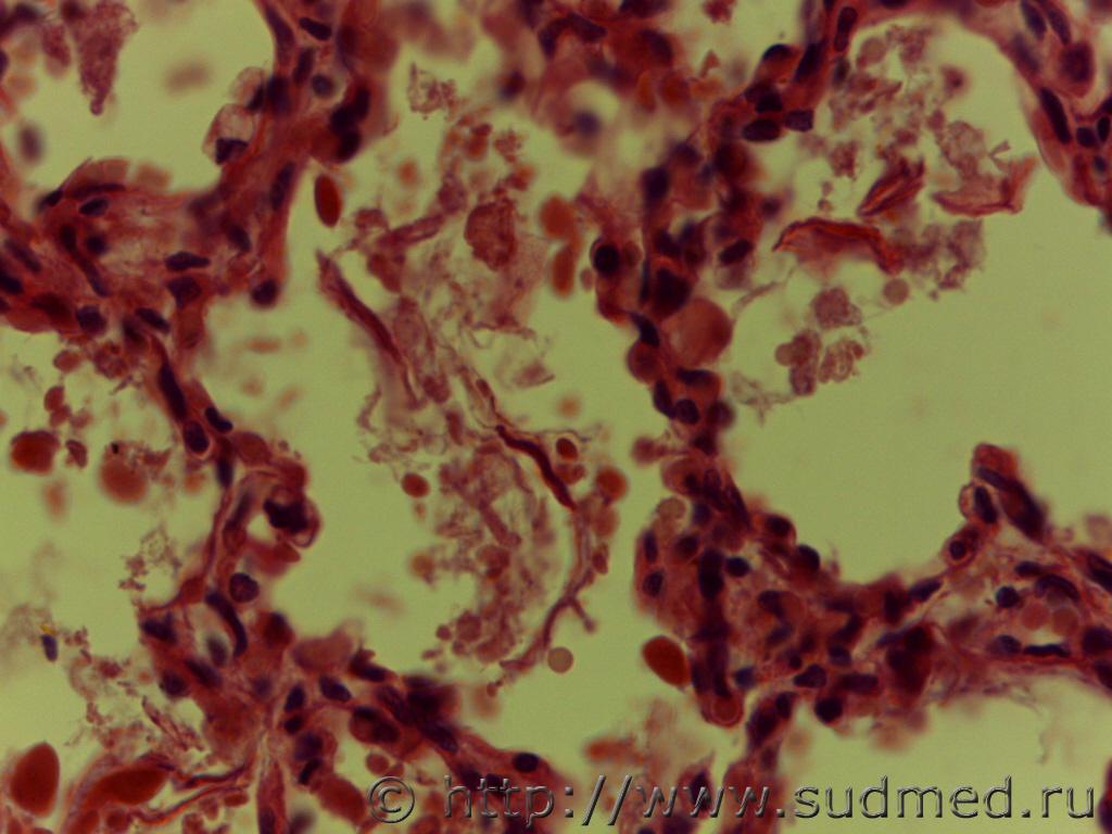
Здравствуйте, уважаемые эксперты! я начинающий гистолог, помогите разобраться с легкими - дышавшие или нет? Девушка 1986г.р. рожает первого ребенка, ребенок родился мертворожденным, беременность проходила хорошо, роды в срок, жалоба на врача, что во время схваток к ней долгое время никто не подходил. Танатолог берет 4 кусочка легких, в\д,ср\д левого легкого, ср\д, н\д правого легкого, легочные пробы - легкие в воде тонут. Со слов врачей ребенка пытались реанимировать, никаких записей это подтверждающих нет. То что там аспирация околоплодными водами очевидно, меня смущает полное расправление всех альвеол, даже эмфизема.
фото прилагаю

(6-е и 8-е фото окраска по Ван Гизону)

за ранее спасибо всем.


Сообщение отредактировал selti - 5.03.2014 - 19:34


Эскизы прикрепленных изображений
Судебная медицина - Прикрепленное изображение Судебная медицина - Прикрепленное изображение Судебная медицина - Прикрепленное изображение Судебная медицина - Прикрепленное изображение Судебная медицина - Прикрепленное изображение Судебная медицина - Прикрепленное изображение Судебная медицина - Прикрепленное изображение Судебная медицина - Прикрепленное изображение
Пользователь offline
К началу страницы
+Ответить с цитированием
Медик
сообщение 5.03.2014 - 21:04
Сообщение #2


Учитель
Group Icon
Группа: Модераторы
Регистрация: 16.05.2010
Пользователь №: 21 553


Цитата(selti @ 5.03.2014 - 20:30)
4 кусочка легких, в\д,ср\д левого легкого, ср\д, н\д правого легкого

Краевые отделы ?
Проба Бреслау ?

Сообщение отредактировал Медик - 5.03.2014 - 21:31
Пользователь offline
К началу страницы
+Ответить с цитированием
sbz
сообщение 5.03.2014 - 21:08
Сообщение #3


Магистр форума

Группа: СМЭ
Регистрация: 13.10.2005
Пользователь №: 858


Цитата(selti @ 5.03.2014 - 20:30)
Здравствуйте, уважаемые эксперты! я начинающий гистолог, помогите разобраться с легкими - дышавшие или нет? Девушка 1986г.р. рожает первого ребенка, ребенок родился мертворожденным, беременность проходила хорошо, роды в срок, жалоба на врача, что во время схваток к ней долгое время никто не подходил. Танатолог берет 4 кусочка легких, в\д,ср\д левого легкого, ср\д, н\д правого легкого, легочные пробы - легкие в воде тонут. Со слов врачей ребенка пытались реанимировать, никаких записей это подтверждающих нет. То что там аспирация околоплодными водами очевидно, меня смущает полное расправление всех альвеол, даже эмфизема.
фото прилагаю

(6-е и 8-е фото окраска по Ван Гизону)

за ранее спасибо всем.


путаница

жалоба на врача: не подходил

воздействие на гистолога: не судмед

а далее -увеличение микроскопа и абсурдность картинок в сопоставлении
с ув.
Пользователь offline
К началу страницы
+Ответить с цитированием
Толстый
сообщение 5.03.2014 - 21:35
Сообщение #4


Мастер ФСМ

Группа: Banned
Регистрация: 27.03.2006
Из: РФ, Урал
Пользователь №: 1 485


Ув. sbz.
Большая просьба: прежде чем нажать на кнопку "отправить", сами вслух читайте свои сообщения.
Они крайне сложны для восприятия. Вижу и понимаю, что вы очень опытный и грамотный эксперт.
Но сообщения, кхм, не совсем адекватно выглядят. Проявите уважение к читающим. Без обид. С уважением.
Пользователь offline
К началу страницы
+Ответить с цитированием
Медик
сообщение 5.03.2014 - 21:43
Сообщение #5


Учитель
Group Icon
Группа: Модераторы
Регистрация: 16.05.2010
Пользователь №: 21 553


1.Расправленные в результате самостоятельного дыхания терминальные дыхательные пути имеют чёткие очертания без признаков острой эмфиземы - такой картинки не вижу.
2.При искусственном дыхании расправляются некоторые альвеолы,но полного расправления лёгких не наблюдается.Характерным считается проникновение воздуха в верхние доли,в том числе и верхушки лёгких,по передненижним краевым зонам и по междолевым поверхностям.Главным признаком искусственной вентиляции лёгких является острая эмфизема с нарушением целости респираторной паренхимы.Эмфизематозные изменения имеют характер структурных нарушений в виде разрывов межальвеолярных перегородок с образованием эмфизематозных очагов,окружённых участками дистелектаза.
3.Мне представляется,что на фото лёгкие после искусственной вентиляции.
4.В меддокументации должны быть сведения о реанимационных мероприятиях.Посмотрите сами.

Сообщение отредактировал Медик - 5.03.2014 - 21:46
Пользователь offline
К началу страницы
+Ответить с цитированием
sbz
сообщение 5.03.2014 - 21:55
Сообщение #6


Магистр форума

Группа: СМЭ
Регистрация: 13.10.2005
Пользователь №: 858


Цитата(Медик @ 5.03.2014 - 22:43)
1.Расправленные в результате самостоятельного дыхания терминальные дыхательные пути имеют чёткие очертания без признаков острой эмфиземы - такой картинки не вижу.
2.При искусственном дыхании расправляются некоторые альвеолы,но полного расправления лёгких не наблюдается.Характерным считается проникновение воздуха в верхние доли,в том числе и верхушки лёгких,по передненижним краевым зонам и по междолевым поверхностям.Главным признаком искусственной вентиляции лёгких является острая эмфизема с нарушением целости респираторной паренхимы.Эмфизематозные изменения имеют характер структурных нарушений в виде разрывов межальвеолярных перегородок с образованием эмфизематозных очагов,окружённых участками дистелектаза.
3.Мне представляется,что на фото лёгкие после искусственной вентиляции.
4.В меддокументации должны быть сведения о реанимационных мероприятиях.Посмотрите сами.


ВЫ считаете все это - из одного биологического объекта? Когда будут с ув. представлены окуляр х объектив, тогда и признаю свою неряшливость и недоученность

с ув.

Сообщение отредактировал sbz - 5.03.2014 - 22:01
Пользователь offline
К началу страницы
+Ответить с цитированием
Медик
сообщение 5.03.2014 - 22:20
Сообщение #7


Учитель
Group Icon
Группа: Модераторы
Регистрация: 16.05.2010
Пользователь №: 21 553


Цитата(sbz @ 5.03.2014 - 22:55)
ВЫ считаете все это - из одного биологического объекта?

Да.Верю топикстартеру.
Пользователь offline
К началу страницы
+Ответить с цитированием
sbz
сообщение 5.03.2014 - 22:36
Сообщение #8


Магистр форума

Группа: СМЭ
Регистрация: 13.10.2005
Пользователь №: 858


Цитата(Медик @ 5.03.2014 - 23:20)
Да.Верю топикстартеру.

ну
давайте, попытаемся в ближайшее время разобрать фото


Детство и СМЭ. И зачем ОНО, первое, - нам?
Пользователь offline
К началу страницы
+Ответить с цитированием
Медик
сообщение 5.03.2014 - 22:39
Сообщение #9


Учитель
Group Icon
Группа: Модераторы
Регистрация: 16.05.2010
Пользователь №: 21 553


Цитата(sbz @ 5.03.2014 - 23:36)

Детство и СМЭ. И зачем ОНО, первое, - нам?

Вопрос не к судебно-медицинскому эксперту.
Пользователь offline
К началу страницы
+Ответить с цитированием
selti
сообщение 6.03.2014 - 04:33
Сообщение #10


Читатель

Группа: СМЭ
Регистрация: 26.11.2012
Пользователь №: 34 827


Цитата(Медик @ 5.03.2014 - 21:04)
Краевые отделы ?
Проба Бреслау ?


Краевые зоны или нет эксперт не указала
проводили только пробу Галена. Результат отрицательный - тонет все.

СМД цитирую: "Мертворожденность. Закрытие дыхательных путей околоплодными водами".

Цитата(sbz @ 5.03.2014 - 21:08)

а далее -увеличение микроскопа и абсурдность картинок в сопоставлении
с ув.


прошу прощения, если фото не совсем удачные. Нам только совсем недавно поступил микроскоп с камерой, еще не приловчились. Постараюсь сделать лучше.

Сообщение отредактировал selti - 6.03.2014 - 05:09
Пользователь offline
К началу страницы
+Ответить с цитированием
selti
сообщение 6.03.2014 - 04:48
Сообщение #11


Читатель

Группа: СМЭ
Регистрация: 26.11.2012
Пользователь №: 34 827


Цитата(Медик @ 5.03.2014 - 21:43)
1.Расправленные в результате самостоятельного дыхания терминальные дыхательные пути имеют чёткие очертания без признаков острой эмфиземы - такой картинки не вижу.
2.При искусственном дыхании расправляются некоторые альвеолы,но полного расправления лёгких не наблюдается.Характерным считается проникновение воздуха в верхние доли,в том числе и верхушки лёгких,по передненижним краевым зонам и по междолевым поверхностям.Главным признаком искусственной вентиляции лёгких является острая эмфизема с нарушением целости респираторной паренхимы.Эмфизематозные изменения имеют характер структурных нарушений в виде разрывов межальвеолярных перегородок с образованием эмфизематозных очагов,окружённых участками дистелектаза.
3.Мне представляется,что на фото лёгкие после искусственной вентиляции.
4.В меддокументации должны быть сведения о реанимационных мероприятиях.Посмотрите сами.


Спасибо, за ответ.

В меддокументации, в том то и дело, никаких записей о реанимационных мероприятиях, там вообще ничего нет. Сейчас этим случаем занялась прокуратура, подключилось местное телевидение.

1.А может ли быть расправление "всех" альвеол околоплодными водами?
2. кубический альвеолярный эпителий -это достоверный признак неаэрированных легких?
3. Геморрагический синдром у мертворожденных возможен?


Сообщение отредактировал selti - 6.03.2014 - 05:32
Пользователь offline
К началу страницы
+Ответить с цитированием
доктор морфолог
сообщение 6.03.2014 - 07:16
Сообщение #12


Мастер I

Группа: СМЭ
Регистрация: 5.12.2013
Пользователь №: 38 421


Цитата(selti @ 5.03.2014 - 22:30)
Здравствуйте, уважаемые эксперты! я начинающий гистолог, помогите разобраться с легкими - дышавшие или нет? Девушка 1986г.р. рожает первого ребенка, ребенок родился мертворожденным, беременность проходила хорошо, роды в срок, жалоба на врача, что во время схваток к ней долгое время никто не подходил. Танатолог берет 4 кусочка легких, в\д,ср\д левого легкого, ср\д, н\д правого легкого, легочные пробы - легкие в воде тонут. Со слов врачей ребенка пытались реанимировать, никаких записей это подтверждающих нет. То что там аспирация околоплодными водами очевидно, меня смущает полное расправление всех альвеол, даже эмфизема.
фото прилагаю

(6-е и 8-е фото окраска по Ван Гизону)

за ранее спасибо всем.

Добрый день! наблюдается неполное расправление просвета альвеол, альвеолярные перегородки извилистые, широкие междольковые прослойки, просвет альвеол местами выполнен свежей кровью, с примесями десквамированных альвеолоцитов, встречаются овальные, кубические альвеолоциты, местами и в просвете отдельных бронхиол имеется примеси свежих эритроцитов. В просвете альвеол единичные фрагменты роговых чешуек( в присланных Вами микрофото), которые не может быть признаком массивной аспирации, т.к. внутриутробно в норме до бифрукации в просвете трахее бывает околоплодные воды. Участков ателектаза и острых очагов эмфиземы не видно в микрофото.
Мое предварительное мнение по присланным микрофото Респираторный дистресс-синдром новорожденных. Тонут легкие и при кровоизлиянии в респираторные отделы легких.
Пользователь offline
К началу страницы
+Ответить с цитированием
Медик
сообщение 6.03.2014 - 08:10
Сообщение #13


Учитель
Group Icon
Группа: Модераторы
Регистрация: 16.05.2010
Пользователь №: 21 553


Цитата(доктор морфолог @ 6.03.2014 - 08:16)

Мое предварительное мнение по присланным микрофото Респираторный дистресс-синдром новорожденных.

С какого перепуга ? Этим Вы свидетельствуете о том,что ребёнок жил часы или дни.
При ситуации описанной топикстартером проводятся реанимационные мероприятия.
Пускай допрашивают неонатолога.Уверен,что он даст положительный ответ на вопрос о проведении искусственной вентиляции лёгких.

Сообщение отредактировал Медик - 6.03.2014 - 08:21
Пользователь offline
К началу страницы
+Ответить с цитированием
Медик
сообщение 6.03.2014 - 08:24
Сообщение #14


Учитель
Group Icon
Группа: Модераторы
Регистрация: 16.05.2010
Пользователь №: 21 553


Цитата(доктор морфолог @ 6.03.2014 - 08:16)
Респираторный дистресс-синдром новорожденных.

А более конкретней можно ?
Не пойму какую форму этого синдрома Вы имеете в виду?

Цитата(selti @ 6.03.2014 - 05:33)

Краевые зоны или нет эксперт не указала
проводили только пробу Галена. Результат отрицательный
Закрытие дыхательных путей околоплодными водами".

1.Выясняйте.Если краевые зоны взяты,пускай это отметит в Акте.
2.Надо толстой книжкой дать по судебно-медицинской голове.
3.В этой фразе чувствуется делитант.

Цитата(selti @ 6.03.2014 - 05:48)

В меддокументации, в том то и дело, никаких записей о реанимационных мероприятиях, там вообще ничего нет.
Геморрагический синдром у мертворожденных возможен?

1.Вы сами видели ?
2.Отёчно-геморрагический ?

Сообщение отредактировал Медик - 6.03.2014 - 08:22
Пользователь offline
К началу страницы
+Ответить с цитированием
доктор морфолог
сообщение 6.03.2014 - 10:26
Сообщение #15


Мастер I

Группа: СМЭ
Регистрация: 5.12.2013
Пользователь №: 38 421


Цитата(Медик @ 6.03.2014 - 11:10)
,что ребёнок жил часы или дни.
При ситуации описанной топикстартером проводятся реанимационные мероприятия.
Пускай допрашивают неонатолога.Уверен,что он даст положительный ответ на вопрос о проведении искусственной вентиляции лёгких.

Ув.медик! По одному признаку утвердительный вывод сделать нельзя, все это предварительное мнение. Однако я не вижу массивной аспирации ЭОВ по присланным объектам ткани легких. А на фоне внутриутробной гипоксии во время родов если головка ребенка вышла , любой ослабленный ребенок при контакте с внеутробной средой, т.е. атмосферой, хоть в считанные минуты если даже не полностью, но вдохнуть воздуха при первом же слабом вдохе сможет. А наличие кровоизлияния свежего в просвете альвеол указывает о прижизненности явления и является одним из синдромов РДСН, раньше называли пневмопатиями. Что такое аспирация ЭОВ у мертворожденного плода в архиве у меня есть, микрофото если найду отправлю.
Пользователь offline
К началу страницы
+Ответить с цитированием

5 страниц V  1 2 3 > » 



- Обратная связь Сейчас: 5.11.2025 - 14:43