Здравствуйте, гость ( Вход | Регистрация )

Форум судебных медиков России
2 страниц V  1 2 >  
>

Формирование новообразования в коже, консультация по микропрепаратам

>
Надежда Ивановна
сообщение 2.04.2014 - 16:43
Сообщение #1


Опытный участник

Группа: Участники
Регистрация: 28.01.2014
Из: Московская область
Пользователь №: 38 804


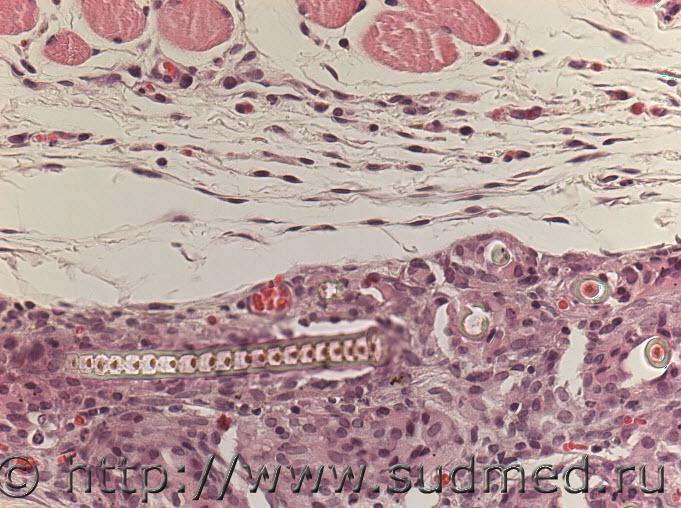
Под SMAS некое новообразование, которое можно принять за гранулему, но в реалии там имеет место гиперплазия эпителия наружного корневого эпителиального влагалища и наблюдается рост единичных волос в нехарактерном месте. Попадание в эту область волос в качестве инородных тел исключен. Это какая то опухоль придатков кожи? У кого есть иное мнение?
На 1 фото представлен рост волос в норме
Далее представлены микрофотографии выше описанной структуры при увеличении х100, х200 и х400


Эскизы прикрепленных изображений
Судебная медицина - Прикрепленное изображение Судебная медицина - Прикрепленное изображение Судебная медицина - Прикрепленное изображение Судебная медицина - Прикрепленное изображение
Пользователь offline
К началу страницы
+Ответить с цитированием
Медик
сообщение 2.04.2014 - 18:44
Сообщение #2


Учитель
Group Icon
Группа: Модераторы
Регистрация: 16.05.2010
Пользователь №: 21 553


Цитата(Надежда Ивановна @ 2.04.2014 - 17:43)
можно принять за гранулему

Вы под этим понимаете пиогенную гранулёму или грануляционную ткань ?
Материал взят откуда ?

Сообщение отредактировал Медик - 2.04.2014 - 18:45
Пользователь offline
К началу страницы
+Ответить с цитированием
Надежда Ивановна
сообщение 2.04.2014 - 19:09
Сообщение #3


Опытный участник

Группа: Участники
Регистрация: 28.01.2014
Из: Московская область
Пользователь №: 38 804


Цитата(Медик @ 2.04.2014 - 19:44)
Вы под этим понимаете пиогенную гранулёму или грануляционную ткань ?
Материал взят откуда ?

Нет, не пиогенную и не грануляционную ткань, а последствие какого-либо не специфического воспаления типа обособленного мононуклеарного инфильтрата. Материал взят из области введения тестируемого препарата (межлопаточная область). Вначале я думала, что во время введения под кожу попали волосы, но препарат вводили новорожденным хомякам и на тот момент они были безшерстными. Я провожу доклиническое исследование препарата с потенциальным туморогенным эффектом, который планируется внедрять в педиатрическую практику. По результатам гистологического анализа препарат обладает туморогенным действием.
А с Вами можно общаться по скайпу, иногда?)))
Пользователь offline
К началу страницы
+Ответить с цитированием
sbz
сообщение 2.04.2014 - 19:23
Сообщение #4


Магистр форума

Группа: СМЭ
Регистрация: 13.10.2005
Пользователь №: 858


Цитата(Надежда Ивановна @ 2.04.2014 - 20:09)
Нет, не пиогенную и не грануляционную ткань, а последствие какого-либо не специфического воспаления типа обособленного мононуклеарного инфильтрата. Материал взят из области введения тестируемого препарата (межлопаточная область). Вначале я думала, что во время введения под кожу попали волосы, но препарат вводили новорожденным хомякам и на тот момент они были безшерстными. Я провожу доклиническое исследование препарата с потенциальным туморогенным эффектом, который планируется внедрять в педиатрическую практику. По результатам гистологического анализа препарат обладает туморогенным действием.
А с Вами можно общаться по скайпу, иногда?)))

вы агрессию н.и. можете вызвать по регистрации !
Хомяки делятся:
- многошерстные *(5-ть шерсточек над ногтем 4-м задней лапы)


и. бесшерстные которые хомЯчкам вообще не кажутся

а структуры такие, посмотрел, хомячковотости неподходящи

с ув.

Сообщение отредактировал sbz - 2.04.2014 - 19:30
Пользователь offline
К началу страницы
+Ответить с цитированием
Надежда Ивановна
сообщение 2.04.2014 - 19:33
Сообщение #5


Опытный участник

Группа: Участники
Регистрация: 28.01.2014
Из: Московская область
Пользователь №: 38 804


Цитата(sbz @ 2.04.2014 - 20:23)
вы агрессию н.и. можете вызвать по регистрации !
Хомяки делятся:
- многошерстные *(5-ть шерсточек над ногтем 4-м задней лапы)
и. бесшерстные которые хомЯчкам вообще не кажутся

а структуры такие, посмотрел, хомячковотости неподходящи

с ув.

Я не поняла ход Ваших мыслей!
Благодарю за некомпетентный ответ!
Пользователь offline
К началу страницы
+Ответить с цитированием
Медик
сообщение 2.04.2014 - 19:40
Сообщение #6


Учитель
Group Icon
Группа: Модераторы
Регистрация: 16.05.2010
Пользователь №: 21 553


Цитата(sbz @ 2.04.2014 - 20:23)

Хомяки делятся:
- многошерстные *(5-ть шерсточек над ногтем 4-м задней лапы)
и. бесшерстные которые хомЯчкам вообще не кажутся

Знания - сила. smile.gif

Цитата(Надежда Ивановна @ 2.04.2014 - 17:43)
Это какая то опухоль придатков кожи?

Нет.
Три последних фото - одно животное?
Пользователь offline
К началу страницы
+Ответить с цитированием
Надежда Ивановна
сообщение 2.04.2014 - 19:43
Сообщение #7


Опытный участник

Группа: Участники
Регистрация: 28.01.2014
Из: Московская область
Пользователь №: 38 804


Цитата(Медик @ 2.04.2014 - 20:40)
Знания - сила. smile.gif
Нет.
Три последних фото - одно животное?

Да, это одно и тоже животное и одно и тоже место, сфотографированное при разных увеличениях.
Я полагаю это доброкачественное новообразование. За последние 12 лет просмотрела несколько тысяч препаратов кожи. но такое никогда не встречала.

Сообщение отредактировал Надежда Ивановна - 2.04.2014 - 19:46
Пользователь offline
К началу страницы
+Ответить с цитированием
Медик
сообщение 2.04.2014 - 19:49
Сообщение #8


Учитель
Group Icon
Группа: Модераторы
Регистрация: 16.05.2010
Пользователь №: 21 553


Цитата(Надежда Ивановна @ 2.04.2014 - 20:43)

Я полагаю это доброкачественное новообразование.

На основании чего ?
Пользователь offline
К началу страницы
+Ответить с цитированием
sbz
сообщение 2.04.2014 - 19:51
Сообщение #9


Магистр форума

Группа: СМЭ
Регистрация: 13.10.2005
Пользователь №: 858


Цитата(Медик @ 2.04.2014 - 20:40)

Три последних фото - одно животное?


Дойти можно и до эмбиологии, до этих -зачатков, до тератом - в последующем

А судебная м-на здесь причем? хомячки бесшерстные самки-самцы... многошерстные (бездетные-многодетные в популяциях)

Прочитал, что удалось в школе, -Бернгарда Гржимека, - к 1-му курсу уже охладел

ЕСТЬ нечеловеческое изучение животного мира УРОВЕНЬ представье
Пользователь offline
К началу страницы
+Ответить с цитированием
Надежда Ивановна
сообщение 2.04.2014 - 20:04
Сообщение #10


Опытный участник

Группа: Участники
Регистрация: 28.01.2014
Из: Московская область
Пользователь №: 38 804


Цитата(sbz @ 2.04.2014 - 20:51)
Дойти можно и до эмбиологии, до этих -зачатков, до тератом - в последующем

А судебная м-на здесь причем? хомячки бесшерстные самки-самцы... многошерстные (бездетные-многодетные в популяциях)

Прочитал, что удалось в школе, -Бернгарда Гржимека, - к 1-му курсу уже охладел

ЕСТЬ нечеловеческое изучение животного мира УРОВЕНЬ представье

Перестаньте писать всякую хрень! На этом форуме я хочу общаться с грамотными патогистологами.


Цитата(Медик @ 2.04.2014 - 20:49)
На основании чего ?

Прежде на основании того, что в представленной области в норме ничего подобного не встречается. Вы клоните к тому, что это может быть аномалия развития? Допускаю. Артефакт? Маловероятно, т.к. препарат тонкий и наложение ткани на ткань при увеличении х400 было бы заметно. За 12 лет работы я такое имела возможность видеть в тканях! При случае выложу микрофото.
Пользователь offline
К началу страницы
+Ответить с цитированием
Медик
сообщение 2.04.2014 - 20:24
Сообщение #11


Учитель
Group Icon
Группа: Модераторы
Регистрация: 16.05.2010
Пользователь №: 21 553


Цитата(Надежда Ивановна @ 2.04.2014 - 21:04)
Вы клоните к тому, что это может быть аномалия развития?

Именно так.
Пользователь offline
К началу страницы
+Ответить с цитированием
Надежда Ивановна
сообщение 2.04.2014 - 20:29
Сообщение #12


Опытный участник

Группа: Участники
Регистрация: 28.01.2014
Из: Московская область
Пользователь №: 38 804


Цитата(Медик @ 2.04.2014 - 21:24)
Именно так.

Да, вероятнее всего, это аномалия развития. Но красиво то как и не обычно!
Пользователь offline
К началу страницы
+Ответить с цитированием
доктор морфолог
сообщение 4.04.2014 - 11:41
Сообщение #13


Мастер I

Группа: СМЭ
Регистрация: 5.12.2013
Пользователь №: 38 421


Цитата(Надежда Ивановна @ 2.04.2014 - 19:43)
Под SMAS некое новообразование, которое можно принять за гранулему, но в реалии там имеет место гиперплазия эпителия наружного корневого эпителиального влагалища и наблюдается рост единичных волос в нехарактерном месте. Попадание в эту область волос в качестве инородных тел исключен. Это какая то опухоль придатков кожи? У кого есть иное мнение?
На 1 фото представлен рост волос в норме
Далее представлены микрофотографии выше описанной структуры при увеличении х100, х200 и х400

Ув.Н.И.! На микрофото мое мнение паразитарное, либо грибковое поражение. За трихоэпителиому с ее разновидностям, я не тороплюсь. Нужно исследовать поначалу на грибков и паразитов, затем мне кажется на ИГХ или ИЦХ
Пользователь offline
К началу страницы
+Ответить с цитированием
доктор морфолог
сообщение 4.04.2014 - 11:57
Сообщение #14


Мастер I

Группа: СМЭ
Регистрация: 5.12.2013
Пользователь №: 38 421


Цитата(Надежда Ивановна @ 2.04.2014 - 19:43)
Под SMAS некое новообразование, которое можно принять за гранулему, но в реалии там имеет место гиперплазия эпителия наружного корневого эпителиального влагалища и наблюдается рост единичных волос в нехарактерном месте. Попадание в эту область волос в качестве инородных тел исключен. Это какая то опухоль придатков кожи? У кого есть иное мнение?
На 1 фото представлен рост волос в норме
Далее представлены микрофотографии выше описанной структуры при увеличении х100, х200 и х400



Может быть анамальный рост волоса при деформации фолликулов и врастание волоса не выходя из толщи кожи в подкожное пространство?
Пользователь offline
К началу страницы
+Ответить с цитированием
Надежда Ивановна
сообщение 4.04.2014 - 20:28
Сообщение #15


Опытный участник

Группа: Участники
Регистрация: 28.01.2014
Из: Московская область
Пользователь №: 38 804


Цитата(доктор морфолог @ 4.04.2014 - 12:41)
Ув.Н.И.! На микрофото мое мнение паразитарное, либо грибковое поражение. За трихоэпителиому с ее разновидностям, я не тороплюсь. Нужно исследовать поначалу на грибков и паразитов, затем мне кажется на ИГХ или ИЦХ



Вероятность поражения паразитарного или грибкового характера исключена, т.к. мы работаем с SPF животными (беспатогенными), в вот на трихоэпителиому очень похоже. Посмотрела в инете материалы и нашла очень похожие микрофотографии. Благодарю Вас, что подсказали правильную идею!
Пользователь offline
К началу страницы
+Ответить с цитированием

2 страниц V  1 2 >



- Обратная связь Сейчас: 6.11.2025 - 01:29