Здравствуйте, гость ( Вход | Регистрация )

Форум судебных медиков России
 
>

Часто выявляемые отклонения от нормы в надпочечниках, консультация по гистопрепаратам

>
Надежда Ивановна
сообщение 22.04.2014 - 18:51
Сообщение #1


Опытный участник

Группа: Участники
Регистрация: 28.01.2014
Из: Московская область
Пользователь №: 38 804


Часто у интактных самцов и самок в пучковой зоне надпочечников на фоне нормального инкреторного эпителия наблюдаю эозинофильные локусы, представленные выражено эозинофильными инкреторными клетками с пикнотичными ядрами. В некоторых случаях наблюдается эффект, как бы слияния цитоплазмы инкреторного эпителия, т.е. по сути идет разрушение клеточной мембраны. До настоящего времени нигде не могла найти материал, где можно было бы узнать об этом явлении. Это некробиоз с последующим разрушением мембран, дистрофические изменения, артефакт в результате механического воздействия или ...? Уважаемый морфологи, хотелось бы узнать Ваше мнение относительно этого процесса.

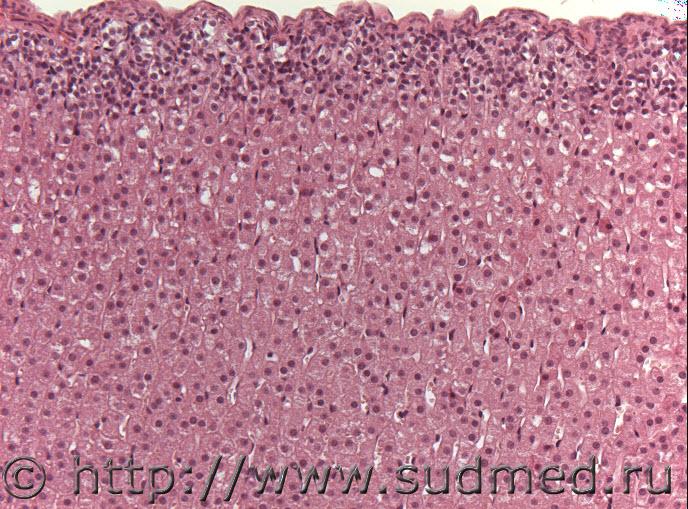
На первых двух фото надпочечник в норме:

Судебная медицина - Прикрепленное изображение
Судебная медицина - Прикрепленное изображение

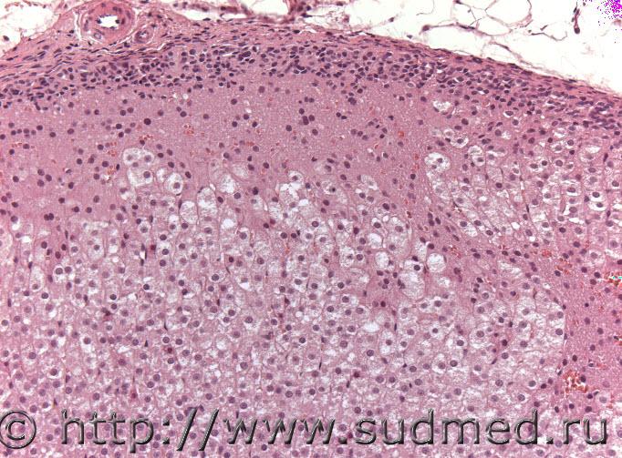
Надпочечники с эозинофильными фокусами:


Судебная медицина - Прикрепленное изображение
Судебная медицина - Прикрепленное изображение
Судебная медицина - Прикрепленное изображение

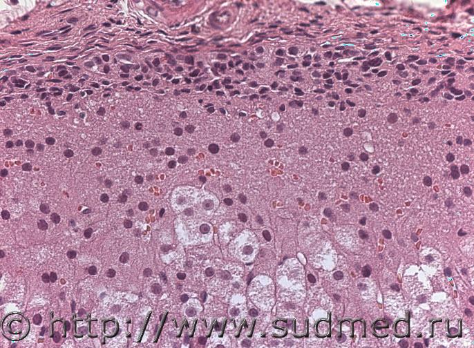
Надпочечники с эффектом разрушения клеток:



Судебная медицина - Прикрепленное изображение
Судебная медицина - Прикрепленное изображение



Сообщение отредактировал Надежда Ивановна - 22.04.2014 - 18:53
Пользователь offline
К началу страницы
+Ответить с цитированием
Медик
сообщение 22.04.2014 - 19:29
Сообщение #2


Учитель
Group Icon
Группа: Модераторы
Регистрация: 16.05.2010
Пользователь №: 21 553


Делипоидизация ?
Пользователь offline
К началу страницы
+Ответить с цитированием
sbz
сообщение 22.04.2014 - 21:39
Сообщение #3


Магистр форума

Группа: СМЭ
Регистрация: 13.10.2005
Пользователь №: 858


Цитата(Надежда Ивановна @ 22.04.2014 - 19:51)
Часто у интактных самцов и самок в пучковой зоне надпочечников на фоне нормального инкреторного эпителия наблюдаю эозинофильные локусы, представленные выражено эозинофильными инкреторными клетками
Судебная медицина - Прикрепленное изображение
Судебная медицина - Прикрепленное изображение


это не артефакт
в сетчатой такого нет? не прослеживается; адреналловую в увеличении не видим

но мы не ветеринары. Представьте для обозрения надпочечники слона, лисы, свиньи, макаки, кита, дельфина.... Тогда въедем

Мнение. Клубочковая зона страдает в эксперименте

с ув.

Сообщение отредактировал sbz - 22.04.2014 - 21:40
Пользователь offline
К началу страницы
+Ответить с цитированием
Надежда Ивановна
сообщение 23.04.2014 - 00:39
Сообщение #4


Опытный участник

Группа: Участники
Регистрация: 28.01.2014
Из: Московская область
Пользователь №: 38 804


Цитата(sbz @ 22.04.2014 - 22:39)
это не артефакт
в сетчатой такого нет? не прослеживается; адреналловую в увеличении не видим

но мы не ветеринары. Представьте для обозрения надпочечники слона, лисы, свиньи, макаки, кита, дельфина.... Тогда въедем

Мнение. Клубочковая зона страдает в эксперименте

с ув.


Все млекопитающие (макака, слоник, лисичка, мышка, крыса, хомячок и Вы в том числе) имеют в целом (за исключением некоторых нюансов) единый принцип структурной организации. Я это утверждаю, как ученый. Патологоанатомы, судмедэксперты, как правило имеют дело с выраженной патологией. Организм до некоторой степени структурно мобилен и нередко наблюдаю отклонения от нормы, которые условно называют " патология на фоне общепринятой нормы". То, что представлено на фото есть, по моему мнению, некая структурная перестройка инкреторного эпителия пучковой зоны. Для чего это происходит, пока не понятно.

Это преамбула...

Теперь ответы
1. морфологическая структура мозгового вещества у таких животных в норме;
2. сетчатая зона тоже не задействована в представленном процессе;
3. животные (крысы) в эксперименте не были задействованы,я указала, что это интактные животные и еще spf статуса


Пользователь offline
К началу страницы
+Ответить с цитированием
доктор морфолог
сообщение 23.04.2014 - 08:43
Сообщение #5


Мастер I

Группа: СМЭ
Регистрация: 5.12.2013
Пользователь №: 38 421


Цитата(Надежда Ивановна @ 23.04.2014 - 03:39)

Ув.Н.И.! На любой внешний фактор начиная стрессового( при экстремальных условиях), кроме экспериментов клетки надпочечника быстро реагируют. Раз реагируют происходит изменение с рецепторами мембран,ультраструктур цитоплазмы вплоть до ядерных ДНК. Клетки пучковой зоны увеличены в обьеме со светлой цитоплазмой, местами с зернистостью( возможно ув.Медик правильно задал, что делипидизация ?) с явлениями кариопикноза и кое где с кариолизисом. Патологические изменения проявляются в клетках клубочковой, пучковой зоны при патологи в зависимости от этиологии гидропической дистрофии вплоть до баллонной и белковой и .т.д. Если исключить все этиолгоческие факторы, то насколько нам известно светлые клетки секретируют адреналин, а темные м.б.как Вами указанные эозинофильные,мне по микрофото показалось темными, которые секретируют норадреналин. Это мое мнение.
Пользователь offline
К началу страницы
+Ответить с цитированием
доктор морфолог
сообщение 23.04.2014 - 11:13
Сообщение #6


Мастер I

Группа: СМЭ
Регистрация: 5.12.2013
Пользователь №: 38 421


Цитата(Надежда Ивановна @ 22.04.2014 - 21:51)

на последних 2-х фото, где за счет гомогенизации мембран клеток клубочковой зоны, местами с гомогенизацией ядер видно слияние, напоминающее как бы некротические изменения, кроме набухших светлых клеток пучковой зоны. Я обратил внимание на спазмированных артериол капсулы надпочечника, где артериолы малокровные,эндотелии набухшие с просветлением, дезориентированы, интима фестончатого рисунка. Т.е. спазм капсулярных артериол, вследствие возможной стрессовой ситуации( м.б.голодание, внешний звуковой фактор и м.б.они на фоне голодание между собой поругались скажем), привело м.б.дисбалансу катехоламинов, затем сужение сосудов, далее нарушение кровообращения с ишемическими последствиями инкреторных клеток надпочечника. Мое патофизилогическое мнение.
Пользователь offline
К началу страницы
+Ответить с цитированием
Надежда Ивановна
сообщение 23.04.2014 - 19:17
Сообщение #7


Опытный участник

Группа: Участники
Регистрация: 28.01.2014
Из: Московская область
Пользователь №: 38 804


Цитата(Медик @ 22.04.2014 - 20:29)
Делипоидизация ?


Делипоидизация в этом процессе имеет место, т.е. инкреторный эпителий утратил синтетическую активность.
Но, в инете нашла микрофотографии, представляющие делипоидизацию, вот картинки, скаченный из инета:




Вот, как на сайте описан представленный на двух фото процесс:
"Выраженная диффузная (ближе к субтотальной) делипоидизация цитоплазмы клеток коркового слоя надпочечника (стрелки). Кровенаполнение варьирует от участков слабо-умеренного кровенаполнения до очагов резко выраженного капиллярно-венозного полнокровия с эритростазами, лейкостазами. Окраска: гематоксилин-эозин. Увеличение х 250"

То, что я наблюдаю у животных имеет другую морфологическую картину.

Сообщение отредактировал Надежда Ивановна - 23.04.2014 - 19:22
Пользователь offline
К началу страницы
+Ответить с цитированием
доктор морфолог
сообщение 24.04.2014 - 12:13
Сообщение #8


Мастер I

Группа: СМЭ
Регистрация: 5.12.2013
Пользователь №: 38 421


Цитата(Надежда Ивановна @ 23.04.2014 - 22:17)
Делипоидизация в этом процессе имеет место, т.е. инкреторный эпителий утратил синтетическую активность.
Но, в инете

Ув.Н.И.! Не все золото, что блестит! Мало, что на сайте последнее в 2-х фото из интернета, я не вижу кроме явления дистрофии белковой кое где гидропическую и видно полнокровные фенестрированные капилляры. А в Вашем микрофото разница небо и земля. Фенестрированные капилляры преимущественно сужены, естественно малокровные, имеющиеся эритроциты деформированные, клетки гораздо набухшие .те.увеличены в обьеме и с кариопикнозом и лизисом и с изменением тинкториальных свойств клеток и т.д. Делипоидизация в Вашем случае имеет место теоретически, а на сайте в интнете маловероятно. Кто-то на своем уровне посчитал демонстрировать. Так что не переживайте, двигайтесь вперед!
Пользователь offline
К началу страницы
+Ответить с цитированием
Надежда Ивановна
сообщение 6.05.2014 - 10:49
Сообщение #9


Опытный участник

Группа: Участники
Регистрация: 28.01.2014
Из: Московская область
Пользователь №: 38 804


Да, действительно, фото из инета не тот случай, который я часто наблюдаю в надпочечниках мелких грызунов. Мне хотелось вы понять причину этого явления, и морфологическую картину охарактеризовать определенным термином.
Пользователь offline
К началу страницы
+Ответить с цитированием
доктор морфолог
сообщение 6.05.2014 - 11:14
Сообщение #10


Мастер I

Группа: СМЭ
Регистрация: 5.12.2013
Пользователь №: 38 421


Цитата(Надежда Ивановна @ 6.05.2014 - 13:49)
Да, действительно, фото из инета не тот случай, который я часто наблюдаю в надпочечниках мелких грызунов. Мне хотелось вы понять причину этого явления, и морфологическую картину охарактеризовать определенным термином.

Ув.Н.И.С наступающим праздником Вас! Если исключить отравления и болезни у мелких грызунов, то причиной м.б. только внешний физический( шум,механическая травма и т.д.) и алиментарный фактор( голодание, переедание) или пищевое отравление. По морфологии гидропическая дистрофия с развитием некроза- острая надпочечниковая недостаточность, при котором нормальное кровяное давление никак не возможно нормализовать даже при приеме препаратов катехоламинового ряда.
Пользователь offline
К началу страницы
+Ответить с цитированием
Надежда Ивановна
сообщение 6.05.2014 - 18:06
Сообщение #11


Опытный участник

Группа: Участники
Регистрация: 28.01.2014
Из: Московская область
Пользователь №: 38 804


Уважаемый Доктор Морфолог, Вас также поздравляю с наступающим праздником Победы!
Животные в нашей лаборатории живут в комфортных условиях, т.е. в комнатах содержания животных поддерживается определенный температурный режим, давление и влажность. Это линейные животные, которые выращивают в питомниках специально для проведения доклинических исследований. Представленную морфологическую картину я часто наблюдаю и у интактных животных. Единственным стрессом, который они могут испытывать - это эвтаназия в камере с углекислым газом, но этот момент проходит быстро. Возможно, этот фактор может явиться причиной развития представленной морфологической картины, если иметь в виду эозинофильные локусы, но с моей точки зрения это некробиоз, т.е. явление обратимое. Что касается светлых клеток, то это не гидропическая дистрофия, а светлоклеточная трансформация, связанная с повышенной секреторной активностью клеток, вырабатывающих стероиды, которые являются соединения липидной природы. В процессе проводки жироподобные вещества "вымываются" из клеток и клетка выглядит "пустой".
Пользователь offline
К началу страницы
+Ответить с цитированием
доктор морфолог
сообщение 8.05.2014 - 09:45
Сообщение #12


Мастер I

Группа: СМЭ
Регистрация: 5.12.2013
Пользователь №: 38 421


Цитата(Надежда Ивановна @ 6.05.2014 - 21:06)

Единственным стрессом, который они могут испытывать - это эвтаназия в камере с углекислым газом, но этот момент проходит быстро. Возможно, этот фактор может явиться причиной развития представленной морфологической картины, если иметь в виду эозинофильные локусы, но с моей точки зрения это некробиоз, т.е. явление обратимое. Что касается светлых клеток, то это не гидропическая дистрофия, а светлоклеточная трансформация, связанная с повышенной секреторной активностью клеток, вырабатывающих стероиды, которые являются соединения липидной природы. В процессе проводки жироподобные вещества "вымываются" из клеток и клетка выглядит "пустой".

Ув.Н.И.! Причина - отравление СО, но в клетках клубочковой и пучковой зоны видны гомогенизация мембран клеток, т.е. там произошло лизосомная детонация с разрушением мембраны клеток( и сами этого процесса увидели да), при вдыхании СО системное патологическое изменение и нейроцитов и др.должно пройзойти. Попробуюте механическим путем( способов много) провести эвтаназию грызуна, наверняка изменение в тканях другие будут. При отравлении СО карминовые легкие из-за нарушения соотношения О и Со в крови.
Пользователь offline
К началу страницы
+Ответить с цитированием
доктор морфолог
сообщение 8.05.2014 - 10:38
Сообщение #13


Мастер I

Группа: СМЭ
Регистрация: 5.12.2013
Пользователь №: 38 421


Цитата(Надежда Ивановна @ 6.05.2014 - 21:06)
Уважаемый Доктор Морфолог, Вас также поздравляю с наступающим праздником Победы!

Возможно, этот фактор может явиться причиной развития представленной морфологической картины, если иметь в виду эозинофильные локусы, но с моей точки зрения это некробиоз, т.е. явление обратимое. Что касается светлых клеток, то это не гидропическая дистрофия, а светлоклеточная трансформация, связанная с повышенной секреторной активностью клеток, вырабатывающих стероиды, которые являются соединения липидной природы. В процессе проводки жироподобные вещества "вымываются" из клеток и клетка выглядит "пустой".

Ув.Н.И.! Кроме увеличения объема клеток виден кариолизис указывыающий на некроз клеток, вследствие тканевой гипоксии и тканевого ацидоза дошедшего pH6 и ниже. Трансформация 4 вид механизма дистрофии, и кроме стероидсинтеза, клетки надпочечника участвуют в минеральном и ферментом обмене.
Пользователь offline
К началу страницы
+Ответить с цитированием




- Обратная связь Сейчас: 10.11.2025 - 22:41