Здравствуйте, гость ( Вход | Регистрация )

Форум судебных медиков России
 
>

Артефакт или аденокарценома в тощей кишке, Консультация гистологических препаратов

>
Надежда Ивановна
сообщение 20.10.2014 - 23:14
Сообщение #1


Опытный участник

Группа: Участники
Регистрация: 28.01.2014
Из: Московская область
Пользователь №: 38 804


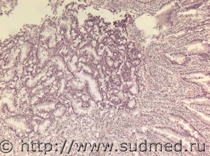
В просвете тощей кишки обнаружила фрагмент слизистой оболочки, по моему мнению, попавший сюда из другого участка кишки и изрядно "помятый" в результате механического повреждения в процессе проведения некропсии. Но, с другой стороны, это может быть часть сместившейся из другого участка опухоли (гиперхромные клетки, очаговая их гиперплазия, организованные железистые структуры). Прошу профессионалов высказать свое мнение.
Окраска Г.-Э. ув. х100 и х400


Эскизы прикрепленных изображений
Судебная медицина - Прикрепленное изображение Судебная медицина - Прикрепленное изображение
Пользователь offline
К началу страницы
+Ответить с цитированием
доктор морфолог
сообщение 21.10.2014 - 10:11
Сообщение #2


Мастер I

Группа: СМЭ
Регистрация: 5.12.2013
Пользователь №: 38 421


Цитата(Надежда Ивановна @ 21.10.2014 - 03:14)
В просвете тощей кишки обнаружила фрагмент слизистой оболочки, по моему мнению, попавший сюда из другого участка кишки и изрядно "помятый" в результате механического повреждения в процессе проведения некропсии. Но, с другой стороны, это может быть часть сместившейся из другого участка опухоли (гиперхромные клетки, очаговая их гиперплазия, организованные железистые структуры). Прошу профессионалов высказать свое мнение.
Окраска Г.-Э. ув. х100 и х400

Здесь имеет место тенденция к слизистой аденокарциноме, т.к. видно единичные перстневидные клетки не классически, но есть. Переход на малом увеличении вроде плавный от нормального рисунка.

Сообщение отредактировал доктор морфолог - 21.10.2014 - 10:13
Пользователь offline
К началу страницы
+Ответить с цитированием
эдвард
сообщение 22.10.2014 - 08:12
Сообщение #3


Участник форума

Группа: СМЭ
Регистрация: 9.02.2010
Пользователь №: 19 907


Это скорее артефакт. К тому же в тонкой кишке аденокарциномы - редкость (в отличие от толстой).
Пользователь offline
К началу страницы
+Ответить с цитированием
Медик
сообщение 22.10.2014 - 09:14
Сообщение #4


Учитель
Group Icon
Группа: Модераторы
Регистрация: 16.05.2010
Пользователь №: 21 553


Ув.Надежда Ивановна,вариант прорастания в тонкую кишку со стороны серозной оболочки не рассматривали ?
Например,метастаз или инвазия опухоли толстой кишки в тонкую.
Пользователь offline
К началу страницы
+Ответить с цитированием
доктор морфолог
сообщение 22.10.2014 - 10:48
Сообщение #5


Мастер I

Группа: СМЭ
Регистрация: 5.12.2013
Пользователь №: 38 421


Цитата(Медик @ 22.10.2014 - 13:14)
Ув.Надежда Ивановна,вариант прорастания в тонкую кишку со стороны серозной оболочки не рассматривали ?
Например,метастаз или инвазия опухоли толстой кишки в тонкую.

Логика отличная, либо переход от тонкого в толстый?
Пользователь offline
К началу страницы
+Ответить с цитированием




- Обратная связь Сейчас: 6.11.2025 - 03:58