Здравствуйте, гость ( Вход | Регистрация )

Форум судебных медиков России
 
>

Базалиома или плоскоклеточный рак?, Опухоль на лице

>
доктор морфолог
сообщение 22.10.2014 - 10:28
Сообщение #1


Мастер I

Группа: СМЭ
Регистрация: 5.12.2013
Пользователь №: 38 421


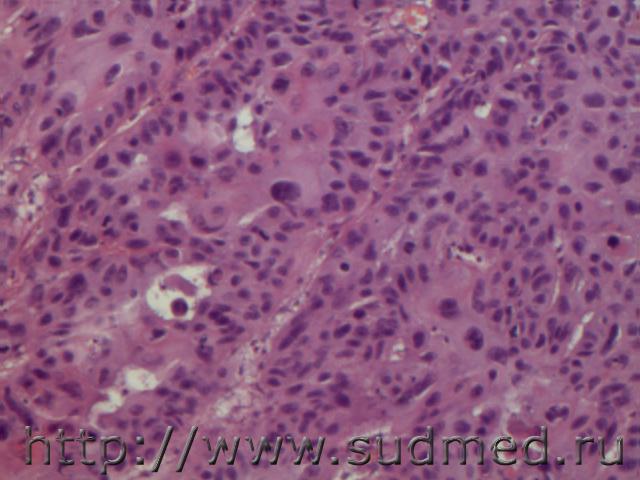
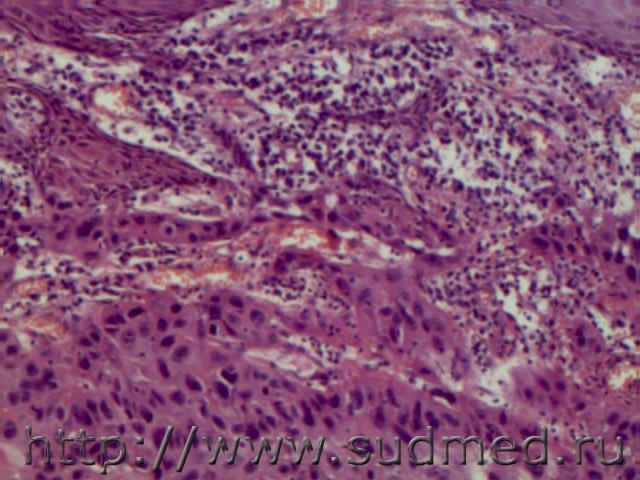
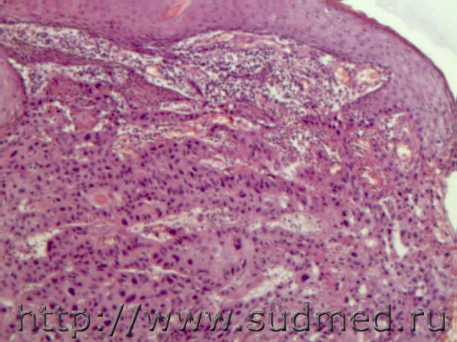
Базальноклеточный рак кожи лица(базалиома) опербиоп материал, М,64 года.


Эскизы прикрепленных изображений
Судебная медицина - Прикрепленное изображение Судебная медицина - Прикрепленное изображение Судебная медицина - Прикрепленное изображение Судебная медицина - Прикрепленное изображение Судебная медицина - Прикрепленное изображение Судебная медицина - Прикрепленное изображение Судебная медицина - Прикрепленное изображение Судебная медицина - Прикрепленное изображение Судебная медицина - Прикрепленное изображение Судебная медицина - Прикрепленное изображение Судебная медицина - Прикрепленное изображение Судебная медицина - Прикрепленное изображение Судебная медицина - Прикрепленное изображение Судебная медицина - Прикрепленное изображение Судебная медицина - Прикрепленное изображение Судебная медицина - Прикрепленное изображение Судебная медицина - Прикрепленное изображение
Пользователь offline
К началу страницы
+Ответить с цитированием
Медик
сообщение 22.10.2014 - 11:57
Сообщение #2


Учитель
Group Icon
Группа: Модераторы
Регистрация: 16.05.2010
Пользователь №: 21 553


На фото не базалиома (базальноклеточный рак),а низкодифференцированный плоскоклеточный рак.
Пользователь offline
К началу страницы
+Ответить с цитированием
доктор морфолог
сообщение 22.10.2014 - 13:44
Сообщение #3


Мастер I

Группа: СМЭ
Регистрация: 5.12.2013
Пользователь №: 38 421


Цитата(Медик @ 22.10.2014 - 15:57)
На фото не базалиома (базальноклеточный рак),а низкодифференцированный плоскоклеточный рак.

Макролокал на лице. При ндпр базально клеточная линия отсутствует и обязательно встречается межклеточные связи в виде "мостика", а в данном случае как бы злой не был базальная траектория определяются. И нигде нет связного мостика. Но имеет место плоскоклеточной метаплазии и пилоидность рисунка. На периферии имеется атипические изменения придатков кожи (волосяной фолликул, сальные железы). Направлен на ИГХ. М.б. и Вы правы.

Сообщение отредактировал доктор морфолог - 22.10.2014 - 13:47
Пользователь offline
К началу страницы
+Ответить с цитированием
Медик
сообщение 22.10.2014 - 14:17
Сообщение #4


Учитель
Group Icon
Группа: Модераторы
Регистрация: 16.05.2010
Пользователь №: 21 553


Цитата(доктор морфолог @ 22.10.2014 - 14:44)
Направлен на ИГХ.

Пожалуйста,напишите про результат.
Разве опухоль представлена интенсивно окрашенными клетками базалоидного типа?
Р.S.Представленные Вами фото посмотрели коллеги.


Сообщение отредактировал Медик - 22.10.2014 - 18:54
Пользователь offline
К началу страницы
+Ответить с цитированием
доктор морфолог
сообщение 23.10.2014 - 07:12
Сообщение #5


Мастер I

Группа: СМЭ
Регистрация: 5.12.2013
Пользователь №: 38 421


Цитата(Медик @ 22.10.2014 - 18:17)
Пожалуйста,напишите про результат.
Разве опухоль представлена интенсивно окрашенными клетками базалоидного типа?
Р.S.Представленные Вами фото посмотрели коллеги.

Вы правы , я с Вами согласен даже без ИГХ, почти все клетки плоского типа и из ряда щиповатого слоя также изменены.. Спасибо большое ув Медик Вы виртуозный патогистолог. Просим Вас отредактировать диагноз и если можно переместить в раздел гистологии как есть.
Пользователь offline
К началу страницы
+Ответить с цитированием
доктор морфолог
сообщение 23.10.2014 - 09:07
Сообщение #6


Мастер I

Группа: СМЭ
Регистрация: 5.12.2013
Пользователь №: 38 421


Цитата(доктор морфолог @ 23.10.2014 - 11:12)
Вы правы , я с Вами согласен даже без ИГХ, почти все клетки плоского типа и из ряда щиповатого слоя также изменены.. Спасибо большое ув Медик Вы виртуозный патогистолог. Просим Вас отредактировать диагноз и если можно переместить в раздел гистологии как есть.

Ув.Медик спасибо большое за консультацию!
Пользователь offline
К началу страницы
+Ответить с цитированием
jaklin
сообщение 23.10.2014 - 16:11
Сообщение #7


Продвинутый участник

Группа: СМЭ
Регистрация: 22.07.2011
Пользователь №: 28 038


Цитата(доктор морфолог @ 22.10.2014 - 10:28)
Базальноклеточный рак кожи лица(базалиома) опербиоп материал, М,64 года.


Согласна с медиком. Спасибо за качественные фото
Пользователь offline
К началу страницы
+Ответить с цитированием
доктор морфолог
сообщение 24.10.2014 - 08:56
Сообщение #8


Мастер I

Группа: СМЭ
Регистрация: 5.12.2013
Пользователь №: 38 421


Цитата(jaklin @ 23.10.2014 - 20:11)
Согласна с медиком. Спасибо за качественные фото

И Вам спасибо за отзыв.
Пользователь offline
К началу страницы
+Ответить с цитированием




- Обратная связь Сейчас: 9.11.2025 - 12:36