Здравствуйте, гость ( Вход | Регистрация )

Форум судебных медиков России
 
>

Консультация по гистопрепарату, Н/О в области молочной железы у кошки

>
Evgenii2381
сообщение 16.12.2014 - 13:34
Сообщение #1


Читатель

Группа: Участники
Регистрация: 7.10.2014
Пользователь №: 40 429


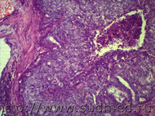
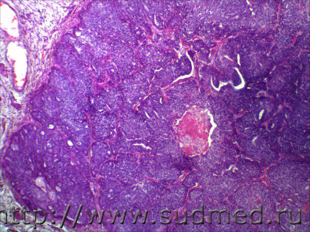
Н/О в области молочной железы у кошки (Аденокарцинома?)


Эскизы прикрепленных изображений
Судебная медицина - Прикрепленное изображение Судебная медицина - Прикрепленное изображение Судебная медицина - Прикрепленное изображение Судебная медицина - Прикрепленное изображение Судебная медицина - Прикрепленное изображение Судебная медицина - Прикрепленное изображение Судебная медицина - Прикрепленное изображение Судебная медицина - Прикрепленное изображение Судебная медицина - Прикрепленное изображение Судебная медицина - Прикрепленное изображение Судебная медицина - Прикрепленное изображение Судебная медицина - Прикрепленное изображение Судебная медицина - Прикрепленное изображение Судебная медицина - Прикрепленное изображение
Пользователь offline
К началу страницы
+Ответить с цитированием
Медик
сообщение 16.12.2014 - 19:58
Сообщение #2


Учитель
Group Icon
Группа: Модераторы
Регистрация: 16.05.2010
Пользователь №: 21 553


Цитата(Evgenii2381 @ 16.12.2014 - 14:34)
(Аденокарцинома?)

Да,низкодифференцированная.
Пользователь offline
К началу страницы
+Ответить с цитированием
Evgenii2381
сообщение 16.12.2014 - 20:22
Сообщение #3


Читатель

Группа: Участники
Регистрация: 7.10.2014
Пользователь №: 40 429


Цитата(Медик @ 16.12.2014 - 19:58)
Да,низкодифференцированная.



улучшил качество гистопрепаратов ))?
Пользователь offline
К началу страницы
+Ответить с цитированием
доктор морфолог
сообщение 18.12.2014 - 12:02
Сообщение #4


Мастер I

Группа: СМЭ
Регистрация: 5.12.2013
Пользователь №: 38 421


Цитата(Evgenii2381 @ 16.12.2014 - 17:34)
Н/О в области молочной железы у кошки (Аденокарцинома?)
Опухоль из элементов потовой железы с тенденцией к светлоклеточной дифференцировки.
Пользователь offline
К началу страницы
+Ответить с цитированием




- Обратная связь Сейчас: 7.11.2025 - 21:19