Здравствуйте, гость ( Вход | Регистрация )

Форум судебных медиков России
 
>

Инфильтрация лимфоцитами стенки почечной лоханки, Консультация гистологических препаратов

>
Надежда Ивановна
сообщение 17.12.2014 - 00:06
Сообщение #1


Опытный участник

Группа: Участники
Регистрация: 28.01.2014
Из: Московская область
Пользователь №: 38 804


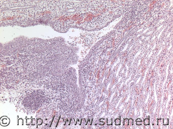
Имея в собственной практике просмотр несколько тысяч гистопрепаратов почек, такое наблюдаю впервые. В одной из почек отмечено:
выраженная инфильтрация прилежащей к наружной поверхности почечной лоханки соединительной и адипозной ткани мононуклеарами с преобладанием лимфоцитов без признаков пролиферативной активности со стороны последних;
формирование в указанной области единичных лимфоузлов;
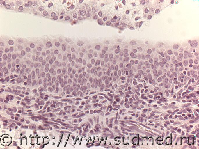
очаговая инфильтрация эпителия почечной лоханки мононуклеарами.
Это аутоиммунный процесс или что то другое?
На первой фотографии стрелками указаны области инфильтрации, увеличение остальных фотографий х10, х20, х40


Эскизы прикрепленных изображений
Судебная медицина - Прикрепленное изображение Судебная медицина - Прикрепленное изображение Судебная медицина - Прикрепленное изображение Судебная медицина - Прикрепленное изображение Судебная медицина - Прикрепленное изображение Судебная медицина - Прикрепленное изображение Судебная медицина - Прикрепленное изображение Судебная медицина - Прикрепленное изображение Судебная медицина - Прикрепленное изображение Судебная медицина - Прикрепленное изображение Судебная медицина - Прикрепленное изображение
Пользователь offline
К началу страницы
+Ответить с цитированием
Медик
сообщение 17.12.2014 - 10:50
Сообщение #2


Учитель
Group Icon
Группа: Модераторы
Регистрация: 16.05.2010
Пользователь №: 21 553


Цитата(Надежда Ивановна @ 17.12.2014 - 01:06)

формирование в указанной области единичных лимфоузлов;

Не лимфатичеких узлов, а лимфоидных фолликулов.
Хронический пиелонефрит Вас не устраивает ?
Пользователь offline
К началу страницы
+Ответить с цитированием
jaklin
сообщение 17.12.2014 - 11:14
Сообщение #3


Продвинутый участник

Группа: СМЭ
Регистрация: 22.07.2011
Пользователь №: 28 038


Цитата(Медик @ 17.12.2014 - 11:50)
Не лимфатичеких узлов, а лимфоидных фолликулов.
Хронический пиелонефрит Вас не устраивает ?


Уважаемый медик!
А почему хронический-то? Утолщения стенки нет, даже пролиферации фибробластов не увидела
Пользователь offline
К началу страницы
+Ответить с цитированием
Надежда Ивановна
сообщение 17.12.2014 - 13:28
Сообщение #4


Опытный участник

Группа: Участники
Регистрация: 28.01.2014
Из: Московская область
Пользователь №: 38 804


Цитата(Медик @ 17.12.2014 - 11:50)
Не лимфатичеких узлов, а лимфоидных фолликулов.
Хронический пиелонефрит Вас не устраивает ?


Я указала ФОРМИРОВАНИЕ лимфоузлов. На данном этапе процесса на фотографиях представлены лимфоидные фолликулы, как Вы правильно заметили, но, видя особенность их структуры на большом увеличении, можно с большой вероятностью предположить, что в дальнейшем из них сформируются обособленные структуры, т.е. лимфоузлы. Такое явление часто наблюдаю а поджелудочной железе между дольками.
Возможно, это начальный этап развития указанного Вами процесса (хронический пиелонефрит), но со стороны почечной лоханки изменений нет, как верно заметила Жаклин, гиперплазия стенки лоханки тоже не наблюдается. В отмеченных стрелкой областях наблюдается масса лимфоцитов, среди которых встречаются единичные макрофаги. Лимфоциты атакуют лоханку снаружи, со стороны прилежащей соединительной ткани, т.е. воспалительный процесс развивается снаружи, а не изнутри.

Сообщение отредактировал Надежда Ивановна - 17.12.2014 - 13:32
Пользователь offline
К началу страницы
+Ответить с цитированием
jaklin
сообщение 17.12.2014 - 19:33
Сообщение #5


Продвинутый участник

Группа: СМЭ
Регистрация: 22.07.2011
Пользователь №: 28 038


Я бы назвала это серозным пиелитом, т.к. нефрита - поражение мозгового слоя не вижу.
А что в других органах? Возможно это просто генерализованная гиперплазия лимфоидной ткани внутренних органов?(в скобках перечисляем их).
Пользователь offline
К началу страницы
+Ответить с цитированием
Надежда Ивановна
сообщение 17.12.2014 - 22:47
Сообщение #6


Опытный участник

Группа: Участники
Регистрация: 28.01.2014
Из: Московская область
Пользователь №: 38 804


Цитата(jaklin @ 17.12.2014 - 20:33)
Я бы назвала это серозным пиелитом, т.к. нефрита - поражение мозгового слоя не вижу.
А что в других органах? Возможно это просто генерализованная гиперплазия лимфоидной ткани внутренних органов?(в скобках перечисляем их).


Со стороны остальных органов отклонений от нормы не наблюдалось. Благодарю Вас за ответ!
Пользователь offline
К началу страницы
+Ответить с цитированием
доктор морфолог
сообщение 18.12.2014 - 05:23
Сообщение #7


Мастер I

Группа: СМЭ
Регистрация: 5.12.2013
Пользователь №: 38 421


Цитата(Надежда Ивановна @ 17.12.2014 - 04:06)
Имея в собственной практике просмотр несколько тысяч гистопрепаратов почек, такое наблюдаю впервые. В одной из почек отмечено:
выраженная инфильтрация прилежащей к наружной поверхности почечной лоханки соединительной и адипозной ткани мононуклеарами с преобладанием лимфоцитов без признаков пролиферативной активности со стороны последних;
формирование в указанной области единичных лимфоузлов;
очаговая инфильтрация эпителия почечной лоханки мононуклеарами.
Это аутоиммунный процесс или что то другое?
На первой фотографии стрелками указаны области инфильтрации, увеличение остальных фотографий х10, х20, х40

Добрый день! 2 дня у нас был праздник.Не исключается аутоиммунная реакция с лимфоррагией( иммунный ответ реагируют) и кроме этого не исключается экстрамедуллярные очаги кроветворения, т.к. почка также участвует в гемопоэзе. Нужно знать на что эта реакция( не важно первая либо вторая)на введение препаратов или вирусно-бактериальная инфекция. Но для серозного д.б.фаза альтерации( полнокровие, отечность,единичные элементы лейкоцитарного ряда но не лимфоцитарного т.к.серозное восп. это острое начало и хотя также является местной защитно-приспособительной ответной реакцией, на последнем снимке видны склеивание эритроцитов, на других фото видны полнокровие и эритродиапедез, и в толще переходноклеточных( слизистая ЧЛС) эпителии единичные круглоклеточные гиперхромные клетки с того же места где скопление миелоидного типа клеток, а также наблюдается дистрофия, десквамация эпителии ЧЛС. Не видно сформированных малых, средних и больших лимфоцитов, а видно незрелые миелоидного ряда клетки. с ув.

Сообщение отредактировал доктор морфолог - 18.12.2014 - 05:44
Пользователь offline
К началу страницы
+Ответить с цитированием




- Обратная связь Сейчас: 8.11.2025 - 00:18