Здравствуйте, гость ( Вход | Регистрация )

Форум судебных медиков России
 
>

Неспецифический аорто- артериит?

>
a..anka
сообщение 10.10.2016 - 15:22
Сообщение #1


Участник форума

Группа: Участники
Регистрация: 10.11.2014
Пользователь №: 40 705


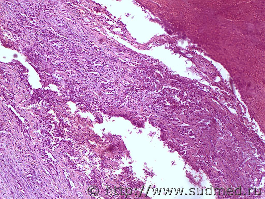
Уважаемые коллеги, подскажите, не похожа ли патология в аорте на синдром Такаясу? Опыта в подобных заболеваниях у меня нет, боюсь пропустить. На секции молодой парень 1995 г.р с тампонадой сердечной сорочки (645 мл), разрывом восходящей дуги аорты (макро танатолог видит в аорте атеросклетоз), сердце большое, 620 г, ЛЖ=2,2 см.


Эскизы прикрепленных изображений
Судебная медицина - Прикрепленное изображение Судебная медицина - Прикрепленное изображение Судебная медицина - Прикрепленное изображение Судебная медицина - Прикрепленное изображение Судебная медицина - Прикрепленное изображение Судебная медицина - Прикрепленное изображение Судебная медицина - Прикрепленное изображение Судебная медицина - Прикрепленное изображение
Пользователь offline
К началу страницы
+Ответить с цитированием
Anton
сообщение 10.10.2016 - 19:41
Сообщение #2


Мастер II

Группа: СМЭ
Регистрация: 6.12.2011
Из: Опорный край державы
Пользователь №: 30 279


Исключайте с танатологом Марфана и ставьте Такаясу.
Пользователь offline
К началу страницы
+Ответить с цитированием
Медик
сообщение 11.10.2016 - 00:05
Сообщение #3


Учитель
Group Icon
Группа: Модераторы
Регистрация: 16.05.2010
Пользователь №: 21 553


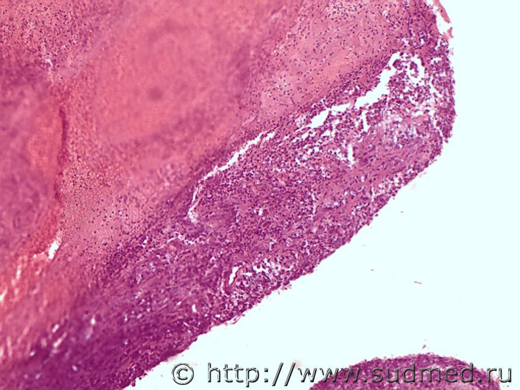
Хр.продуктивное воспаление + гигантоклеточный метаморфоз = неспецифический аортоартериит.
Пользователь offline
К началу страницы
+Ответить с цитированием
Медик
сообщение 11.10.2016 - 00:21
Сообщение #4


Учитель
Group Icon
Группа: Модераторы
Регистрация: 16.05.2010
Пользователь №: 21 553


Цитата(Anton @ 10.10.2016 - 20:41)
Марфана



Эскизы прикрепленных изображений
Судебная медицина - Прикрепленное изображение
Пользователь offline
К началу страницы
+Ответить с цитированием
a..anka
сообщение 11.10.2016 - 10:23
Сообщение #5


Участник форума

Группа: Участники
Регистрация: 10.11.2014
Пользователь №: 40 705


Спасибо, коллеги!
Пользователь offline
К началу страницы
+Ответить с цитированием
доктор морфолог
сообщение 11.10.2016 - 17:13
Сообщение #6


Мастер I

Группа: СМЭ
Регистрация: 5.12.2013
Пользователь №: 38 421


+деструкция и расслаивающее мезаортальное кровоизлияние, пристеночный тромбоз, париетальный эндокардит и не исключается миокардиты и субэндокардиальные инфаркты, септические эндокардиты ...

Сообщение отредактировал доктор морфолог - 11.10.2016 - 17:24
Пользователь offline
К началу страницы
+Ответить с цитированием
доктор морфолог
сообщение 11.10.2016 - 17:22
Сообщение #7


Мастер I

Группа: СМЭ
Регистрация: 5.12.2013
Пользователь №: 38 421


+ нужно искать пороки сердца, как коллеги отметили морфологию Марфана и Такаясу, пороки развития легочного ствола и коронарных артерии.
Пользователь offline
К началу страницы
+Ответить с цитированием
Медик
сообщение 11.10.2016 - 20:46
Сообщение #8


Учитель
Group Icon
Группа: Модераторы
Регистрация: 16.05.2010
Пользователь №: 21 553


Цитата(доктор морфолог @ 11.10.2016 - 18:22)
+ нужно искать пороки сердца, пороки развития легочного ствола и коронарных артерии.

Как искать,если труп уже вскрыт ? wink.gif
Пользователь offline
К началу страницы
+Ответить с цитированием
доктор морфолог
сообщение 12.10.2016 - 18:40
Сообщение #9


Мастер I

Группа: СМЭ
Регистрация: 5.12.2013
Пользователь №: 38 421


Цитата(Медик @ 11.10.2016 - 23:46)
Как искать,если труп уже вскрыт ? wink.gif

Танатолог наверняка искал да и исключил , возможноsmile.gif
Пользователь offline
К началу страницы
+Ответить с цитированием
a..anka
сообщение 19.10.2016 - 16:16
Сообщение #10


Участник форума

Группа: Участники
Регистрация: 10.11.2014
Пользователь №: 40 705


Цитата(доктор морфолог @ 12.10.2016 - 18:40)
Танатолог наверняка искал да и исключил , возможноsmile.gif

Да, конечно исключил. Кстати, умерший парень был крупным, физически здоровым, заехал на машине за девушкой в университет, и в машине умер.
Пользователь offline
К началу страницы
+Ответить с цитированием
доктор морфолог
сообщение 19.10.2016 - 18:20
Сообщение #11


Мастер I

Группа: СМЭ
Регистрация: 5.12.2013
Пользователь №: 38 421


Но по микроморфологии аорты парень был не совсем здоровым т.к.продуктивный мезаортит с расслоением стенки аорты и разрывом стенки, кроме того огромная масса ни одного дня развития.
Пользователь offline
К началу страницы
+Ответить с цитированием




- Обратная связь Сейчас: 9.11.2025 - 19:34