Здравствуйте, гость ( Вход | Регистрация )

Форум судебных медиков России
 
>

Опухоль ротовой полости у кошки

>
d.i.krasnoperov
сообщение 10.11.2016 - 12:23
Сообщение #1


Вновь прибывший

Группа: Участники
Регистрация: 8.11.2016
Пользователь №: 44 807


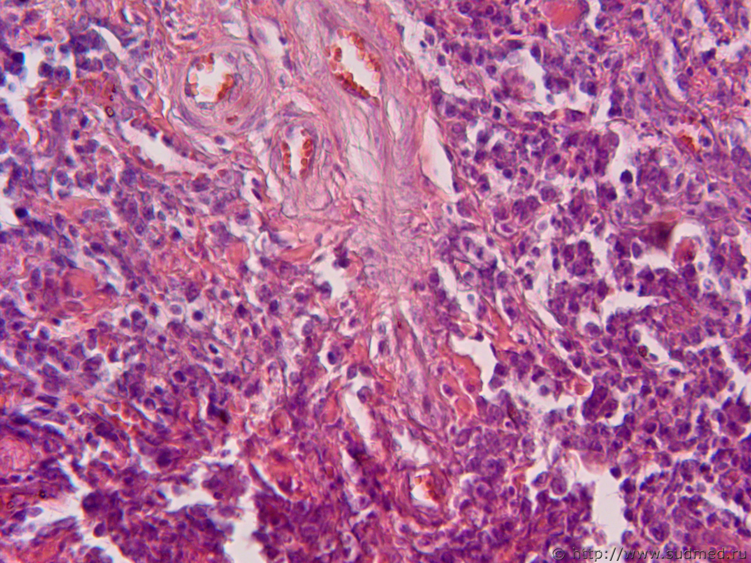
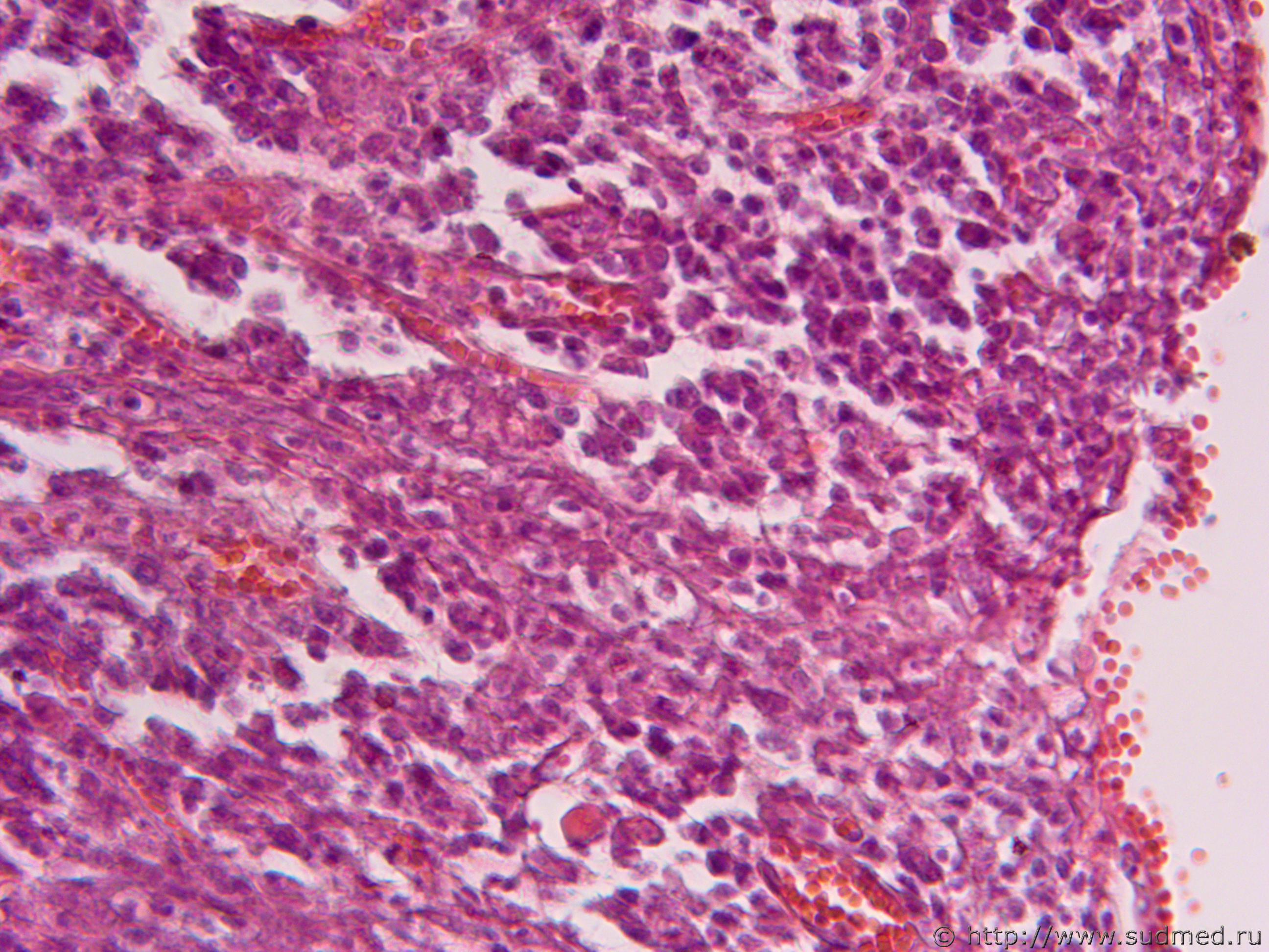
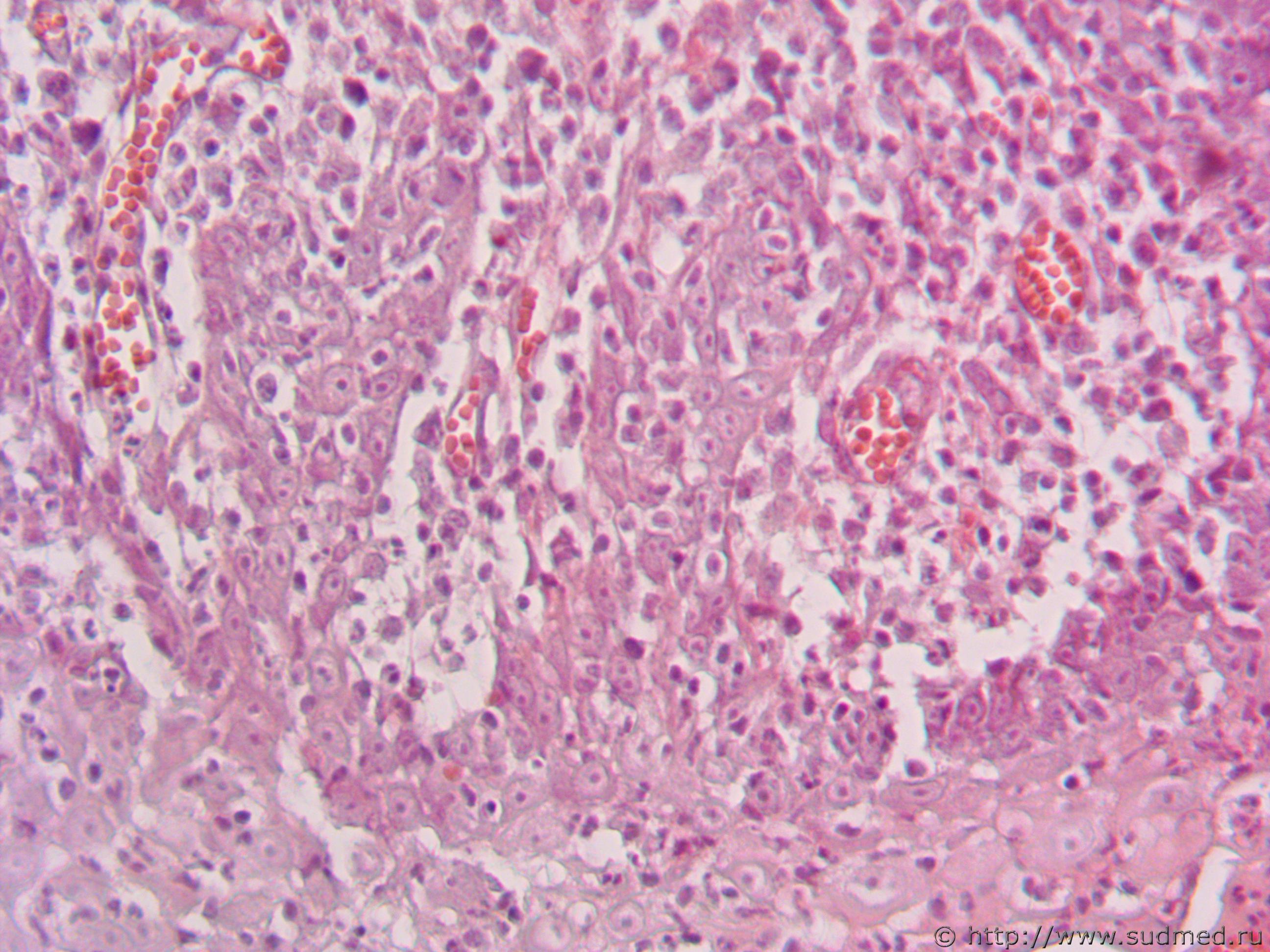
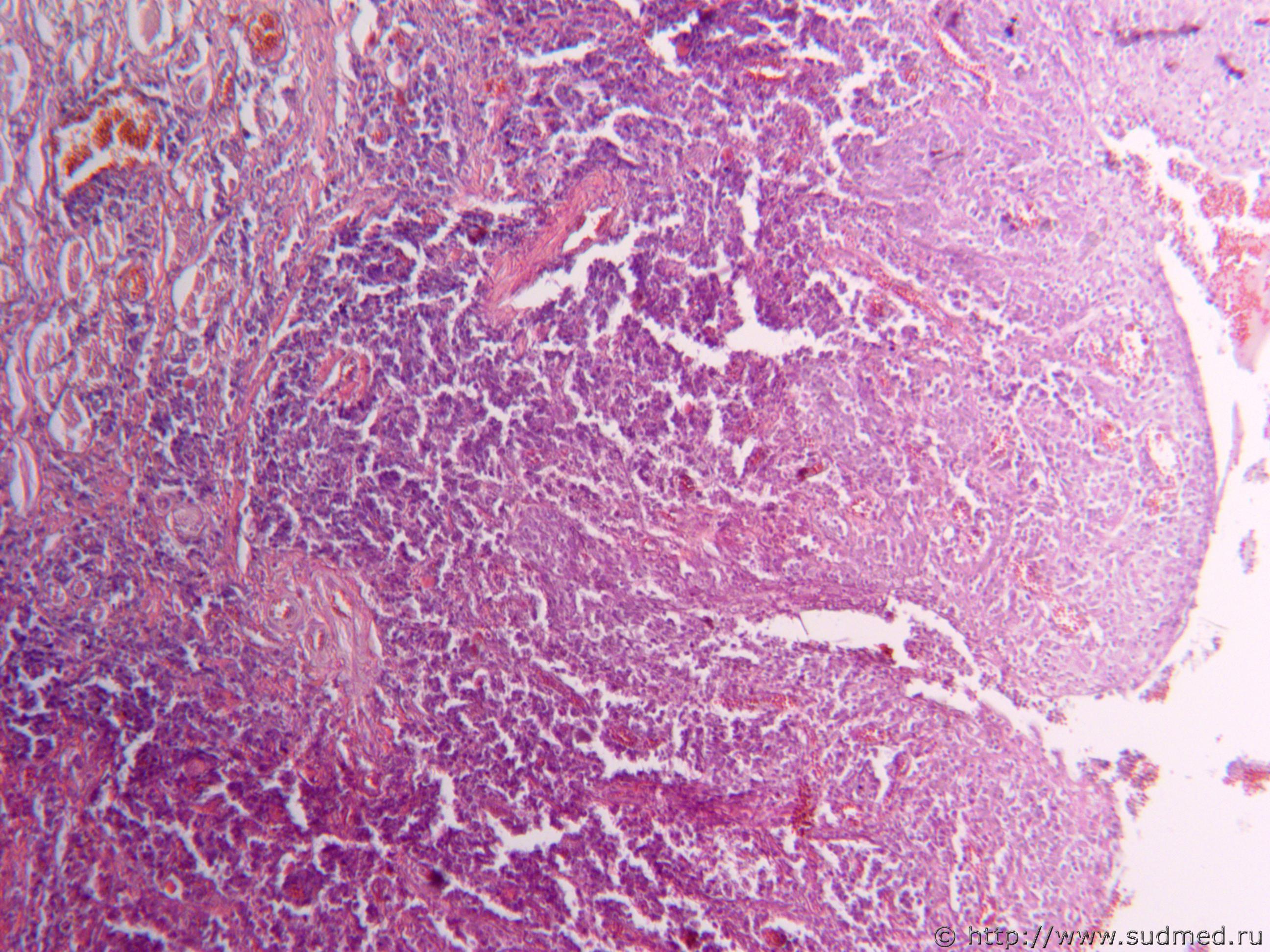
Здравствуйте! С вашего позволения предоставлю случай, над которым сами уже изрядно поломали голову. Сразу говорю, история ветеринарная. Кошка, 5 лет, опухоль небной занавески, переходящая на язык. Рост отмечается с июня. Глотание твердой пищи с болью. Очень нужна помощь в морф. диагнозе


Эскизы прикрепленных изображений
Судебная медицина - Прикрепленное изображение Судебная медицина - Прикрепленное изображение Судебная медицина - Прикрепленное изображение Судебная медицина - Прикрепленное изображение Судебная медицина - Прикрепленное изображение Судебная медицина - Прикрепленное изображение Судебная медицина - Прикрепленное изображение Судебная медицина - Прикрепленное изображение Судебная медицина - Прикрепленное изображение
Пользователь offline
К началу страницы
+Ответить с цитированием
Медик
сообщение 10.11.2016 - 14:22
Сообщение #2


Учитель
Group Icon
Группа: Модераторы
Регистрация: 16.05.2010
Пользователь №: 21 553


Похоже на аденокарциному.
Пользователь offline
К началу страницы
+Ответить с цитированием
доктор морфолог
сообщение 10.11.2016 - 14:44
Сообщение #3


Мастер I

Группа: СМЭ
Регистрация: 5.12.2013
Пользователь №: 38 421


Опухоль из лимфоретикулярной тканит.е. плазмоцитома носоглотки.

Сообщение отредактировал доктор морфолог - 10.11.2016 - 14:53
Пользователь offline
К началу страницы
+Ответить с цитированием
d.i.krasnoperov
сообщение 10.11.2016 - 20:17
Сообщение #4


Вновь прибывший

Группа: Участники
Регистрация: 8.11.2016
Пользователь №: 44 807


Благодарю за помощь!
Пользователь offline
К началу страницы
+Ответить с цитированием
Медик
сообщение 10.11.2016 - 21:07
Сообщение #5


Учитель
Group Icon
Группа: Модераторы
Регистрация: 16.05.2010
Пользователь №: 21 553


Цитата(доктор морфолог @ 10.11.2016 - 15:44)
плазмоцитома

Прямо в "десятку".
Посмотрел атласы по опухолям - это она.
Пользователь offline
К началу страницы
+Ответить с цитированием




- Обратная связь Сейчас: 7.11.2025 - 17:50