Здравствуйте, гость ( Вход | Регистрация )

Форум судебных медиков России
 
>

Опухоль грудной железы

>
IVANNES
сообщение 21.03.2017 - 11:18
Сообщение #1


Опытный участник

Группа: СМЭ
Регистрация: 28.02.2015
Пользователь №: 41 483


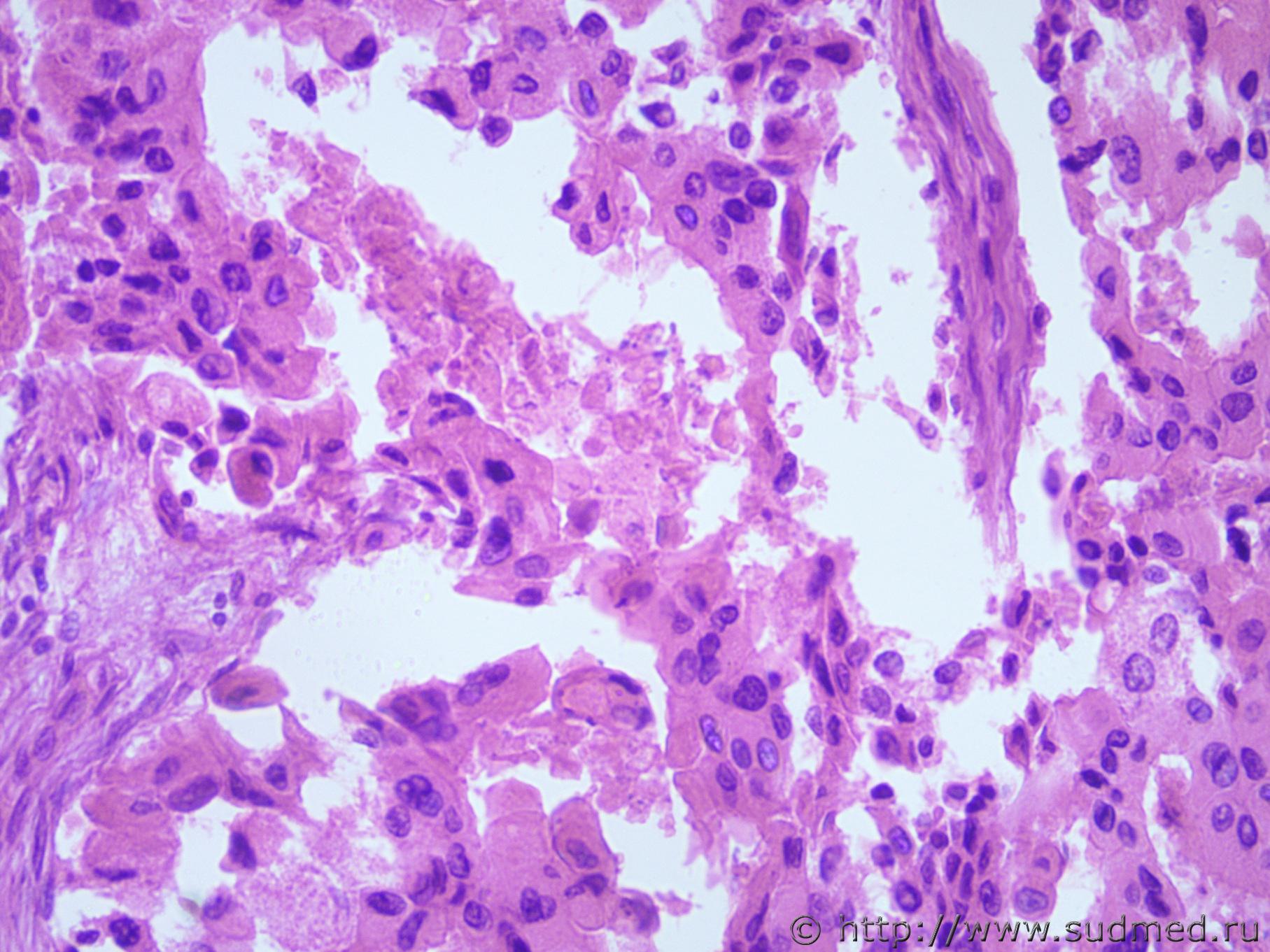
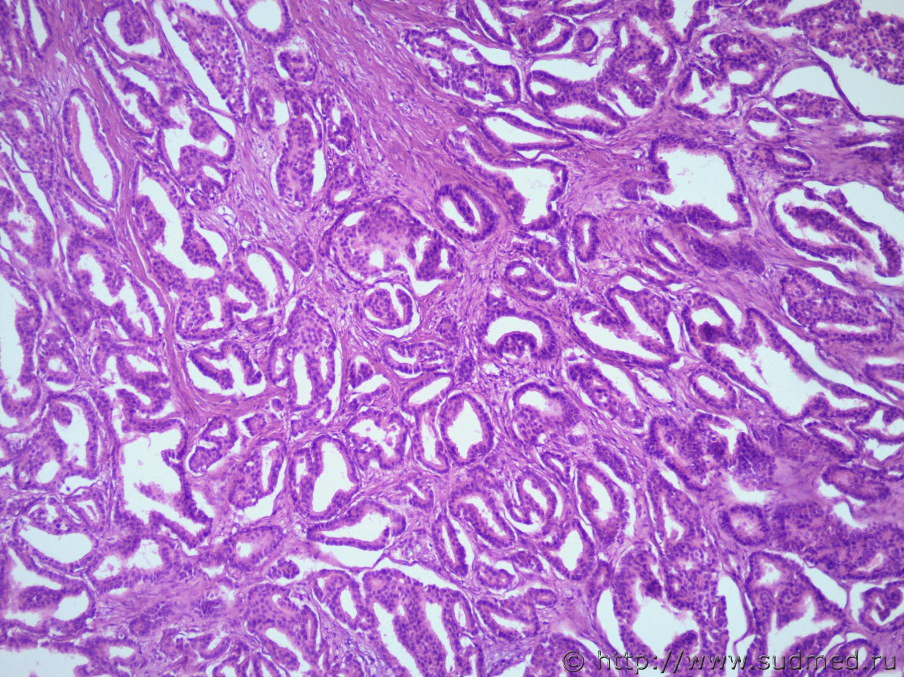
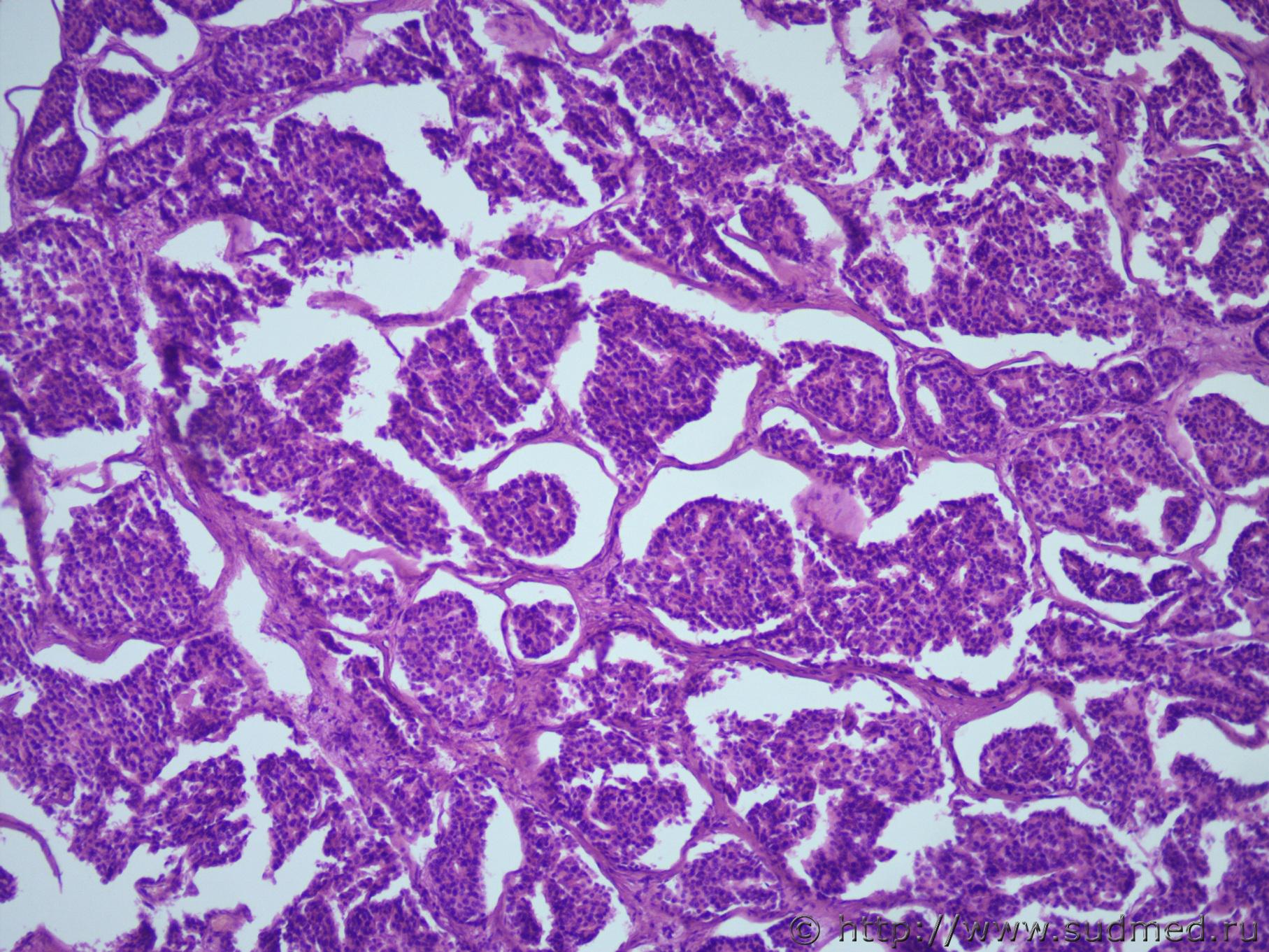
Мужчина 66 лет опухоль грудной железы, размеры не указаны, серого цвета, плотно-эластической консистенции. Судебная медицина - Прикрепленное изображениеСудебная медицина - Прикрепленное изображениеСудебная медицина - Прикрепленное изображениеСудебная медицина - Прикрепленное изображение
Судебная медицина - Прикрепленное изображение
Пользователь offline
К началу страницы
+Ответить с цитированием
sudmedpatolog
сообщение 21.03.2017 - 17:28
Сообщение #2


Новичок

Группа: Участники
Регистрация: 27.10.2016
Пользователь №: 44 738


Я бы, наверное, подумала, что это инфильтрирующий дольковый рак. Подождём более опытных коллег=)
Пользователь offline
К началу страницы
+Ответить с цитированием
Медик
сообщение 21.03.2017 - 17:38
Сообщение #3


Учитель
Group Icon
Группа: Модераторы
Регистрация: 16.05.2010
Пользователь №: 21 553


Протоковый рак.
Пользователь offline
К началу страницы
+Ответить с цитированием
sudmedpatolog
сообщение 21.03.2017 - 17:42
Сообщение #4


Новичок

Группа: Участники
Регистрация: 27.10.2016
Пользователь №: 44 738


Цитата(Медик @ 21.03.2017 - 17:38)
Протоковый рак.

Не успела сама себя исправить 😔 Спасибо, Медик!
Пользователь offline
К началу страницы
+Ответить с цитированием
Медик
сообщение 21.03.2017 - 17:47
Сообщение #5


Учитель
Group Icon
Группа: Модераторы
Регистрация: 16.05.2010
Пользователь №: 21 553


Цитата(sudmedpatolog @ 21.03.2017 - 18:28)
дольковый рак.

Этому раку наиболее типичен рост отдельных клеток в виде цепочек,напоминающих нити жемчуга или же есть ещё др.тип - структуры мишеней.При этом раздельно лежащие в фиброзной строме опухолевые клетки окружают протоки концентрическими слоями.Раковые клетки мономорфные,мелкие,круглые с минимально выраженными признаками полиморфизма.Иногда возможно увидеть признаки внутриклеточного слизеобразования,приводящие к формированию перстневидных клеток.
Есть ли это на представленных фото ?
Р.S.Пока печатал это сообщение,появилось Ваше предыдущее. smile.gif

Сообщение отредактировал Медик - 21.03.2017 - 17:57
Пользователь offline
К началу страницы
+Ответить с цитированием
sudmedpatolog
сообщение 21.03.2017 - 17:51
Сообщение #6


Новичок

Группа: Участники
Регистрация: 27.10.2016
Пользователь №: 44 738


Цитата(Медик @ 21.03.2017 - 17:47)

Есть ли это на представленных фото ?

Уважаемый Медик, я же написала, что ошиблась, так что не судите строго. Увидела Ваше сообщение и посчитала, что исправлять уже бессмысленно. Покопавшись в мозгах вспомнила случай месячной давности. Тот же РМЖ, мужчина и возраст за 60. Картина была аналогичная, так же и поставили протоковый рак.
Пользователь offline
К началу страницы
+Ответить с цитированием
Медик
сообщение 21.03.2017 - 17:58
Сообщение #7


Учитель
Group Icon
Группа: Модераторы
Регистрация: 16.05.2010
Пользователь №: 21 553


Цитата(sudmedpatolog @ 21.03.2017 - 18:51)
я же написала, что ошиблась

Я Вас понял.
Пользователь offline
К началу страницы
+Ответить с цитированием
доктор морфолог
сообщение 21.03.2017 - 23:37
Сообщение #8


Мастер I

Группа: СМЭ
Регистрация: 5.12.2013
Пользователь №: 38 421


По представленным рисункам похожи переход от атипической гиперплазии к дольковой карциномы на месте. Нужно провести ИГХ: - кадгерин Е и - катенин. + Цитокератин.
Пользователь offline
К началу страницы
+Ответить с цитированием
IVANNES
сообщение 22.03.2017 - 09:16
Сообщение #9


Опытный участник

Группа: СМЭ
Регистрация: 28.02.2015
Пользователь №: 41 483


Я тоже склоняюсь к инвазивному протоковому раку. К сожалению у нас нет ИГХ. sad.gif
Пользователь offline
К началу страницы
+Ответить с цитированием
Медик
сообщение 22.03.2017 - 09:35
Сообщение #10


Учитель
Group Icon
Группа: Модераторы
Регистрация: 16.05.2010
Пользователь №: 21 553


Цитата(доктор морфолог @ 22.03.2017 - 00:37)
Нужно провести ИГХ

Надо ли это трупу и есть ли такая возможность в бюро ?
Какая уже разница,главное,что это рак.
Пользователь offline
К началу страницы
+Ответить с цитированием
Медик
сообщение 22.03.2017 - 09:43
Сообщение #11


Учитель
Group Icon
Группа: Модераторы
Регистрация: 16.05.2010
Пользователь №: 21 553


Показал коллегам.
Мнение их : на первом фото дольковый рак,а на остальных фото протоковый рак.
Пользователь offline
К началу страницы
+Ответить с цитированием
доктор морфолог
сообщение 23.03.2017 - 00:09
Сообщение #12


Мастер I

Группа: СМЭ
Регистрация: 5.12.2013
Пользователь №: 38 421


Солидарен с ув.Медиком , что рак у трупа т.е.далее нет смысла ИГХ.
Пользователь offline
К началу страницы
+Ответить с цитированием




- Обратная связь Сейчас: 5.11.2025 - 02:18