Здравствуйте, гость ( Вход | Регистрация )

Форум судебных медиков России
 
>

метастазы

>
IVANNES
сообщение 10.08.2018 - 09:39
Сообщение #1


Опытный участник

Группа: СМЭ
Регистрация: 28.02.2015
Пользователь №: 41 483


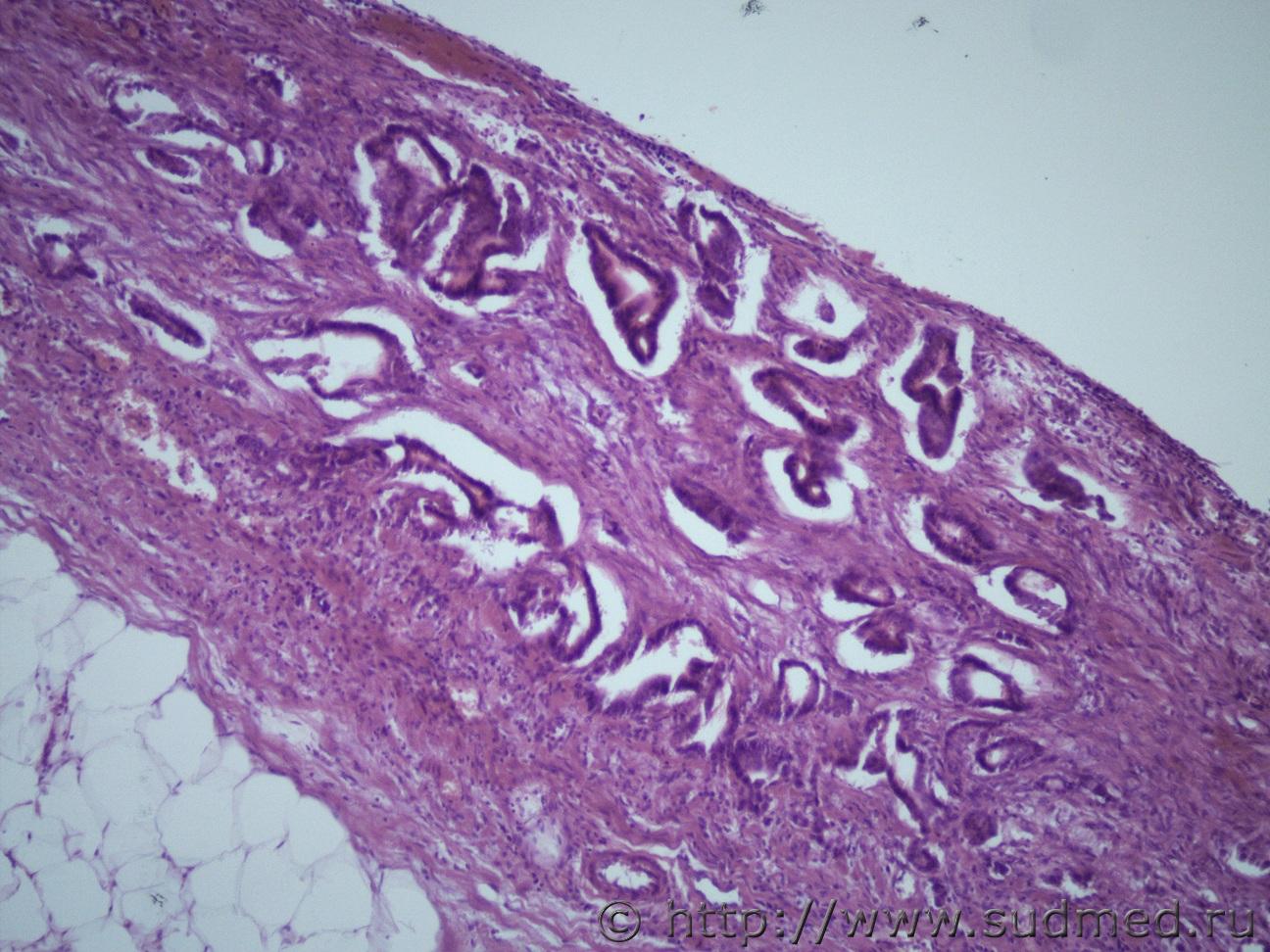
Ув. коллеги помогите))) Рак ПЖ с метастазами в брыжейку кишечника, забрюшинное пространство, большой сальник. Самой ПЖ на исследование не прислали. Есть только метастазы. Могу ли я по ним написать заключение, что это метастазы такого-то рака ПЖ? Микро-пролиферация атипичных полиморфных клеток с крупными и мелкими гиперхромными ядрами округлой, овальной, неправильной формы с патологическими митозами, напоминающими строение железистых структур. Мне кажется это протоковая аденокарцинома. Судебная медицина - Прикрепленное изображение Судебная медицина - Прикрепленное изображениеСудебная медицина - Прикрепленное изображение
Пользователь offline
К началу страницы
+Ответить с цитированием
griga
сообщение 10.08.2018 - 10:18
Сообщение #2


Авторитетный участник

Группа: СМЭ
Регистрация: 10.02.2006
Пользователь №: 1 250


Я бы не стал уточнять без иммуногистохимии. Метастаз и материнская опухоль не всегда имеют одинаковое строение.
Пользователь offline
К началу страницы
+Ответить с цитированием
IVANNES
сообщение 10.08.2018 - 11:07
Сообщение #3


Опытный участник

Группа: СМЭ
Регистрация: 28.02.2015
Пользователь №: 41 483


Цитата(griga @ 10.08.2018 - 10:18)
Я бы не стал уточнять без иммуногистохимии. Метастаз и материнская опухоль не всегда имеют одинаковое строение.

Я тоже такого мнения. Но в моем распоряжении только гематоксилин-эозин, иммуногистохимии у нас нет, мы не патан и нам не положено. А опухоли попадаются часто, и всегда с этим проблема, дабы не ошибиться. А то расхождение между дз при жизни и нашим чревато последствиями. А о наличии прижизненного дз нам не когда не сообщают.((( и сидишь голову ломаешь.
Пользователь offline
К началу страницы
+Ответить с цитированием
Медик
сообщение 10.08.2018 - 11:56
Сообщение #4


Учитель
Group Icon
Группа: Модераторы
Регистрация: 16.05.2010
Пользователь №: 21 553


Цитата(IVANNES @ 10.08.2018 - 10:39)
Могу ли я по ним написать заключение, что это метастазы такого-то рака ПЖ?

Метастаз аденокарциномы.Уровень дифференцировки опухоли по метастазам не определяют.
Про ПЖ ничего не пишите.

Цитата(IVANNES @ 10.08.2018 - 12:07)
иммуногистохимии

Это лишнее.

Цитата(IVANNES @ 10.08.2018 - 12:07)
сидишь голову ломаешь.

Сильно уж не ломайте,выкладывайте на форум. wink.gif

Сообщение отредактировал Медик - 10.08.2018 - 11:54
Пользователь offline
К началу страницы
+Ответить с цитированием
IVANNES
сообщение 10.08.2018 - 12:40
Сообщение #5


Опытный участник

Группа: СМЭ
Регистрация: 28.02.2015
Пользователь №: 41 483


Цитата(Медик @ 10.08.2018 - 11:56)
Метастаз аденокарциномы.Уровень дифференцировки опухоли по метастазам не определяют.
Про ПЖ ничего не пишите.
Это лишнее.
Сильно уж не ломайте,выкладывайте на форум. wink.gif

Спасибо Вам огромное. Я и так последнее время все опухоли сюда скидываю, для подстраховки))))
Пользователь offline
К началу страницы
+Ответить с цитированием
доктор морфолог
сообщение 10.08.2018 - 20:01
Сообщение #6


Мастер I

Группа: СМЭ
Регистрация: 5.12.2013
Пользователь №: 38 421


Цитата(Медик @ 10.08.2018 - 14:56)
Метастаз аденокарциномы.Уровень дифференцировки опухоли по метастазам не определяют.
Про ПЖ ничего не пишите.
Это лишнее.
Сильно уж не ломайте,выкладывайте на форум. wink.gif

Согласен ув.Медик, mts AC.

Цитата(Медик @ 10.08.2018 - 14:56)
Метастаз аденокарциномы.Уровень дифференцировки опухоли по метастазам не определяют.
Про ПЖ ничего не пишите.
Это лишнее.
Сильно уж не ломайте,выкладывайте на форум. wink.gif

Согласен ув.Медик, mts AC. Источником м.б.минимум из 5-ти органов. Не указан пол,возраст.
Пользователь offline
К началу страницы
+Ответить с цитированием




- Обратная связь Сейчас: 11.11.2025 - 09:13