Здравствуйте, гость ( Вход | Регистрация )

Форум судебных медиков России
>   Правила консультационного раздела >

ВНИМАНИЕ! Все сообщения проходят предварительную проверку модератором и только после этого появляются на форуме. Порядок работы раздела изложен в правилах форума.
Все консультации на форуме бесплатны, но если мы смогли вам помочь, вы можете поддержать наш проект (подробнее).

 
 
>

Нужна помощь в оценке морфологических изменений печени

>
Halumi
сообщение 22.08.2018 - 22:22
Сообщение #1


Вновь прибывший

Группа: Участники
Регистрация: 22.08.2018
Пользователь №: 46 155


Уважаемые эксперты. Нужна Ваша помощь в оценке макро и микроскопических изменений печени у пациента. Пациенту 50 лет. Длительно злоупотреблял алкоголем.(более 20 лет).
В настоящее время жалобы на резкую слабость, бессонницу, есть участки алопеции на лице, тестикулярная атрофия. Расширенные вены пищевода Iст. (до 0.2см). Эластометрия печени (F2 по Metavir)
Заключение по пункционной биопсия печени (14.06.2018) В препаратах выявляется трепан биоптат, который содержит четыре портальных тракта обычного размера, признаков цирроза печени нет. Строение долек сохранено. Балки сформированы гепатоцитами, толщина балки 1-2 гепатоцита, все они сходятся к центральным венам. Гепатоциты с признаками тяжелой вакуольной дистрофии, некоторые гепатоциты с признаками балонной дистрофии, также есть признаки внутриклеточного холестаза. В портальных трактах определяется умеренная лимфогистиоцитарная инфильтрация, признаков интерфейсного гепатита нет.
Морфологические изменения в печени соответствуют тяжелой вакуольной дистрофии, что может отражать токсическое поражение паренхимы.
Лапароскопия с биопсией печени (11.07.2018) При ревизии печень обычных размеров, не увеличена, паренхима несколько уплотнена. Селезенка не увеличена.
Взят образец 10x10 мм по краю 3 сегмента печени. Образец направлен в 2 лаборатории.
Результат 1 лаборатории: Признаки перипортального фиброза с формированием единичных септ, скупая перипортальная лимфоцитарная инфильтрация, единичный участок крупнокапельной жировой дистрофии гепатоцитов (1%). (F2 Metavir)
Результат 2 лаборатории: Ткань печени обычного строения.
Результат 3 (второе мнение): Общая архитектоника долек не нарушена. Сохраняется радиальное расположение балок по отношению к функциональным центрам. Имеется незначительное расширение пространств Диссе. В цитоплазме гепатоцитов очаговая мелкокапельная жировая дистрофия. По ходу портальных трактов умеренно выраженный фиброз. Очаговая лимфоцитарная инфильтрация.
В пределах исследованного материала признаки цирроза, как то: чередование участков некроза с узлами-регенератами, участки склероза - не определяются.
Заключение. Гистологическая картина соответствует гепатофиброзу, хроническому персистирующему гепатиту вне выраженного обострения.
Пересмотрел стекла. Участки стекол с окраской на ретикулин вызвали вопросы, особенно в сочетании с такой макроскопией. Возникла мысль о неполном септальном циррозе. Может быть патоморфологи что-то недосматривают?


Эскизы прикрепленных изображений
Судебная медицина - Прикрепленное изображение Судебная медицина - Прикрепленное изображение Судебная медицина - Прикрепленное изображение Судебная медицина - Прикрепленное изображение
Пользователь offline
К началу страницы
+Ответить с цитированием
Медик
сообщение 23.08.2018 - 09:19
Сообщение #2


Учитель
Group Icon
Группа: Модераторы
Регистрация: 16.05.2010
Пользователь №: 21 553


Вы пишете,что "взят образец 10х10мм и направлен в 2 лаборатории".
1.Один "образец" не может быть направлен в 2 и более лабораторий.
2.Если "образец"направлен во 2 лабораторию,то или кусочек печени 10х10мм. разделили на 2 части или же готовые стекло -препараты пересмотрели во 2 лаборатории.
3.Если взятый кусок печени разделили на 2 части,то и морфологические изменения в каждой части разделённого кусочка печени могут быть разными.
4.Противоречий результатов микроскопии не вижу.В 1 и 2 лабораториях описан хронический портальный гепатит.Не понял про какие септы идёт речь.Септы могут быть порто-портальные и порто-центральные,а это важно для определения стадии хронического гепатита по Desmet или Кnodell .

На первом фото (макро) данных за цирроз печени нет.
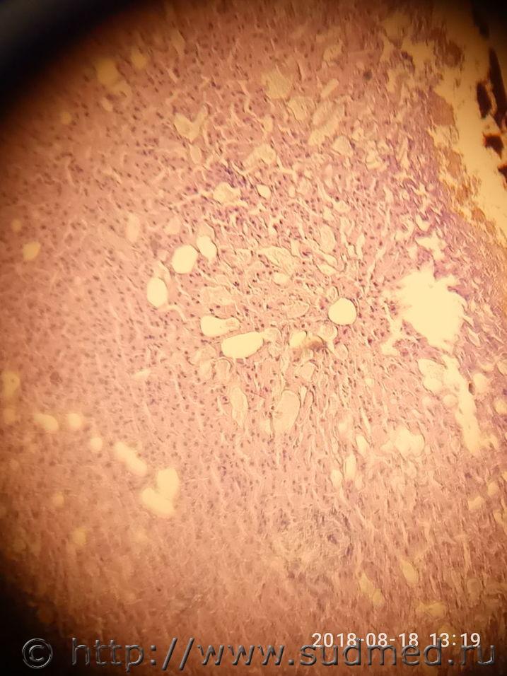
Остальные фотографии (микро) низкого качества.
Пользователь offline
К началу страницы
+Ответить с цитированием
Halumi
сообщение 23.08.2018 - 14:56
Сообщение #3


Вновь прибывший

Группа: Участники
Регистрация: 22.08.2018
Пользователь №: 46 155


Спасибо за Ваш ответ.
Цитата(Медик @ 23.08.2018 - 08:19)

На первом фото (макро) данных за цирроз печени нет.

Соглашусь с тем, что на фото (макро) данных за микронодулярную, макронодулярную и смешанную микромакронодулярную форму цирроза печени нет. Но, по морфологической классификации циррозов (Акапулько 1974, ВОЗ 1978) существует еще одна форма цирроза печени - неполный септальный цирроз (incomplete septal cirrhosis). К сожалению, информации по этой форме цирроза крайне мало. Некоторые авторы относят его к прогрессирующему или регрессирующему циррозу, другие к самостоятельной морфологической форме. Смог немного систематизировать, то что удалось найти в нескольких источниках.
Выявляется приблизительно в 1%-1.4% из всех биопсий (исследование проведено в Бельгии)
1. Печень макроскопически выглядит малоизмененной. Паренхиму рассекают часто слепо заканчивающиеся тонкие септы. Регенерация есть, но носит диффузный характер.
2. Трансаминазы и билирубин повышаются незначительно.
3. Тонкоигольная биопсия часто ложноотрицательна.
Разрешите немного изменить вопрос: Соответствует ли картина печени на фото (макро) фиброзу F2 (по Metavir), или нужно искать другую причину таких изменений?
Цитата(Медик @ 23.08.2018 - 08:19)

Остальные фотографии (микро) низкого качества.

К сожалению, более качественных фотографий нет. Но, тем не менее, на 4 фото (микро, окраска на ретикулин) видна "очерченность" по периферии дольки. Может ли такая картина быть в норме?
На фото 3 (микро, окраска на ретикулин (тонкоигольная биопсия)) от портального тракта отходит септа, как я предполагаю к центральной вене, но вероятно четких гистологических ориентиров нет.
Пользователь offline
К началу страницы
+Ответить с цитированием




- Обратная связь Сейчас: 8.11.2025 - 10:58