Здравствуйте, гость ( Вход | Регистрация )

Форум судебных медиков России
 
>

Опухоль

>
IVANNES
сообщение 31.08.2018 - 13:08
Сообщение #1


Опытный участник

Группа: СМЭ
Регистрация: 28.02.2015
Пользователь №: 41 483


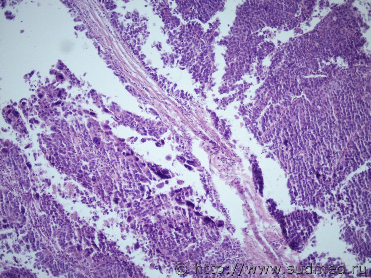
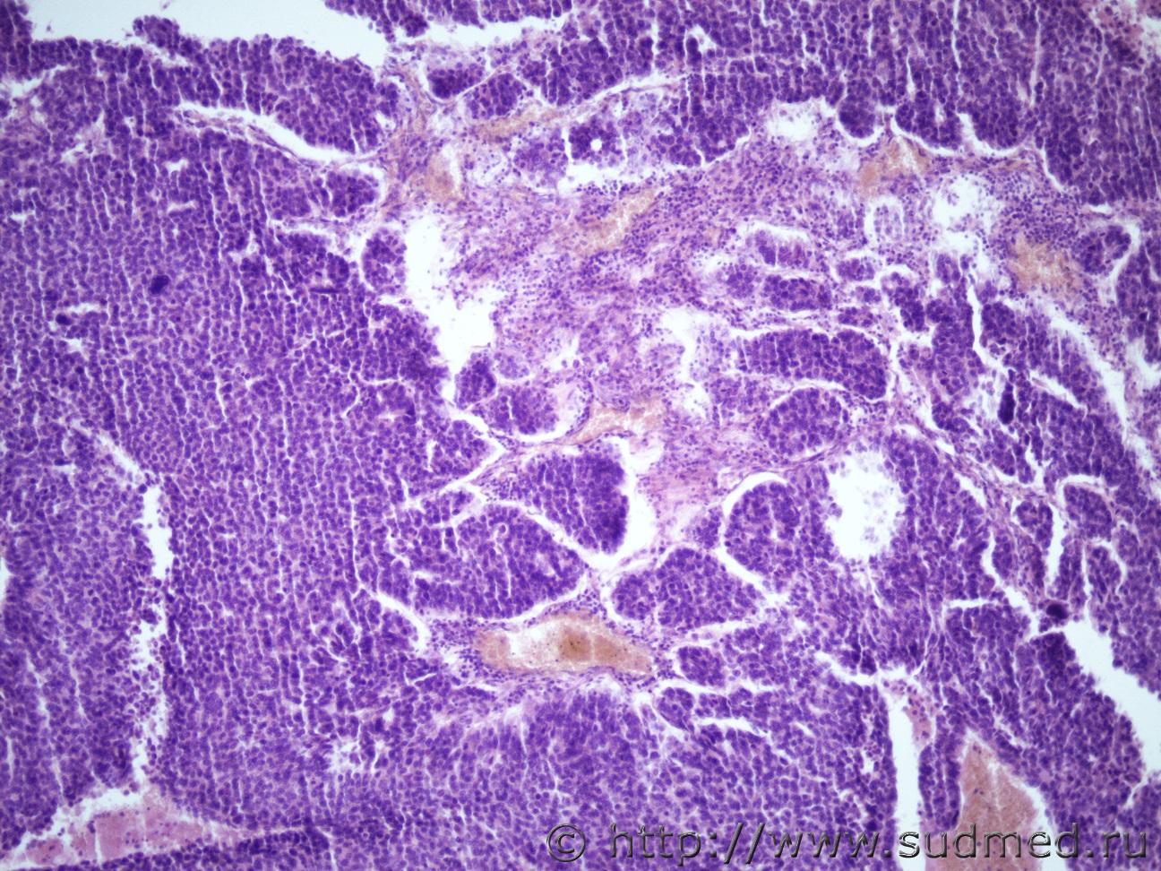
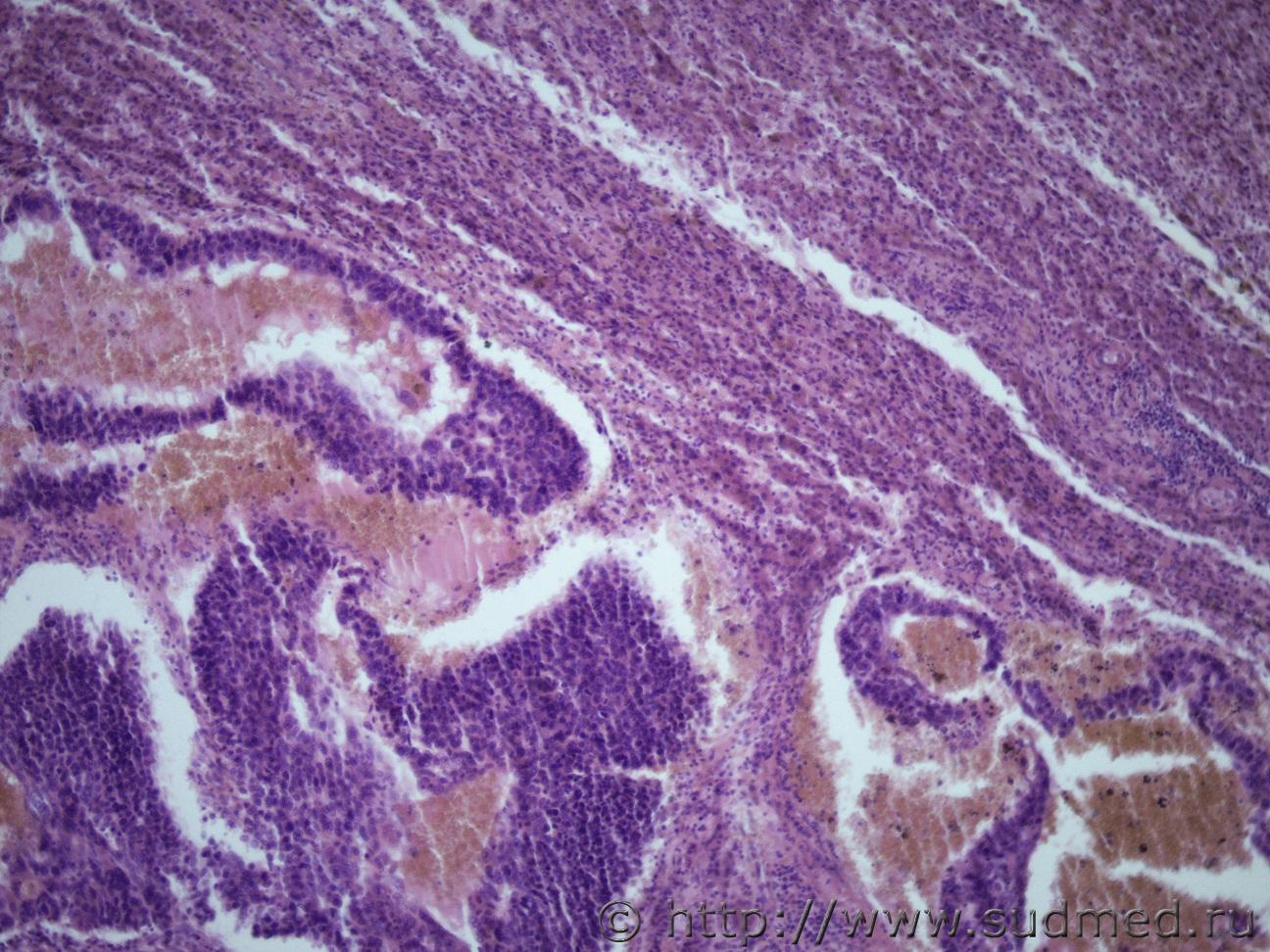
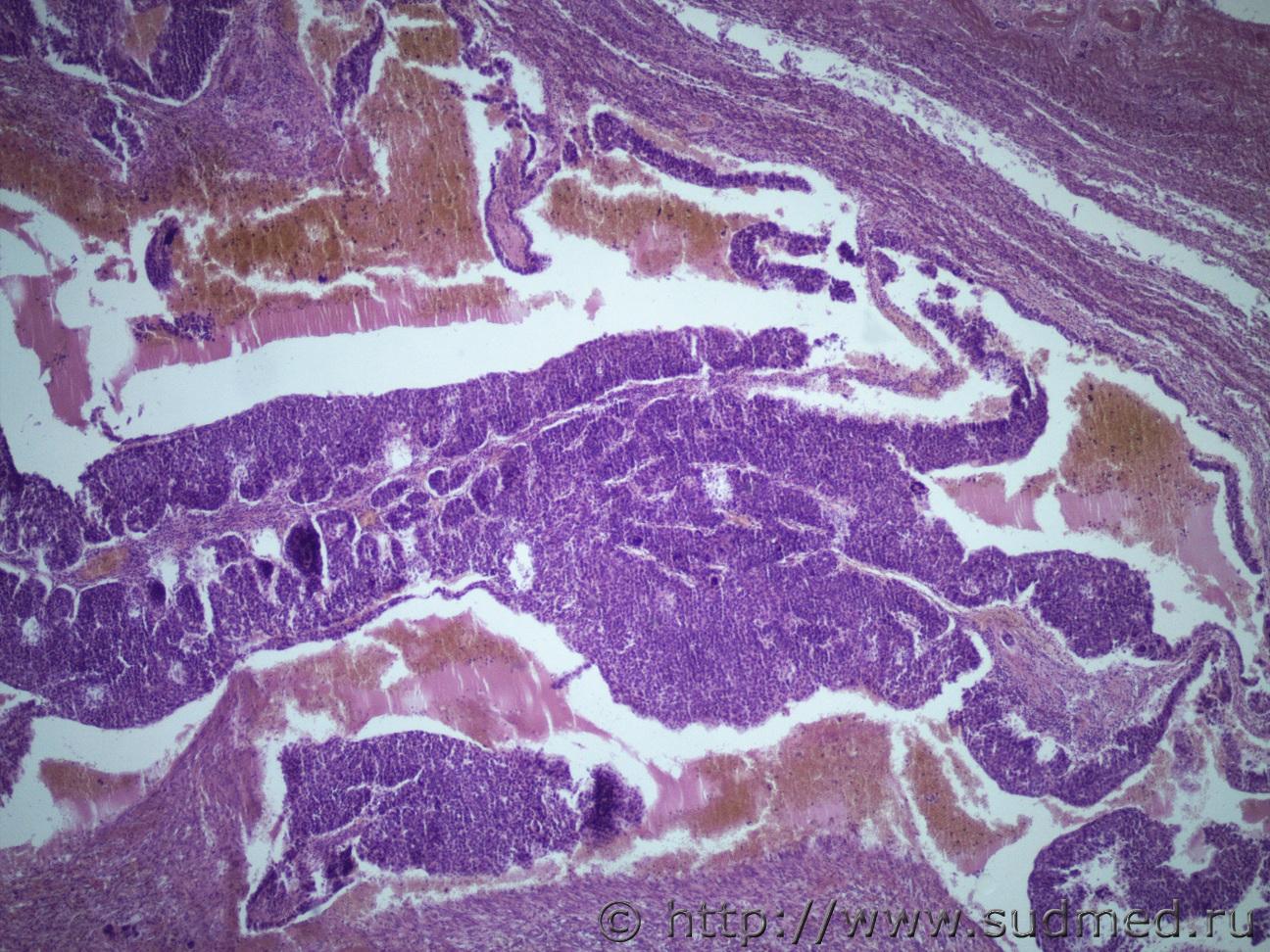
Ув. коллеги. Как и всегда необходима ваша профессиональная помощь. Жен 67 лет. На вскрытии - структура поджелудочной железы нарушена, гнойное распловление тела и хвоста пж, в области головки пж определяется плотноватый узел диаметром 5.5 см, богато васкуляризированный, на разрезе молочно-белого цвета с желтоватым оттенком, по консистенции близок к творожной массе. В области правой доли печени аналогичный узел. Судебная медицина - Прикрепленное изображение Судебная медицина - Прикрепленное изображениеСудебная медицина - Прикрепленное изображениеСудебная медицина - Прикрепленное изображениеСудебная медицина - Прикрепленное изображение
Судебная медицина - Прикрепленное изображениеСудебная медицина - Прикрепленное изображениеСудебная медицина - Прикрепленное изображение ПеченьСудебная медицина - Прикрепленное изображение Судебная медицина - Прикрепленное изображениеСудебная медицина - Прикрепленное изображениеСудебная медицина - Прикрепленное изображениеСудебная медицина - Прикрепленное изображение
Пользователь offline
К началу страницы
+Ответить с цитированием
доктор морфолог
сообщение 31.08.2018 - 15:05
Сообщение #2


Мастер I

Группа: СМЭ
Регистрация: 5.12.2013
Пользователь №: 38 421


Цитата(IVANNES @ 31.08.2018 - 16:08)
Ув. коллеги. Как и всегда необходима ваша профессиональная помощь. Жен 67 лет. На вскрытии - структура поджелудочной железы нарушена, гнойное распловление тела и хвоста пж, в области головки пж определяется плотноватый узел диаметром 5.5 см, богато васкуляризированный, на разрезе молочно-белого цвета с желтоватым оттенком, по консистенции близок к творожной массе. В области правой доли печени аналогичный узел. Судебная медицина - Прикрепленное изображение Судебная медицина - Прикрепленное изображениеСудебная медицина - Прикрепленное изображениеСудебная медицина - Прикрепленное изображениеСудебная медицина - Прикрепленное изображение
Судебная медицина - Прикрепленное изображениеСудебная медицина - Прикрепленное изображениеСудебная медицина - Прикрепленное изображение ПеченьСудебная медицина - Прикрепленное изображение Судебная медицина - Прикрепленное изображениеСудебная медицина - Прикрепленное изображениеСудебная медицина - Прикрепленное изображениеСудебная медицина - Прикрепленное изображение

Метастатическая карциноидная ( нейроэндокринная)опухоль ( круглоклеточная монморфность с гиперхромными ядрами и некроз)

Сообщение отредактировал доктор морфолог - 31.08.2018 - 15:37
Пользователь offline
К началу страницы
+Ответить с цитированием
Медик
сообщение 31.08.2018 - 16:05
Сообщение #3


Учитель
Group Icon
Группа: Модераторы
Регистрация: 16.05.2010
Пользователь №: 21 553


Цитата(доктор морфолог @ 31.08.2018 - 16:05)
карциноидная ( нейроэндокринная)опухоль

Поддерживаю.
Пользователь offline
К началу страницы
+Ответить с цитированием




- Обратная связь Сейчас: 5.11.2025 - 16:40