Здравствуйте, гость ( Вход | Регистрация )

Форум судебных медиков России
 
>

Жировая дистрофия гепатоцитов

>
Надежда Ивановна
сообщение 11.10.2018 - 18:16
Сообщение #1


Опытный участник

Группа: Участники
Регистрация: 28.01.2014
Из: Московская область
Пользователь №: 38 804


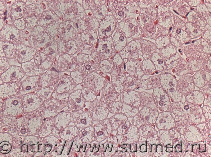
Имею просьбу оказать помощь в определении характера дистрофических изменений в гепатоцитах.
На первом рисунке дистрофические изменения определяюся, как мелковакуольные жировые. Ссылка на микрофотографию (6-я по счету):
https://ntp.niehs.nih.gov/nnl/hepatobiliary...llery/index.htm
На втором рисунке(ув.х400) я определила дистрофические изменения, как гидропические, однако, картина несколько похожа на представленную на первом рисунке.
Прошу высказать мнение относительно дистрофических изменений на втором рисунке.


Эскизы прикрепленных изображений
Судебная медицина - Прикрепленное изображение Судебная медицина - Прикрепленное изображение
Пользователь offline
К началу страницы
+Ответить с цитированием
Медик
сообщение 12.10.2018 - 11:52
Сообщение #2


Учитель
Group Icon
Группа: Модераторы
Регистрация: 16.05.2010
Пользователь №: 21 553


На представленных фото гидропическая дистрофия гепатоцитов.
Пользователь offline
К началу страницы
+Ответить с цитированием
a..anka
сообщение 12.10.2018 - 12:05
Сообщение #3


Участник форума

Группа: Участники
Регистрация: 10.11.2014
Пользователь №: 40 705


однозначно это гидропическая дистрофия, даже думаю - баллонная (набухание, просветление и вакуолизация цитоплазмы)
Пользователь offline
К началу страницы
+Ответить с цитированием
Надежда Ивановна
сообщение 12.10.2018 - 13:42
Сообщение #4


Опытный участник

Группа: Участники
Регистрация: 28.01.2014
Из: Московская область
Пользователь №: 38 804


Цитата(Медик @ 12.10.2018 - 12:52)
На представленных фото гидропическая дистрофия гепатоцитов.

Относительно второй микрофотографии я согласна с мнением коллег. Что касается первой микрофотографии, то американскими коллегами утверждается, что это жировая мелковезикулярная дистрофия. Ошибочное мнение коллег?
Пользователь offline
К началу страницы
+Ответить с цитированием
a..anka
сообщение 12.10.2018 - 14:41
Сообщение #5


Участник форума

Группа: Участники
Регистрация: 10.11.2014
Пользователь №: 40 705


Цитата(Надежда Ивановна @ 12.10.2018 - 13:42)
Относительно второй микрофотографии я согласна с мнением коллег. Что касается первой микрофотографии, то американскими коллегами утверждается, что это жировая мелковезикулярная дистрофия. Ошибочное мнение коллег?

Микровезикулярное-это, я думаю, некорректность перевода с английского, для нашего языка- это мелкокапельная липидная дистрофия. На фото гидропическая дистрофия. В качестве эксперимента покрасьте на жир, если есть время и интерес. Вопрос отпадёт.
Пользователь offline
К началу страницы
+Ответить с цитированием
Надежда Ивановна
сообщение 12.10.2018 - 14:54
Сообщение #6


Опытный участник

Группа: Участники
Регистрация: 28.01.2014
Из: Московская область
Пользователь №: 38 804


Цитата(a..anka @ 12.10.2018 - 14:41)
В качестве эксперимента покрасьте на жир

Относительно картины на второй микрофотографии я не сомневаюсь, что это гидропическая дистрофия. Первая микрофотография взята с сайта (ссылку представила),покрасить нет возможности.
Пользователь offline
К началу страницы
+Ответить с цитированием
доктор морфолог
сообщение 14.10.2018 - 19:17
Сообщение #7


Мастер I

Группа: СМЭ
Регистрация: 5.12.2013
Пользователь №: 38 421


Цитата(Надежда Ивановна @ 12.10.2018 - 17:54)
Относительно картины на второй микрофотографии я не сомневаюсь, что это гидропическая дистрофия. Первая микрофотография взята с сайта (ссылку представила),покрасить нет возможности.

Жировая дистрофия, хроническая стадия написано у зарубежных коллег. Эти гранулы липофусцина в цитоплазме , указывающие на ИГХ о нарушении метаболизма , вследствие тканевой гипоксии и длительного процесса. При гидропической дистрофии ядра гепатоцитов подвергается не только пикнозу, но и некрозу и считается острым процессом под действием вирусов и токсинов при остром отравлении и т.д. однако больше на гидропическую дистрофию похоже, нужно уточнить этиологию.

Сообщение отредактировал доктор морфолог - 15.10.2018 - 06:12
Пользователь offline
К началу страницы
+Ответить с цитированием
Kaf_hist
сообщение 20.10.2018 - 18:49
Сообщение #8


Вновь прибывший

Группа: Участники
Регистрация: 20.10.2018
Пользователь №: 46 214


Цитата(Надежда Ивановна @ 12.10.2018 - 13:42)
Относительно второй микрофотографии я согласна с мнением коллег. Что касается первой микрофотографии, то американскими коллегами утверждается, что это жировая мелковезикулярная дистрофия. Ошибочное мнение коллег?


Уважаемая Надежда Ивановна! Почему Вы решили, что первая (американская) и вторая (Ваша) фотографии и случаи идентичны? И почему сомнения по поводу верификации американской стороны? Присмотритесь внимательно к первой микрофотографии и Вы увидите мелкие жировые капельки в цитоплазме гепатоцитов. Чем это не жировая дистрофия, пусть, возможно, и не мелковезикулярная?
А по поводу Вашего второго снимка подобного сказать нельзя.
Пользователь offline
К началу страницы
+Ответить с цитированием
Kaf_hist
сообщение 20.10.2018 - 18:55
Сообщение #9


Вновь прибывший

Группа: Участники
Регистрация: 20.10.2018
Пользователь №: 46 214


Цитата(Kaf_hist @ 20.10.2018 - 18:49)
Уважаемая Надежда Ивановна! Почему Вы решили, что первая (американская) и вторая (Ваша) фотографии и случаи идентичны? И почему сомнения по поводу верификации американской стороны? Присмотритесь внимательно к первой микрофотографии и Вы увидите мелкие жировые капельки в цитоплазме гепатоцитов. Чем это не жировая дистрофия, пусть, возможно, и не мелковезикулярная?
А по поводу Вашего второго снимка подобного сказать нельзя.


К тому же вторая микрофотография низкого качества, к сожалению. Вы не могли бы добавить обзорный снимок на малом увеличении данного препарата? Это секционный или экспериментальный материал?
Пользователь offline
К началу страницы
+Ответить с цитированием




- Обратная связь Сейчас: 3.11.2025 - 03:39