Здравствуйте, гость ( Вход | Регистрация )

Форум судебных медиков России
 
>

Рак предстательной железы

>
IVANNES
сообщение 24.12.2018 - 11:03
Сообщение #1


Опытный участник

Группа: СМЭ
Регистрация: 28.02.2015
Пользователь №: 41 483


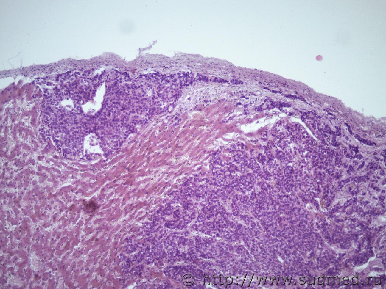
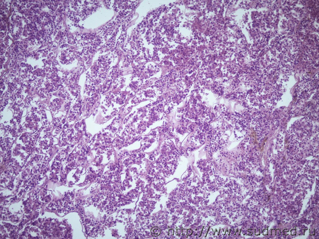
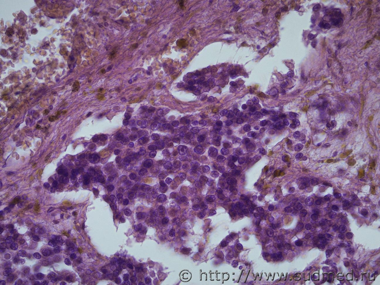
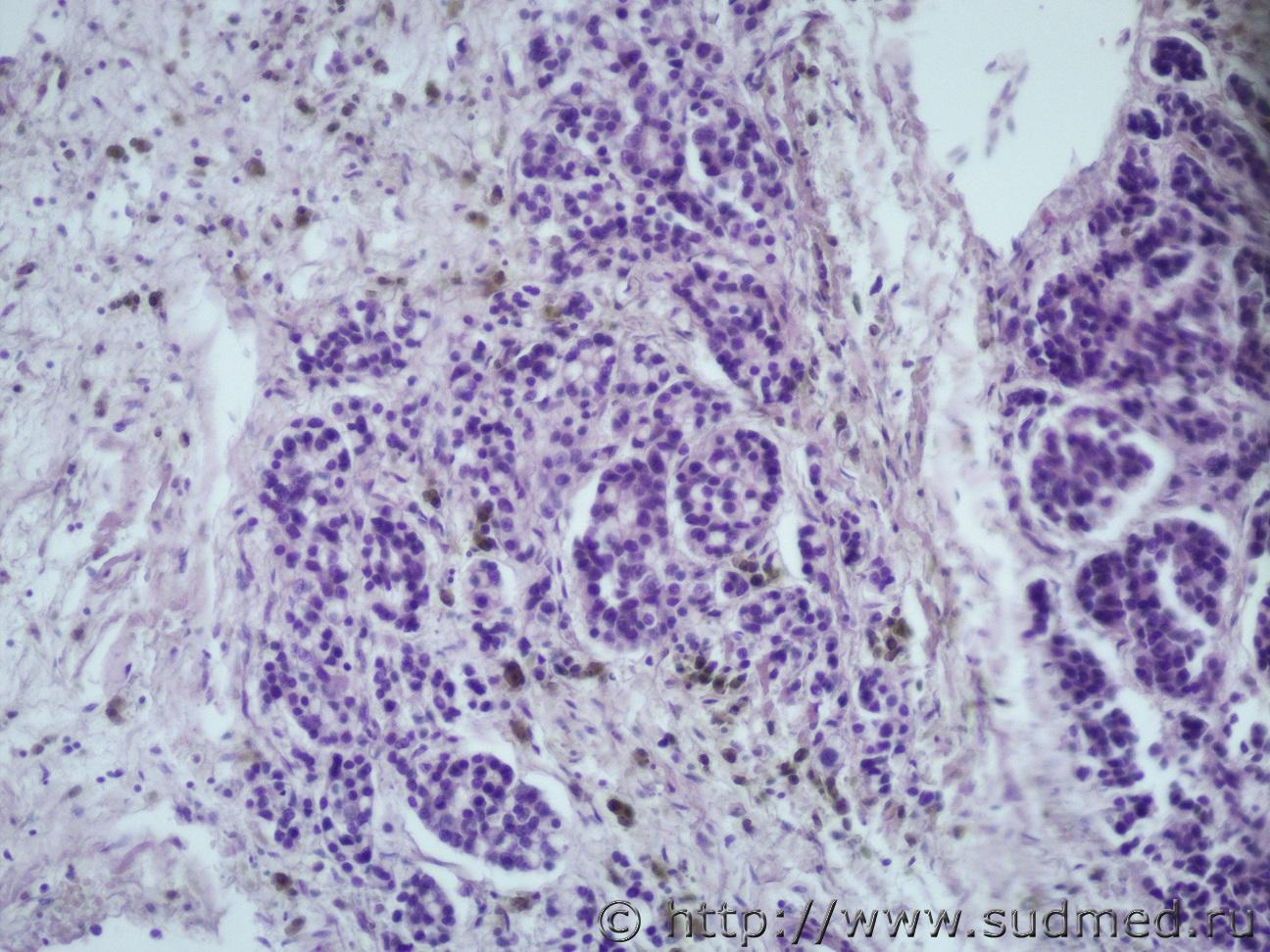
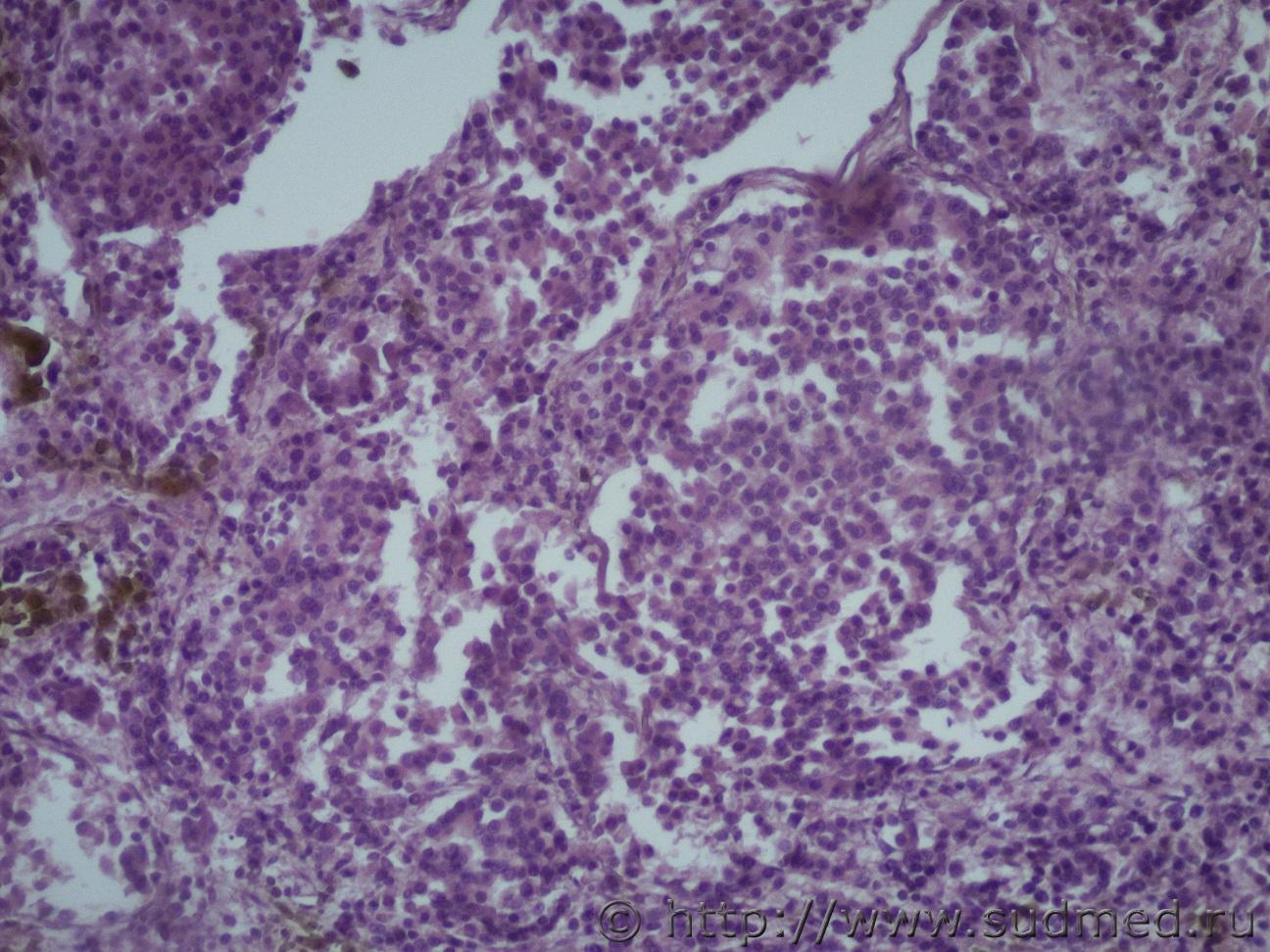
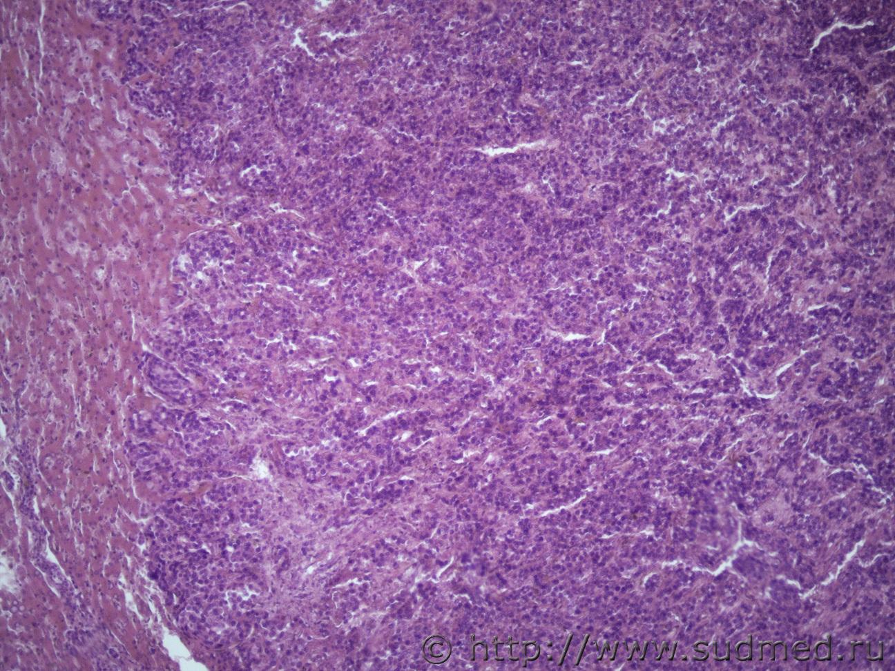
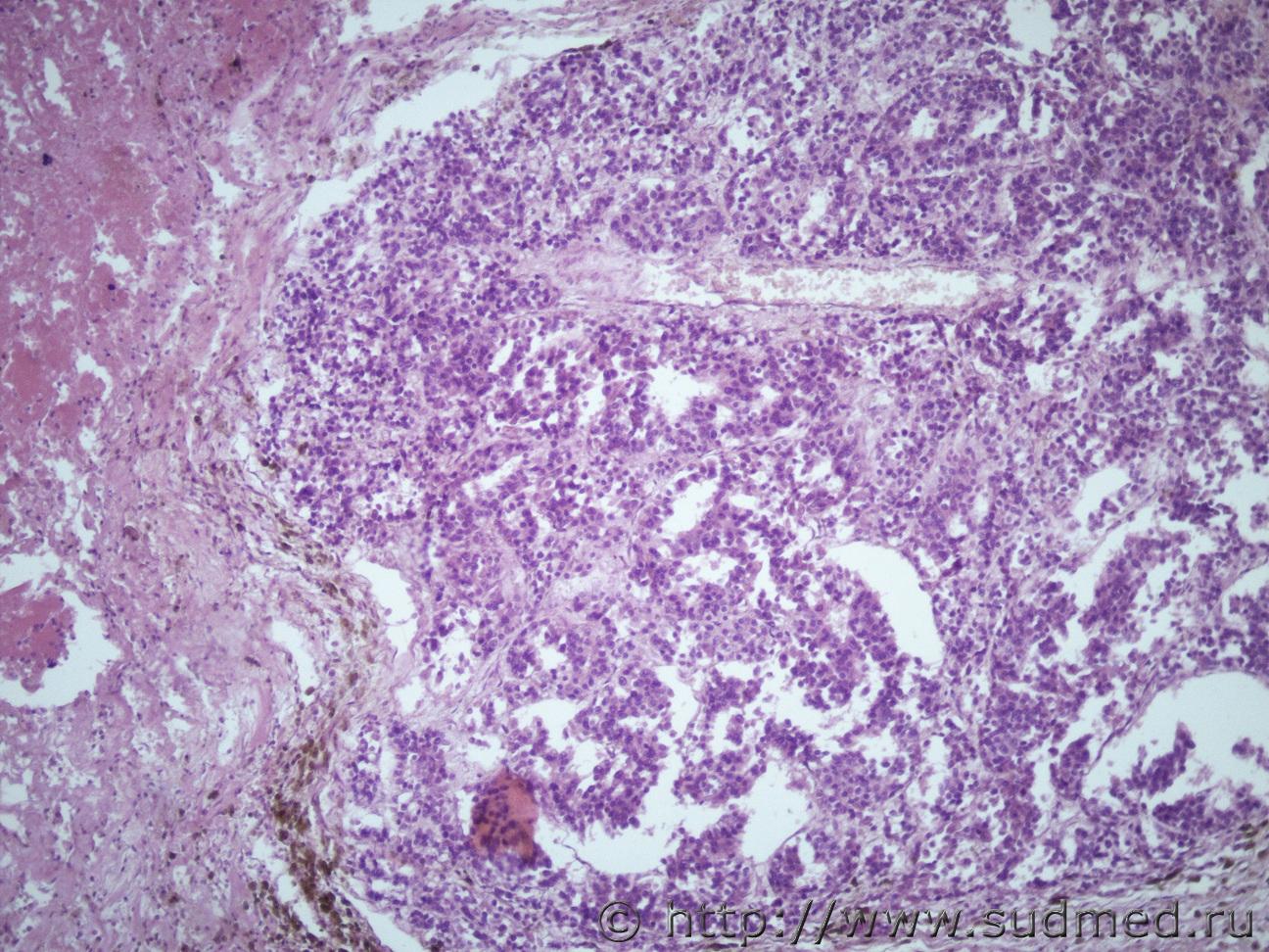
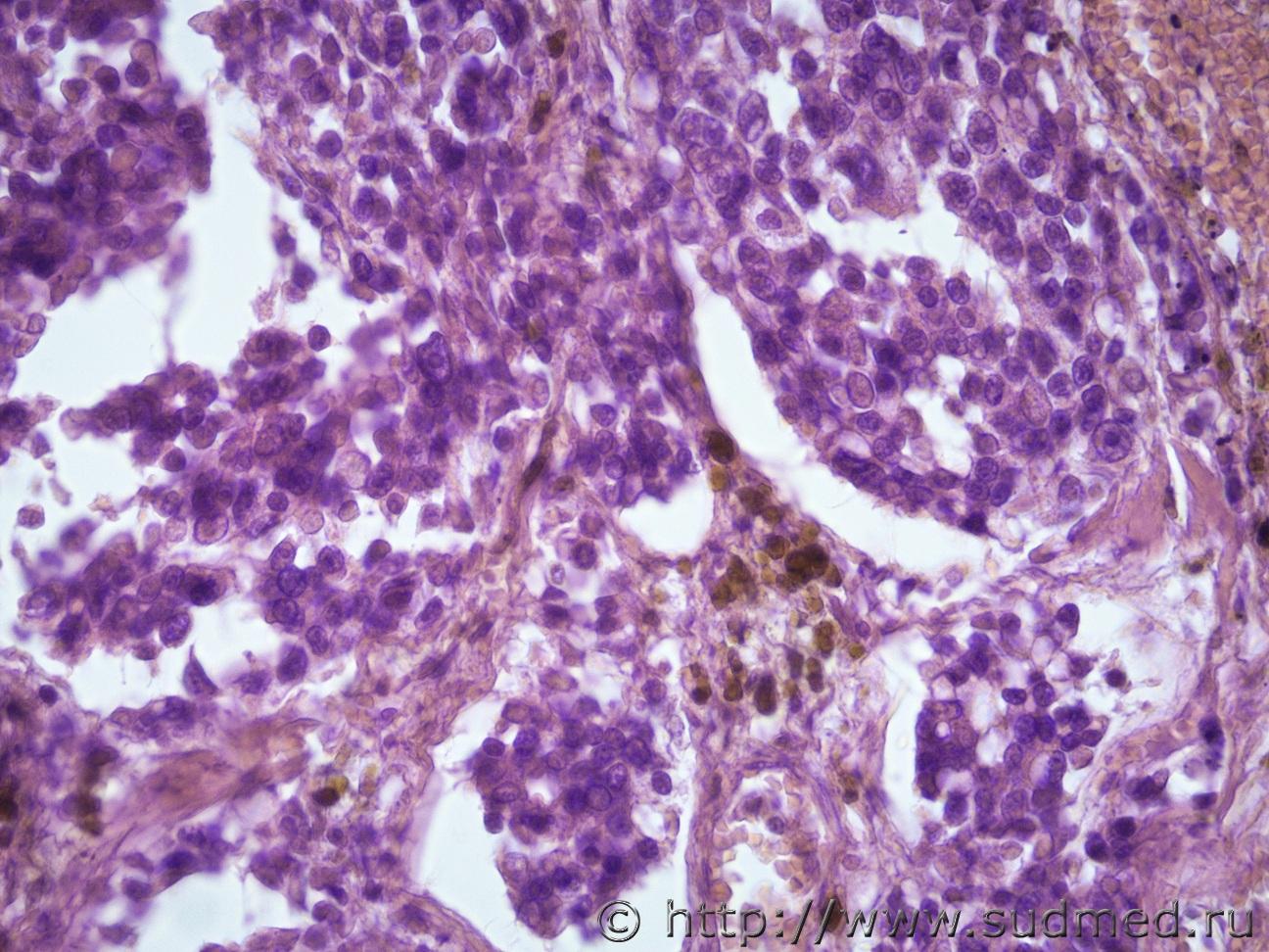
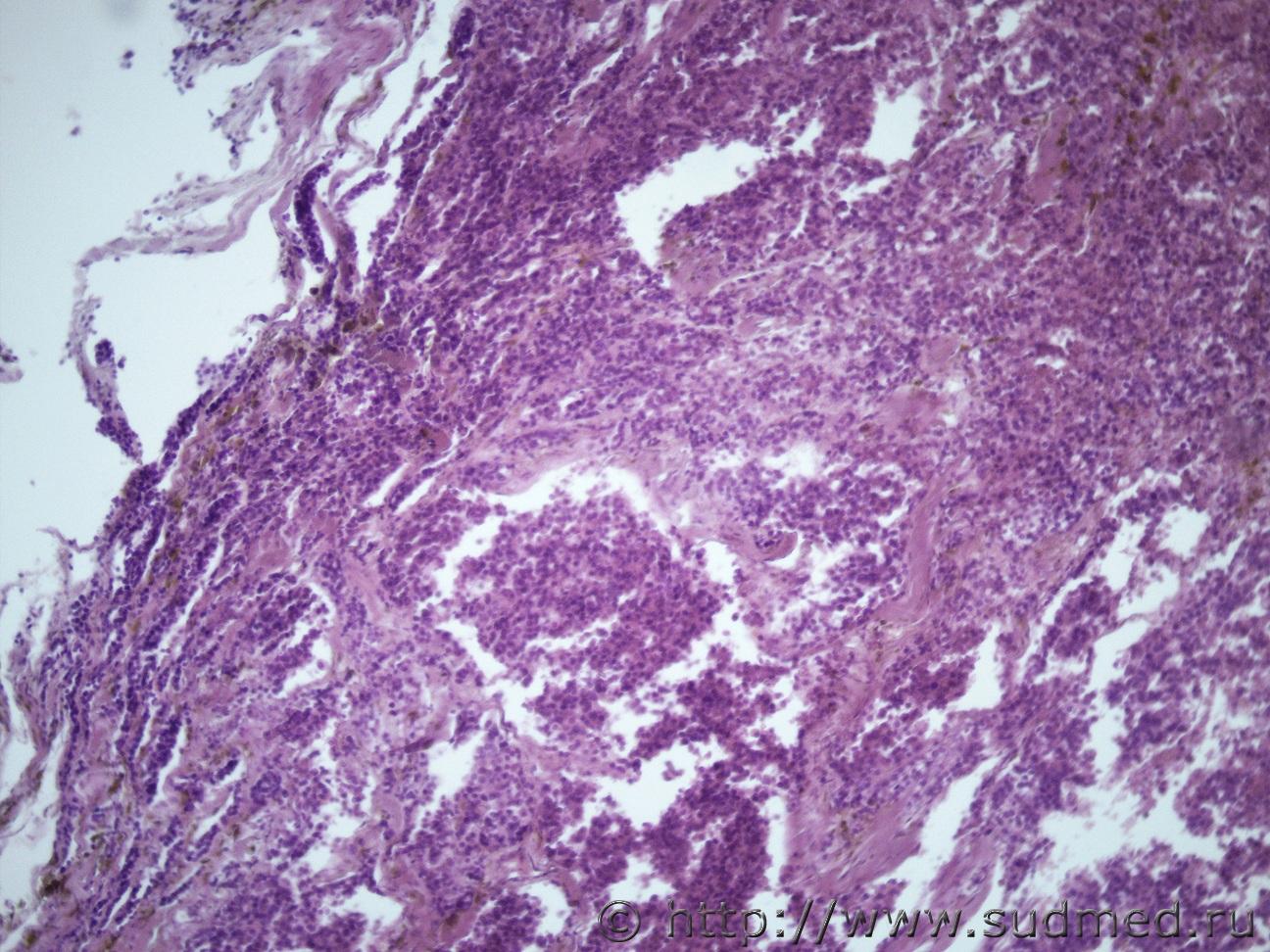
Ув. коллеги помогите определиться с раком. Муж 60 лет. Новообразование предстательной железы с метастазами в легкие, печень, диафрагмуСудебная медицина - Прикрепленное изображение Судебная медицина - Прикрепленное изображениеСудебная медицина - Прикрепленное изображениеСудебная медицина - Прикрепленное изображениеСудебная медицина - Прикрепленное изображение
Судебная медицина - Прикрепленное изображениеСудебная медицина - Прикрепленное изображениеСудебная медицина - Прикрепленное изображение ПеченьСудебная медицина - Прикрепленное изображение Судебная медицина - Прикрепленное изображение
Пользователь offline
К началу страницы
+Ответить с цитированием
Anton
сообщение 24.12.2018 - 14:06
Сообщение #2


Мастер II

Группа: СМЭ
Регистрация: 6.12.2011
Из: Опорный край державы
Пользователь №: 30 279


Поставил бы криброзную ад-карциному.
Пользователь offline
К началу страницы
+Ответить с цитированием
sudmedpatolog
сообщение 24.12.2018 - 19:30
Сообщение #3


Новичок

Группа: Участники
Регистрация: 27.10.2016
Пользователь №: 44 738


В данном случае можно поставить аденокарциному. Если на первых фото ткань простаты, то можно сказать, что опухоль с высоким индексом Глисона, видны солидные пласты опухолевых клеток, хотя кое-где все же прослеживаются железистые структуры. Более прицельные снимки бы глянуть, на большем увеличении.
Пользователь offline
К началу страницы
+Ответить с цитированием
Медик
сообщение 24.12.2018 - 21:07
Сообщение #4


Учитель
Group Icon
Группа: Модераторы
Регистрация: 16.05.2010
Пользователь №: 21 553


Ацинарная аденокарцинома.

Цитата(Anton @ 24.12.2018 - 15:06)
криброзную

Есть и эти структуры.

Сообщение отредактировал Медик - 24.12.2018 - 21:08
Пользователь offline
К началу страницы
+Ответить с цитированием
IVANNES
сообщение 25.12.2018 - 09:35
Сообщение #5


Опытный участник

Группа: СМЭ
Регистрация: 28.02.2015
Пользователь №: 41 483


Да первые это простата. Вот еще снимки


Эскизы прикрепленных изображений
Судебная медицина - Прикрепленное изображение Судебная медицина - Прикрепленное изображение Судебная медицина - Прикрепленное изображение Судебная медицина - Прикрепленное изображение Судебная медицина - Прикрепленное изображение
Пользователь offline
К началу страницы
+Ответить с цитированием
Медик
сообщение 26.12.2018 - 23:25
Сообщение #6


Учитель
Group Icon
Группа: Модераторы
Регистрация: 16.05.2010
Пользователь №: 21 553


Это лишнее.
Пользователь offline
К началу страницы
+Ответить с цитированием




- Обратная связь Сейчас: 4.11.2025 - 10:41