Здравствуйте, гость ( Вход | Регистрация )

Форум судебных медиков России
 
>

Образование у крысы

>
IVANNES
сообщение 25.12.2018 - 14:28
Сообщение #1


Опытный участник

Группа: СМЭ
Регистрация: 28.02.2015
Пользователь №: 41 483


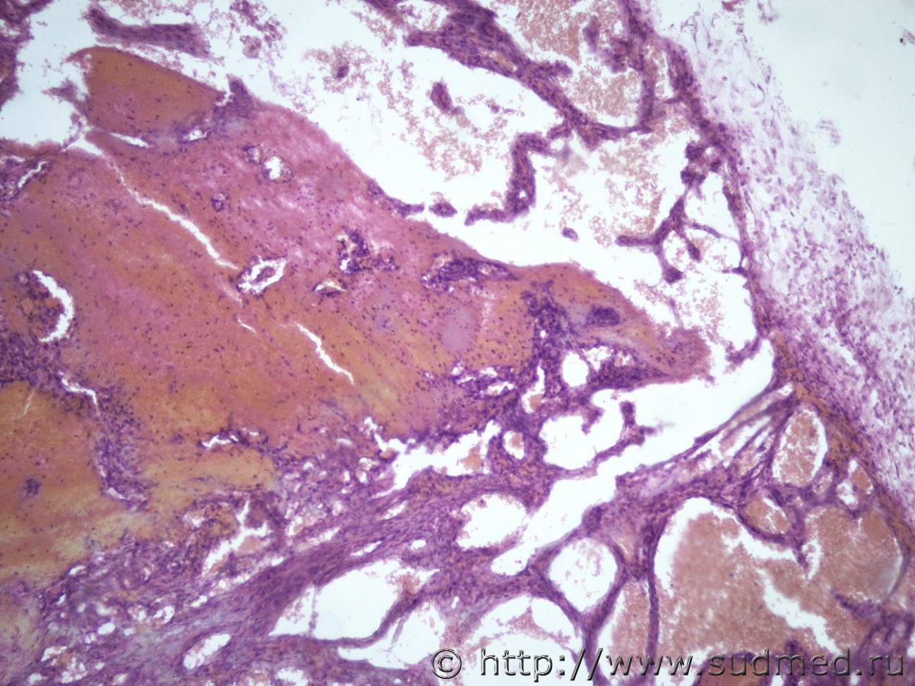
Ув. коллеги, может это тема не для нашего форума, но вдруг у кого нибудь будут идеи по этому поводу. В течении месяца выросло образование за ухом у лабораторной крысы округлой формы, плотно-эластической консистенции, в диаметре 1 см. Хозяин крысы подумал, что это абсцесс и решил сделать пункцию, после прокола истекло приличное количество крови и в течении 10-20 мин крыса скончалась. Макро- образование округлой формы, в тонкой капсуле, строма в виде ячеек, с кровоизлияниями.Судебная медицина - Прикрепленное изображение Судебная медицина - Прикрепленное изображениеСудебная медицина - Прикрепленное изображениеСудебная медицина - Прикрепленное изображениеСудебная медицина - Прикрепленное изображение
Судебная медицина - Прикрепленное изображениеСудебная медицина - Прикрепленное изображениеСудебная медицина - Прикрепленное изображениеСудебная медицина - Прикрепленное изображение
Пользователь offline
К началу страницы
+Ответить с цитированием
sudmedpatolog
сообщение 25.12.2018 - 17:10
Сообщение #2


Новичок

Группа: Участники
Регистрация: 27.10.2016
Пользователь №: 44 738


Похоже на кавернозную гемангиому .
Пользователь offline
К началу страницы
+Ответить с цитированием
IVANNES
сообщение 26.12.2018 - 09:13
Сообщение #3


Опытный участник

Группа: СМЭ
Регистрация: 28.02.2015
Пользователь №: 41 483


Я тоже об этом подумала, но как она выросла за 1 мес, достаточно внушительных размеров для грызуна.
Пользователь offline
К началу страницы
+Ответить с цитированием
Медик
сообщение 26.12.2018 - 23:22
Сообщение #4


Учитель
Group Icon
Группа: Модераторы
Регистрация: 16.05.2010
Пользователь №: 21 553


Цитата(sudmedpatolog @ 25.12.2018 - 18:10)
кавернозную гемангиому .

Аналогично.Зла здесь нет.

Тема перемещена в "Курилку".
Ув.доктор,ветеринарные вопросы - в этот раздел.

Сообщение отредактировал Медик - 26.12.2018 - 23:23
Пользователь offline
К началу страницы
+Ответить с цитированием
IVANNES
сообщение 27.12.2018 - 08:46
Сообщение #5


Опытный участник

Группа: СМЭ
Регистрация: 28.02.2015
Пользователь №: 41 483


Цитата(Медик @ 26.12.2018 - 23:22)
Аналогично.Зла здесь нет.

Тема перемещена в "Курилку".
Ув.доктор,ветеринарные вопросы - в этот раздел.

Спасибо большое. Я не знала куда эту тему опубликовать, на будущее учту.
Пользователь offline
К началу страницы
+Ответить с цитированием




- Обратная связь Сейчас: 8.11.2025 - 11:07