Здравствуйте, гость ( Вход | Регистрация )

Форум судебных медиков России
 
>

Опухоль стенки прямой кишки

>
IVANNES
сообщение 15.01.2019 - 13:58
Сообщение #1


Опытный участник

Группа: СМЭ
Регистрация: 28.02.2015
Пользователь №: 41 483


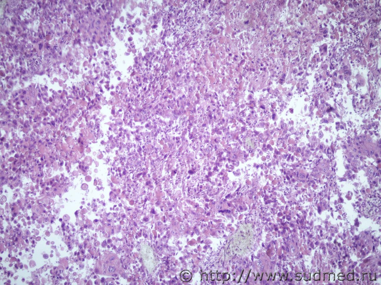
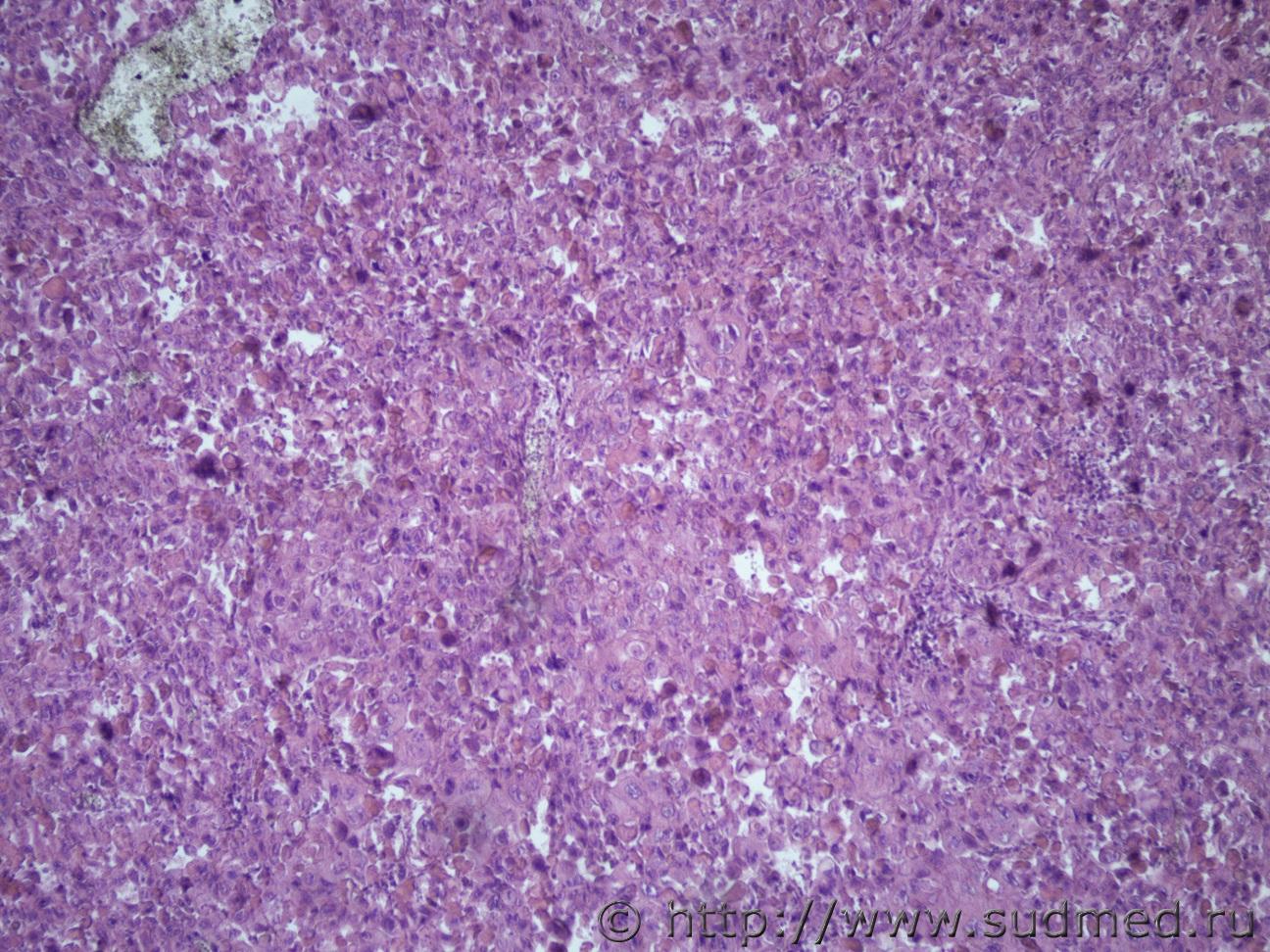
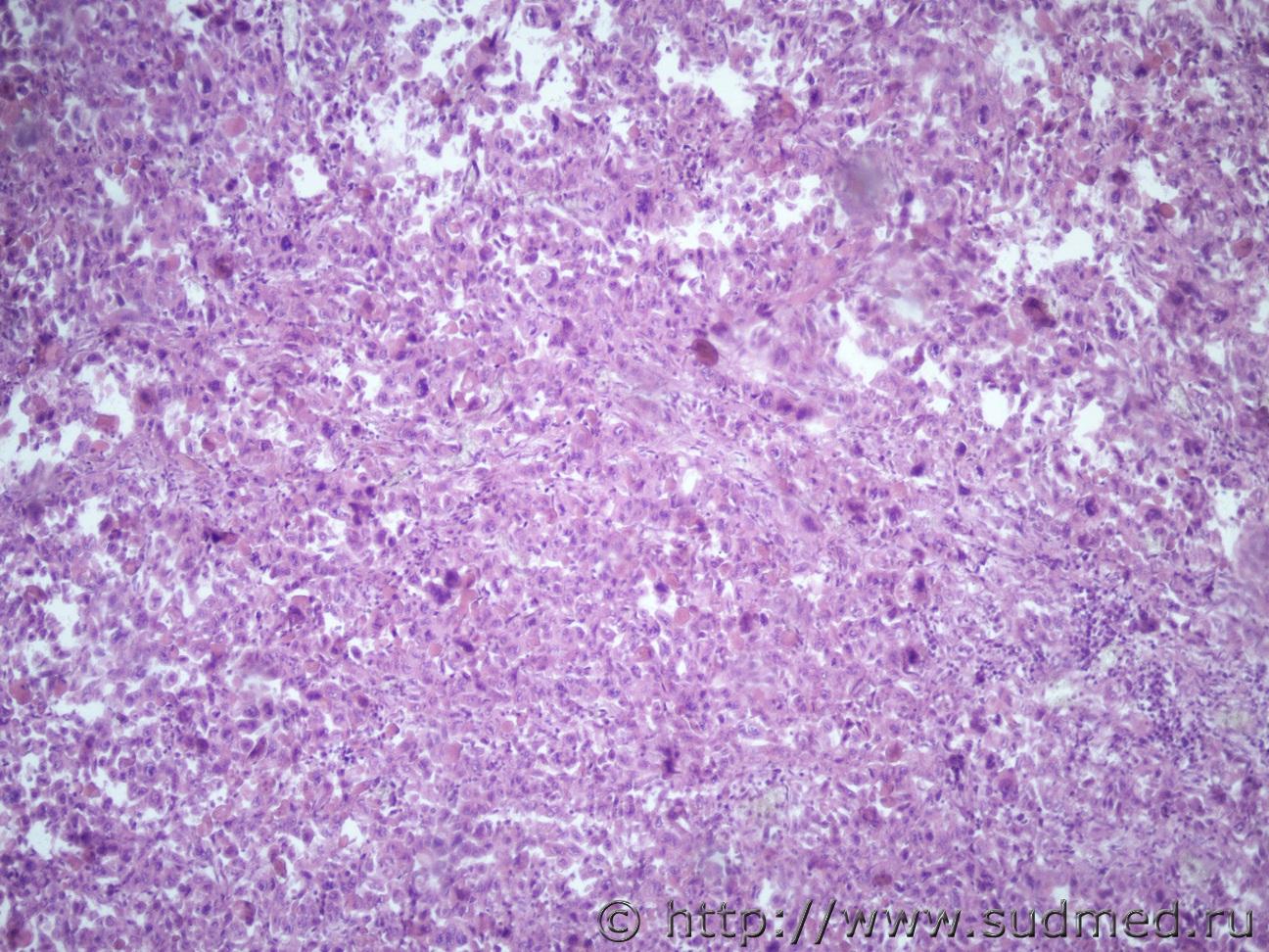
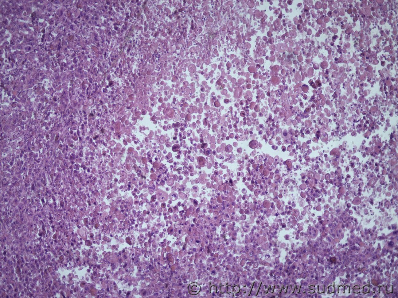
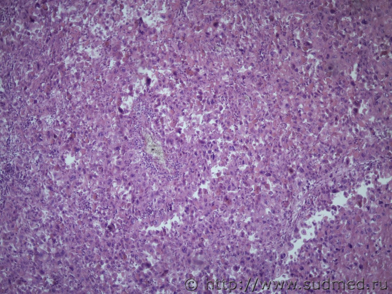
Ув. коллеги помогите пожалуйста определиться с опухолью примой кишки Судебная медицина - Прикрепленное изображение Судебная медицина - Прикрепленное изображениеСудебная медицина - Прикрепленное изображениеСудебная медицина - Прикрепленное изображениеСудебная медицина - Прикрепленное изображение
Судебная медицина - Прикрепленное изображениеСудебная медицина - Прикрепленное изображениеСудебная медицина - Прикрепленное изображениеСудебная медицина - Прикрепленное изображение
Судебная медицина - Прикрепленное изображениеСудебная медицина - Прикрепленное изображение
Пользователь offline
К началу страницы
+Ответить с цитированием
Anton
сообщение 15.01.2019 - 14:45
Сообщение #2


Мастер II

Группа: СМЭ
Регистрация: 6.12.2011
Из: Опорный край державы
Пользователь №: 30 279


Что-то недифференцированное.
Пользователь offline
К началу страницы
+Ответить с цитированием
доктор морфолог
сообщение 15.01.2019 - 19:07
Сообщение #3


Мастер I

Группа: СМЭ
Регистрация: 5.12.2013
Пользователь №: 38 421


Я вижу амебу только!
Пользователь offline
К началу страницы
+Ответить с цитированием
Медик
сообщение 15.01.2019 - 20:13
Сообщение #4


Учитель
Group Icon
Группа: Модераторы
Регистрация: 16.05.2010
Пользователь №: 21 553


Цитата(IVANNES @ 15.01.2019 - 14:58)
опухолью

Возраст ?
Метастазы есть ?
Пользователь offline
К началу страницы
+Ответить с цитированием
IVANNES
сообщение 16.01.2019 - 08:53
Сообщение #5


Опытный участник

Группа: СМЭ
Регистрация: 28.02.2015
Пользователь №: 41 483


Цитата(Медик @ 15.01.2019 - 20:13)
Возраст ?
Метастазы есть ?

Жен 80 лет. Эксперт видит только это образование, без метастазов. Описывает как опухоль прямой кишки с прорастанием в стенку мочевого пузыря. На гистологию прислал узел 5х5 см, плотно эластический, белого цвета.
Пользователь offline
К началу страницы
+Ответить с цитированием
griga
сообщение 16.01.2019 - 12:33
Сообщение #6


Авторитетный участник

Группа: СМЭ
Регистрация: 10.02.2006
Пользователь №: 1 250


Недифференцированная карцинома.
Я бы не заморачивался.
Пользователь offline
К началу страницы
+Ответить с цитированием
Anton
сообщение 16.01.2019 - 14:03
Сообщение #7


Мастер II

Группа: СМЭ
Регистрация: 6.12.2011
Из: Опорный край державы
Пользователь №: 30 279


Цитата(доктор морфолог @ 15.01.2019 - 21:07)
Я вижу амебу только!
По 1 фото подумал про криптококков. Но ядра... И впрямь амебный абсцесс?
Пользователь offline
К началу страницы
+Ответить с цитированием
Медик
сообщение 16.01.2019 - 21:42
Сообщение #8


Учитель
Group Icon
Группа: Модераторы
Регистрация: 16.05.2010
Пользователь №: 21 553


Цитата(доктор морфолог @ 15.01.2019 - 20:07)
Я вижу амебу только!

Браво !
Пользователь offline
К началу страницы
+Ответить с цитированием
griga
сообщение 17.01.2019 - 07:57
Сообщение #9


Авторитетный участник

Группа: СМЭ
Регистрация: 10.02.2006
Пользователь №: 1 250


М-дя. Век живи - век учись.
Пользователь offline
К началу страницы
+Ответить с цитированием
IVANNES
сообщение 17.01.2019 - 10:19
Сообщение #10


Опытный участник

Группа: СМЭ
Регистрация: 28.02.2015
Пользователь №: 41 483


Подскажите пожалуйста хорошую литература с патоморфологией по амебиазу. Нашла пока только патологическая анатомия амебиаза С.М Полякова, М.К. Недзьведь. Может есть еще что-то лучше. Амеб тоже вижу, но мне кажется, что много патологических клеток с патологическими метозами, есть капсула; может ли такое быть при амебиазе, амебоме?
Пользователь offline
К началу страницы
+Ответить с цитированием
IVANNES
сообщение 17.01.2019 - 10:26
Сообщение #11


Опытный участник

Группа: СМЭ
Регистрация: 28.02.2015
Пользователь №: 41 483


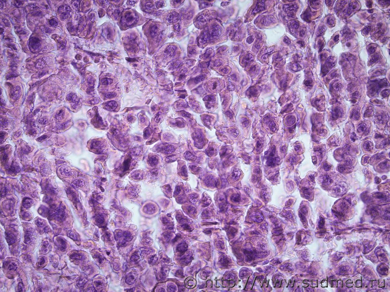
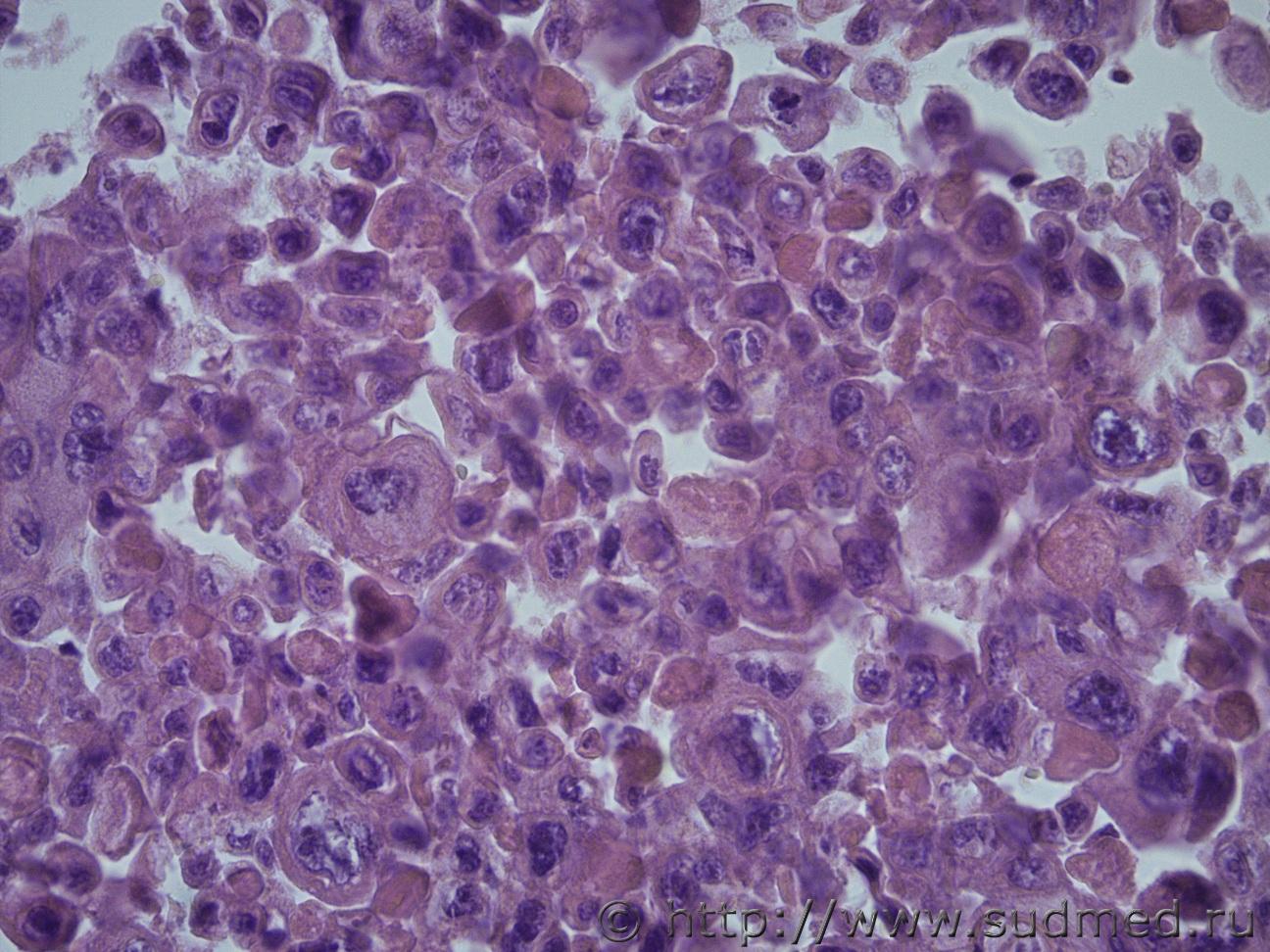
Судебная медицина - Прикрепленное изображение Судебная медицина - Прикрепленное изображениеСудебная медицина - Прикрепленное изображениеСудебная медицина - Прикрепленное изображениеСудебная медицина - Прикрепленное изображение
Пользователь offline
К началу страницы
+Ответить с цитированием
доктор морфолог
сообщение 18.01.2019 - 20:21
Сообщение #12


Мастер I

Группа: СМЭ
Регистрация: 5.12.2013
Пользователь №: 38 421


Цитата(IVANNES @ 17.01.2019 - 13:26)
Судебная медицина - Прикрепленное изображение Судебная медицина - Прикрепленное изображениеСудебная медицина - Прикрепленное изображениеСудебная медицина - Прикрепленное изображениеСудебная медицина - Прикрепленное изображение

Коллега! Режим диафрагму наоборот передвинуть нужно. В последнем снимке все таки наблюдается лимфопролиферативный процесс.....

Сообщение отредактировал доктор морфолог - 18.01.2019 - 20:36
Пользователь offline
К началу страницы
+Ответить с цитированием




- Обратная связь Сейчас: 5.11.2025 - 14:38