Здравствуйте, гость ( Вход | Регистрация )

Форум судебных медиков России
 
>

Опухоль легкого

>
IVANNES
сообщение 21.01.2019 - 12:33
Сообщение #1


Опытный участник

Группа: СМЭ
Регистрация: 28.02.2015
Пользователь №: 41 483


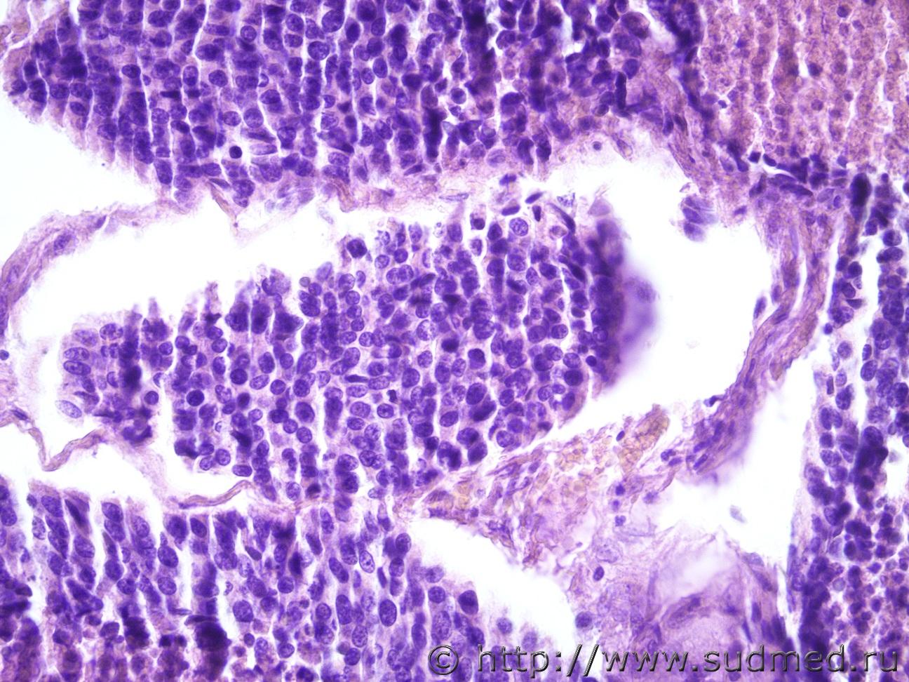
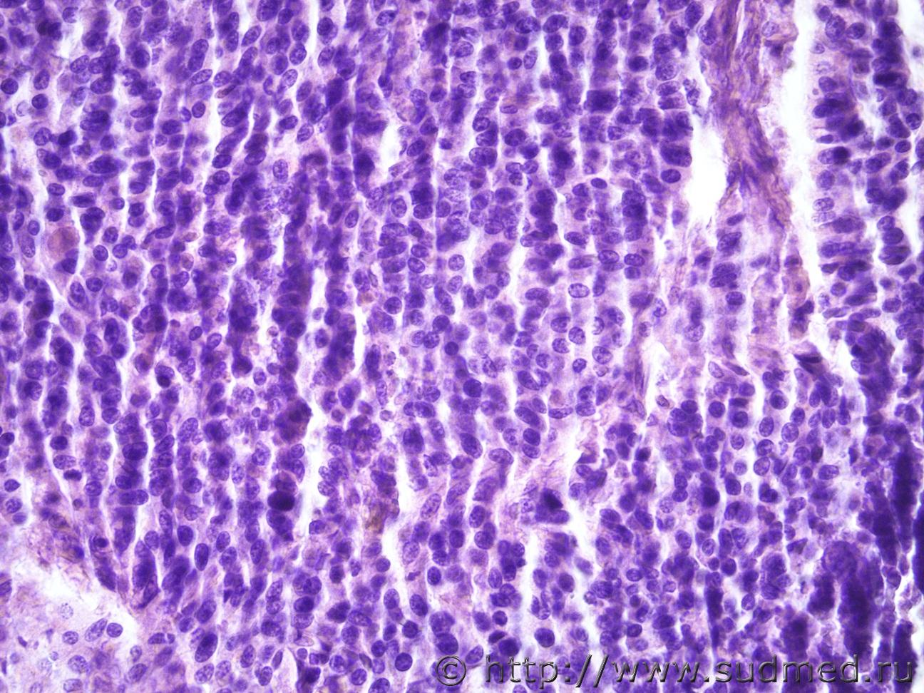
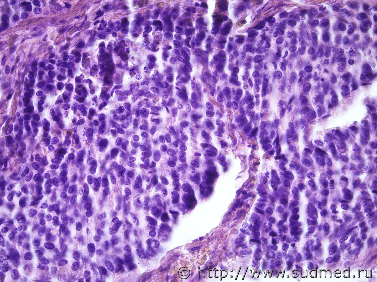
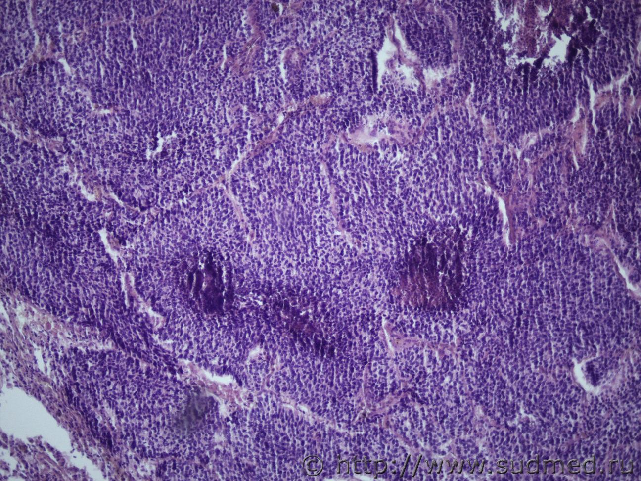
Ув. коллеги, еще опухоль корня легкого. Муж 1957 года рожденияСудебная медицина - Прикрепленное изображение Судебная медицина - Прикрепленное изображениеСудебная медицина - Прикрепленное изображениеСудебная медицина - Прикрепленное изображение
Пользователь offline
К началу страницы
+Ответить с цитированием
Медик
сообщение 21.01.2019 - 20:16
Сообщение #2


Учитель
Group Icon
Группа: Модераторы
Регистрация: 16.05.2010
Пользователь №: 21 553


Плоскоклеточный низкодифференцированный рак.
Пользователь offline
К началу страницы
+Ответить с цитированием
IVANNES
сообщение 22.01.2019 - 09:41
Сообщение #3


Опытный участник

Группа: СМЭ
Регистрация: 28.02.2015
Пользователь №: 41 483


Цитата(Медик @ 21.01.2019 - 20:16)
Плоскоклеточный низкодифференцированный рак.

Спасибо)))
Пользователь offline
К началу страницы
+Ответить с цитированием




- Обратная связь Сейчас: 3.11.2025 - 02:36