Здравствуйте, гость ( Вход | Регистрация )

Форум судебных медиков России
 
>

опухоль мягких тканей, сердца, почек

>
IVANNES
сообщение 26.02.2019 - 13:07
Сообщение #1


Опытный участник

Группа: СМЭ
Регистрация: 28.02.2015
Пользователь №: 41 483


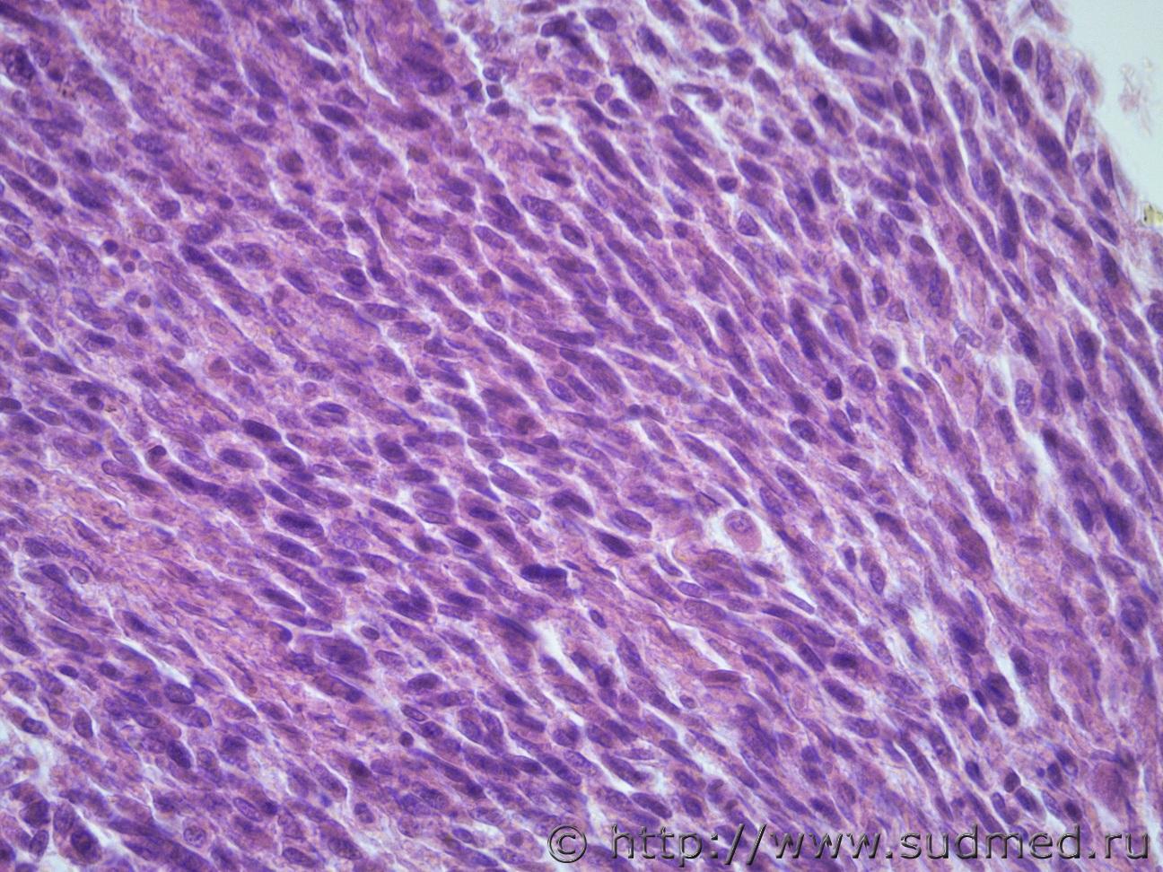
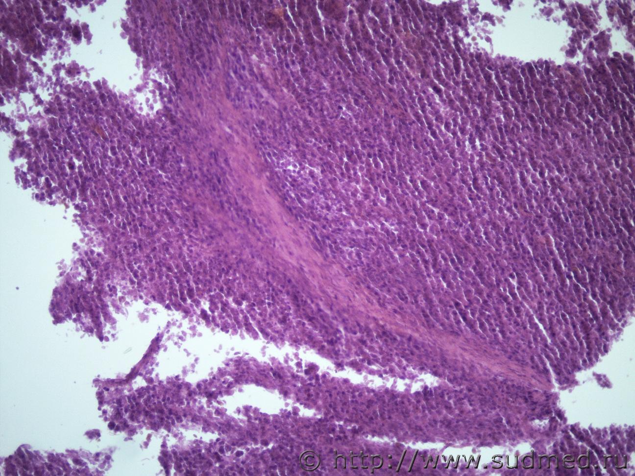
Ув. коллеги, представляю вашему вниманию опухоль в мягких тканях грудной клетки, сердце и почке. Муж 60 лет. Макро картины не знаю, эксперт не посчитал нужным это сообщать. Мягкие ткани Судебная медицина - Прикрепленное изображение Судебная медицина - Прикрепленное изображениеСудебная медицина - Прикрепленное изображениеСудебная медицина - Прикрепленное изображение Почка Судебная медицина - Прикрепленное изображение Судебная медицина - Прикрепленное изображениеСудебная медицина - Прикрепленное изображение Сердце Судебная медицина - Прикрепленное изображение Судебная медицина - Прикрепленное изображениеСудебная медицина - Прикрепленное изображениеСудебная медицина - Прикрепленное изображение
Пользователь offline
К началу страницы
+Ответить с цитированием
Anton
сообщение 26.02.2019 - 16:48
Сообщение #2


Мастер II

Группа: СМЭ
Регистрация: 6.12.2011
Из: Опорный край державы
Пользователь №: 30 279


Саркома? Ван-Гизон...
Пользователь offline
К началу страницы
+Ответить с цитированием
gnom
сообщение 26.02.2019 - 20:42
Сообщение #3


Авторитетный участник

Группа: Участники
Регистрация: 11.02.2007
Пользователь №: 4 377


Предстательной описания или препарата нет?
Пользователь offline
К началу страницы
+Ответить с цитированием
Медик
сообщение 26.02.2019 - 23:37
Сообщение #4


Учитель
Group Icon
Группа: Модераторы
Регистрация: 16.05.2010
Пользователь №: 21 553


Цитата(Anton @ 26.02.2019 - 17:48)
Саркома? Ван-Гизон...

Может остановиться на фибросаркоме ?
Пользователь offline
К началу страницы
+Ответить с цитированием
IVANNES
сообщение 27.02.2019 - 09:38
Сообщение #5


Опытный участник

Группа: СМЭ
Регистрация: 28.02.2015
Пользователь №: 41 483


Цитата(gnom @ 26.02.2019 - 20:42)
Предстательной описания или препарата нет?

Про предстательную железу речи и не шло.

Цитата(Медик @ 26.02.2019 - 23:37)
Может остановиться на фибросаркоме ?

Тоже об этом подумала)))
Пользователь offline
К началу страницы
+Ответить с цитированием
IVANNES
сообщение 28.02.2019 - 09:29
Сообщение #6


Опытный участник

Группа: СМЭ
Регистрация: 28.02.2015
Пользователь №: 41 483


Ув. коллеги, я выставила фото в разделе курилка, г.м. крысы ссылка http://www.sudmed.ru/index.php?showtopic=29561 посмотрите пожалуйста, какие мысли по этому поводу у гистологов.
Пользователь offline
К началу страницы
+Ответить с цитированием




- Обратная связь Сейчас: 7.11.2025 - 11:01