Здравствуйте, гость ( Вход | Регистрация )

Форум судебных медиков России
 
>

Новообразование головного мозга у крысы?

>
IVANNES
сообщение 27.02.2019 - 14:12
Сообщение #1


Опытный участник

Группа: СМЭ
Регистрация: 28.02.2015
Пользователь №: 41 483


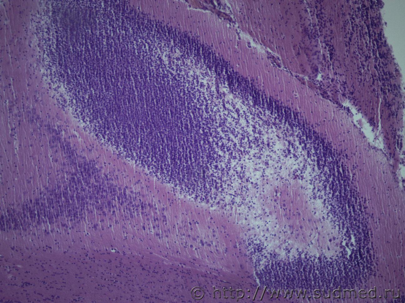
Ув. коллеги, подскажите похоже ли на олигодендроглиому в головном мозге крысы, область гиппокампа? Судебная медицина - Прикрепленное изображение Судебная медицина - Прикрепленное изображениеСудебная медицина - Прикрепленное изображениеСудебная медицина - Прикрепленное изображениеСудебная медицина - Прикрепленное изображение
Пользователь offline
К началу страницы
+Ответить с цитированием
Медик
сообщение 28.02.2019 - 20:45
Сообщение #2


Учитель
Group Icon
Группа: Модераторы
Регистрация: 16.05.2010
Пользователь №: 21 553


Цитата(IVANNES @ 27.02.2019 - 15:12)
подскажите похоже ли на олигодендроглиому

Не получается.
Отличительной чертой олигодендроглиомы являются петрификаты.Типичным признаком считают "сотовидную" структуру опухолевых клеток,которую им придают светлые перинуклеарные ободки,характерна обильная сеть анастомозирующих капилляров.При анапластической форме наблюдают большую густоту клеток,многочисленные митозы и пролиферацию эндотелия опухолевых сосудов.
Пользователь offline
К началу страницы
+Ответить с цитированием
IVANNES
сообщение 1.03.2019 - 08:52
Сообщение #3


Опытный участник

Группа: СМЭ
Регистрация: 28.02.2015
Пользователь №: 41 483


Цитата(Медик @ 28.02.2019 - 20:45)
Не получается.
Отличительной чертой олигодендроглиомы являются петрификаты.Типичным признаком считают "сотовидную" структуру опухолевых клеток,которую им придают светлые перинуклеарные ободки,характерна обильная сеть анастомозирующих капилляров.При анапластической форме наблюдают большую густоту клеток,многочисленные митозы и пролиферацию эндотелия опухолевых сосудов.

А на что это может быть похоже, в норме область гиппокампа у крыс выглядит упорядоченно и более узкой полосой. Вот такСудебная медицина - Прикрепленное изображение
Пользователь offline
К началу страницы
+Ответить с цитированием
Медик
сообщение 2.03.2019 - 18:02
Сообщение #4


Учитель
Group Icon
Группа: Модераторы
Регистрация: 16.05.2010
Пользователь №: 21 553


А это ,скорее всего,мозжечок.
Первое фото (сообщение №1), аналогично.

Сообщение отредактировал Медик - 2.03.2019 - 18:03
Пользователь offline
К началу страницы
+Ответить с цитированием
IVANNES
сообщение 4.03.2019 - 09:49
Сообщение #5


Опытный участник

Группа: СМЭ
Регистрация: 28.02.2015
Пользователь №: 41 483


Цитата(Медик @ 2.03.2019 - 18:02)
А это ,скорее всего,мозжечок.
Первое фото (сообщение №1), аналогично.

Мозжечка точно не может быть, так как я его при вырезки удалила, срез проходил в средней части головного мозга через височные доли. Мозжечок у крысы выглядит вот так Судебная медицина - Прикрепленное изображение , а это поперечный срез, области гиппокампа, в норме он выглядит вот такСудебная медицина - Прикрепленное изображение ув. в обоих фото х40
Пользователь offline
К началу страницы
+Ответить с цитированием




- Обратная связь Сейчас: 8.11.2025 - 07:27