Здравствуйте, гость ( Вход | Регистрация )

Форум судебных медиков России
 
>

Опухоль почки

>
IVANNES
сообщение 3.06.2019 - 10:30
Сообщение #1


Опытный участник

Группа: СМЭ
Регистрация: 28.02.2015
Пользователь №: 41 483


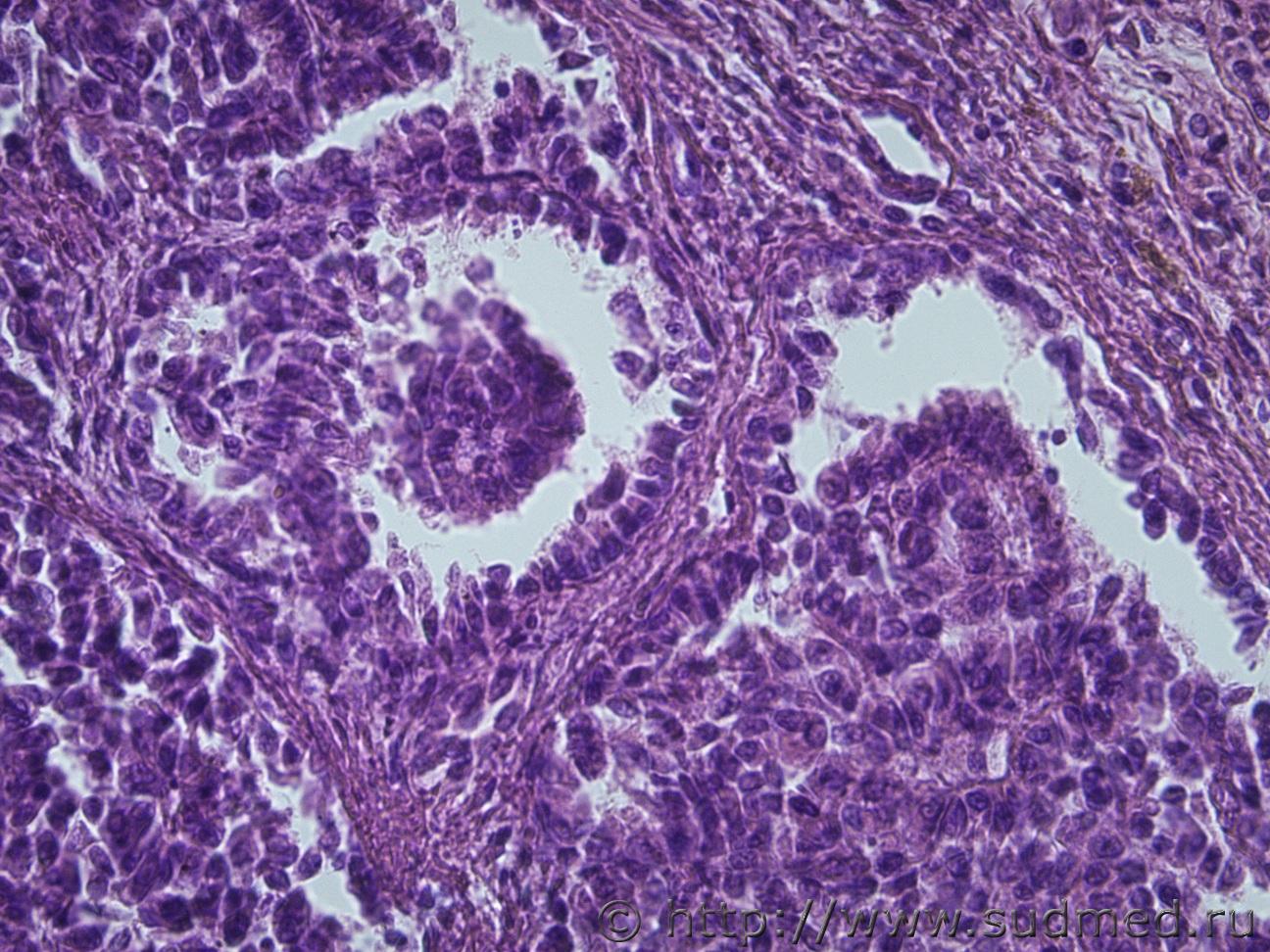
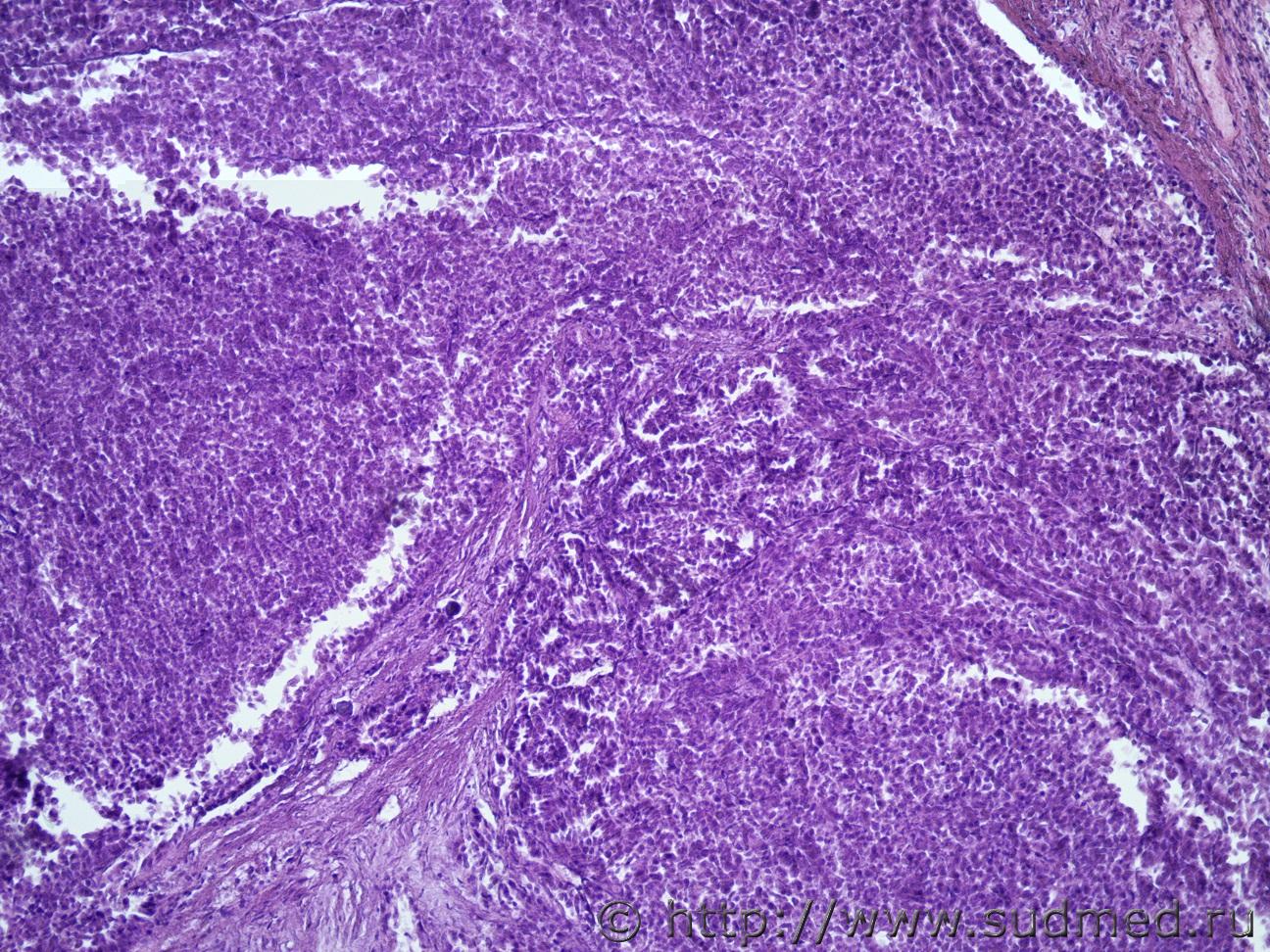
Жен 62 года. На задней поверхности левой почки желтовато-сероватый участок 1на1 см, творожистой консистенции.Судебная медицина - Прикрепленное изображение Судебная медицина - Прикрепленное изображениеСудебная медицина - Прикрепленное изображениеСудебная медицина - Прикрепленное изображениеСудебная медицина - Прикрепленное изображение
Судебная медицина - Прикрепленное изображениеСудебная медицина - Прикрепленное изображение
Пользователь offline
К началу страницы
+Ответить с цитированием
Медик
сообщение 5.06.2019 - 09:26
Сообщение #2


Учитель
Group Icon
Группа: Модераторы
Регистрация: 16.05.2010
Пользователь №: 21 553


Почечноклеточный рак,другого не придумал. wink.gif

Сообщение отредактировал Медик - 5.06.2019 - 09:31
Пользователь offline
К началу страницы
+Ответить с цитированием
IVANNES
сообщение 5.06.2019 - 09:54
Сообщение #3


Опытный участник

Группа: СМЭ
Регистрация: 28.02.2015
Пользователь №: 41 483


Цитата(Медик @ 5.06.2019 - 09:26)
Почечноклеточный рак,другого не придумал. wink.gif

Меня тоже посещает мысль, что это почечно-клеточный рак, папиллярный тип)))
Пользователь offline
К началу страницы
+Ответить с цитированием
Елена1990
сообщение 6.06.2019 - 10:27
Сообщение #4


Вновь прибывший

Группа: Участники
Регистрация: 29.05.2019
Пользователь №: 46 415


Цитата(Медик @ 5.06.2019 - 09:26)
Почечноклеточный рак,другого не придумал. wink.gif

полностью поддерживаю Ваше мнение.
Пользователь offline
К началу страницы
+Ответить с цитированием




- Обратная связь Сейчас: 7.11.2025 - 11:10