Здравствуйте, гость
(
Вход
|
Регистрация
)
Форум
Правила форума
Помощь
Поиск
Форум судебных медиков России
>
Судебная медицина и судебно-медицинская экспертиза
>
Судебно-медицинская гистология
Опухоль яичника
Опции
IVANNES
19.06.2019 - 13:50
Сообщение
#1
Опытный участник
Группа: СМЭ
Регистрация: 28.02.2015
Пользователь №: 41 483
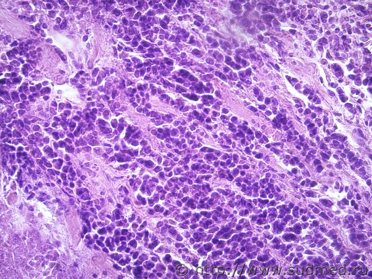
Жен 54 года. Правый яичник 12х10х10 см
Медик
19.06.2019 - 23:08
Сообщение
#2
Учитель
Группа: Модераторы
Регистрация: 16.05.2010
Пользователь №: 21 553
Похоже на гранулёзоклеточную опухоль.
Сообщение отредактировал
Медик
- 19.06.2019 - 23:09
« Предыдущая тема
·
Судебно-медицинская гистология
·
Следующая тема »
Режим отображения:
Стандартный
·
Переключить на: Линейный
·
Переключить на: Древовидный
Подписка на тему
·
Сообщить другу
·
Версия для печати
·
Подписка на этот форум
Обратная связь
Сейчас: 9.11.2025 - 04:21
Русская версия
Invision Power Board
© 2025 IPS, Inc.
Лицензия зарегистрирована на: sudmed.ru
© 2002-2017
Форум судебных медиков России
Копирование материалов сайта возможно при условии размещения активной ссылки на источник.