Здравствуйте, гость ( Вход | Регистрация )

Форум судебных медиков России
 
>

Образование левой ветви легочного ствола

>
IVANNES
сообщение 9.09.2019 - 14:37
Сообщение #1


Опытный участник

Группа: СМЭ
Регистрация: 28.02.2015
Пользователь №: 41 483


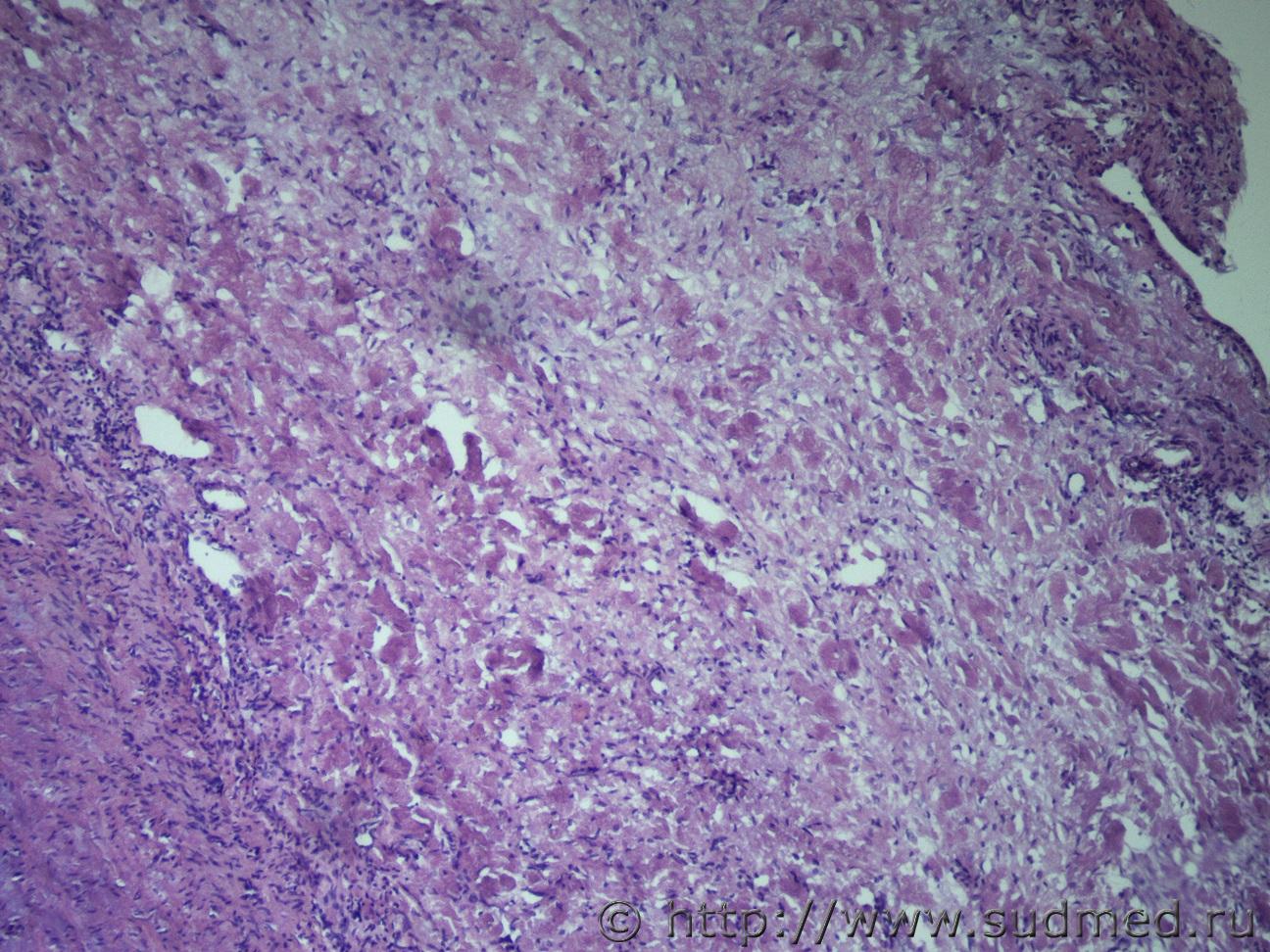
Ув. коллеги, нужна помощь. Жен 33 года, причина смерти ТЭЛА. Находка на секции образование в ветви легочного ствола. Судебная медицина - Прикрепленное изображение Судебная медицина - Прикрепленное изображениеСудебная медицина - Прикрепленное изображениеСудебная медицина - Прикрепленное изображениеСудебная медицина - Прикрепленное изображение
Судебная медицина - Прикрепленное изображениеСудебная медицина - Прикрепленное изображениеСудебная медицина - Прикрепленное изображениеСудебная медицина - Прикрепленное изображение
Судебная медицина - Прикрепленное изображениеСудебная медицина - Прикрепленное изображениеСудебная медицина - Прикрепленное изображение
Пользователь offline
К началу страницы
+Ответить с цитированием
Anton
сообщение 9.09.2019 - 19:31
Сообщение #2


Мастер II

Группа: СМЭ
Регистрация: 6.12.2011
Из: Опорный край державы
Пользователь №: 30 279


Чтой-то сосудистое. Гемангиоперицитома, zum beispiel.
Пользователь offline
К началу страницы
+Ответить с цитированием
Медик
сообщение 9.09.2019 - 22:30
Сообщение #3


Учитель
Group Icon
Группа: Модераторы
Регистрация: 16.05.2010
Пользователь №: 21 553


Ув.Антон.
Может это реканализация тромба ?
Пользователь offline
К началу страницы
+Ответить с цитированием
Anton
сообщение 10.09.2019 - 18:18
Сообщение #4


Мастер II

Группа: СМЭ
Регистрация: 6.12.2011
Из: Опорный край державы
Пользователь №: 30 279


Вполне. Надо видеть макро.
Пользователь offline
К началу страницы
+Ответить с цитированием
IVANNES
сообщение 11.09.2019 - 09:38
Сообщение #5


Опытный участник

Группа: СМЭ
Регистрация: 28.02.2015
Пользователь №: 41 483


Макро фотографии к сожалению нет. Был фрагмент легочного ствола с бифуркацией, один сосуд с обычными стенками, макро без изменений, в второй неравномерно утолщен, как бы часть сосудистой стенки обычная, а часть утолщена и частично выпирала в просвет.

Сообщение отредактировал IVANNES - 11.09.2019 - 09:39
Пользователь offline
К началу страницы
+Ответить с цитированием
Anton
сообщение 11.09.2019 - 20:40
Сообщение #6


Мастер II

Группа: СМЭ
Регистрация: 6.12.2011
Из: Опорный край державы
Пользователь №: 30 279


Эндотелизированный и реканализованный тромб трудно с чем-либо спутать. Теперь надо двигаться дальше: катамнез, причина, источник ТЭЛА и т.д. К примеру, при АФС ответ очевиден, а при "ТЭЛА" вследствие патологии ЛА - думать о сосудистом процессе.
Пользователь offline
К началу страницы
+Ответить с цитированием
Медик
сообщение 11.09.2019 - 21:35
Сообщение #7


Учитель
Group Icon
Группа: Модераторы
Регистрация: 16.05.2010
Пользователь №: 21 553


Судебно-гистологический д-з оформить фактографически,а там пускай разбирается танатолог сам.
Пользователь offline
К началу страницы
+Ответить с цитированием




- Обратная связь Сейчас: 6.11.2025 - 21:12