Здравствуйте, гость ( Вход | Регистрация )

Форум судебных медиков России
 
>

Пневмония

>
IVANNES
сообщение 17.10.2019 - 10:34
Сообщение #1


Опытный участник

Группа: СМЭ
Регистрация: 28.02.2015
Пользователь №: 41 483


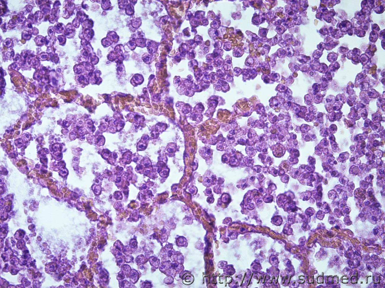
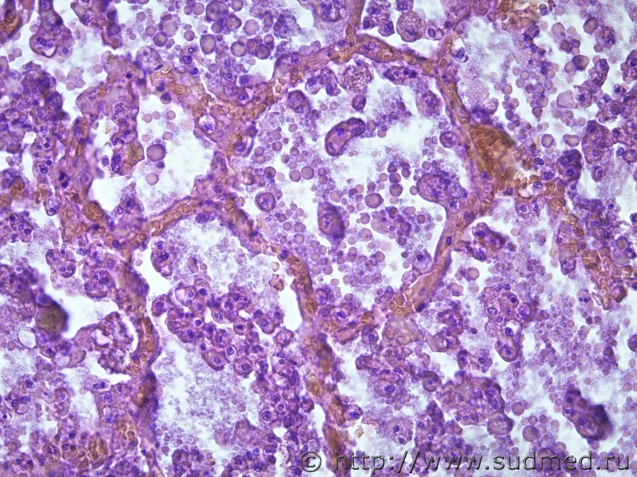
Ув. коллеги, как лучше назвать такую пневмонию, муж 60 лет, сильно выпивающий; похоже ли на криптококковую? Судебная медицина - Прикрепленное изображение Судебная медицина - Прикрепленное изображениеСудебная медицина - Прикрепленное изображениеСудебная медицина - Прикрепленное изображениеСудебная медицина - Прикрепленное изображение
Судебная медицина - Прикрепленное изображение

Сообщение отредактировал IVANNES - 17.10.2019 - 10:58
Пользователь offline
К началу страницы
+Ответить с цитированием
Anton
сообщение 17.10.2019 - 10:43
Сообщение #2


Мастер II

Группа: СМЭ
Регистрация: 6.12.2011
Из: Опорный край державы
Пользователь №: 30 279


Серозно-гнойная, "десквамативная". Для этиологии нужна окраска на грибы.
Пользователь offline
К началу страницы
+Ответить с цитированием
Медик
сообщение 17.10.2019 - 18:31
Сообщение #3


Учитель
Group Icon
Группа: Модераторы
Регистрация: 16.05.2010
Пользователь №: 21 553


Цитата(IVANNES @ 17.10.2019 - 11:34)
похоже ли на криптококковую?

Да.
Пользователь offline
К началу страницы
+Ответить с цитированием
Kvaker
сообщение 28.03.2020 - 00:48
Сообщение #4


Претендент

Группа: Участники
Регистрация: 23.11.2007
Из: Riga
Пользователь №: 6 573


Вы не в праве (морфологи) называть возбудителя по фамилии. Просто фибринозно-гнойная.
Пользователь offline
К началу страницы
+Ответить с цитированием
Медик
сообщение 29.03.2020 - 18:02
Сообщение #5


Учитель
Group Icon
Группа: Модераторы
Регистрация: 16.05.2010
Пользователь №: 21 553


Криптококки микроскопически диагностируются без проблем при банальной окраске гематоксилином и эозином. Сложностей не вижу.

Цитата(Kvaker @ 28.03.2020 - 01:48)
Вы не в праве (морфологи) называть возбудителя по фамилии.

Смотря что.
Пользователь offline
К началу страницы
+Ответить с цитированием
jaklin
сообщение 3.04.2020 - 12:49
Сообщение #6


Продвинутый участник

Группа: СМЭ
Регистрация: 22.07.2011
Пользователь №: 28 038


Похожа, особенно последнее фото.
Но окрасить на грибы - желательно.
Пользователь offline
К началу страницы
+Ответить с цитированием




- Обратная связь Сейчас: 4.11.2025 - 11:28