Здравствуйте, гость ( Вход | Регистрация )

Форум судебных медиков России
>   Правила консультационного раздела >

ВНИМАНИЕ! Все сообщения проходят предварительную проверку модератором и только после этого появляются на форуме. Порядок работы раздела изложен в правилах форума.
Все консультации на форуме бесплатны, но если мы смогли вам помочь, вы можете поддержать наш проект (подробнее).

 
2 страниц V  1 2 >  
>

Гляньте, пожалуйста! Еще раз стекла

>
Svetlana1985
сообщение 9.08.2019 - 13:11
Сообщение #1


Претендент

Группа: Участники
Регистрация: 9.08.2019
Пользователь №: 46 462


Здравствуйте уважаемые судмедэксперты!
У меня вопрос не очень ,может быть, нормальный
Я очент прошу понимания.
Вкрадце изложу.
Мама умерла в 1995 году от рака. Во время болезни при обследовании ей делали колоноскопию, выявили 1 образование в пряиой кишке и 2 мелких полипа в печеночном изгибе ободочной кишки (рак был не кишечника, был другой совсем рак).
По результатам биопсии ни рака, ни полипов в этих оьразованиях не нашли.
Спустя 25 лет уже сейчас, мне давали карту с историей бодезнт из архива и эти стекла, временно. Я ,как дочь, заинтересовалась наследственностью своей и детей и хотела узнать верна ли была биопсия. Сдала стекла в платную лабораторию, их заключение совпало с заключением 1995 года. То есть, в биоптатах просто фрагменты слизистой кишечника.
К сожалению,вопросы,которые волнуют меня,мне некому задать. В платной лаборатории врачи не консультируют, только присылают ответ по стеклам.
Очень прошу уделить мне немножечко времени и посмотреть фотографии.
Фото сделала я сама через свой домашний микроскоп. Очень надеюсь...что таких фотографий достаточно,чтобы помочь мне, ведь там и мне в целом понятно,что ткани полипа и рака нет,я тоже вижу слизистую кишечника (есть самые минимальные знания по микроскопу.
Итак вопросы.
1) образование в прямой кишке, на колоноскопии выявленное как "подслизистое?" Расположено на 2 стеклах, всего 18 нарезаных кусочков. Я каждый сфотографировала. В образовании гистологи нашли кто-то 1 кто-то 2 крупных лимфоидных фолликула (я вижу 2), ниже приложу результат биопсии 1994 года.
Влпрос в следующем. Нормальна ли такая нарезка гистологического материала для ответа на вопрос что ща образование?? Вроде врачи, что делали гистологию,говорили,что лимфоидные фолликулы, увеличиваясь, приподнимают слизистую и получается в просвете кишки выглядит как полип. Но где же верх слизистой на стеклах, той,что покрывает эти фолликулы?почему еа всех стеклах видно сразу посередине 2 фолликула? Они могут быть вот так не покрыты слизистой вообще?
2) второц вопрос по двум мелким поликам ,выявленным в печеночном изгибе. У матери был огромный метастащ в печени на момент колоноскопии, в правой доли около 10 см. В биопсии полипов просто слизистая толстой кишки. Может ли это быть связано с соседнечеством раковой опухоли с этим отделом кишечника, или биопсию взяли не с того места? (Говорят,такое бывает?), почему ырач видит два полипа, а в гистологии там просто слизистая? И самый главный вопрос. Можно ли по картинкам сказать, на стекла нанесли нарезку двух образований или только одного?я вижу абсолютно одинаковой формы 18 нарезок (на 2 стеклах), это одно образование или два?
Я очень надеюсь на помощь. Помогите, пожалуйста, разобраться. Я хотела знать,что полипов и рака кишечниуа действитедьно не было, потому как, сочетание этих заболеваний с основным заболеванием матери может указывать на плохую наследственность. Прикладываю результат колоноскопии, биопсии и 36 картинок с 3 стекол.
Пользователь offline
К началу страницы
+Ответить с цитированием
Медик
сообщение 9.08.2019 - 21:20
Сообщение #2


Учитель
Group Icon
Группа: Модераторы
Регистрация: 16.05.2010
Пользователь №: 21 553


Не вижу файлов.
Пользователь offline
К началу страницы
+Ответить с цитированием
Svetlana1985
сообщение 10.08.2019 - 01:13
Сообщение #3


Претендент

Группа: Участники
Регистрация: 9.08.2019
Пользователь №: 46 462


Да да, сейчас вск прикреплю!
1) колоноскопия и результат биопсииСудебная медицина - Прикрепленное изображение
Судебная медицина - Прикрепленное изображение
Пользователь offline
К началу страницы
+Ответить с цитированием
Svetlana1985
сообщение 10.08.2019 - 20:53
Сообщение #4


Претендент

Группа: Участники
Регистрация: 9.08.2019
Пользователь №: 46 462


2) стекла 15234 образование из прямой кишки
Было 2 стекла, на них 18 нарезок, вот все ониСудебная медицина - Прикрепленное изображениеСудебная медицина - Прикрепленное изображениеСудебная медицина - Прикрепленное изображение[attachmentid=310
84]Судебная медицина - Прикрепленное изображениеСудебная медицина - Прикрепленное изображениеСудебная медицина - Прикрепленное изображение[attachmentid=310
79]Судебная медицина - Прикрепленное изображение


Эскизы прикрепленных изображений
Судебная медицина - Прикрепленное изображение Судебная медицина - Прикрепленное изображение
Пользователь offline
К началу страницы
+Ответить с цитированием
Svetlana1985
сообщение 10.08.2019 - 20:58
Сообщение #5


Претендент

Группа: Участники
Регистрация: 9.08.2019
Пользователь №: 46 462


Судебная медицина - Прикрепленное изображение Судебная медицина - Прикрепленное изображениеСудебная медицина - Прикрепленное изображениеСудебная медицина - Прикрепленное изображениеСудебная медицина - Прикрепленное изображение
Судебная медицина - Прикрепленное изображениеСудебная медицина - Прикрепленное изображениеСудебная медицина - Прикрепленное изображениеСудебная медицина - Прикрепленное изображение
Пользователь offline
К началу страницы
+Ответить с цитированием
Медик
сообщение 10.08.2019 - 22:04
Сообщение #6


Учитель
Group Icon
Группа: Модераторы
Регистрация: 16.05.2010
Пользователь №: 21 553


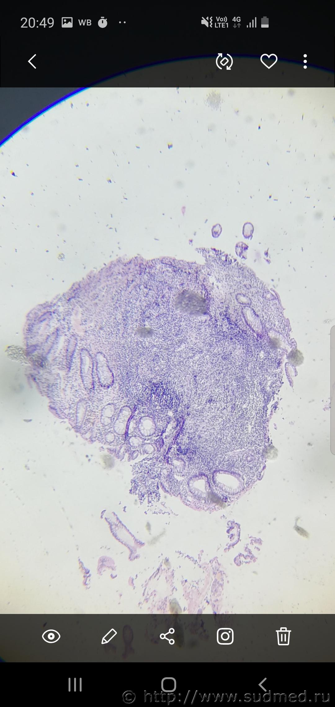
Слизистая оболочка прямой кишки с хронической воспалительной инфильтрацией,лимфатическим фолликулом с центром размножения.Данные морфологические изменения с учётом результатов колоноскопии,вероятнее всего,соответствуют воспалительному клоакогенному полипу,развитию которого могут способствовать расширенные геморроидальные вены.
Один лимфатический фолликул или два - роли не играет.В слизистой оболочке ампулы прямой кишки лимф.фолликулы в норме присутствуют.
Если включить воображение,то можно предположить,что в некоторых препаратах внизу виден ещё один лимфатический фолликул.
Пользователь offline
К началу страницы
+Ответить с цитированием
Svetlana1985
сообщение 10.08.2019 - 22:51
Сообщение #7


Претендент

Группа: Участники
Регистрация: 9.08.2019
Пользователь №: 46 462


Цитата(Медик @ 10.08.2019 - 22:04)
Слизистая оболочка прямой кишки с хронической воспалительной инфильтрацией,лимфатическим фолликулом с центром размножения.Данные морфологические изменения с учётом результатов колоноскопии,вероятнее всего,соответствуют воспалительному клоакогенному полипу,развитию которого могут способствовать расширенные геморроидальные вены.
Один лимфатический фолликул или два - роли не играет.В слизистой оболочке ампулы прямой кишки лимф.фолликулы в норме присутствуют.
Если включить воображение,то можно предположить,что в некоторых препаратах внизу виден ещё один лимфатический фолликул.

Спасибо большое!!!
Это просто фантастика, как Вы по фотографиям, сделанным в домашнем школьном микроскопе на телефон...даете диагноз. К сравнению скажу, что в платных лабораториях отказывались взять данные стекла на анализ БЕЗ блоков,даже не глядя в них сразу давали отказ, мол без блоков мы стекла не смотрим это не информативно! А Ваш диагноз в целом совпал с диагнозом 1994 года даже без микроскопа.

Скажите,пожалуйста, а такая "нарезка"данного образования информативна для гистологии? Ничего "сверху" образования не могло быть не отрезано на стекла?я ,конечно,лезу не в свое дело,но ...если это образование покрыто слизистой,то почему микроскопически нет клеток слизистой над образованием, а они только вокруг него? Или это атрофированная уже слизистая так выглядит над фолликулами? Можно считать,что ни рака,ни аденоматозного полипа там не было и быть не могло?
Добавлю еще,если это важно, на ирригоскопии данное образование описали так:
в прямой кишке на расстоянии 6 см от ануса по задней левой стенке имеется выпрямление стенки кишки на протяжении 3,5 см, с четким переходом в низлежащую кишку. На этом фоне отмечается 2 полу-овальных образования 1,5*0,6 и 1,5*1см.

Следующим письмом выложу стекла с 2 полипами поперечно ободочной кишки, которые,вроде бы являются обвчной слизистой.
Пользователь offline
К началу страницы
+Ответить с цитированием
Svetlana1985
сообщение 10.08.2019 - 23:41
Сообщение #8


Претендент

Группа: Участники
Регистрация: 9.08.2019
Пользователь №: 46 462


2 стекла под номером
15232-33.94
В учреждении,где делали эту гистолигию в 94году по телефону,не глядя в стекла, сказали,что этот номер означает то,что в пробирке было 2 биоптата, которым присвоили номера 15232,15233 и разместили их вместе на двух стеклах.
По этим снимкам можно сказать 1 кусок в них нарезан или 2?? Могут ли быть 2 куска на стеклах быть такими одинаковыми? Судебная медицина - Прикрепленное изображениеСудебная медицина - Прикрепленное изображениеСудебная медицина - Прикрепленное изображениеСудебная медицина - Прикрепленное изображение
Судебная медицина - Прикрепленное изображениеСудебная медицина - Прикрепленное изображениеСудебная медицина - Прикрепленное изображениеСудебная медицина - Прикрепленное изображение
Пользователь offline
К началу страницы
+Ответить с цитированием
Svetlana1985
сообщение 10.08.2019 - 23:52
Сообщение #9


Претендент

Группа: Участники
Регистрация: 9.08.2019
Пользователь №: 46 462


ПродолжениеСудебная медицина - Прикрепленное изображениеСудебная медицина - Прикрепленное изображениеСудебная медицина - Прикрепленное изображение[attachme
ntid=31108]Судебная медицина - Прикрепленное изображениеСудебная медицина - Прикрепленное изображениеСудебная медицина - Прикрепленное изображение[attachme
ntid=31112]Судебная медицина - Прикрепленное изображение


Эскизы прикрепленных изображений
Судебная медицина - Прикрепленное изображение Судебная медицина - Прикрепленное изображение
Пользователь offline
К началу страницы
+Ответить с цитированием
Svetlana1985
сообщение 10.08.2019 - 23:53
Сообщение #10


Претендент

Группа: Участники
Регистрация: 9.08.2019
Пользователь №: 46 462


Судебная медицина - Прикрепленное изображение
Пользователь offline
К началу страницы
+Ответить с цитированием
Медик
сообщение 11.08.2019 - 16:12
Сообщение #11


Учитель
Group Icon
Группа: Модераторы
Регистрация: 16.05.2010
Пользователь №: 21 553


Цитата(Svetlana1985 @ 11.08.2019 - 00:41)

По этим снимкам можно сказать 1 кусок в них нарезан или 2?

Утвердительно ответить не могу.
Если делать несколько срезов с одного блока,то в препаратах может быть разная картина из-за глубины среза.


Цитата(Svetlana1985 @ 11.08.2019 - 00:41)
2 стекла под номером
15232-33.94
сказали,что этот номер означает то,что в пробирке было 2 биоптата, которым присвоили номера 15232,15233 .

Всё верно.
Пользователь offline
К началу страницы
+Ответить с цитированием
Медик
сообщение 11.08.2019 - 16:18
Сообщение #12


Учитель
Group Icon
Группа: Модераторы
Регистрация: 16.05.2010
Пользователь №: 21 553


Цитата(Svetlana1985 @ 10.08.2019 - 23:51)

а такая "нарезка"данного образования информативна для гистологии?
рака,ни аденоматозного полипа

1.Да,информативная.Сделали много срезов.Обычно для постановки морфологического диагноза хватает одного среза.
В Вашем случае одного среза с каждого блока было бы достаточно.
2.Этого в препаратах нет.
Пользователь offline
К началу страницы
+Ответить с цитированием
Медик
сообщение 11.08.2019 - 16:27
Сообщение #13


Учитель
Group Icon
Группа: Модераторы
Регистрация: 16.05.2010
Пользователь №: 21 553


Цитата(Svetlana1985 @ 10.08.2019 - 23:51)

образование покрыто слизистой,то почему микроскопически нет клеток слизистой над образованием, а они только вокруг него?
Или это атрофированная уже слизистая так выглядит над фолликулами?

1.В препаратах слизистая оболочка толстой кишки,отдельных клеток нет.
2.В слизистой оболочке толстой кишки в норме имеются лимф.фолликулы.
Не надо гадать.
Сопоставлять клинику и морфологию дано лечащему врачу,а не патану и эндоскописту.
Наверное,консультацию следует заканчивать,а то пойдём по "второму кругу".
Пользователь offline
К началу страницы
+Ответить с цитированием
Svetlana1985
сообщение 11.08.2019 - 18:52
Сообщение #14


Претендент

Группа: Участники
Регистрация: 9.08.2019
Пользователь №: 46 462


Цитата(Медик @ 11.08.2019 - 16:12)
Утвердительно ответить не могу.
Если делать несколько срезов с одного блока,то в препаратах может быть разная картина из-за глубины среза.

Поняла Вас.
А вообще, это может быть нарезка с двух биоптатов?могут быть 2 разных куска на стеклах выглядеть так внешне одинаково? (Форма чебурека, как видится мне), такое возможно или, скорее всего,тут один только кусок нарезан?
Вы согласны с результатом гистологии,что тут просто фрагмент слизистой, не полип?
Просто, эндоскопист увидел 2 полипа, а в гистологии это не полипы, может такое,конечно, возможно..
Пользователь offline
К началу страницы
+Ответить с цитированием
Медик
сообщение 11.08.2019 - 21:40
Сообщение #15


Учитель
Group Icon
Группа: Модераторы
Регистрация: 16.05.2010
Пользователь №: 21 553


Цитата(Svetlana1985 @ 11.08.2019 - 19:52)

Вы согласны с результатом гистологии,что тут просто фрагмент слизистой, не полип?
а в гистологии это не полипы, может такое,конечно, возможно..

1.Согласен,но добавлю,что с хронической воспалительной инфильтрацией и в одном из препаратов с очаговым фиброзом и очаговым кровоизлиянием в собственной пластинке слизистой оболочки.
Данная микроскопическая картина свидетельствует о хроническом колите.
Эндоскопист видел полип,но врач же не мог его взять полностью,а отщипнул от полипа маленький кусочек.Вот по этой причине и имеем такую морфологическую картину в препарате,что не исключает наличие полипа толстой кишки у Вашей матери.
2.Возможно (причину написал выше).

Мне более писать нечего.
Тему закрываю ?

Сообщение отредактировал Медик - 11.08.2019 - 21:39
Пользователь offline
К началу страницы
+Ответить с цитированием

2 страниц V  1 2 >



- Обратная связь Сейчас: 5.11.2025 - 19:54