Здравствуйте, гость ( Вход | Регистрация )

Форум судебных медиков России
4 страниц V  1 2 3 > »   
>

Коронавирус матьегоити.....

>
jaklin
сообщение 16.03.2020 - 12:38
Сообщение #1


Продвинутый участник

Группа: СМЭ
Регистрация: 22.07.2011
Пользователь №: 28 038


Всем - хорошего дня!

Коллеги, можно ли гистологическими методом (световой микроскоп) различить Covir, Mers и Sars?
Есть ли у них достоверный признак различия. видимый нашими методами?

Чей-то совмневаюся я....

Во всяком случае, 4 день поиска в тырнете, руководствах и беседах с коллегами результата не дал.

Кроме единственной фразы - поражение реснитчатого эпителия.

Если есть инфа - поделитесь, пожалуйста. Ибо вопрос не праздный, неужно для работы.

Всем откликнувшимся - спасибо!
Пользователь offline
К началу страницы
+Ответить с цитированием
Dr_Bob
сообщение 18.03.2020 - 21:28
Сообщение #2


Продвинутый участник

Группа: СМЭ
Регистрация: 6.07.2006
Из: Slovak Republic
Пользователь №: 2 281


По-моему, различий в гистопатологической картине трахеобронхита или интерстициальной пневмонии при всех трех видах вируса не будет. Итальянские коллеги разрешили мне поделиться свежей картинкой с их микроскопа - гиалиноподобные мембраны в легких при ARDS. Больной (76-летний мужчина) находился 3 дня на УВЛ. Вскрытие было где-то неделю назад.
Судебная медицина - Прикрепленное изображение
Пользователь offline
К началу страницы
+Ответить с цитированием
Медик
сообщение 19.03.2020 - 00:09
Сообщение #3


Учитель
Group Icon
Группа: Модераторы
Регистрация: 16.05.2010
Пользователь №: 21 553


Цитата(jaklin @ 16.03.2020 - 13:38)
поделитесь, пожалуйста.

Поддерживаю коллегу Dr_Bob.
Пользователь offline
К началу страницы
+Ответить с цитированием
Dr_Bob
сообщение 19.03.2020 - 00:12
Сообщение #4


Продвинутый участник

Группа: СМЭ
Регистрация: 6.07.2006
Из: Slovak Republic
Пользователь №: 2 281


Чтиво на 14 страничек о коронавирусе и вскрытии - Autopsy practice relating to possible
cases of COVID-19 (2019-nCov, novel coronavirus from China 2019/2020) - тут посмотрите
Пользователь offline
К началу страницы
+Ответить с цитированием
jaklin
сообщение 23.03.2020 - 11:49
Сообщение #5


Продвинутый участник

Группа: СМЭ
Регистрация: 22.07.2011
Пользователь №: 28 038


Цитата(Dr_Bob @ 18.03.2020 - 21:28)
По-моему, различий в гистопатологической картине трахеобронхита или интерстициальной пневмонии при всех трех видах вируса не будет. Итальянские коллеги разрешили мне поделиться свежей картинкой с их микроскопа - гиалиноподобные мембраны в легких при ARDS. Больной (76-летний мужчина) находился 3 дня на УВЛ. Вскрытие было где-то неделю назад.
Судебная медицина - Прикрепленное изображение


Спасибо, Dr_Bob.
Я такого же мнения.

Не сочтите за глупость, разве гиалиновые мембраны - не респираторный дистресс-синдром?


И еще есть инфа, что разрыв альвеол происходит. На ум приходит только как следствие эмфиземы (компенсаторная одышка из-за неусваимости кислорода)?

Коллеги, Ваше мнение?
Ибо некоторые товарисчи (не медики) с пеной у рта мне доказывают, что это вирус их рвет! Я тихо хихикаю каанешна..... biggrin.gif

Сообщение отредактировал jaklin - 23.03.2020 - 11:50
Пользователь offline
К началу страницы
+Ответить с цитированием
атлас
сообщение 24.03.2020 - 08:20
Сообщение #6


Читатель

Группа: Участники
Регистрация: 21.11.2008
Пользователь №: 11 053


[quote name='Dr_Bob' date='19.03.2020 - 05:12' post='250275']Чтиво на 14 страничек о коронавирусе и вскрытии - Autopsy practice relating to possible
cases of COVID-19 (2019-nCov, novel coronavirus from China 2019/2020) - тут посмотрите [/quote


Прикрепленные файлы
Судебная медицина - Прикрепленный файл  _________________________________________.pdf ( 448.57 килобайт ) Кол-во скачиваний:  864
Пользователь offline
К началу страницы
+Ответить с цитированием
Kvaker
сообщение 27.03.2020 - 22:55
Сообщение #7


Претендент

Группа: Участники
Регистрация: 23.11.2007
Из: Riga
Пользователь №: 6 573


Господа эксперты! Вскрытие покойников с Ковид 19 запрещено в Евросоюзе и США. Данных нет.
Нет данных о сертификации тестовых программ, ничего нет....
Какая статистика? Какие выводы?
Пользователь offline
К началу страницы
+Ответить с цитированием
доктор морфолог
сообщение 30.03.2020 - 20:47
Сообщение #8


Мастер I

Группа: СМЭ
Регистрация: 5.12.2013
Пользователь №: 38 421


Цитата(Dr_Bob @ 19.03.2020 - 00:28)
По-моему, различий в гистопатологической картине трахеобронхита или интерстициальной пневмонии при всех трех видах вируса не будет. Итальянские коллеги разрешили мне поделиться свежей картинкой с их микроскопа - гиалиноподобные мембраны в легких при ARDS. Больной (76-летний мужчина) находился 3 дня на УВЛ. Вскрытие было где-то неделю назад.
Судебная медицина - Прикрепленное изображение

Амерканские профессора патологи аналогичную картину по ARDS показали на закрытых сайтах, что при CoVi19 гиалиновые мембраны являются одним из патогномоничных гистопризнаков, как в вашем случае. Я за последние 10 лет на практике в летнее время тоже у одного спортсмена после вскрытия гистологически видел и буквально за 2-3 дня от сильной одышки он как спортсмен стену в палате пробивал и к сожалению тогда и он умер. На снимке облаковидные тени нарастали так быстро. Что интересно до того он незнал что делать боролся за жизнь. А деж.врачи вызвали из психдиспансера вышибалов санитаров и пока они приехали было поздно.
Пользователь offline
К началу страницы
+Ответить с цитированием
Тони
сообщение 17.04.2020 - 11:48
Сообщение #9


Читатель

Группа: Участники
Регистрация: 4.02.2009
Пользователь №: 12 601


"У людей, зараженных коронавирусной инфекцией, развивается не пневмония, а начинается специфическое поражение легких. Такую точку зрения высказал врач-патологоанатом Александр Эдигер."

Кто-нибудь может прокомментировать, что за процессы развиваются в легких при КВ, что там на гистологии?
Пользователь offline
К началу страницы
+Ответить с цитированием
Медик
сообщение 18.04.2020 - 07:46
Сообщение #10


Учитель
Group Icon
Группа: Модераторы
Регистрация: 16.05.2010
Пользователь №: 21 553


Цитата(Тони @ 17.04.2020 - 12:48)
Эдигер.

Кем он только себя не представлял. Его принадлежность к патан очень и очень сомнительна.
Пользователь offline
К началу страницы
+Ответить с цитированием
доктор морфолог
сообщение 18.04.2020 - 21:38
Сообщение #11


Мастер I

Группа: СМЭ
Регистрация: 5.12.2013
Пользователь №: 38 421


Цитата(Медик @ 18.04.2020 - 10:46)
Кем он только себя не представлял. Его принадлежность к патан очень и очень сомнительна.

Согласен с Вами ув.Медик! Вот что он подразумевал под специфическим поражением легких, пусть перечисляют .
Пользователь offline
К началу страницы
+Ответить с цитированием
Тони
сообщение 19.04.2020 - 22:53
Сообщение #12


Читатель

Группа: Участники
Регистрация: 4.02.2009
Пользователь №: 12 601


Так, Эдигера заклеймили, наверное поделом ему. Ну, а по сути вопроса, что же в лёгких, пневмония или нет?
Пользователь offline
К началу страницы
+Ответить с цитированием
Медик
сообщение 21.04.2020 - 00:57
Сообщение #13


Учитель
Group Icon
Группа: Модераторы
Регистрация: 16.05.2010
Пользователь №: 21 553


Цитата(Тони @ 19.04.2020 - 23:53)
пневмония

Вирусная, затем вирусно- бактериальная. При любой из этих пневмоний может развиться РДС.
Р.S. Макро- и микро, как при гриппе. Ничего необычного в морфологии нет.

Сообщение отредактировал Медик - 21.04.2020 - 01:00
Пользователь offline
К началу страницы
+Ответить с цитированием
fbc_v
сообщение 21.04.2020 - 15:22
Сообщение #14


Знаток форума
Group Icon
Группа: СМЭ
Регистрация: 18.04.2012
Пользователь №: 32 515


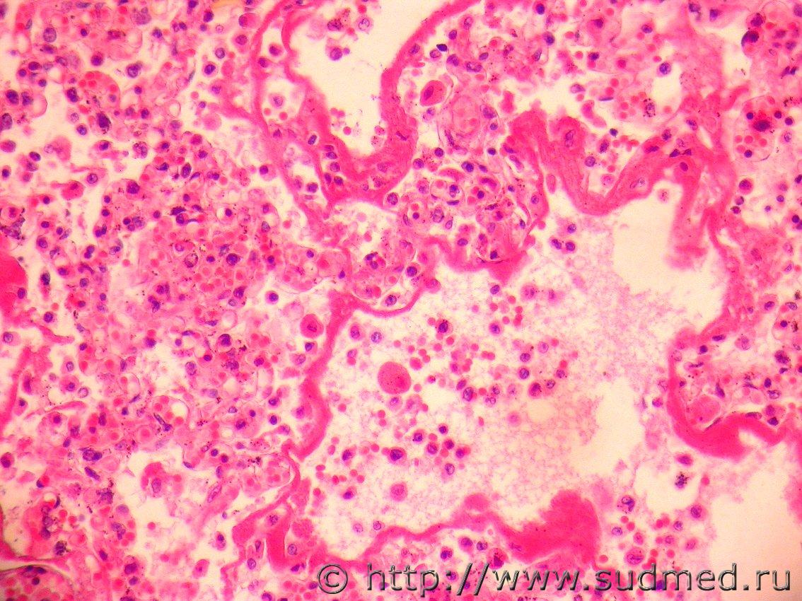
Труп из карантинного очага по ковиду, к сожалению вирусологию не проводил, макроскопически выраженный отек легких, такую гистологию получил

Сообщение отредактировал fbc_v - 21.04.2020 - 15:25


Эскизы прикрепленных изображений
Судебная медицина - Прикрепленное изображение
Пользователь offline
К началу страницы
+Ответить с цитированием
Медик
сообщение 21.04.2020 - 23:46
Сообщение #15


Учитель
Group Icon
Группа: Модераторы
Регистрация: 16.05.2010
Пользователь №: 21 553


Цитата(fbc_v @ 21.04.2020 - 16:22)
такую гистологию получил

Вирусная серозно - десквамативная пневмония с геморрагическим компонентом + РДС.

Цитата(fbc_v @ 21.04.2020 - 16:22)
Труп из карантинного очага по ковиду

Что есть у Вас из средств защиты ?

Сообщение отредактировал Медик - 21.04.2020 - 23:49
Пользователь offline
К началу страницы
+Ответить с цитированием

4 страниц V  1 2 3 > » 



- Обратная связь Сейчас: 6.11.2025 - 05:47