Здравствуйте, гость ( Вход | Регистрация )

Форум судебных медиков России
>   Правила консультационного раздела >

ВНИМАНИЕ! Все сообщения проходят предварительную проверку модератором и только после этого появляются на форуме. Порядок работы раздела изложен в правилах форума.
Все консультации на форуме бесплатны, но если мы смогли вам помочь, вы можете поддержать наш проект (подробнее).

 
 
>

Есть ли перелом пальца?, Помогите разобраться со снимком

>
Sanekk
сообщение 20.06.2020 - 18:52
Сообщение #1


Вновь прибывший

Группа: Участники
Регистрация: 20.06.2020
Пользователь №: 46 651


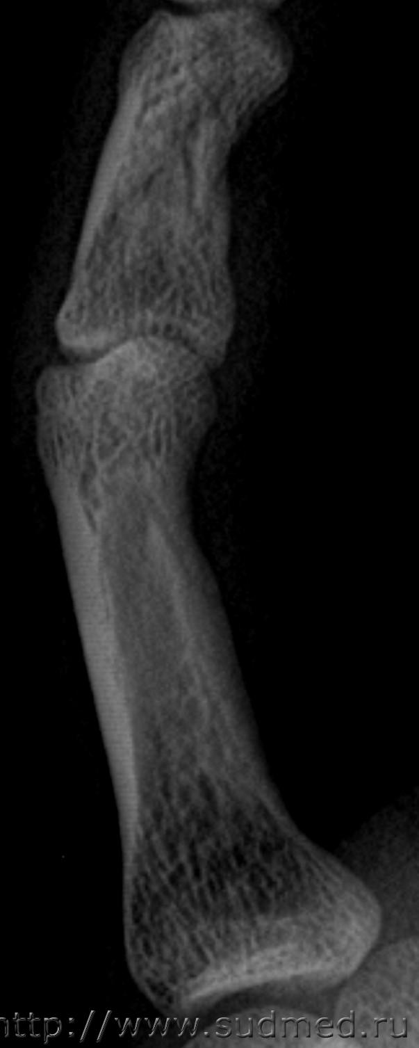
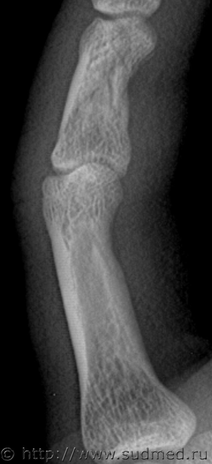
Здравствуйте. Произошла драка в которой когда я упал и меня пинали по голове, я закрыл голову рукой и нападавший попал ногой по руке. В результате он повредил мне мизинец на левой руке. Врач скорой сказала что это скорее всего ушиб. Я думал что ушиб пройдет, но палец болел и через 13 дней я обратился в травмпункт, мне сделали рентген кисти и обнаружили «З/консолидирующийся перелом о/фаланги Vп левой кисти». По этой справке мне определили средний вред здоровью. Потом когда суд мед эксперты смотрели данный снимок они не нашли перелома. Снимок сделан в травм пункте на 13 день после травмы. Можете ли вы оценить снимки. Что на них видно? Какая степень вреда здоровью?
Судебная медицина - Прикрепленное изображение
Судебная медицина - Прикрепленное изображение
Судебная медицина - Прикрепленное изображение
Судебная медицина - Прикрепленное изображение
Судебная медицина - Прикрепленное изображение
Судебная медицина - Прикрепленное изображение
Пользователь offline
К началу страницы
+Ответить с цитированием
Медик
сообщение 20.06.2020 - 18:57
Сообщение #2


Учитель
Group Icon
Группа: Модераторы
Регистрация: 16.05.2010
Пользователь №: 21 553


Изображение не увеличивается.
Коллеги, что у вас ?
Пользователь offline
К началу страницы
+Ответить с цитированием
Sanekk
сообщение 20.06.2020 - 19:08
Сообщение #3


Вновь прибывший

Группа: Участники
Регистрация: 20.06.2020
Пользователь №: 46 651


Судебная медицина - Прикрепленное изображение
Пользователь offline
К началу страницы
+Ответить с цитированием
Sanekk
сообщение 20.06.2020 - 19:12
Сообщение #4


Вновь прибывший

Группа: Участники
Регистрация: 20.06.2020
Пользователь №: 46 651


Скорее всего технический сбой. Вот изображения в другом формате.
Судебная медицина - Прикрепленное изображение
Судебная медицина - Прикрепленное изображение
Судебная медицина - Прикрепленное изображение
Судебная медицина - Прикрепленное изображение
Судебная медицина - Прикрепленное изображение
Судебная медицина - Прикрепленное изображение
Пользователь offline
К началу страницы
+Ответить с цитированием
Медик
сообщение 20.06.2020 - 19:19
Сообщение #5


Учитель
Group Icon
Группа: Модераторы
Регистрация: 16.05.2010
Пользователь №: 21 553


Увеличиваются.
Пользователь offline
К началу страницы
+Ответить с цитированием
Радомир
сообщение 20.06.2020 - 19:24
Сообщение #6


Мастер III
Group Icon
Группа: Модераторы
Регистрация: 30.11.2008
Из: Российская Федерация
Пользователь №: 11 273


Достоверно перелома не видно.
Делали ли контрольные снимки?
Пользователь offline
К началу страницы
+Ответить с цитированием
Sanekk
сообщение 20.06.2020 - 19:27
Сообщение #7


Вновь прибывший

Группа: Участники
Регистрация: 20.06.2020
Пользователь №: 46 651


Еще один снимок делал но там 3 месяца прошло и он на пленке. А почему достоверно перелома не видно? Травматолог и глав врач травматологии сказали что точно перелом.
Пользователь offline
К началу страницы
+Ответить с цитированием
Sanekk
сообщение 20.06.2020 - 19:32
Сообщение #8


Вновь прибывший

Группа: Участники
Регистрация: 20.06.2020
Пользователь №: 46 651


Вот еще один. Немного изменил яркость.
Судебная медицина - Прикрепленное изображение
Пользователь offline
К началу страницы
+Ответить с цитированием
Радомир
сообщение 21.06.2020 - 03:38
Сообщение #9


Мастер III
Group Icon
Группа: Модераторы
Регистрация: 30.11.2008
Из: Российская Федерация
Пользователь №: 11 273


Что написал рентгенолог травмпункта на 13 день после предъявляемой травмы и через 3 месяца; что написано об исследовании рентгенограмм в заключении эксперта?
Представьте целиком рентгенограммы кисти в обеих проекциях.
Представьте изображение на пленке (проще всего - фото, сделанное с рентгенограммы на фоне полностью белого экрана компьютера или на фоне окна, за которым чистое небо, без соседних зданий, проводов, веток и солнечной засветки).
Пользователь offline
К началу страницы
+Ответить с цитированием
Sanekk
сообщение 21.06.2020 - 13:58
Сообщение #10


Вновь прибывший

Группа: Участники
Регистрация: 20.06.2020
Пользователь №: 46 651


В справке из травм пункта на 13 день после травмы указано:
Установлен диагноз: З/консолидирущийся перелом о/фаланги Vп левой кисти.
Следующий снимок сделал через 100 дней после травмы, по просьбе экспертов.

Результаты, которые указаны в заключении эксперта:
По поводу первого снимка, 13 дней после травмы. На диске, цифровой.
Заключение: на представленных рентгенограммах 5 пальца левой кисти от (13 дней после травмы) на электронном носителе костно-травматических изменений не выявляется.
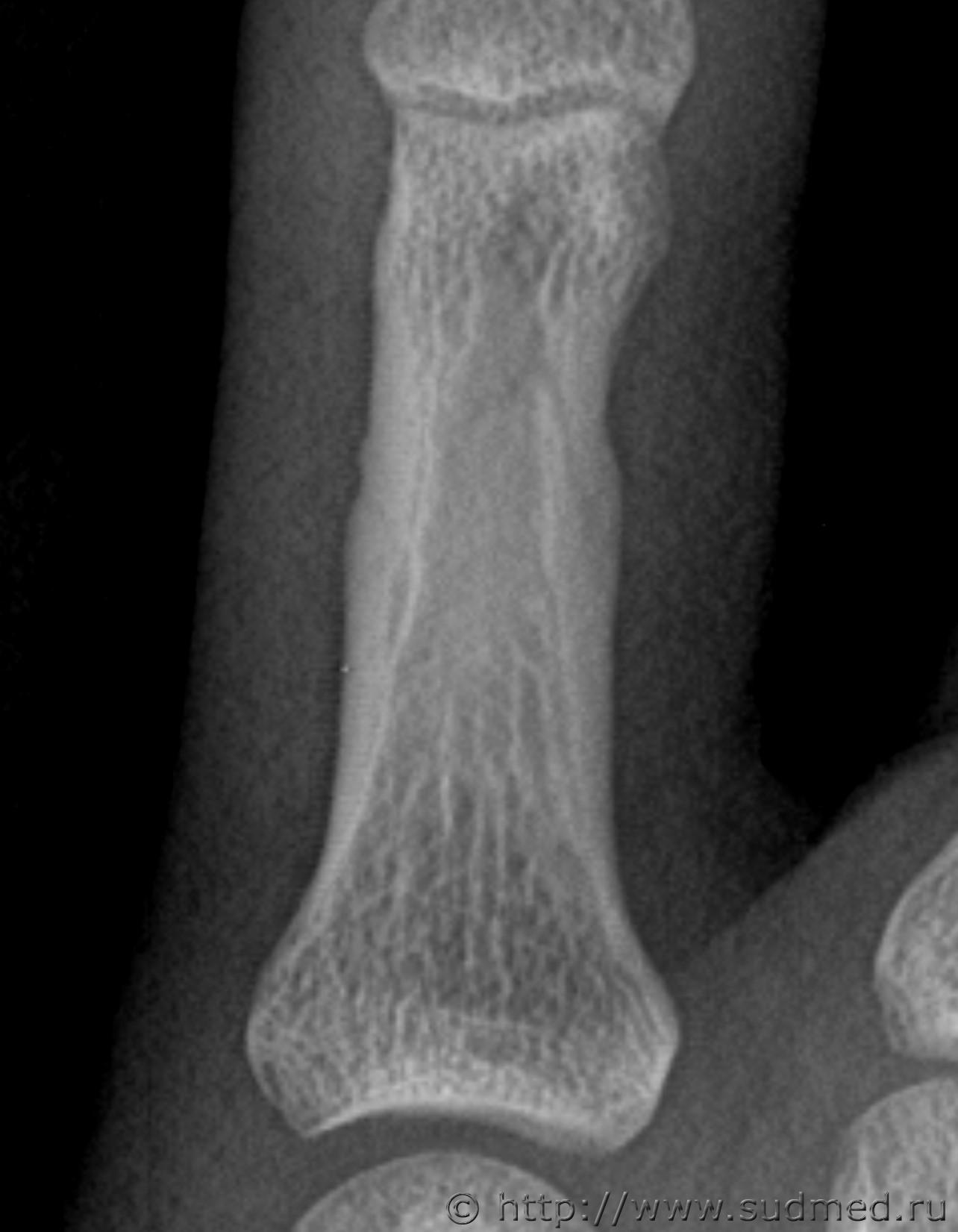
Второй снимок, 100 дней после травмы. На рентгеновской пленке.
Заключение: на представленной рентгенограмме 5 пальца левой кисти в 2-х проекциях от (100 после травмы) костно-травматических изменений не выявлено.

Снимки цифровые 13 дней после травмы:
Судебная медицина - Прикрепленное изображение
Судебная медицина - Прикрепленное изображение
Снимок через 100 дней после травмы на рентгеновской пленке остался у экспертов, я его отсканировал перед тем как отдать:
Судебная медицина - Прикрепленное изображение
Пользователь offline
К началу страницы
+Ответить с цитированием
Радомир
сообщение 22.06.2020 - 00:16
Сообщение #11


Мастер III
Group Icon
Группа: Модераторы
Регистрация: 30.11.2008
Из: Российская Федерация
Пользователь №: 11 273


Больше вопросов и предположений вызывает не основная, а средняя фаланга. Если бы она так выглядела через 100 дней после травмы, можно было бы согласиться, что несколько месяцев назад был перелом средней фаланги. Через 13 дней перелом так выглядеть не может. Вероятно, имеется какая-то индивидуальная особенность или когда-то давно (многие месяцы-годы назад) был перелом средней фаланги мизинца. Основная фаланга особых вопросов не вызывает: согласен с рентгенологами по поводу отсутствия достоверных рентгенологических признаков перелома.
Пользователь offline
К началу страницы
+Ответить с цитированием
Радомир
сообщение 23.06.2020 - 23:04
Сообщение #12


Мастер III
Group Icon
Группа: Модераторы
Регистрация: 30.11.2008
Из: Российская Федерация
Пользователь №: 11 273


Ответы даны.
Тема закрыта.
Пользователь offline
К началу страницы
+Ответить с цитированием




- Обратная связь Сейчас: 9.11.2025 - 01:07