Здравствуйте, гость ( Вход | Регистрация )

Форум судебных медиков России
 
>

Головной мозг после длительной комы

>
IVANNES
сообщение 23.04.2021 - 12:09
Сообщение #1


Опытный участник

Группа: СМЭ
Регистрация: 28.02.2015
Пользователь №: 41 483


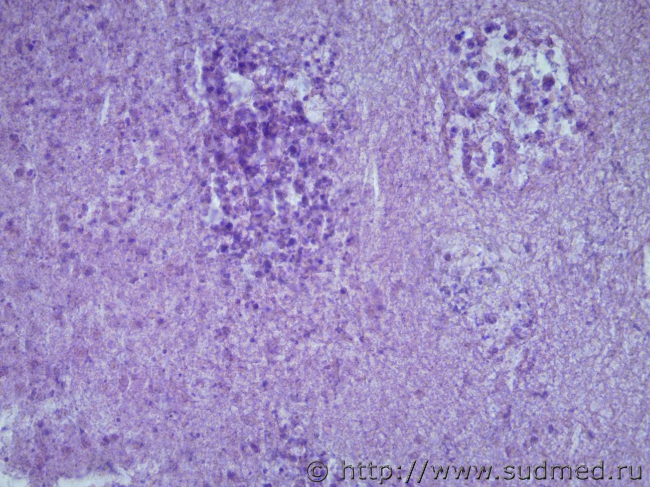
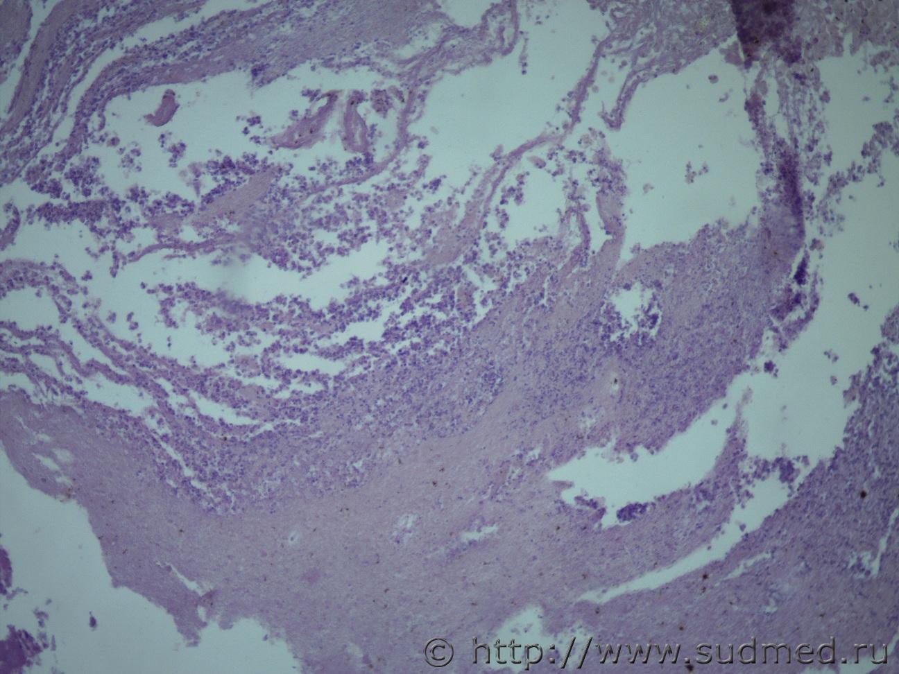
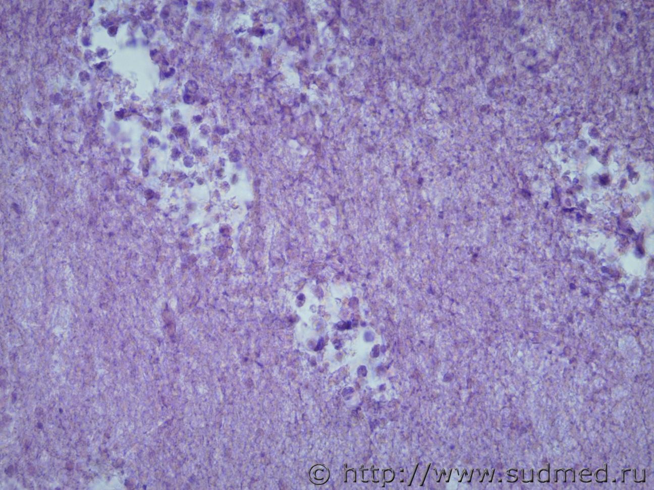
Добрый день! Ув. коллеги, нужна ваша помощь. Головной мозг жен. 28 лет. 1 год в коме после остановки сердца в послеоперационном периоде. Под микроскопом тотальный некроз головного мозга. Грибковый энцефалит?Судебная медицина - Прикрепленное изображение Судебная медицина - Прикрепленное изображениеСудебная медицина - Прикрепленное изображениеСудебная медицина - Прикрепленное изображениеСудебная медицина - Прикрепленное изображение
Судебная медицина - Прикрепленное изображениеСудебная медицина - Прикрепленное изображениеСудебная медицина - Прикрепленное изображениеСудебная медицина - Прикрепленное изображение
Пользователь offline
К началу страницы
+Ответить с цитированием
Медик
сообщение 23.04.2021 - 20:39
Сообщение #2


Учитель
Group Icon
Группа: Модераторы
Регистрация: 16.05.2010
Пользователь №: 21 553


Похожи на криптококки, особенно на 9 фото.
Пользователь offline
К началу страницы
+Ответить с цитированием
доктор морфолог
сообщение 24.04.2021 - 11:12
Сообщение #3


Мастер I

Группа: СМЭ
Регистрация: 5.12.2013
Пользователь №: 38 421


Цитата(IVANNES @ 23.04.2021 - 15:09)
Добрый день! Ув. коллеги, нужна ваша помощь. Головной мозг жен. 28 лет. 1 год в коме после остановки сердца в послеоперационном периоде. Под микроскопом тотальный некроз головного мозга. Грибковый энцефалит?Судебная медицина - Прикрепленное изображение Судебная медицина - Прикрепленное изображениеСудебная медицина - Прикрепленное изображениеСудебная медицина - Прикрепленное изображениеСудебная медицина - Прикрепленное изображение
Судебная медицина - Прикрепленное изображениеСудебная медицина - Прикрепленное изображениеСудебная медицина - Прикрепленное изображениеСудебная медицина - Прикрепленное изображение

Мое мнение за лейкомаляцию
Пользователь offline
К началу страницы
+Ответить с цитированием
Медик
сообщение 24.04.2021 - 18:58
Сообщение #4


Учитель
Group Icon
Группа: Модераторы
Регистрация: 16.05.2010
Пользователь №: 21 553


Цитата(доктор морфолог @ 24.04.2021 - 12:12)
Мое мнение за лейкомаляцию

Что это за клетки на фото ?
Пользователь offline
К началу страницы
+Ответить с цитированием
доктор морфолог
сообщение 25.04.2021 - 20:21
Сообщение #5


Мастер I

Группа: СМЭ
Регистрация: 5.12.2013
Пользователь №: 38 421




Цитата(Медик @ 24.04.2021 - 21:58)
Что это за клетки на фото ?

Ув.Медик! Это микроглиальные клетки (d=длиной 6мкм, шириной 3-4 мкм) и они выполняют в ГЭБ, ЛЭБ, ГЭБ местную иммунно-защитную роль, при повреждении субстрата г/м подвергаются ишемии и трансформируются в глиально-макрофагальные с дегрануляцией и набухшие с кариорексисом , кариолизисом и ядерными детритами. Криптоподобные округлые клетки- это амиободный фенотип микрглии играющие фагоцитарную функцию при длительной ишемии.А пигментные - это липофусцины.

Сообщение отредактировал доктор морфолог - 25.04.2021 - 20:42
Пользователь offline
К началу страницы
+Ответить с цитированием
Медик
сообщение 26.04.2021 - 21:26
Сообщение #6


Учитель
Group Icon
Группа: Модераторы
Регистрация: 16.05.2010
Пользователь №: 21 553


Спасибо !
Пользователь offline
К началу страницы
+Ответить с цитированием




- Обратная связь Сейчас: 5.11.2025 - 00:31