Здравствуйте, гость ( Вход | Регистрация )

Форум судебных медиков России
 
>

опухоль легкого

>
новичок014
сообщение 28.06.2025 - 10:03
Сообщение #1


Вновь прибывший

Группа: Участники
Регистрация: 22.06.2025
Пользователь №: 47 401


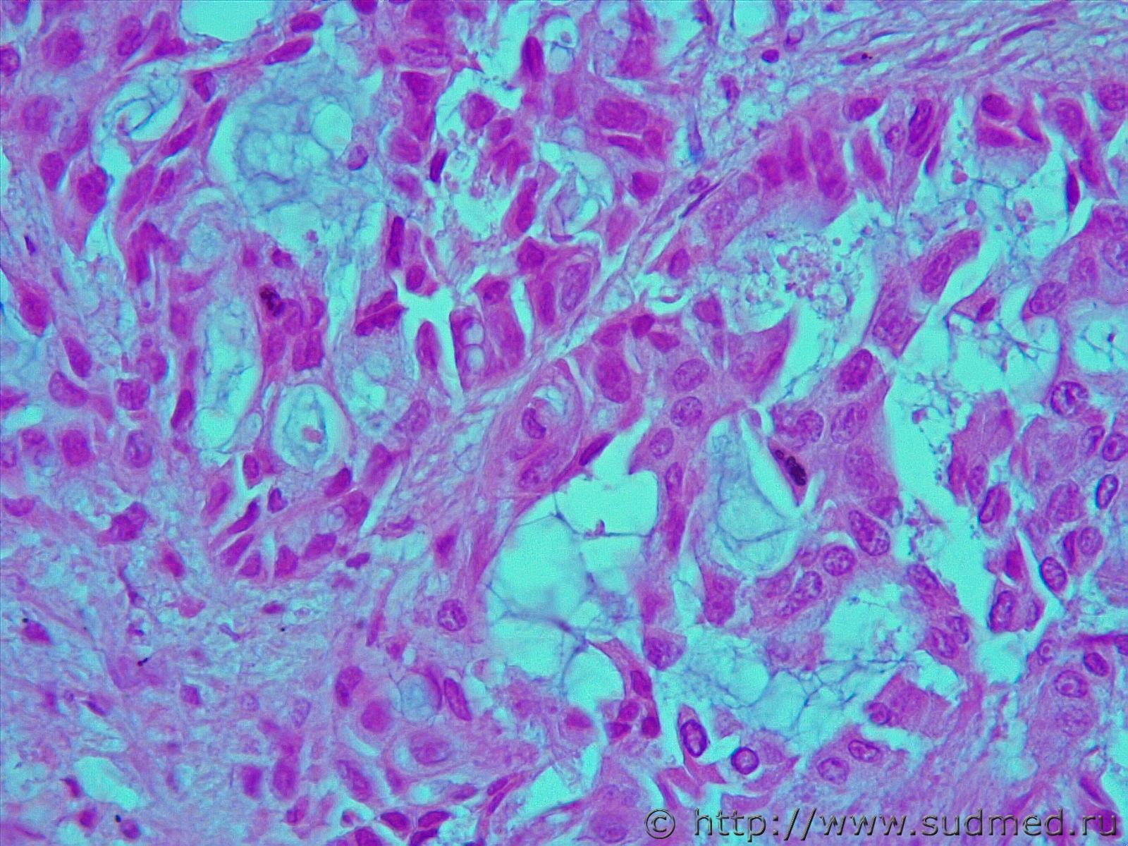
подскажите пожалуйста с опухолью.. совсем туго идет


Эскизы прикрепленных изображений
Судебная медицина - Прикрепленное изображение Судебная медицина - Прикрепленное изображение Судебная медицина - Прикрепленное изображение Судебная медицина - Прикрепленное изображение Судебная медицина - Прикрепленное изображение Судебная медицина - Прикрепленное изображение
Пользователь offline
К началу страницы
+Ответить с цитированием
Anton
сообщение 28.06.2025 - 18:33
Сообщение #2


Мастер II

Группа: СМЭ
Регистрация: 6.12.2011
Из: Опорный край державы
Пользователь №: 30 279


Могу лишь предположить н/д аденокарциному со слизеобразованием
Пользователь offline
К началу страницы
+Ответить с цитированием
Медик
сообщение 29.06.2025 - 19:40
Сообщение #3


Учитель
Group Icon
Группа: Модераторы
Регистрация: 16.05.2010
Пользователь №: 21 553


Фото не увеличиваются, но можно предположить, что это аденокарцинома.
Пользователь offline
К началу страницы
+Ответить с цитированием




- Обратная связь Сейчас: 5.11.2025 - 05:05