Здравствуйте, гость ( Вход | Регистрация )

Форум судебных медиков России
>

Феномен Смысловой, аэротромбы или артефакт?

>
Unior
сообщение 24.04.2012 - 08:44
Сообщение #1


Продвинутый участник

Группа: СМЭ
Регистрация: 13.10.2011
Из: хутор Рудка
Пользователь №: 29 337


Тема, конечно, "изъезжена" вдоль и поперёк и многим может быть и неинтересна, но по-скольку в ветке "гистология" наметилось некоторое затишье, хотелось бы по-любопытствовать - кто и как оценивает вот эти самые "пузырьки воздуха" в сосудах легкого?
Судебная медицина - Прикрепленное изображение
Рис. 10. Смерть от холода (эксперимент на кролике). "Округлые пустоты" А. М. Смысловой в артерии легкого (окр. гематоксилин-эозин). Диагностического значения признак не имеет, так как он не специфичен для смерти от холода (Десятов В.П. "Смерть от переохлаждения организма"
Ну, и "аэротромбы" по Науменку с Митяевой (рисунки не вставлю, опять кто-то книгу "умыкнул")
Тема своим появлением обязана посту Др. Немо http://www.sudmed.ru/index.php?showtopic=12850&st=30

Сообщение отредактировал Unior - 24.04.2012 - 08:45
Пользователь offline
К началу страницы
+Ответить с цитированием
2 страниц V  1 2 >  
>   Ответов(1 - 14) >
FILIN
сообщение 24.04.2012 - 10:40
Сообщение #2


ГУРУ ФСМ
Group Icon
Группа: Модераторы
Регистрация: 22.08.2004
Из: Владимирская губерния
Пользователь №: 116


Unior
Не vmukb бы Вы пояснить, как проводилось патоморфологическое исследование?
Пользователь offline
К началу страницы
+Ответить с цитированием
Unior
сообщение 24.04.2012 - 10:59
Сообщение #3


Продвинутый участник

Группа: СМЭ
Регистрация: 13.10.2011
Из: хутор Рудка
Пользователь №: 29 337


Цитата(FILIN @ 24.04.2012 - 10:40)
как проводилось патоморфологическое исследование?

На гарячий парафин намекаите?
У Десятова в списке используемой литературы "С м ы с л о в а А. М. К вопросу о распознавании смерти от замерзания; микроскопические изменения в легких при действии низкой температуры. Спб., 1909, 84." значится, на днях пойду-ка в Республиканскую медицинскую библиотеку, может монографию и найду.
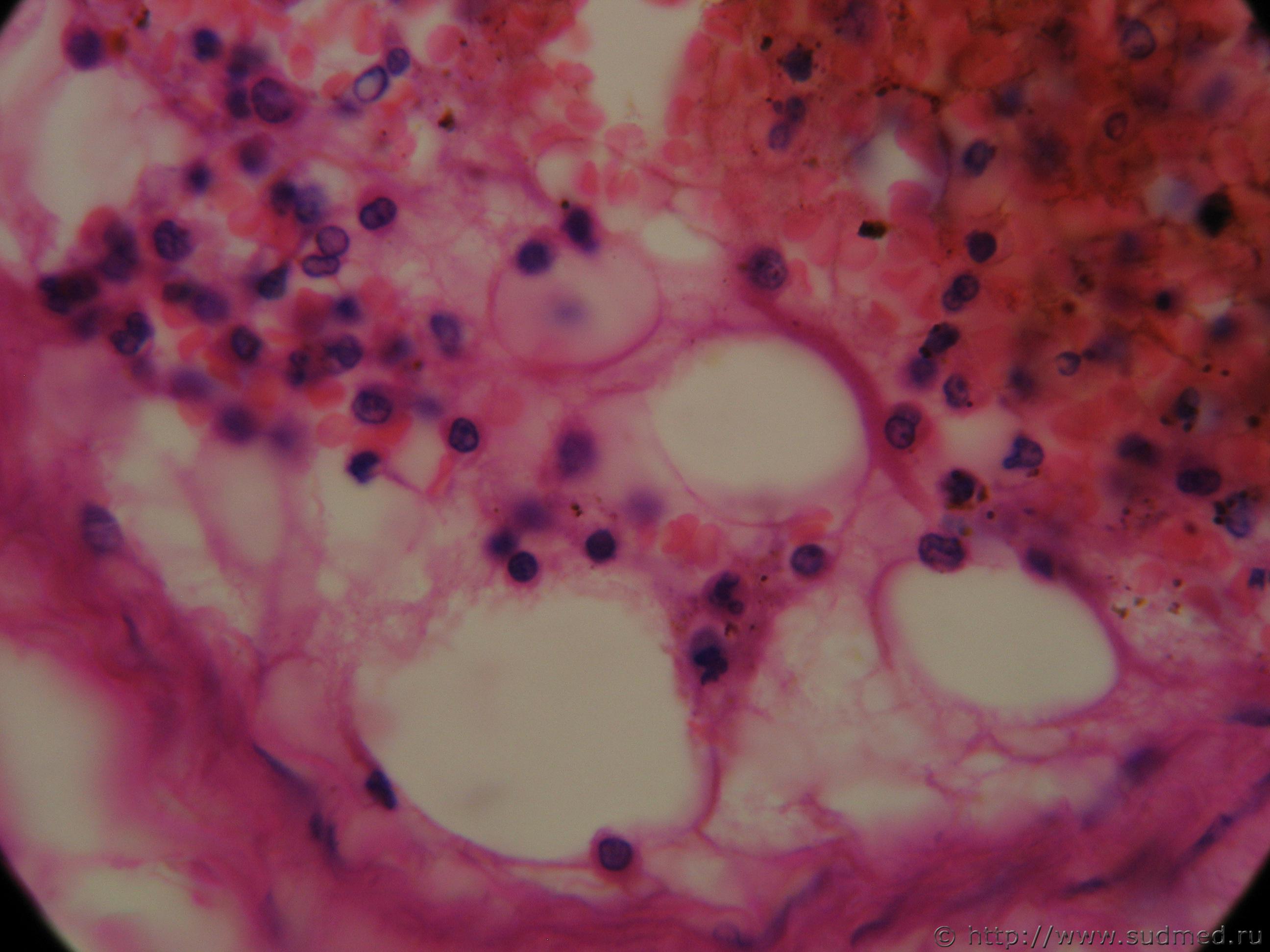
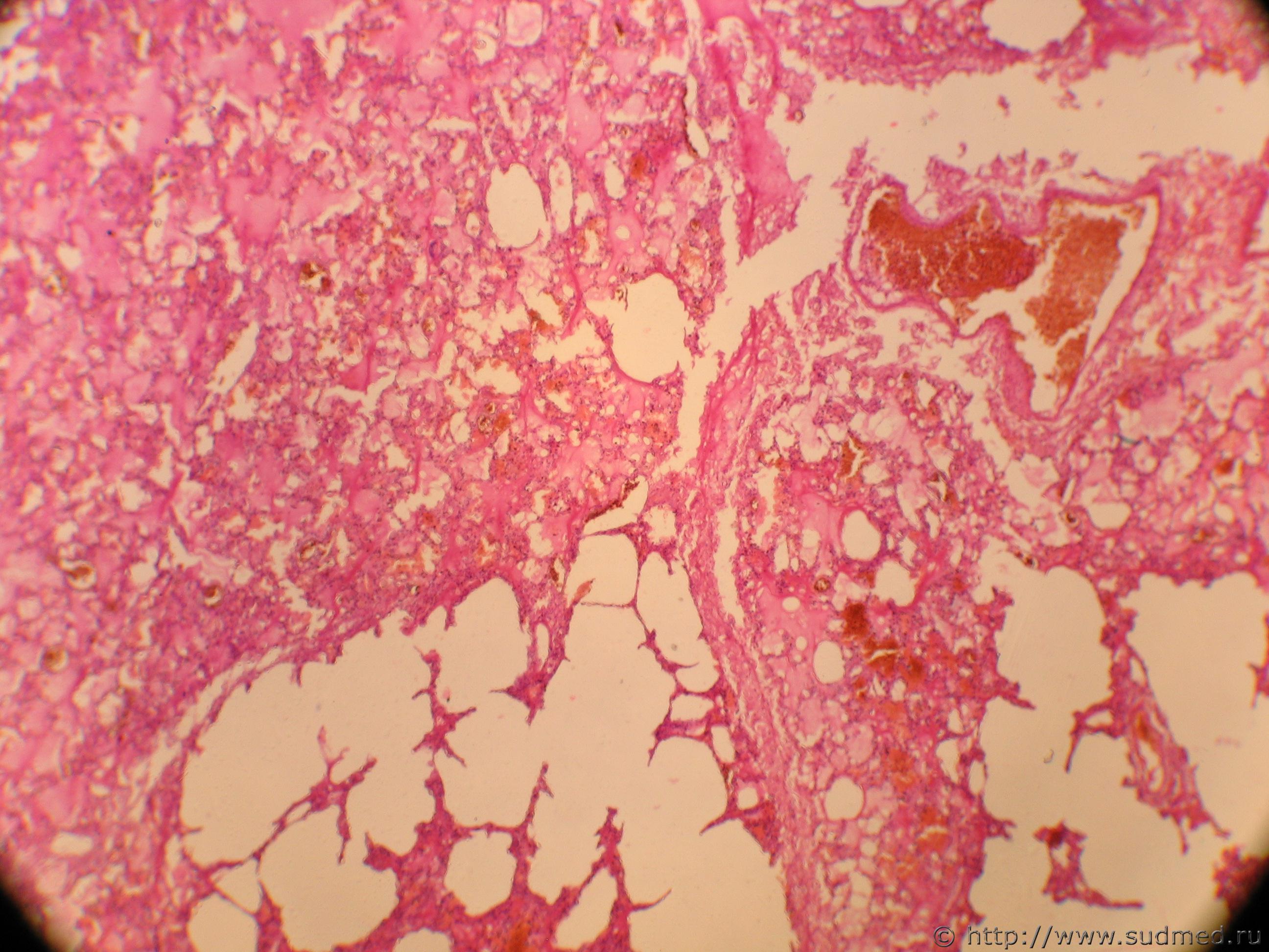
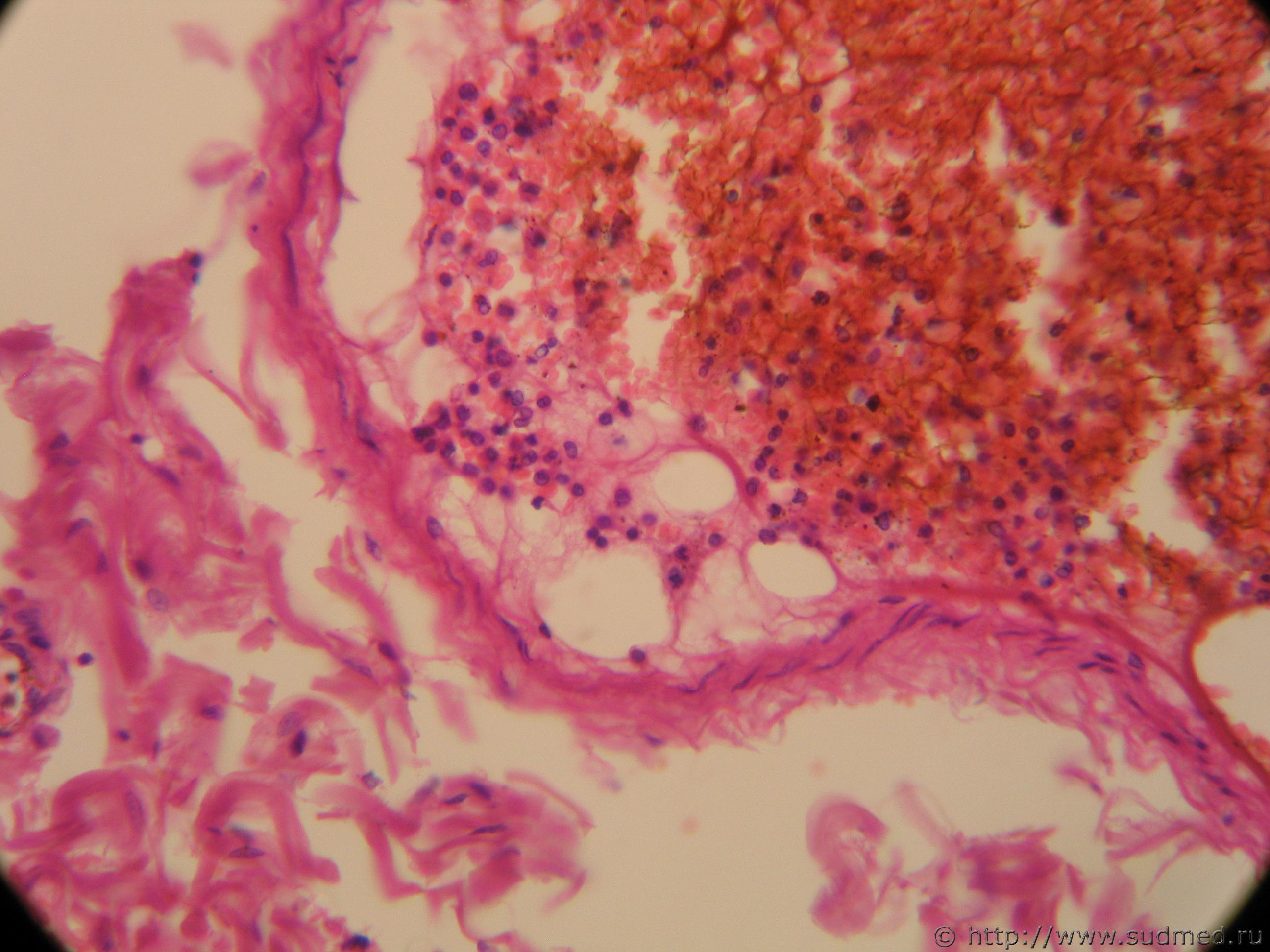
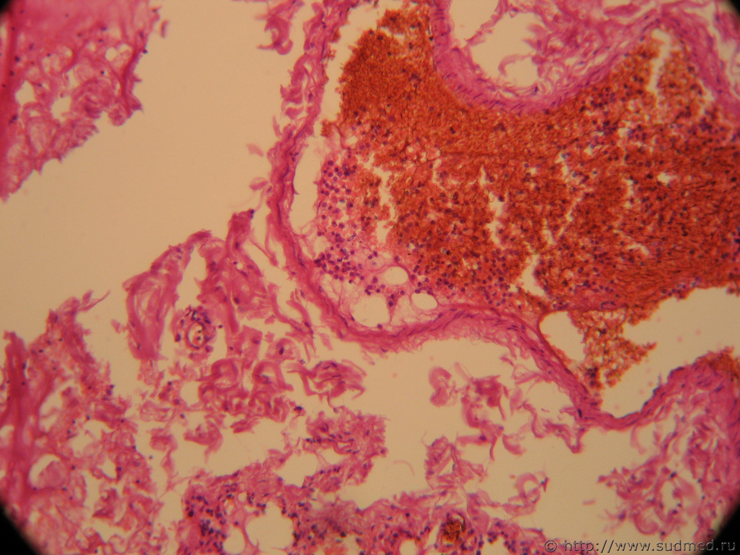
Вот - это интересно что?
Судебная медицина - Прикрепленное изображениеСудебная медицина - Прикрепленное изображение
Случай давнишний - криминальный аборт, эксперт в присутсвии ...надцати "наблюдателей" при вскрытии, проведя пробу Сунцова, извлёк гейзер с пузырьков воздуха.
А, ну, да -это препарат легкого
Судебная медицина - Прикрепленное изображениеСудебная медицина - Прикрепленное изображение

Сообщение отредактировал Unior - 24.04.2012 - 11:02
Пользователь offline
К началу страницы
+Ответить с цитированием
Медик
сообщение 24.04.2012 - 20:55
Сообщение #4


Учитель
Group Icon
Группа: Модераторы
Регистрация: 16.05.2010
Пользователь №: 21 553


Цитата(Unior @ 24.04.2012 - 09:44)

Рис. 10. Смерть от холода (эксперимент на кролике). "Округлые пустоты" А. М. Смысловой в артерии легкого (окр. гематоксилин-эозин).

Уважаемый Юниор.
Из какого источника представлена фотография?
Пользователь offline
К началу страницы
+Ответить с цитированием
FILIN
сообщение 24.04.2012 - 23:30
Сообщение #5


ГУРУ ФСМ
Group Icon
Группа: Модераторы
Регистрация: 22.08.2004
Из: Владимирская губерния
Пользователь №: 116


Цитата
значится, на днях пойду-ка в Республиканскую медицинскую библиотеку, может монографию и найду.

Это не монография.
Судя по количеству страниц - диссертация.
Пользователь offline
К началу страницы
+Ответить с цитированием
Unior
сообщение 25.04.2012 - 08:50
Сообщение #6


Продвинутый участник

Группа: СМЭ
Регистрация: 13.10.2011
Из: хутор Рудка
Пользователь №: 29 337


Цитата(медик @ 24.04.2012 - 20:55)
Из какого источника представлена фотография?

Смерть от переохлаждения организма, Десятов В.П., есть в библиотеке ФСМ, предоставлена Marat-ом.
Пользователь offline
К началу страницы
+Ответить с цитированием
Dissector
сообщение 25.04.2012 - 21:23
Сообщение #7


Опытный участник

Группа: Участники
Регистрация: 18.08.2008
Из: Украина, Сумы
Пользователь №: 9 385


Цитата(Unior @ 24.04.2012 - 09:44)
кто и как оценивает вот эти самые "пузырьки воздуха" в сосудах легкого?
Видел такое. Не припомню, в каком конкретно случае. Не трактовал никак, так как трактую лишь то, что знаю. Похоже, у меня пробел в этом вопросе…
Пользователь offline
К началу страницы
+Ответить с цитированием
Медик
сообщение 25.04.2012 - 21:29
Сообщение #8


Учитель
Group Icon
Группа: Модераторы
Регистрация: 16.05.2010
Пользователь №: 21 553


Подумаю и наряду с др.признаками переохлаждения,наверное,буду вносить и данный феномен.Все признаки в "кучу".
Пользователь offline
К началу страницы
+Ответить с цитированием
Доктор Немо
сообщение 26.04.2012 - 00:11
Сообщение #9


Мастер I

Группа: СМЭ
Регистрация: 13.10.2008
Пользователь №: 10 234


Цитата(медик @ 25.04.2012 - 23:29)
Подумаю и наряду с др.признаками переохлаждения,наверное,буду вносить и данный феномен.Все признаки в "кучу".

А зачем?
надо писать то, что видишь
Феномен Смысловой при гипотермии ни до нее, ни после никто не описывал
Ни в русскоязычной литературе, ни в иноязычной.
Пользователь offline
К началу страницы
+Ответить с цитированием
FILIN
сообщение 26.04.2012 - 06:42
Сообщение #10


ГУРУ ФСМ
Group Icon
Группа: Модераторы
Регистрация: 22.08.2004
Из: Владимирская губерния
Пользователь №: 116


медик.
Не часто ли мы спешим с банальнейшими артефактами?
Потому и "признаков" так много?
Пользователь offline
К началу страницы
+Ответить с цитированием
Доктор Немо
сообщение 26.04.2012 - 07:52
Сообщение #11


Мастер I

Группа: СМЭ
Регистрация: 13.10.2008
Пользователь №: 10 234


Цитата(FILIN @ 26.04.2012 - 08:42)
медик.
Не часто ли мы спешим с банальнейшими артефактами?
Потому и "признаков" так много?

развивая эту мысль.
Данные Смысловой - сугубо экспериментальные.
Нигде не указано, как Смыслова проводила эксперимент, как забила животных, как брала материал для исследования и т.д.
Все наши знания об этом феномене - из краткого пересказа диссертации Смысловой, приводимого в монографии Дестова.
Все остальные авторы, по сути, цитируют не даже не Смыслову, а цитату из Десятова.

Лично я никогда этот феномен в практическом материале не видел.
Объяснить его происхождение не могу.
объяснение, которое приводила Смыслова (опять же в пересказе Десятова) - крайне наивно и противоречит законам физики.

Этот феномен более никем не описывался. А работ по патоморфологии и патофизиологии переохлаждения в мире написано великое множество.

Стоит ли вставлять в экспертизу признак, который сам не видишь и который фактически никем не признан?

Сообщение отредактировал Доктор Немо - 26.04.2012 - 07:57
Пользователь offline
К началу страницы
+Ответить с цитированием
Медик
сообщение 26.04.2012 - 11:04
Сообщение #12


Учитель
Group Icon
Группа: Модераторы
Регистрация: 16.05.2010
Пользователь №: 21 553


Цитата(Доктор Немо @ 26.04.2012 - 08:52)

Стоит ли вставлять в экспертизу признак, который сам не видишь и который фактически никем не признан?

Поразмышлял.Согласен с Вами.


Цитата(FILIN @ 26.04.2012 - 07:42)

Не часто ли мы спешим с банальнейшими артефактами?

Вы правы.
Пользователь offline
К началу страницы
+Ответить с цитированием
jaklin
сообщение 26.04.2012 - 19:04
Сообщение #13


Продвинутый участник

Группа: СМЭ
Регистрация: 22.07.2011
Пользователь №: 28 038


Видела такое, не могу сказать, что часто, и не всегда при переохлаждении. И не только в легких. Всегда считала это нач.гнил.изменениями, т.к. эритроциты частично гемолизированными были всегда. Теперь буду обращать внимание на диагноз. Посмотрим, что получиться.
Пользователь offline
К началу страницы
+Ответить с цитированием
FILIN
сообщение 27.04.2012 - 01:03
Сообщение #14


ГУРУ ФСМ
Group Icon
Группа: Модераторы
Регистрация: 22.08.2004
Из: Владимирская губерния
Пользователь №: 116


Аплодирую jaklin.
Вот это подход ЭКСПЕРТА, а не теоретизирующего мудреца, которого в любую область знаний засунуть можно.

И напомню.
Работа Смысловой была проведена под руководством Райского - тогда еще совсем молодого профессора. Ему же принадлежит активная популяризация "пятен Вишневского" (1907г.), которые, кстати ну никак не подпадали под принципы доказательной медицины. Только благодаря специальной работе Райского этот признак не пропал в туне.

Напомню и работы Messerera, 1880г. (проведенные по заданию и под руководством великого Бильрота), которые даже в Германии судебными медиками не были должным образом восприняты, оценены и перепечатаны в выходивших в то время в Австрии и Германии значительного числа Руководств и учебников по судебной медицине.
Повторенные в России Игнатовским (только череп - 1886г.) эти работы обоих авторов были напрочь забыты до 70х годов 20го века. И только когда появились первые работы алтайской школы о них вспомнили и оказалось, что ВСЕ выводы этих работ имеют большую научную и практическую ценность.

Так что давайте не спешить с выводами и с водой, ребенка выплескивать поостережемся.
Пользователь offline
К началу страницы
+Ответить с цитированием
Доктор Немо
сообщение 27.04.2012 - 10:06
Сообщение #15


Мастер I

Группа: СМЭ
Регистрация: 13.10.2008
Пользователь №: 10 234


Цитата(FILIN @ 27.04.2012 - 03:03)
И напомню.
Работа Смысловой была проведена под руководством Райского - тогда еще совсем молодого профессора. Ему же принадлежит активная популяризация "пятен Вишневского" (1907г.), которые, кстати ну никак не подпадали под принципы доказательной медицины. Только благодаря специальной работе Райского этот признак не пропал в туне.


М.И. Райский, который в те годы был еще не профессором, а помощником прозектора кафедры судебной медицины Императорского Томского университета, оспаривал выводы полученные С.М. Вишневским.
В выполненной в 1907 г диссертации «К учению о распознавании смерти от холода» он достаточно негативно оценил какую-либо значимость выявления кровоизлияний в слизистую желудка для судебно-медицинской диагностики смерти от холода.
После защиты указанной диссертации он был удостоен ученой степени доктора медицины и звания доцента и для "подготовки к профессорскому званию", был командирован на 3 года за границу

И только спустя без малого полвека, в изданном в 1953 г. руководстве по судебной медицине М.И. Райский уже давал положительную оценку факту обнаружения ПВ при судебно-медицинской диагностике переохлаждения.

Первый значимый печатный отзыв на статью С.М. Вишневского был опубликован И.И. Никольским.
[Никольский И.И. По поводу судебно-медицинского значения геморрагии слизистой оболочки желудка при смерти от замерзания. // Вестн. общ. гиг., суд. и практ. мед. Спб, 1898, 12, 2, 1009—1013.]

Затем учение о пятнах Вишнгевского развил А.С. Игнатовский
[Игнатовский А.С. Значение кровоизлияний в желудке для судебно-медицинской диагностики. // Вестн. общ. гиг., суд. и практ. мед.- 1903, Вып 1. – С. 372—393.
Игнатовский А.С. О причинах кровоизлияний в слизистой оболочке желудка при смерти от замерзания. // Вестн. общ. гиг., суд. и практ. мед. - 1901, Вып 2. - С. 1649 -1661.
Игнатовский А.С. Судебная медицина. Выпуск I. - Юрьев:. Тип-я К.Маттисена., 1910. - 424 с.]

Цитата(FILIN @ 27.04.2012 - 03:03)
Напомню и работы Messerera, 1880г. (проведенные по заданию и под руководством великого Бильрота), которые даже в Германии судебными медиками не были должным образом восприняты, оценены и перепечатаны в выходивших в то время в Австрии и Германии значительного числа Руководств и учебников по судебной медицине.
Повторенные в России Игнатовским (только череп - 1886г.) эти работы обоих авторов были напрочь забыты до 70х годов 20го века. И только когда появились первые работы алтайской школы о них вспомнили и оказалось, что ВСЕ выводы этих работ имеют большую научную и практическую ценность.


Работы О. Messerer (равно как и многих других немецких травмотологов того времени) финансировались по личному распоряжению кайзера.

Вышедшая в 1880 году статья О. Messerer - Uber Elasticitat und Festigkeit der Menschlichen Knochen. Stuttgart, Germany: Verlag der JG Cotta Oschen Buch- handlung,,.очень быстро стала известной и его работы по механизму переломов длинных трубчатых костей почти сразу же стали классикой.

В Советском Союзе, во время борьбы с «безродными космополитами» термин «перелом Мессерера» был заменен на «бампер перелом».

Термин Messerer`s fracture широко известен во всем мире и в популяризации советскими учеными не нуждался и не нуждается.
Работы советских ученых касатенльно механизма перелома длинных трубчатых костей, выполненные во второй половине ХХ века хороши тем, что заново переоткрыли для советских исследователей то, что остальному миру было достаточно хорошо известно с конца XIX.

Сообщение отредактировал Доктор Немо - 27.04.2012 - 12:57
Пользователь offline
К началу страницы
+Ответить с цитированием

2 страниц V  1 2 >



- Обратная связь Сейчас: 8.11.2025 - 22:57