Здравствуйте, гость ( Вход | Регистрация )

Форум судебных медиков России
>

Расслаивающий пахименингит

>
Unior
сообщение 5.10.2012 - 13:24
Сообщение #1


Продвинутый участник

Группа: СМЭ
Регистрация: 13.10.2011
Из: хутор Рудка
Пользователь №: 29 337


Расслаивающий пахименингит - что за "зверь" то такой?
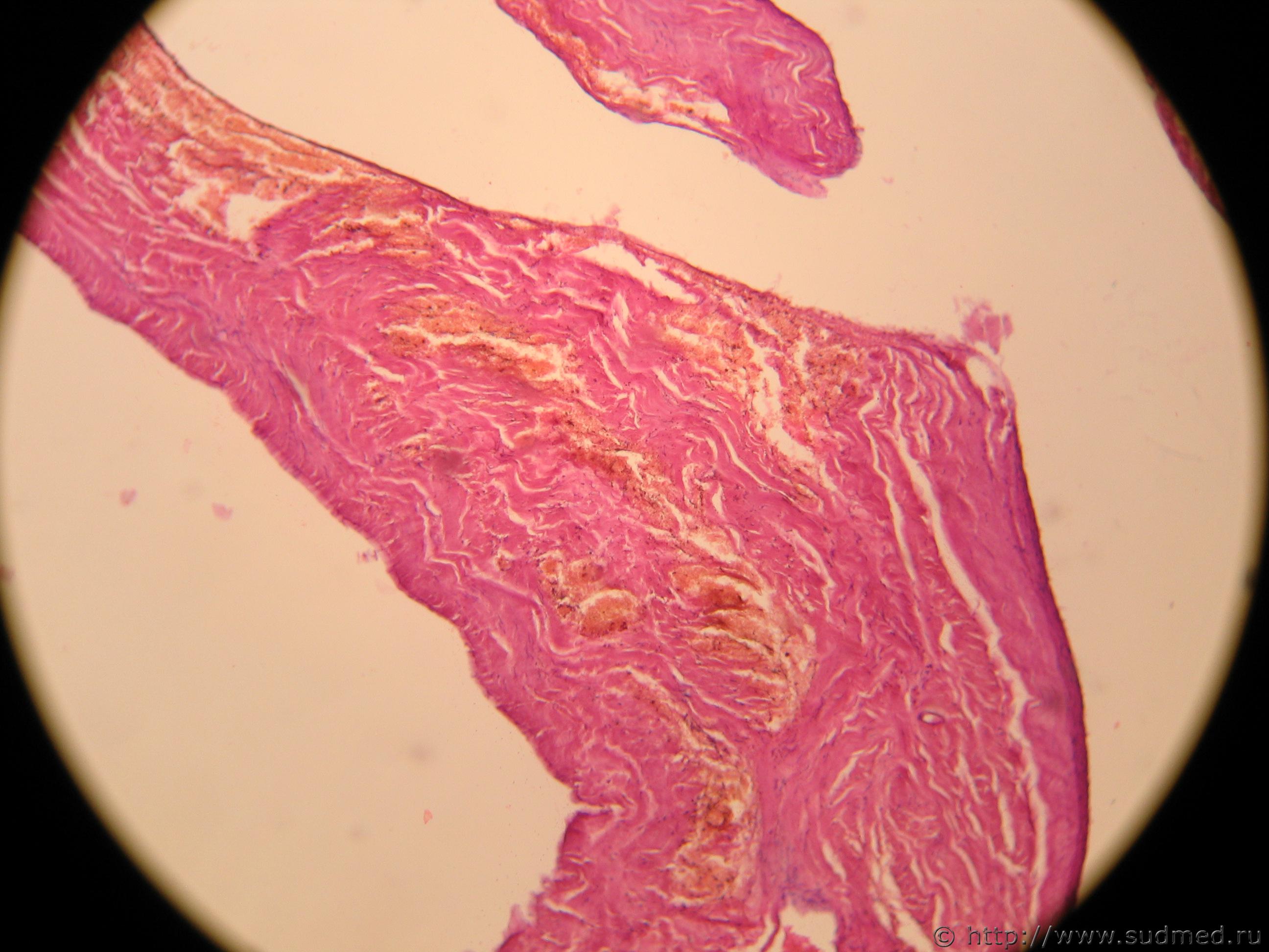
Сегодня беседовал с одним танатологом, он взял твердую оболочку с области верхнего сагитального синуса с неясными кровоизлияниями, гистолог описал кр-ния как "очаговые экстра-интрадуральные кровоизлияния с начальной лейкоцитарной реакцией паравазально"
Я увидел это Судебная медицина - Прикрепленное изображениеСудебная медицина - Прикрепленное изображениеСудебная медицина - Прикрепленное изображениеСудебная медицина - Прикрепленное изображение
Кроме того есть вторичные кровоизлияния в стволовом отделе мозга.
Танатолог переломов черепа не видел, есть кровоизлияние в мягких тканях теменной области, свежые.
Утверждает, что гистолог - "баранесса" и не знает о такой очевидной вещи, как расслаивающий пахименингит.
К своему глубокому сожалению, я тоже не знаю что это. У кого какие соображения?
Пользователь offline
К началу страницы
+Ответить с цитированием
4 страниц V  1 2 3 > »   
>   Ответов(1 - 14) >
sbz
сообщение 5.10.2012 - 16:54
Сообщение #2


Магистр форума

Группа: СМЭ
Регистрация: 13.10.2005
Пользователь №: 858


Цитата(Unior @ 5.10.2012 - 14:24)
Расслаивающий пахименингит - что за "зверь" то такой?
Сегодня беседовал с одним танатологом, он взял твердую оболочку с области верхнего сагитального синуса с неясными кровоизлияниями, гистолог описал кр-ния как "очаговые экстра-интрадуральные кровоизлияния с начальной лейкоцитарной реакцией паравазально"
Я увидел это Судебная медицина - Прикрепленное изображениеСудебная медицина - Прикрепленное изображениеСудебная медицина - Прикрепленное изображениеСудебная медицина - Прикрепленное изображение
Кроме того есть вторичные кровоизлияния в стволовом отделе мозга.
Танатолог переломов черепа не видел, есть кровоизлияние в мягких тканях теменной области, свежые.
Утверждает, что гистолог - "баранесса" и не знает о такой очевидной вещи, как расслаивающий пахименингит.
К своему глубокому сожалению, я тоже не знаю что это. У кого какие соображения?

Муть
- давность травмы
- микробного изначалия нет

Так, травма с неким переживанием

пахи- ЧЁ совсем... до конского хвоста и изучали?

Сообщение отредактировал sbz - 5.10.2012 - 17:05
Пользователь offline
К началу страницы
+Ответить с цитированием
йцук
сообщение 5.10.2012 - 17:08
Сообщение #3


Маэстро форума

Группа: СМЭ
Регистрация: 18.11.2005
Пользователь №: 970


Цитата(Unior @ 5.10.2012 - 13:24)
У кого какие соображения?


Расслаивающего пахименингита не знаю.

М.И.Касьянов в своей известной книге описал геморрагический пахименингит, который никакого отношения с воспалению не имеет (не смотря на окончание -ит).
Развивается у хронических алкоголиков.
Пользователь offline
К началу страницы
+Ответить с цитированием
sbz
сообщение 5.10.2012 - 17:18
Сообщение #4


Магистр форума

Группа: СМЭ
Регистрация: 13.10.2005
Пользователь №: 858


Цитата(йцук @ 5.10.2012 - 18:08)
Расслаивающего пахименингита не знаю.

М.И.Касьянов в своей известной книге описал геморрагический пахименингит, который никакого отношения с воспалению не имеет (не смотря на окончание -ит).
Развивается у хронических алкоголиков.


между делом
Вы о книге МедИздата 1954-го, подписанном к печати в декабре 1953-го? Авдеев присутствует Так? устарело пергаментное пятно, не отличишь от странгуляции ИЛИ

с ув.

Нужно-нужно цветное фото, иллюстрации, а то замерло....в ПУБЛИКАЦИЯХ насущное

Кандидатские-кандидатские... На потребу сделайте - В низкий пояс

с ув.
Пользователь offline
К началу страницы
+Ответить с цитированием
sbz
сообщение 5.10.2012 - 17:58
Сообщение #5


Магистр форума

Группа: СМЭ
Регистрация: 13.10.2005
Пользователь №: 858


сагиттальный пишется вот так

с ув.

Сообщение отредактировал sbz - 5.10.2012 - 20:39
Пользователь offline
К началу страницы
+Ответить с цитированием
FILIN
сообщение 5.10.2012 - 18:43
Сообщение #6


ГУРУ ФСМ
Group Icon
Группа: Модераторы
Регистрация: 22.08.2004
Из: Владимирская губерния
Пользователь №: 116


Уважаемый йцук
"Внутренний хронический геморрагический пахименингит" описал Вирхов в 1856г.
К воспалению, действительно, никакого отношения не имеет.
Описан у алкоголиков, эпилептиков, гипертоников и пр.
Сущестует реально ( в моей практике наблюдал его несколько десятков раз).
Происхождение не ясно. Полагаю, что это один из исходов небольших субдуральных гематом.

"Расслаивающий пахименгит" - впервые встречаю такой термин.
ПО описанию - не понятно.
Можно было бы думать об интрадуральном кровоизлиянии, если бы не было экстрадурального.
Пользователь offline
К началу страницы
+Ответить с цитированием
Медик
сообщение 5.10.2012 - 19:58
Сообщение #7


Учитель
Group Icon
Группа: Модераторы
Регистрация: 16.05.2010
Пользователь №: 21 553





Цитата(Unior @ 5.10.2012 - 14:24)
Расслаивающий пахименингит

Уважаемый Юниор.
Такого словосочетания не знаю и,по-видимому,его не существует.
Согласно представленных препаратов написал бы следующим образом:
1.Интрадуральное кровоизлияние.
или
2.Расслаивающее интрадуральное кровоизлияние.
Никаким пахименингитом не обзывал бы и поступил бы проще.

Сообщение отредактировал медик - 5.10.2012 - 20:00
Пользователь offline
К началу страницы
+Ответить с цитированием
Unior
сообщение 5.10.2012 - 19:58
Сообщение #8


Продвинутый участник

Группа: СМЭ
Регистрация: 13.10.2011
Из: хутор Рудка
Пользователь №: 29 337


Цитата(FILIN @ 5.10.2012 - 18:43)
"Внутренний хронический геморрагический пахименингит" ... Описан у алкоголиков, эпилептиков, гипертоников и пр. Сущестует реально ( в моей практике наблюдал его несколько десятков раз). Происхождение не ясно. Полагаю, что это один из исходов небольших субдуральных гематом...

Уважаемый FILIN! А как Вы в этих случаях объясняли подобные кровоизлияния, думаю, что речь о травме не шла?
Моё мнение - в данном случае гистолог, несколько "приукрасил" эктрадуральное происхождение данных геморрагий, да и оболочка, вероятно, "похабно" взята из области синуса, так что об чисто интрадуральном кровоизлиянии я с Вами согласен, даже с "начальной лейкоцитарной паравазальной реакций" можно поспорить в сторону полного её отсутствия.
В похожих случаях я наблюдал мало-мальски, а порой и выраженное продуктивное воспаление в твердой оболочке, иногда и с пролиферацией сосудов, чем и объяснял подобные кровоизлияния на фоне фиброзного пахименингита. А в данном случае как быть? Да ещё эти вторичные кровоизлияния в ткани стволового отдела мозга? Может инсульт-гематома?
Пользователь offline
К началу страницы
+Ответить с цитированием
Медик
сообщение 5.10.2012 - 20:08
Сообщение #9


Учитель
Group Icon
Группа: Модераторы
Регистрация: 16.05.2010
Пользователь №: 21 553


Цитата(Unior @ 5.10.2012 - 20:58)
с "начальной лейкоцитарной паравазальной реакций"

Этого не вижу.

Цитата(Unior @ 5.10.2012 - 14:24)

Утверждает, что гистолог - "баранесса" и не знает о такой очевидной вещи, как расслаивающий пахименингит.

Не гистолог "баранесса",а танатолог "баран".
Пользователь offline
К началу страницы
+Ответить с цитированием
Unior
сообщение 5.10.2012 - 20:10
Сообщение #10


Продвинутый участник

Группа: СМЭ
Регистрация: 13.10.2011
Из: хутор Рудка
Пользователь №: 29 337


Цитата(медик @ 5.10.2012 - 19:58)

Согласно представленных препаратов написал бы следующим образом:
1.Интрадуральное кровоизлияние.
или
2.Расслаивающее интрадуральное кровоизлияние.
Никаким пахименингитом не обзывал бы и поступил бы проще.

Уважаемый Медик! Да, Вы правы!
Решать травма или нет, в конце концов, будет эксперт, а термин "расслаивающий пахименингит" - это скорее всего, было "квази уна фантазия" самого эксперта.
Пользователь offline
К началу страницы
+Ответить с цитированием
Медик
сообщение 5.10.2012 - 20:12
Сообщение #11


Учитель
Group Icon
Группа: Модераторы
Регистрация: 16.05.2010
Пользователь №: 21 553


Цитата(Unior @ 5.10.2012 - 14:24)

Кроме того есть вторичные кровоизлияния в стволовом отделе мозга.
есть кровоизлияние в мягких тканях теменной области, свежые.

Каким образом определил,что в стволе вторичные?Знать бы ещё возраст и какими заболеваниями страдал умерший,обстоятельства дела.
Пользователь offline
К началу страницы
+Ответить с цитированием
Unior
сообщение 5.10.2012 - 20:17
Сообщение #12


Продвинутый участник

Группа: СМЭ
Регистрация: 13.10.2011
Из: хутор Рудка
Пользователь №: 29 337


Цитата(медик @ 5.10.2012 - 20:08)
Не гистолог "баранесса",а танатолог "баран".

"Баранесса" - прозвище дано гистологине танатологами за неопраданную "костность" и "несгибаемость" в своих заключениях, и за часто используемую фразу "не представляется возможным". Хотя в данном случае я не понял чем было вызвано такое поведение, и почему танатолог решил о травматическом происхождении описанных гистологом кровоизлияний.
Пользователь offline
К началу страницы
+Ответить с цитированием
Медик
сообщение 5.10.2012 - 20:27
Сообщение #13


Учитель
Group Icon
Группа: Модераторы
Регистрация: 16.05.2010
Пользователь №: 21 553


Цитата(Unior @ 5.10.2012 - 21:17)
почему танатолог решил о травматическом происхождении описанных гистологом кровоизлияний.
Это спросить надо его.
Пользователь offline
К началу страницы
+Ответить с цитированием
Unior
сообщение 5.10.2012 - 20:27
Сообщение #14


Продвинутый участник

Группа: СМЭ
Регистрация: 13.10.2011
Из: хутор Рудка
Пользователь №: 29 337


Цитата(медик @ 5.10.2012 - 20:12)
Каким образом определил,что в стволе вторичные?Знать бы ещё возраст и какими заболеваниями страдал умерший,обстоятельства дела.

Крупноочаговые, сливные и паравазальные кровоизлияния в мозговой ткани с некрозом и лейкоцитарной инфильтрацией сосудистых стенок. Алкоголь в крови 4 промилле, остального не знаю.
Пользователь offline
К началу страницы
+Ответить с цитированием
Медик
сообщение 5.10.2012 - 20:30
Сообщение #15


Учитель
Group Icon
Группа: Модераторы
Регистрация: 16.05.2010
Пользователь №: 21 553


Цитата(Unior @ 5.10.2012 - 21:27)
Крупноочаговые, сливные и паравазальные кровоизлияния в мозговой ткани с некрозом и лейкоцитарной инфильтрацией сосудистых стенок.

А макроскопическое описание,локализацию Вы не знаете?
Пользователь offline
К началу страницы
+Ответить с цитированием

4 страниц V  1 2 3 > » 



- Обратная связь Сейчас: 4.11.2025 - 04:18