Здравствуйте, гость ( Вход | Регистрация )

Форум судебных медиков России
>

уточнить механизм, уточнить механизм

>
helf
сообщение 24.09.2013 - 17:33
Сообщение #1


Участник форума

Группа: СМЭ
Регистрация: 9.07.2011
Пользователь №: 27 866


доброго времени суток
хотелось бы проконсультироваться, где то на конференции слышал, что существует методика определения механизма перелома коротких трубчатых костей по рентген снимку... ни где не могу найти... может кто нить подскажет??? в тот момент не придал этому значения... сейчас столкнулся и в лужу сел.

дело в чем... один другому наносит удар металлическим прутом по тыльной поверхности правой кисти, тот оказался боксером и этой же рукой, кистью сжатой в кулак наносит удар в лицо.
теперь мне задают вопрос от чего сломалась 3-я пястная кость.
Пользователь offline
К началу страницы
+Ответить с цитированием
2 страниц V  1 2 >  
>   Ответов(1 - 14) >
Deni
сообщение 24.09.2013 - 18:05
Сообщение #2


Мастер III

Группа: СМЭ
Регистрация: 30.09.2007
Из: РФ
Пользователь №: 5 980


Рентген-снимок кисти в двух проекциях покажите.
Пользователь offline
К началу страницы
+Ответить с цитированием
Anton
сообщение 24.09.2013 - 19:31
Сообщение #3


Мастер II

Группа: СМЭ
Регистрация: 6.12.2011
Из: Опорный край державы
Пользователь №: 30 279


Посмотрите у Крюкова в "Диагностикуме".
Пользователь offline
К началу страницы
+Ответить с цитированием
Радомир
сообщение 24.09.2013 - 19:43
Сообщение #4


Мастер III
Group Icon
Группа: Модераторы
Регистрация: 30.11.2008
Из: Российская Федерация
Пользователь №: 11 273


И у Симона и Кенигскнехта "Неотложная ортопедия. Конечности".
Пользователь offline
К началу страницы
+Ответить с цитированием
Холера Валерьевна
сообщение 24.09.2013 - 20:31
Сообщение #5


Продвинутый участник

Группа: СМЭ
Регистрация: 23.10.2009
Пользователь №: 17 571


А.Б. Шадымов
г. Барнаул
В судебно-медицинской экспертной практике нередки случаи травмы кистей рук с переломами их костей. Основную часть составляет производственный (включая спортивный) и бытовой травматизм – 55,05% и 29,6% соответственно. Остальные случаи сопровождаются невыясненными обстоятельствами. Кроме того, по данным Т.Д. Байбулатова, А.Н. Мачнева, Б.А. Саркисяна (2003) переломы пястных костей составляют 33,4% от переломов всех трубчатых костей, внутрисуставные переломы 13,3%, переломы Беннета – 8,9%. Исследование переломов пальцев рук (Байбулатов Т.Д., Саркисян Б.А., 2003) показало, что чаще травмируются основные фаланги 1, 3 пальцев. Переломы средних фаланг типичны лишь для 3-го пальца, тогда как ногтевые - для 1-го и 5-го. Остальные кости на кисти ломаются относительно редко.
Важность этой проблемы обусловлена не только доступностью этой части тела для травмы, но и трудностью установления механизмов формирования переломов. Наиболее частым и доступным для врача-травматолога объектом исследования при травме кисти являются рентгенограммы, при этом для судебно-медицинского эксперта доступным является визуальное исследование поверхности излома.
В связи с тем, что кисть руки в основном сформирована трубчатыми костями, то логично было бы ожидать, что ее переломы могут быть представлены классическими переломами этого вида кости, соответствующие видам деформации (изгиб, растяжение, сжатие, кручение, сдвиг). Однако в практике отрывных и сдвиговых деформаций на этих костях не встречается. В основном формируются косые, косопоперечные и винтообразные переломы диафизов трубчатых костей кисти. Встречаются также многооскольчатые переломы эпифизов и суставных поверхностей с наползанием отломков друг на друга (Янковский В.Э., Шадымов А.Б., Пятчук С.В., Васькин П.А., 2003). Видимо этому способствует то, что кисть имеет особое анатомическое строение с высокой степенью подвижности своих образований (короткие кости, множество связок, большое количество суставов).
Анализируя обстоятельства, при которых формируются переломы костей кистей рук, было установлено, что таких условий не так уж и много. В материалах дела фигурируют удары тупыми твердыми предметами по расправленной кисти (бытовые, производственные, криминальные), удар рукой сжатой в кулак (во время драки, дорожно-транспортных происшествиях или падениях с высоты) и выкручивание кисти (при проведении болевых приемов).
Для получения объективных данных об общих закономерностях формирования повреждений кистей рук кроме научных данных (Байбулатов Т.Д., 2005) нами были изучены обстоятельства происшествия и медицинские документы с рентгенограммами из материалов уголовных и гражданских дел (12), исследованы переломы кистей у погибших при дорожно-транспортных происшествиях (5), проведено экспериментальное моделирование основных видов травмы кистей. Например, наносились удары по раскрытой кисти (5), удары по кисти лежащей на подложке (5), удары по кисти сжатой в кулак (5), кручение кисти и отдельных пальцев (5).
В результате нами было установлено, что удары по развернутой, незафиксированной кисти (на весу) практически не формируют переломов костей. При расположении кисти на подложке (голова, рулевое колесо, грунт) образуются косые и косопоперечные (иногда оскольчатые) переломы пястных костей от их изгиба. При условии воздействия в область суставов пальцев рук формируются многооскольчатые переломы концевых отделов фаланг от их раздавливания. Осевое ударное нагружение костей сжатых в кулак приводит к формированию винтообразных переломов пястных костей с элементами уменьшения длины кости из-за продольного смещения отломков.
Кроме того, нами было установлено, что часто на рентгенограммах косые и косопоперечные переломы пястных костей и основных фаланг пальцев визуально практически неотличимы от винтообразных переломов этих костей. При этом экспериментально выполненное кручение кисти и отдельных ее пальцев приводило лишь к растяжению связочного аппарата, а, в крайнем случае, разрывам связок и суставных сумок. Переломов костей получено не было.
Полученные результаты были нами использованы при поведении практических судебно-медицинских экспертиз.
Так из материалов дела было известно, что Федеральным судом общей юрисдикции одного из районов г. Новосибирска подсудимая А. обвиняется в умышленном причинении средней тяжести вреда здоровью пострадавшей Б. Установлено, что в результате бытовой ссоры подсудимая А. нанесла потерпевшей Б. не менее 3-х ударов по правой руке. Удары наносились кулаком и женской туфлей с массивной подошвой, кроме того, эта же кисть была зажата закрывающейся дверью лифта, а также во время борьбы подвергалась выкручиванию. В результате чего потерпевшей причинено телесное повреждение в виде перелома основной фаланги пятого пальца правой кисти со смещением. Больная проходила лечение в нескольких медицинских учреждениях, где данному повреждению были даны несколько различные оценки. Других сведений не было. Суду было необходимо установить обстоятельства и механизм образования этого перелома.
Членами экспертной комиссии дополнительно изучены представленные судом рентгенограммы. В результате этого было установлено, что у гр. Б. имеется косой перелом основной фаланги 5-го пальца правой кисти, проникающий в дистальный межфаланговый сустав, со смещением отломков по длине на 2-3 мм и по ширине на 2-3 мм.
Экспертная комиссия пришла к выводу, что это повреждение образовалось от однократного воздействия твердого тупого предмета в результате преимущественно осевого нагружения (направление силы воздействия вдоль длинника кости) на область дистального межфалангового сустава основной фаланги V-го пальца правой кисти, находящегося в согнутом положении.
Комиссия допустила формирование вышеуказанного перелома как от удара твердым тупым предметом в область основной фаланги V-го пальца правой кисти, так и при ударе рукой о твердую поверхность, при положении пальца сложенного в кулак (как было установлено судом).
Образование этого перелома от удара твердым тупым предметом по кончику V-го пальца правой кисти было исключено, так как, при этих условиях должны сформироваться повреждения в области концевой и средней фаланг этого пальца (вывихи, разрывы суставных капсул, переломы), наличие которых в представленных медицинских документах отмечено не было. По этим же причинам (отсутствие разрывов суставных капсул, повреждений кожных покровов и мягких тканей) признано невозможным образование такого перелома при условии кручения пальца.
В связи с тем, что в повреждении правой кисти не отобразились индивидуальные особенности частей травмирующего предмета, охарактеризовать его свойства и установить конкретный вид (в том числе, летняя обувь на танкетке, босоножка на платформе высотой 9 см, комнатный тапок и т.п.), в данном случае, не представилось возможным.
Список литературы
1. Байбулатов Т.Д. Судебно-медицинское установление механизмов образования переломов коротких трубчатых костей кисти при различных видах травмирования твердыми тупыми предметами// Авт. канд. дисс. Барнаул, 2005, С. 23
2. Байбулатов Т.Д., Мачнев А.Н., Саркисян Б.А. О возможностях диагностики механизмов образования переломов пястных костей при травме тупыми предметами по рентгенограммам // Актуальные вопросы судебной медицины и экспертной практики.//- Новосибирск: «Межрегиональная ассоциация «Судебные медики Сибири», 2003. – В. 8 116-119 с.
3. Байбулатов Т.Д., Саркисян Б.А. Характер переломов коротких трубчатых костей при ударном сдавлении со стороны ладонной поверхности кисти// Актуальные вопросы судебной медицины и экспертной практики.//- Новосибирск: «Межрегиональная ассоциация «Судебные медики Сибири», 2003. – В. 8 – 119-122 с.
4. Байбулатов Т.Д., Саркисян Б.А. Морфологические особенности переломов коротких трубчатых костей при ударном сдавлении со стороны тыльной поверхности кисти// Актуальные вопросы судебной медицины и экспертной практики.//- Новосибирск: «Межрегиональная ассоциация «Судебные медики Сибири», 2003. – В. 8 –122-125с.
5. Янковский В.Э., Шадымов А.Б., Пятчук С.В., Васькин В.А. О характере перелома пястной кости при осевом нагружении// Актуальные вопросы судебной медицины и экспертной практики.//- Новосибирск: «Межрегиональная ассоциация «Судебные медики Сибири», 2003. – В. 8 – 219-221с.

Пользователь offline
К началу страницы
+Ответить с цитированием
Медик
сообщение 24.09.2013 - 21:31
Сообщение #6


Учитель
Group Icon
Группа: Модераторы
Регистрация: 16.05.2010
Пользователь №: 21 553


Ув.Х.В.
Год какой ?
Пользователь offline
К началу страницы
+Ответить с цитированием
helf
сообщение 25.09.2013 - 12:43
Сообщение #7


Участник форума

Группа: СМЭ
Регистрация: 9.07.2011
Пользователь №: 27 866


Цитата(Deni @ 24.09.2013 - 23:05)
Рентген-снимок кисти в двух проекциях покажите.


подскажите как фотки выложить???
Пользователь offline
К началу страницы
+Ответить с цитированием
helf
сообщение 25.09.2013 - 17:57
Сообщение #8


Участник форума

Группа: СМЭ
Регистрация: 9.07.2011
Пользователь №: 27 866


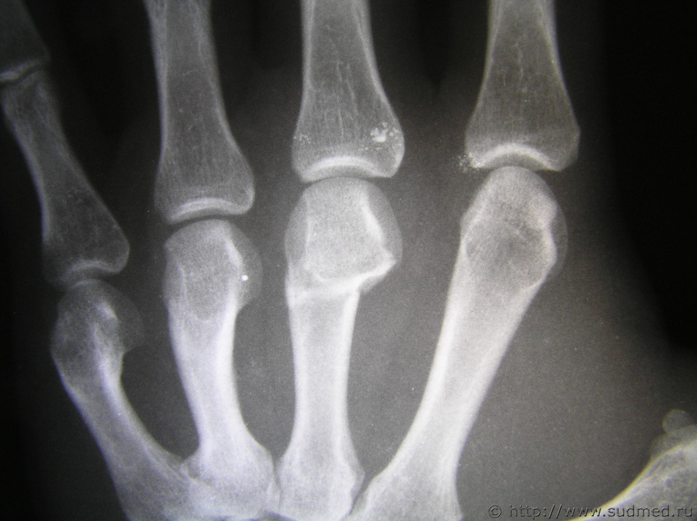
вот рентген. может есть на форуме специалисты которые смогут помочь smile.gif
рентгенография правой кисти

Сообщение отредактировал helf - 25.09.2013 - 17:58


Эскизы прикрепленных изображений
Судебная медицина - Прикрепленное изображение Судебная медицина - Прикрепленное изображение
Пользователь offline
К началу страницы
+Ответить с цитированием
Anton
сообщение 25.09.2013 - 18:30
Сообщение #9


Мастер II

Группа: СМЭ
Регистрация: 6.12.2011
Из: Опорный край державы
Пользователь №: 30 279


Удар кулаком.
Пользователь offline
К началу страницы
+Ответить с цитированием
Deni
сообщение 25.09.2013 - 19:53
Сообщение #10


Мастер III

Группа: СМЭ
Регистрация: 30.09.2007
Из: РФ
Пользователь №: 5 980


Цитата(Anton @ 25.09.2013 - 19:30)
Удар кулаком.

Полностью согласен. удар с упором на пястно-фаланговые суставы
Пользователь offline
К началу страницы
+Ответить с цитированием
sbz
сообщение 25.09.2013 - 20:32
Сообщение #11


Магистр форума

Группа: СМЭ
Регистрация: 13.10.2005
Пользователь №: 858


Цитата(Anton @ 25.09.2013 - 19:30)
Удар кулаком.


или головой о кулак, слегка поврежденный ранее, и не кулак совсем - в эту секунду времени

Предлагаю попробовать ППТ (признаки повторной травматизации) с элементами винта отыскать или не отыскать

А так мне неубедительно и ув. Шадымова по коротким трубчатым

Дурацкое в некоторых местностях Нечерноземья: "наджаблено",- в глубоком этом словесИ таит далеко не глупое

с ув.

Пользователь offline
К началу страницы
+Ответить с цитированием
Югросс
сообщение 25.09.2013 - 22:28
Сообщение #12


Знаток форума
Group Icon
Группа: СМЭ
Регистрация: 1.03.2010
Из: Юг России
Пользователь №: 20 320


Цитата(Deni @ 25.09.2013 - 20:53)
Полностью согласен. удар с упором на пястно-фаланговые суставы

Согласен- нагрузка по оси кости.
Пользователь offline
К началу страницы
+Ответить с цитированием
Gladius
сообщение 26.09.2013 - 01:04
Сообщение #13


Мастер I

Группа: СМЭ
Регистрация: 11.09.2007
Из: Украина, Киевская область
Пользователь №: 5 780


боксер не боксер, а наносить удар сломаннной рукой вряд ли кто стал, да еще и при наличии другой, здоровой руки) а тут еще и рентген - осевая нагрузка, так что согласен с остальными - удар рукой
Пользователь offline
К началу страницы
+Ответить с цитированием
pisockij
сообщение 26.09.2013 - 13:22
Сообщение #14


Участник форума

Группа: Участники
Регистрация: 22.09.2012
Из: 37RUS
Пользователь №: 34 109


Удар кулаком 100%.Доказано, что при нанесении прямого удара основная нагрузка приходится на II—III пястные кости.+нагрузка по оси.
Неотложная ортопедия. Конечности
Пользователь offline
К началу страницы
+Ответить с цитированием
Медик
сообщение 26.09.2013 - 18:25
Сообщение #15


Учитель
Group Icon
Группа: Модераторы
Регистрация: 16.05.2010
Пользователь №: 21 553


Цитата(pisockij @ 26.09.2013 - 14:22)
Удар кулаком

Нет сомнений.
Пользователь offline
К началу страницы
+Ответить с цитированием

2 страниц V  1 2 >



- Обратная связь Сейчас: 8.11.2025 - 20:18