Здравствуйте, гость ( Вход | Регистрация )

Форум судебных медиков России
>

Язва кожи, Ваше мнение ?

>
Медик
сообщение 13.11.2013 - 12:58
Сообщение #1


Учитель
Group Icon
Группа: Модераторы
Регистрация: 16.05.2010
Пользователь №: 21 553


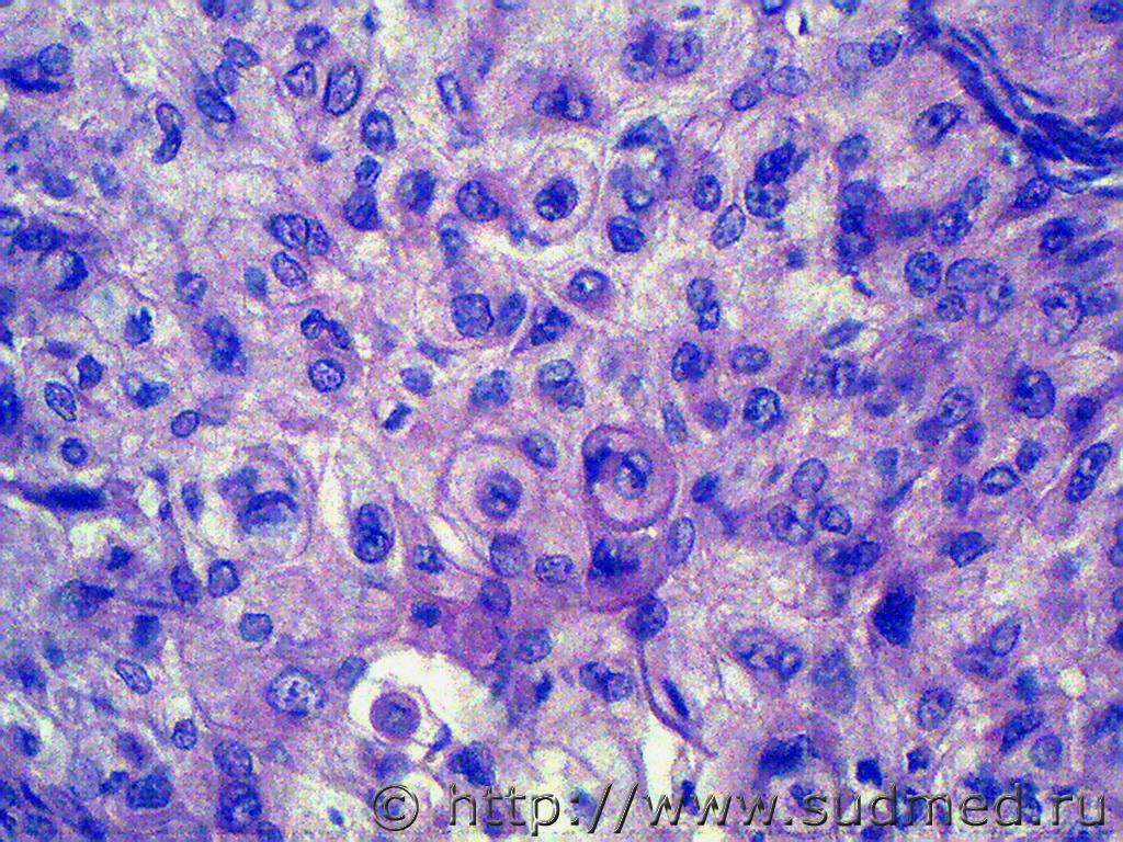
Плоскоклеточный рак ?


Эскизы прикрепленных изображений
Судебная медицина - Прикрепленное изображение Судебная медицина - Прикрепленное изображение Судебная медицина - Прикрепленное изображение Судебная медицина - Прикрепленное изображение Судебная медицина - Прикрепленное изображение Судебная медицина - Прикрепленное изображение Судебная медицина - Прикрепленное изображение
Пользователь offline
К началу страницы
+Ответить с цитированием
2 страниц V  1 2 >  
>   Ответов(1 - 14) >
Unior
сообщение 13.11.2013 - 13:43
Сообщение #2


Продвинутый участник

Группа: СМЭ
Регистрация: 13.10.2011
Из: хутор Рудка
Пользователь №: 29 337


В принципе, похоже. Если язва на губе (вообще на лице) или мошонке, то даже очень. Если голень... то ?
Пользователь offline
К началу страницы
+Ответить с цитированием
Медик
сообщение 13.11.2013 - 18:15
Сообщение #3


Учитель
Group Icon
Группа: Модераторы
Регистрация: 16.05.2010
Пользователь №: 21 553


Цитата(Unior @ 13.11.2013 - 14:43)
Если голень... то ?

То что?
Пользователь offline
К началу страницы
+Ответить с цитированием
Anton
сообщение 13.11.2013 - 18:44
Сообщение #4


Мастер II

Группа: СМЭ
Регистрация: 6.12.2011
Из: Опорный край державы
Пользователь №: 30 279


То кератоакантома. Однако, онкоморфологов надо.
Пользователь offline
К началу страницы
+Ответить с цитированием
Медик
сообщение 13.11.2013 - 19:44
Сообщение #5


Учитель
Group Icon
Группа: Модераторы
Регистрация: 16.05.2010
Пользователь №: 21 553


Цитата(Anton @ 13.11.2013 - 19:44)
кератоакантома.

Мысль была,но здесь клеточный полиморфизм,патологическая митотическая активность,инвазивный рост.

Сообщение отредактировал Медик - 13.11.2013 - 19:46
Пользователь offline
К началу страницы
+Ответить с цитированием
Unior
сообщение 15.11.2013 - 12:22
Сообщение #6


Продвинутый участник

Группа: СМЭ
Регистрация: 13.10.2011
Из: хутор Рудка
Пользователь №: 29 337


Нет, ну, чё сразу кошмары рисовать то, может просто какая-нибудь трофическая язва, там с акантозом, например...
Хотя, не... Когда-то один патанатом, говорил, что для него одним из признаков вероятной злокачественности служит выраженная лимфоцитарная инфильтрация (тоесть в тех случаях, когда есть сомнения)

Сообщение отредактировал Unior - 15.11.2013 - 12:29
Пользователь offline
К началу страницы
+Ответить с цитированием
Smeks1
сообщение 15.11.2013 - 13:10
Сообщение #7


Опытный участник

Группа: СМЭ
Регистрация: 30.09.2008
Пользователь №: 9 995


Уважаемые коллеги, мое мнение - плоскоклеточный, G1-2, п/митозы есть, признаки инвазии, также согласен насчет инфильтрации как признака реакции.
ПС локализация известна?

Сообщение отредактировал Smeks1 - 15.11.2013 - 13:13
Пользователь offline
К началу страницы
+Ответить с цитированием
Медик
сообщение 15.11.2013 - 19:38
Сообщение #8


Учитель
Group Icon
Группа: Модераторы
Регистрация: 16.05.2010
Пользователь №: 21 553


Цитата(Unior @ 15.11.2013 - 13:22)
Когда-то один патанатом, говорил, что для него одним из признаков вероятной злокачественности служит выраженная лимфоцитарная инфильтрация (тоесть в тех случаях, когда есть сомнения)

Правильно он говорил,особенно это помогает при диагностике меланом.

Цитата(Smeks1 @ 15.11.2013 - 14:10)

ПС локализация известна?

Шея.

Сообщение отредактировал Медик - 19.11.2013 - 11:43
Пользователь offline
К началу страницы
+Ответить с цитированием
jaklin
сообщение 20.11.2013 - 19:17
Сообщение #9


Продвинутый участник

Группа: СМЭ
Регистрация: 22.07.2011
Пользователь №: 28 038


Плоскоклеточный рак, т.к. есть жемчужины.
Пользователь offline
К началу страницы
+Ответить с цитированием
Медик
сообщение 20.11.2013 - 19:26
Сообщение #10


Учитель
Group Icon
Группа: Модераторы
Регистрация: 16.05.2010
Пользователь №: 21 553


Цитата(jaklin @ 20.11.2013 - 20:17)
жемчужины.

Это неспецифический признак.
В псевдокарциноматозной гиперплазии,аденоакантоме,даже в старческое кератоме аналогичные жемчужины будут иметь место.
Пользователь offline
К началу страницы
+Ответить с цитированием
Медик
сообщение 20.11.2013 - 19:34
Сообщение #11


Учитель
Group Icon
Группа: Модераторы
Регистрация: 16.05.2010
Пользователь №: 21 553


Если присмотреться внимательно, можно рассмотреть следующие патологические митозы:
1.К-митоз.
2.Рассеивание хромосом.
3.Паукообразный митоз.
4.Комковидный митоз.
5.Полая метафаза и т.д.
Пользователь offline
К началу страницы
+Ответить с цитированием
jaklin
сообщение 20.11.2013 - 22:26
Сообщение #12


Продвинутый участник

Группа: СМЭ
Регистрация: 22.07.2011
Пользователь №: 28 038


Цитата(Медик @ 20.11.2013 - 20:26)
Это неспецифический признак.
В псевдокарциноматозной гиперплазии,аденоакантоме,даже в старческое кератоме аналогичные жемчужины будут иметь место.

Могут быть, а остальная ткань разве "псевдокарциноматозная гиперплазия,аденоакантома, старческая кератома"?
Пользователь offline
К началу страницы
+Ответить с цитированием
Медик
сообщение 20.11.2013 - 22:28
Сообщение #13


Учитель
Group Icon
Группа: Модераторы
Регистрация: 16.05.2010
Пользователь №: 21 553


Нет.
Пользователь offline
К началу страницы
+Ответить с цитированием
доктор морфолог
сообщение 5.12.2013 - 06:38
Сообщение #14


Мастер I

Группа: СМЭ
Регистрация: 5.12.2013
Пользователь №: 38 421


Добрый день, ув.коллеги! В данном случае нарушение базального слоя не видно, имеет место гиперплазия шиповатых клеток с полиморфизмом и митотической активностью ядер. Видны очаги кератинизации и кератиновых кист. На поверхности видны очаги изъязвления с клеточными детритами.
Нужно учитывать возраст и макроописание образования. Мое мнение указывает на себорейный кератоз с тенденцией к озлакачествлению. Нужно провести ИГХ.
Пользователь offline
К началу страницы
+Ответить с цитированием
Медик
сообщение 5.12.2013 - 11:02
Сообщение #15


Учитель
Group Icon
Группа: Модераторы
Регистрация: 16.05.2010
Пользователь №: 21 553


Цитата(доктор морфолог @ 5.12.2013 - 07:38)
Нужно провести ИГХ.

Не стоит.Это труп.К причине смерти опухоль отношения не имеет.
Пользователь offline
К началу страницы
+Ответить с цитированием

2 страниц V  1 2 >



- Обратная связь Сейчас: 7.11.2025 - 21:19