Здравствуйте, гость ( Вход | Регистрация )

Форум судебных медиков России
>

Помощь в гистологическом диагнозе.

>
Evgenii2381
сообщение 7.10.2014 - 08:28
Сообщение #1


Читатель

Группа: Участники
Регистрация: 7.10.2014
Пользователь №: 40 429


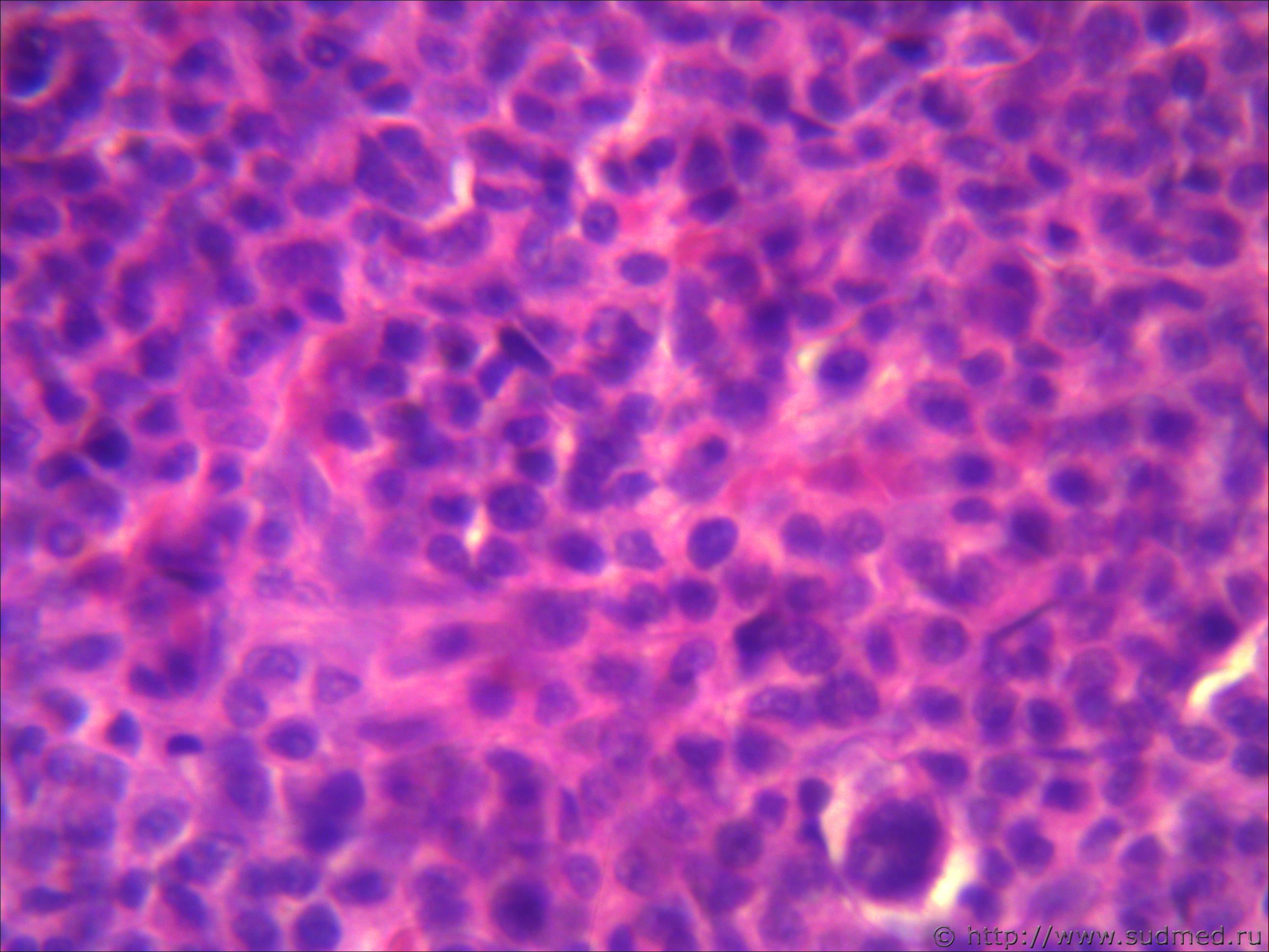
Н/о молочной железы


Эскизы прикрепленных изображений
Судебная медицина - Прикрепленное изображение Судебная медицина - Прикрепленное изображение Судебная медицина - Прикрепленное изображение Судебная медицина - Прикрепленное изображение Судебная медицина - Прикрепленное изображение Судебная медицина - Прикрепленное изображение Судебная медицина - Прикрепленное изображение
Пользователь offline
К началу страницы
+Ответить с цитированием
 
>   Ответов(1 - 6) >
Медик
сообщение 7.10.2014 - 11:00
Сообщение #2


Учитель
Group Icon
Группа: Модераторы
Регистрация: 16.05.2010
Пользователь №: 21 553


Похоже на беспигментную меланому.
Пользователь offline
К началу страницы
+Ответить с цитированием
доктор морфолог
сообщение 10.10.2014 - 08:17
Сообщение #3


Мастер I

Группа: СМЭ
Регистрация: 5.12.2013
Пользователь №: 38 421


Цитата(Evgenii2381 @ 7.10.2014 - 11:28)
Н/о молочной железы

Нужно показать переход от сохранившей ткани к опухолевой. Старайтесь установить четкости рисунка.
Пользователь offline
К началу страницы
+Ответить с цитированием
Evgenii2381
сообщение 10.10.2014 - 12:44
Сообщение #4


Читатель

Группа: Участники
Регистрация: 7.10.2014
Пользователь №: 40 429


Цитата(доктор морфолог @ 10.10.2014 - 09:17)
Нужно показать переход от сохранившей ткани к опухолевой. Старайтесь установить четкости рисунка.

Спасибо огромное ! я учту все замечания, в дальнейшем !
Пользователь offline
К началу страницы
+Ответить с цитированием
Unior
сообщение 12.10.2014 - 19:27
Сообщение #5


Продвинутый участник

Группа: СМЭ
Регистрация: 13.10.2011
Из: хутор Рудка
Пользователь №: 29 337


Цитата(Медик @ 7.10.2014 - 11:00)
Похоже на беспигментную меланому.

Медик, я вот увидел словосочетание "беспигментная меланома",и вот ПОЛНОСТЬЮ согласен, что пигмент в меланоме не обязателен, но мне показывали (давно, в студенчестве) "фигуры спиц" именно в меланоме, как я понял (догадался), позже, что это элементы фигур патологического митоза. Мне к Вам вопрос: вот Вы их видели? Вы знаете что это такое? Поймите правильно, у меня - это как (если помните топик с "феноменом Смысловой" - "слышал звон, да не знает, где он", вот, как-то так, сумбурно. С уважением!
Пользователь offline
К началу страницы
+Ответить с цитированием
Медик
сообщение 12.10.2014 - 21:10
Сообщение #6


Учитель
Group Icon
Группа: Модераторы
Регистрация: 16.05.2010
Пользователь №: 21 553


Цитата(Unior @ 12.10.2014 - 20:27)
"фигуры спиц" именно в меланоме

Завтра гляну на работе.У меня должны быть фото.
Пользователь offline
К началу страницы
+Ответить с цитированием
доктор морфолог
сообщение 13.10.2014 - 12:19
Сообщение #7


Мастер I

Группа: СМЭ
Регистрация: 5.12.2013
Пользователь №: 38 421


Цитата(Evgenii2381 @ 7.10.2014 - 12:28)
Н/о молочной железы

Похоже на грибовидный микоз, либо на лимфоцитому(это мое мнение). В базальных клетках эпидермиса (на малом увеличении, где эпидермис четко ограничен)все таки меланомные пигменты видны, но без нарушения. Но видите как то резкости нет на фото.
Пользователь offline
К началу страницы
+Ответить с цитированием




- Обратная связь Сейчас: 6.11.2025 - 14:19