Здравствуйте, гость ( Вход | Регистрация )

Форум судебных медиков России
>

Аденокарцинома?, Н/О в ротовой полости в области десны

>
Evgenii2381
сообщение 10.11.2014 - 09:05
Сообщение #1


Читатель

Группа: Участники
Регистрация: 7.10.2014
Пользователь №: 40 429


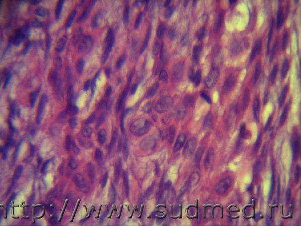
Н/О в ротовой полости в области десны


Эскизы прикрепленных изображений
Судебная медицина - Прикрепленное изображение Судебная медицина - Прикрепленное изображение Судебная медицина - Прикрепленное изображение Судебная медицина - Прикрепленное изображение Судебная медицина - Прикрепленное изображение Судебная медицина - Прикрепленное изображение Судебная медицина - Прикрепленное изображение Судебная медицина - Прикрепленное изображение
Пользователь offline
К началу страницы
+Ответить с цитированием
 
>   Ответов(1 - 3) >
доктор морфолог
сообщение 10.11.2014 - 12:02
Сообщение #2


Мастер I

Группа: СМЭ
Регистрация: 5.12.2013
Пользователь №: 38 421


Цитата(Evgenii2381 @ 10.11.2014 - 13:05)
Н/О в ротовой полости в области десны

По многослойным плосколеточным эпителиям слизистой имеет место базальноклеточная нарушение полярности( умеренные признаки дисплазии), а по подслизистой строме признаки если это действительно макроопухоль, то микроскопически веретеноклеточный(фиброзный) эпулис!

Сообщение отредактировал доктор морфолог - 10.11.2014 - 12:04
Пользователь offline
К началу страницы
+Ответить с цитированием
Anton
сообщение 10.11.2014 - 16:49
Сообщение #3


Мастер II

Группа: СМЭ
Регистрация: 6.12.2011
Из: Опорный край державы
Пользователь №: 30 279


Похоже на эпулис.
Пользователь offline
К началу страницы
+Ответить с цитированием
Медик
сообщение 10.11.2014 - 17:18
Сообщение #4


Учитель
Group Icon
Группа: Модераторы
Регистрация: 16.05.2010
Пользователь №: 21 553


Цитата(доктор морфолог @ 10.11.2014 - 13:02)
(фиброзный) эпулис!

Аналогично.
Пользователь offline
К началу страницы
+Ответить с цитированием




- Обратная связь Сейчас: 9.11.2025 - 03:32