Здравствуйте, гость ( Вход | Регистрация )

Форум судебных медиков России
>

Консультация, Н/О в области соска у кабеля

>
Evgenii2381
сообщение 16.12.2014 - 13:39
Сообщение #1


Читатель

Группа: Участники
Регистрация: 7.10.2014
Пользователь №: 40 429


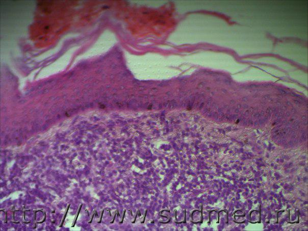
Н/О в области соска у кабеля


Эскизы прикрепленных изображений
Судебная медицина - Прикрепленное изображение Судебная медицина - Прикрепленное изображение Судебная медицина - Прикрепленное изображение Судебная медицина - Прикрепленное изображение Судебная медицина - Прикрепленное изображение Судебная медицина - Прикрепленное изображение Судебная медицина - Прикрепленное изображение Судебная медицина - Прикрепленное изображение
Пользователь offline
К началу страницы
+Ответить с цитированием
 
>   Ответов(1 - 7) >
щепа
сообщение 16.12.2014 - 16:53
Сообщение #2


Опытный участник

Группа: СМЭ
Регистрация: 9.01.2011
Из: ЮФО
Пользователь №: 24 921


Цитата(Evgenii2381 @ 16.12.2014 - 14:39)
Н/О в области соска у кабеля

Я бы сказала.что это зло. Аденокарцинома вероятнее всего. Поточнее могу завтра, атласы на работе.
Пользователь offline
К началу страницы
+Ответить с цитированием
Медик
сообщение 16.12.2014 - 19:51
Сообщение #3


Учитель
Group Icon
Группа: Модераторы
Регистрация: 16.05.2010
Пользователь №: 21 553


Остановился бы на недифференцированном раке.
Если бы это был человек,то с дальнейшим ИГХ исслед.
Пользователь offline
К началу страницы
+Ответить с цитированием
Evgenii2381
сообщение 16.12.2014 - 20:17
Сообщение #4


Читатель

Группа: Участники
Регистрация: 7.10.2014
Пользователь №: 40 429


Цитата(Медик @ 16.12.2014 - 19:51)
Остановился бы на недифференцированном раке.
Если бы это был человек,то с дальнейшим ИГХ исслед.


подскажите на 5 фото, что за клетки )?
Пользователь offline
К началу страницы
+Ответить с цитированием
Evgenii2381
сообщение 16.12.2014 - 20:25
Сообщение #5


Читатель

Группа: Участники
Регистрация: 7.10.2014
Пользователь №: 40 429


с ИГХ будет проблематично !(
Пользователь offline
К началу страницы
+Ответить с цитированием
доктор морфолог
сообщение 18.12.2014 - 11:06
Сообщение #6


Мастер I

Группа: СМЭ
Регистрация: 5.12.2013
Пользователь №: 38 421


Цитата(Evgenii2381 @ 16.12.2014 - 17:39)
Н/О в области соска у кабеля

Опухоль из элементов потовой железы. На фото 7 наблюдается апокринный тип секреции. В 1 и 8 фото видны мелкие участки гиалиноза.

Сообщение отредактировал доктор морфолог - 18.12.2014 - 11:12
Пользователь offline
К началу страницы
+Ответить с цитированием
Evgenii2381
сообщение 19.12.2014 - 12:54
Сообщение #7


Читатель

Группа: Участники
Регистрация: 7.10.2014
Пользователь №: 40 429


Цитата(доктор морфолог @ 18.12.2014 - 11:06)
Опухоль из элементов потовой железы. На фото 7 наблюдается апокринный тип секреции. В 1 и 8 фото видны мелкие участки гиалиноза.

это зло?
Пользователь offline
К началу страницы
+Ответить с цитированием
доктор морфолог
сообщение 22.12.2014 - 08:50
Сообщение #8


Мастер I

Группа: СМЭ
Регистрация: 5.12.2013
Пользователь №: 38 421


Цитата(Evgenii2381 @ 19.12.2014 - 16:54)
это зло?


Гиалиноз - тяжелый тип дистрофии(сосудисто-мезенхимальной). А зло - это при наличии атипии клеток или эпителии, неважно какого генеза с активным патологическим митозом ядер и полиморфизмом клеток с безудержным размножением и изменением биохимических свойств разрушающих нормальную структуру в ткани или целого органа. В данной ситуации не исключается зло, но пограничный период м.б. Нам несовсем виднее, чем Вам т.к. материал только у Вас.

Сообщение отредактировал доктор морфолог - 22.12.2014 - 08:53
Пользователь offline
К началу страницы
+Ответить с цитированием




- Обратная связь Сейчас: 8.11.2025 - 23:26