Здравствуйте, гость ( Вход | Регистрация )

Форум судебных медиков России
>

Консультация Н/О в области молочной железы, в области молочной железы у суки

>
Evgenii2381
сообщение 26.12.2014 - 09:29
Сообщение #1


Читатель

Группа: Участники
Регистрация: 7.10.2014
Пользователь №: 40 429


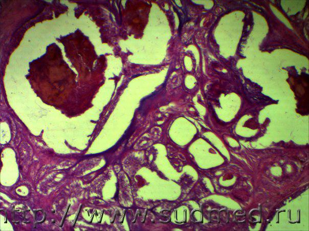
в области молочной железы у суки внутрипротоковый рак или же аденокарцинома из сальных желез ?


Эскизы прикрепленных изображений
Судебная медицина - Прикрепленное изображение Судебная медицина - Прикрепленное изображение Судебная медицина - Прикрепленное изображение Судебная медицина - Прикрепленное изображение Судебная медицина - Прикрепленное изображение Судебная медицина - Прикрепленное изображение Судебная медицина - Прикрепленное изображение Судебная медицина - Прикрепленное изображение Судебная медицина - Прикрепленное изображение Судебная медицина - Прикрепленное изображение Судебная медицина - Прикрепленное изображение
Пользователь offline
К началу страницы
+Ответить с цитированием
 
>   Ответов(1 - 2) >
доктор морфолог
сообщение 26.12.2014 - 09:43
Сообщение #2


Мастер I

Группа: СМЭ
Регистрация: 5.12.2013
Пользователь №: 38 421


Цитата(Evgenii2381 @ 26.12.2014 - 13:29)
в области молочной железы у суки внутрипротоковый рак или же аденокарцинома из сальных желез ?

Похожи на внутри протоковый рак.
Пользователь offline
К началу страницы
+Ответить с цитированием
Медик
сообщение 26.12.2014 - 09:55
Сообщение #3


Учитель
Group Icon
Группа: Модераторы
Регистрация: 16.05.2010
Пользователь №: 21 553


Я бы добавил,что это инвазивный....
Пользователь offline
К началу страницы
+Ответить с цитированием




- Обратная связь Сейчас: 3.11.2025 - 08:24