Здравствуйте, гость ( Вход | Регистрация )

Форум судебных медиков России
>

внутрипротоковый рак молочной железы?, опухоль у кошки в области молочной железы

>
Evgenii2381
сообщение 22.05.2015 - 14:41
Сообщение #1


Читатель

Группа: Участники
Регистрация: 7.10.2014
Пользователь №: 40 429


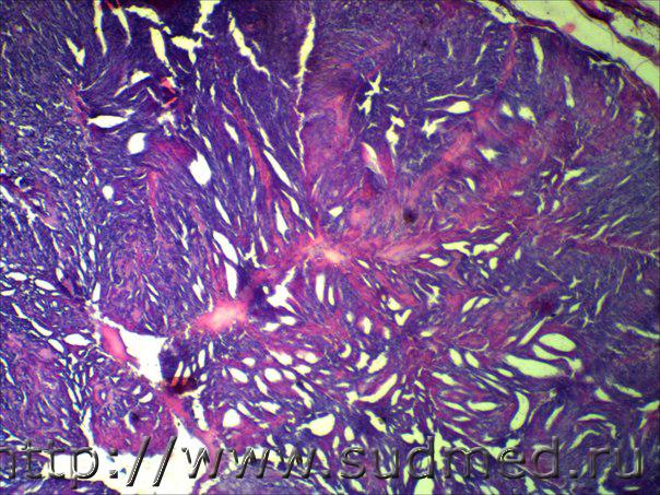
консультация по опухолям М/Ж


Эскизы прикрепленных изображений
Судебная медицина - Прикрепленное изображение Судебная медицина - Прикрепленное изображение Судебная медицина - Прикрепленное изображение Судебная медицина - Прикрепленное изображение Судебная медицина - Прикрепленное изображение Судебная медицина - Прикрепленное изображение
Пользователь offline
К началу страницы
+Ответить с цитированием
 
>   Ответов(1 - 2) >
Медик
сообщение 22.05.2015 - 15:41
Сообщение #2


Учитель
Group Icon
Группа: Модераторы
Регистрация: 16.05.2010
Пользователь №: 21 553


Инвазивный протоковый рак. Наверно так.

Сообщение отредактировал Медик - 22.05.2015 - 15:44
Пользователь offline
К началу страницы
+Ответить с цитированием
Evgenii2381
сообщение 25.05.2015 - 08:30
Сообщение #3


Читатель

Группа: Участники
Регистрация: 7.10.2014
Пользователь №: 40 429


Цитата(Медик @ 22.05.2015 - 15:41)
Инвазивный протоковый рак. Наверно так.

Спасибо ! огромное !
Пользователь offline
К началу страницы
+Ответить с цитированием




- Обратная связь Сейчас: 7.11.2025 - 22:27