Здравствуйте, гость ( Вход | Регистрация )

Форум судебных медиков России
>

Стромальная опухоль 12-типерстной кишки?

>
a..anka
сообщение 20.11.2015 - 15:44
Сообщение #1


Участник форума

Группа: Участники
Регистрация: 10.11.2014
Пользователь №: 40 705


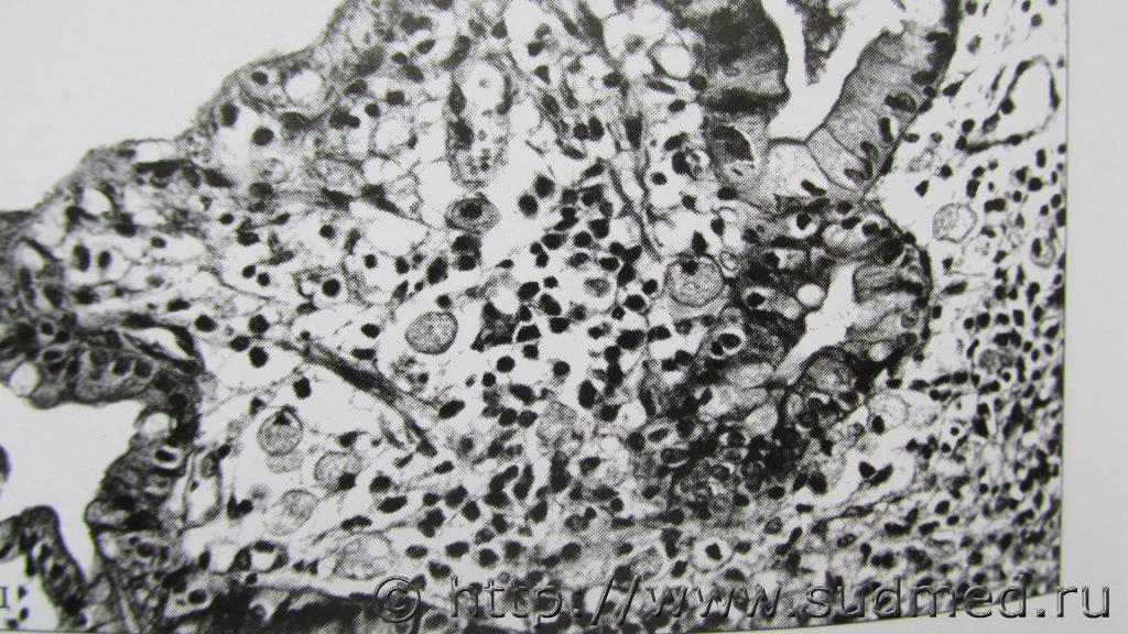
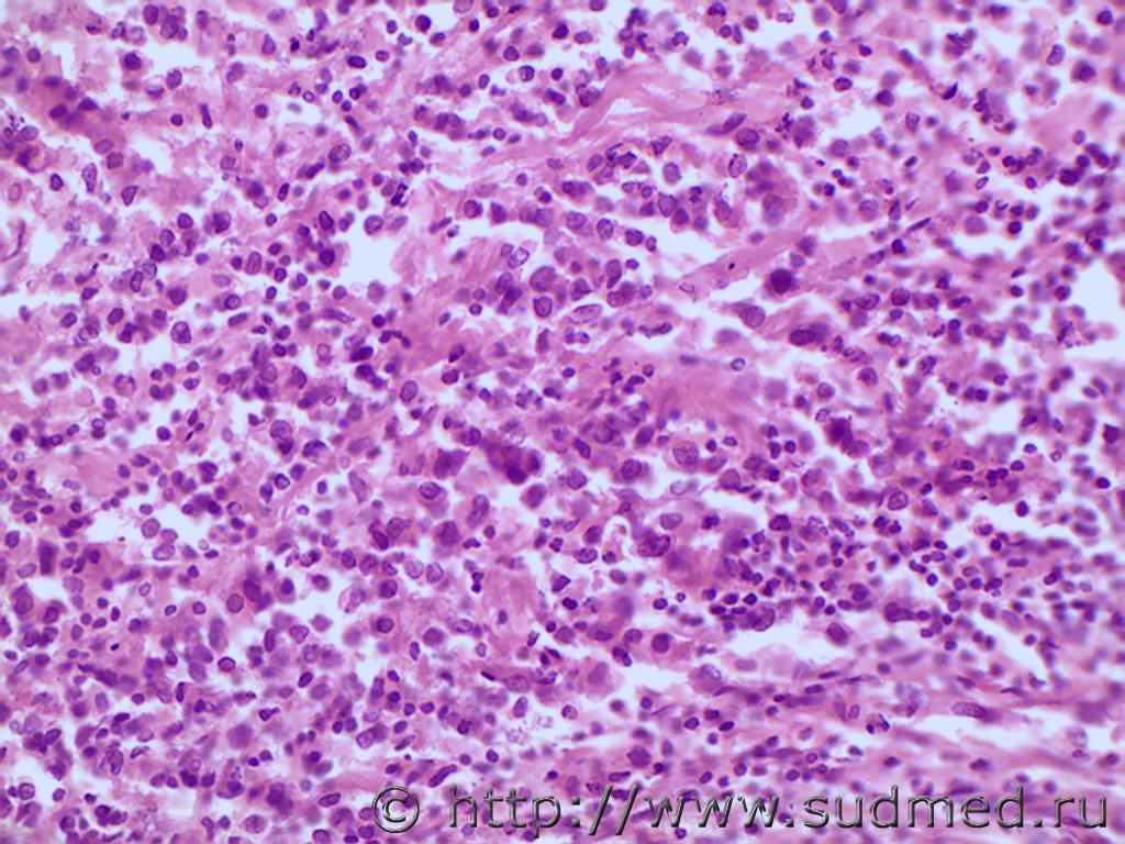
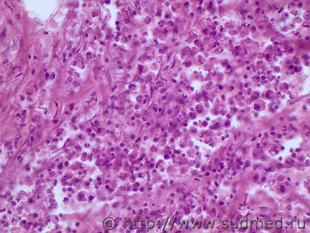
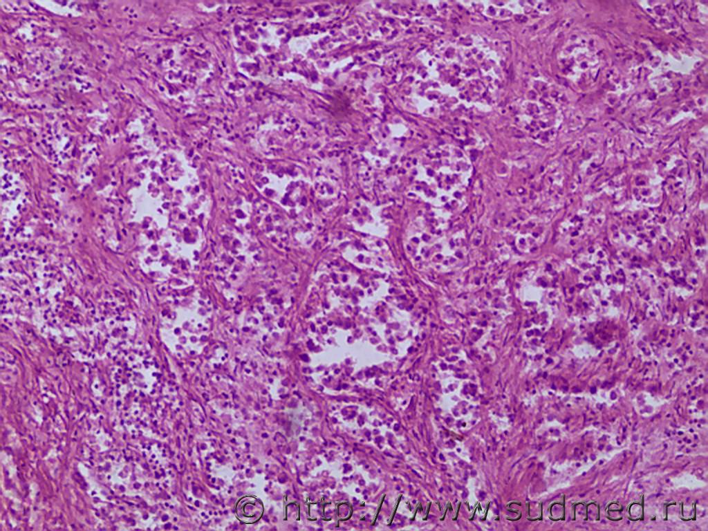
Уважаемые коллеги, не могу определиться с типом опухоли тонкой кишки. На вскрытии эксперт находит хроническую язву 12-типерстной кишки с обострением, аррозией сосуда; в желудке 1,5 литра крови. Покойница 1946г.р, ВИЧ 3 степени. В микропрепаратах похоже на стромальную опухоль, кое-где клетки похожие на перстни.


Эскизы прикрепленных изображений
Судебная медицина - Прикрепленное изображение Судебная медицина - Прикрепленное изображение Судебная медицина - Прикрепленное изображение Судебная медицина - Прикрепленное изображение Судебная медицина - Прикрепленное изображение Судебная медицина - Прикрепленное изображение Судебная медицина - Прикрепленное изображение Судебная медицина - Прикрепленное изображение Судебная медицина - Прикрепленное изображение Судебная медицина - Прикрепленное изображение
Пользователь offline
К началу страницы
+Ответить с цитированием
2 страниц V  1 2 >  
>   Ответов(1 - 14) >
Anton
сообщение 20.11.2015 - 16:24
Сообщение #2


Мастер II

Группа: СМЭ
Регистрация: 6.12.2011
Из: Опорный край державы
Пользователь №: 30 279


А альциановым синим не получится покрасить?
Пользователь offline
К началу страницы
+Ответить с цитированием
доктор морфолог
сообщение 20.11.2015 - 20:04
Сообщение #3


Мастер I

Группа: СМЭ
Регистрация: 5.12.2013
Пользователь №: 38 421


Гистиоцитоз с плазмоцитомными клетками вроде похожие.
Пользователь offline
К началу страницы
+Ответить с цитированием
Медик
сообщение 20.11.2015 - 20:48
Сообщение #4


Учитель
Group Icon
Группа: Модераторы
Регистрация: 16.05.2010
Пользователь №: 21 553


Перстневидноклеточный рак (8490/3).
Пользователь offline
К началу страницы
+Ответить с цитированием
Медик
сообщение 20.11.2015 - 20:54
Сообщение #5


Учитель
Group Icon
Группа: Модераторы
Регистрация: 16.05.2010
Пользователь №: 21 553


Цитата(a..anka @ 20.11.2015 - 16:44)
В микропрепаратах похоже на стромальную опухоль

ГИСТ растёт не из слизистой оболочки и не изъязвляется.
В Вашем случае макроскопически имеет место язва-рак,вероятнее всего,луковицы двенадцатиперстной кишки.Что это микро - написал выше.Перстневидноклеточный рак - это одна из форм низкодифференцированной аденокарциномы.Вы же видите железистые (ацинарные) структуры ?
По-видимому,у Вас была мысль об эпителиоидноклеточном варианте ГИСТ ?

Сообщение отредактировал Медик - 20.11.2015 - 20:58
Пользователь offline
К началу страницы
+Ответить с цитированием
Медик
сообщение 20.11.2015 - 21:04
Сообщение #6


Учитель
Group Icon
Группа: Модераторы
Регистрация: 16.05.2010
Пользователь №: 21 553


Цитата(a..anka @ 20.11.2015 - 16:44)
ВИЧ 3 степени.

Не степени,а стадии.
Пользователь offline
К началу страницы
+Ответить с цитированием
доктор морфолог
сообщение 21.11.2015 - 01:40
Сообщение #7


Мастер I

Группа: СМЭ
Регистрация: 5.12.2013
Пользователь №: 38 421


Не остались ли слизистая, на фото мышечный слой с инфильтрацией. Нашел тоже в 1-м фото в правом нижнем углу классическую одну перстневидную клетку и единичные по середине перевернутые и часть с эксцентрично расположенные пока округлые ядра видимо еще низкодифференцированные.
Пользователь offline
К началу страницы
+Ответить с цитированием
alim
сообщение 21.11.2015 - 08:52
Сообщение #8


Новичок

Группа: Участники
Регистрация: 25.12.2012
Пользователь №: 35 150


Опухоли нет, есть хроническое воспаление с псевдокарциноматозной гиперплазией
Пользователь offline
К началу страницы
+Ответить с цитированием
a..anka
сообщение 21.11.2015 - 10:53
Сообщение #9


Участник форума

Группа: Участники
Регистрация: 10.11.2014
Пользователь №: 40 705


Цитата(доктор морфолог @ 21.11.2015 - 01:40)
Не остались ли слизистая, на фото мышечный слой с инфильтрацией.

Есть один небольшой фрагмент слизистой, но она обычного строения, без раковой перестройки. В понедельник выложу фото.
Пользователь offline
К началу страницы
+Ответить с цитированием
Медик
сообщение 21.11.2015 - 10:54
Сообщение #10


Учитель
Group Icon
Группа: Модераторы
Регистрация: 16.05.2010
Пользователь №: 21 553


Ув.alim.
На каком по счёту фото Вы видите псевдокарциноматозную гиперплазию ? Учтите то,что рак в крае хронической язвы.
Псевдокарциноматозная гиперплазия в гладкой мышечной ткани,слизистой оболочке двенадцатиперстной кишки,крае хр.язвы этой кишки ?

Сообщение отредактировал Медик - 21.11.2015 - 11:26
Пользователь offline
К началу страницы
+Ответить с цитированием
Медик
сообщение 21.11.2015 - 11:23
Сообщение #11


Учитель
Group Icon
Группа: Модераторы
Регистрация: 16.05.2010
Пользователь №: 21 553


С большим приветом дла патана alim.
Вот на этих фото есть псевдокарциноматозная гиперплазия и перстневидноклеточный рак.


Эскизы прикрепленных изображений
Судебная медицина - Прикрепленное изображение Судебная медицина - Прикрепленное изображение Судебная медицина - Прикрепленное изображение Судебная медицина - Прикрепленное изображение Судебная медицина - Прикрепленное изображение
Пользователь offline
К началу страницы
+Ответить с цитированием
доктор морфолог
сообщение 21.11.2015 - 18:37
Сообщение #12


Мастер I

Группа: СМЭ
Регистрация: 5.12.2013
Пользователь №: 38 421


Наглядное фото ув.Медик! 1- с тенденцией к ороговению с жемчужиной?2- точно псевдокарциноматозная? 3,4,5- перстневидные точно!
Пользователь offline
К началу страницы
+Ответить с цитированием
Медик
сообщение 21.11.2015 - 21:28
Сообщение #13


Учитель
Group Icon
Группа: Модераторы
Регистрация: 16.05.2010
Пользователь №: 21 553


Фото из атласов по опухолям.
Пользователь offline
К началу страницы
+Ответить с цитированием
alim
сообщение 21.11.2015 - 21:47
Сообщение #14


Новичок

Группа: Участники
Регистрация: 25.12.2012
Пользователь №: 35 150


Цитата(Медик @ 21.11.2015 - 12:23)
С большим приветом дла патана alim.
Вот на этих фото есть псевдокарциноматозная гиперплазия и перстневидноклеточный рак.

Да будет Вам известно, что псевдокарциноматозная гиперплазия встречается и в железистой ткани, а не только в плоском эпителии!!!! Займитесь судебной экспертизой, а патан оставьте.....

Цитата(Медик @ 21.11.2015 - 12:23)
С большим приветом дла патана alim.
Вот на этих фото есть псевдокарциноматозная гиперплазия и перстневидноклеточный рак.

И причём тут фото из атласов, мы разбираем конкретный представленный случай....
Пользователь offline
К началу страницы
+Ответить с цитированием
Медик
сообщение 21.11.2015 - 22:51
Сообщение #15


Учитель
Group Icon
Группа: Модераторы
Регистрация: 16.05.2010
Пользователь №: 21 553


Ув.alim.
1.Не вводите судебных гистологов в заблуждение.
2.Не надо мне указывать чем заниматься.
3.Изучайте патан,читайте книги,больше см.в микроскоп и общайтесь с коллегами.
4.Не вижу ответа на заданный выше Вам вопрос.

Цитата(alim @ 21.11.2015 - 22:47)

И причём тут фото из атласов, мы разбираем конкретный представленный случай....

Запомните эти "картинки", может пригодятся ?

Цитата(alim @ 21.11.2015 - 22:47)
псевдокарциноматозная гиперплазия встречается и в железистой ткани

Вы про плоскоклеточную метаплазию ?

Сообщение отредактировал Медик - 21.11.2015 - 22:53
Пользователь offline
К началу страницы
+Ответить с цитированием

2 страниц V  1 2 >



- Обратная связь Сейчас: 7.11.2025 - 15:17