Здравствуйте, гость ( Вход | Регистрация )

Форум судебных медиков России
>

Опухоль яичника, Нужно определить зло или добро

>
доктор морфолог
сообщение 21.04.2016 - 09:04
Сообщение #1


Мастер I

Группа: СМЭ
Регистрация: 5.12.2013
Пользователь №: 38 421


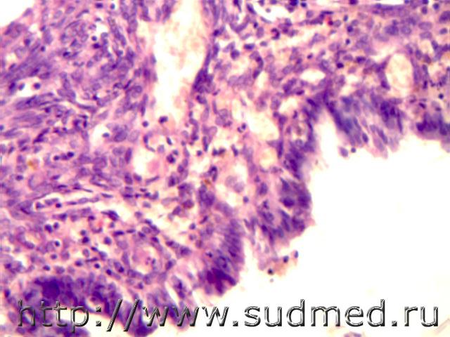
Для дифдиагноза по операционному материалу предлагаю:
- эндометриоидная фиброаденома
- эндометриоидная цистаденофиброма с плоскоклеточной дифференцировкой
- пограничная эндометриоидная опухоль яичника с эпидермизацией
- эндометриоидная цистаденокарцинома. Операция сделано по поводу аппендицита.
Желаю удачи, спасибо.

Сообщение отредактировал доктор морфолог - 21.04.2016 - 09:08


Эскизы прикрепленных изображений
Судебная медицина - Прикрепленное изображение Судебная медицина - Прикрепленное изображение Судебная медицина - Прикрепленное изображение Судебная медицина - Прикрепленное изображение Судебная медицина - Прикрепленное изображение Судебная медицина - Прикрепленное изображение Судебная медицина - Прикрепленное изображение Судебная медицина - Прикрепленное изображение Судебная медицина - Прикрепленное изображение Судебная медицина - Прикрепленное изображение Судебная медицина - Прикрепленное изображение Судебная медицина - Прикрепленное изображение
Пользователь offline
К началу страницы
+Ответить с цитированием
2 страниц V  1 2 >  
>   Ответов(1 - 14) >
Медик
сообщение 21.04.2016 - 10:46
Сообщение #2


Учитель
Group Icon
Группа: Модераторы
Регистрация: 16.05.2010
Пользователь №: 21 553


Эндометриоидная аденофиброма с плоскоклеточной дифференцировкой.
Пользователь offline
К началу страницы
+Ответить с цитированием
доктор морфолог
сообщение 21.04.2016 - 17:11
Сообщение #3


Мастер I

Группа: СМЭ
Регистрация: 5.12.2013
Пользователь №: 38 421


Ув.Медик! Обоснуйте диагноз, пожалуйста и куда денем кисты . Спасибо!
Пользователь offline
К началу страницы
+Ответить с цитированием
Медик
сообщение 21.04.2016 - 19:28
Сообщение #4


Учитель
Group Icon
Группа: Модераторы
Регистрация: 16.05.2010
Пользователь №: 21 553


1.Сочетание эндометриоидного эпителия,цитогенной стромы и желез эндометрия + бурый пигмент.
2.Такие кисты не должны смущать.Чем не кистозно расширенная железа эндометрия.Кисты не тех размеров,чтобы думать о эндометриоидной цистаденоме.
Пользователь offline
К началу страницы
+Ответить с цитированием
Медик
сообщение 22.04.2016 - 09:18
Сообщение #5


Учитель
Group Icon
Группа: Модераторы
Регистрация: 16.05.2010
Пользователь №: 21 553


Ув.доктор морфолог.
Каким образом к Вам попадает такой материал ? Комиссионная экспертиза ?
Пользователь offline
К началу страницы
+Ответить с цитированием
Медик
сообщение 22.04.2016 - 09:35
Сообщение #6


Учитель
Group Icon
Группа: Модераторы
Регистрация: 16.05.2010
Пользователь №: 21 553


Для иллюстрации своего мнения.
2 одинаковых фото из разных источников,а Ваши фото ещё лучше демонстрируют данную патологию.

Сообщение отредактировал Медик - 22.04.2016 - 09:37


Эскизы прикрепленных изображений
Судебная медицина - Прикрепленное изображение Судебная медицина - Прикрепленное изображение
Пользователь offline
К началу страницы
+Ответить с цитированием
доктор морфолог
сообщение 22.04.2016 - 11:59
Сообщение #7


Мастер I

Группа: СМЭ
Регистрация: 5.12.2013
Пользователь №: 38 421


Да, угадали, как комиссионная свежая. В 2013г. смотрят 3 патаны. Первая ставит точно как и вы, вторая -признаки цистаденокарционмы,третий - эндометриоидный рак ставит. А женщина по первому диагнозу наблюдается, и не идет на лечение кажется по химио -лучевой терапии. Все гладко в течение 3 лет. И комиссионка. Мы ставим- пограничную эндометриоидную опухоль яичника с плоскоклеточной дифференцировкой. Цистаденофиброма. Предложили для исключения либо подтверждения зла провести ИГХ на виментин,цитокератинов1.5.10.14.Но гистологически на зло вообще не тянет, но вот такой вывод...как сами , надеюсь догадываетесь.

Сообщение отредактировал доктор морфолог - 22.04.2016 - 12:01
Пользователь offline
К началу страницы
+Ответить с цитированием
Бабай
сообщение 22.04.2016 - 17:42
Сообщение #8


Маэстро форума

Группа: СМЭ
Регистрация: 12.12.2007
Пользователь №: 6 810


Потом отчитаются что сотворили чудо- вылечили рак.

Пользователь offline
К началу страницы
+Ответить с цитированием
доктор морфолог
сообщение 22.04.2016 - 20:08
Сообщение #9


Мастер I

Группа: СМЭ
Регистрация: 5.12.2013
Пользователь №: 38 421


Цитата(Бабай @ 22.04.2016 - 20:42)
Потом отчитаются что сотворили чудо- вылечили рак.

Не исключение, но пока нам неизвестно ничего, кроме стеклопрпаратов для пересмотра. В ОСЭ как комиссионка
в деле наверняка есть меддоки.
Пользователь offline
К началу страницы
+Ответить с цитированием
Медик
сообщение 22.04.2016 - 20:58
Сообщение #10


Учитель
Group Icon
Группа: Модераторы
Регистрация: 16.05.2010
Пользователь №: 21 553


Цитата(доктор морфолог @ 22.04.2016 - 12:59)
эндометриоидный рак

Микроскопически по критериям ВОЗ этот рак должен соответствовать структуре типичного рака эндометрия той или иной степени дифференцировки.
Пользователь offline
К началу страницы
+Ответить с цитированием
Медик
сообщение 22.04.2016 - 21:04
Сообщение #11


Учитель
Group Icon
Группа: Модераторы
Регистрация: 16.05.2010
Пользователь №: 21 553


Цитата(доктор морфолог @ 22.04.2016 - 12:59)
пограничную эндометриоидную опухоль яичника

По представленным фото - не согласен.
Микроскопически пограничные эндометриоидные опухоли напоминают очаги атипической гиперплазии эндометрия или аденоматозного полипа с признаками атипии,вплоть до выраженной дисплазии.
Пользователь offline
К началу страницы
+Ответить с цитированием
Медик
сообщение 22.04.2016 - 21:11
Сообщение #12


Учитель
Group Icon
Группа: Модераторы
Регистрация: 16.05.2010
Пользователь №: 21 553


Цитата(доктор морфолог @ 22.04.2016 - 12:59)
Все гладко в течение 3 лет.

А что же теперь произошло ?
Пользователь offline
К началу страницы
+Ответить с цитированием
доктор морфолог
сообщение 22.04.2016 - 21:38
Сообщение #13


Мастер I

Группа: СМЭ
Регистрация: 5.12.2013
Пользователь №: 38 421


Цитата(Медик @ 23.04.2016 - 00:11)
А что же теперь произошло ?

Пациентка предьявляет, тому, кто эндометр.рак поставил.
Дай бог чтобы пациентка, не принимала химио-лучевую терапию! Пока, ничего неизестно мне..
Пользователь offline
К началу страницы
+Ответить с цитированием
Медик
сообщение 22.04.2016 - 21:49
Сообщение #14


Учитель
Group Icon
Группа: Модераторы
Регистрация: 16.05.2010
Пользователь №: 21 553


Цитата(доктор морфолог @ 22.04.2016 - 22:38)
Пациентка предьявляет, тому, кто эндометр.рак поставил.

Чудеса,то претензии предъявляют к тому,кто пропустил рак,а то и наоборот.
Знаю случай с патаном,который пропустил рак.Плохо это закончилась для двух сторон.
Пользователь offline
К началу страницы
+Ответить с цитированием
доктор морфолог
сообщение 23.04.2016 - 05:48
Сообщение #15


Мастер I

Группа: СМЭ
Регистрация: 5.12.2013
Пользователь №: 38 421


Для всего человечества есть пока не проигравший враг -это рак. Чтобы победить рака врачи всего мира должны обьединиться. Н-р: наш ФСМ всем нуждаеющимся коллегам и неколлегам помогает же.Так вот вчера у нас состоялась международная научно-практическая конференция по диагностике меланом дерматологами. Там были профессора со всего мира и россии. И индииский профессор призвал всех врачей объединиться, а не разъединиться! Точно так же замечательный проект по онкоморфологии ЮНИМ и они уже давно призывают объединиться, обучают не только патологов ставить окончательные диагнозы и но всех врачей для проведения таргетной терапии. Если, честно страдает элементарная культура общения между больными и врачами, между собой врачи с врачами не общаться. Все хотят друг друга мочить и топить где угодно. Опухоли одним врачом или патологом если неуверен или засомневался, нужно не стесняясь направить исслледовать дальше к другим коллегам или пока не поставишь окончательный диагноз. И смэ между двумя огнями, нужно потушить огня, для этого и нужны советы, консультации! Вот спасибо администраторам ФСМ и смэ танатологам хоть соображающим по гистологии, не то что другие. По данному случаю, если химио-лучевая терапия не проводилось и живет, ничего небеспокоит больной, то повезло тому, кто зло поставил. И нечего больной дергать всех, мне кажется.

Сообщение отредактировал доктор морфолог - 23.04.2016 - 05:56
Пользователь offline
К началу страницы
+Ответить с цитированием

2 страниц V  1 2 >



- Обратная связь Сейчас: 9.11.2025 - 01:51