Здравствуйте, гость ( Вход | Регистрация )

Форум судебных медиков России
>

Опухоль легкого

>
IVANNES
сообщение 20.06.2017 - 10:37
Сообщение #1


Опытный участник

Группа: СМЭ
Регистрация: 28.02.2015
Пользователь №: 41 483


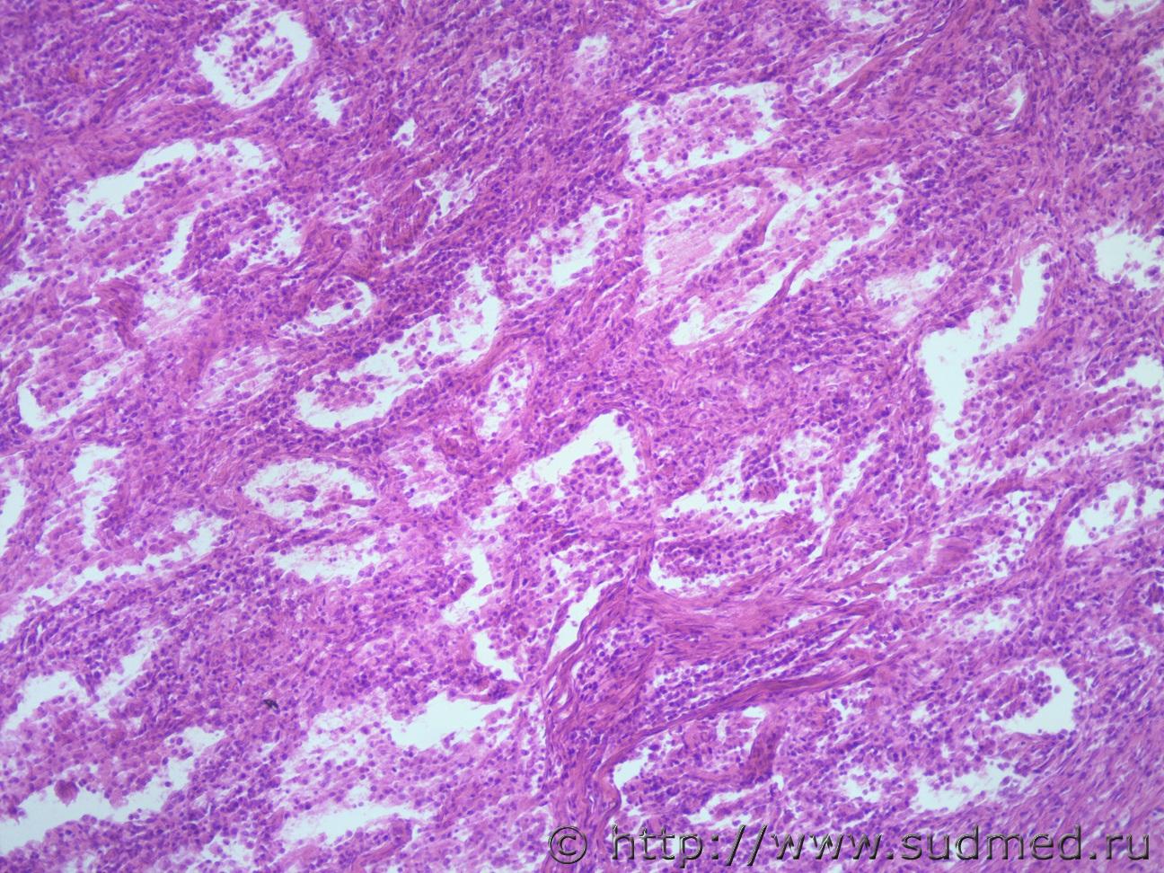
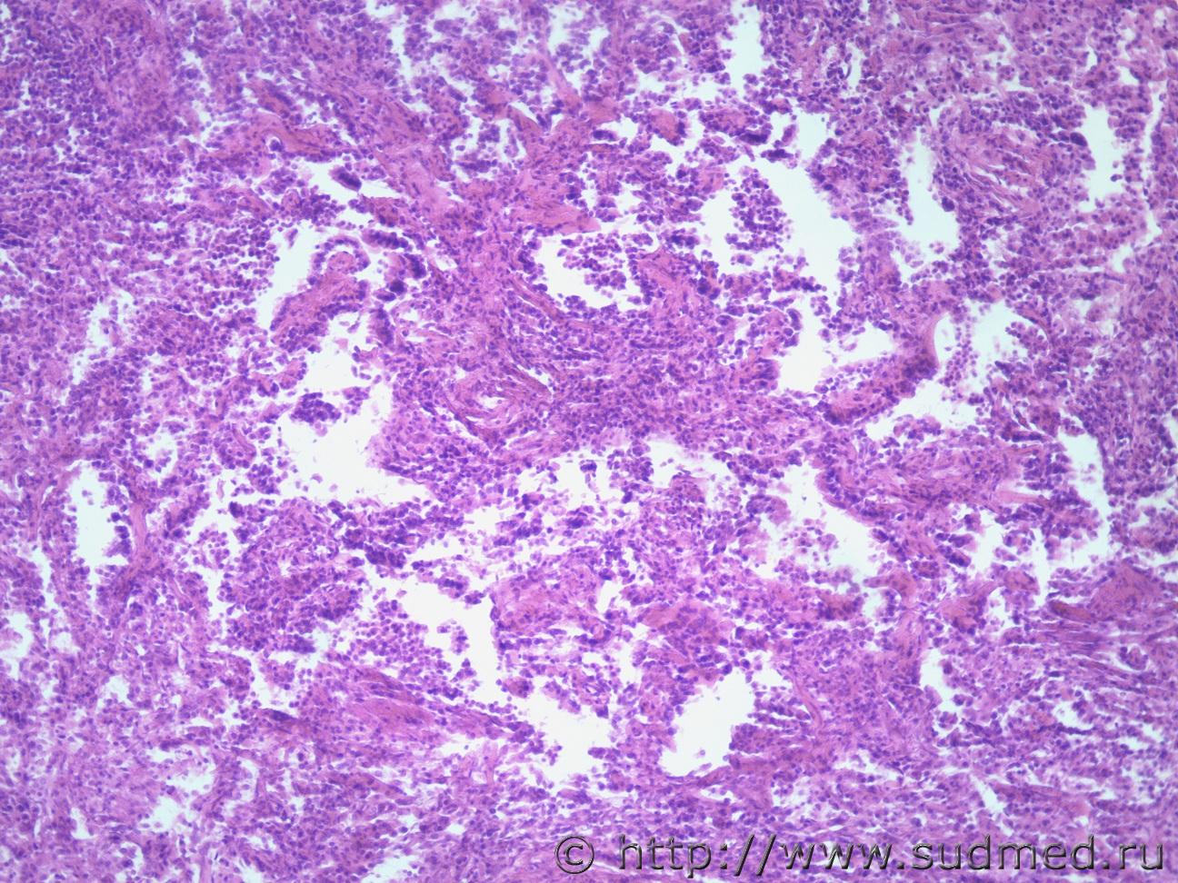
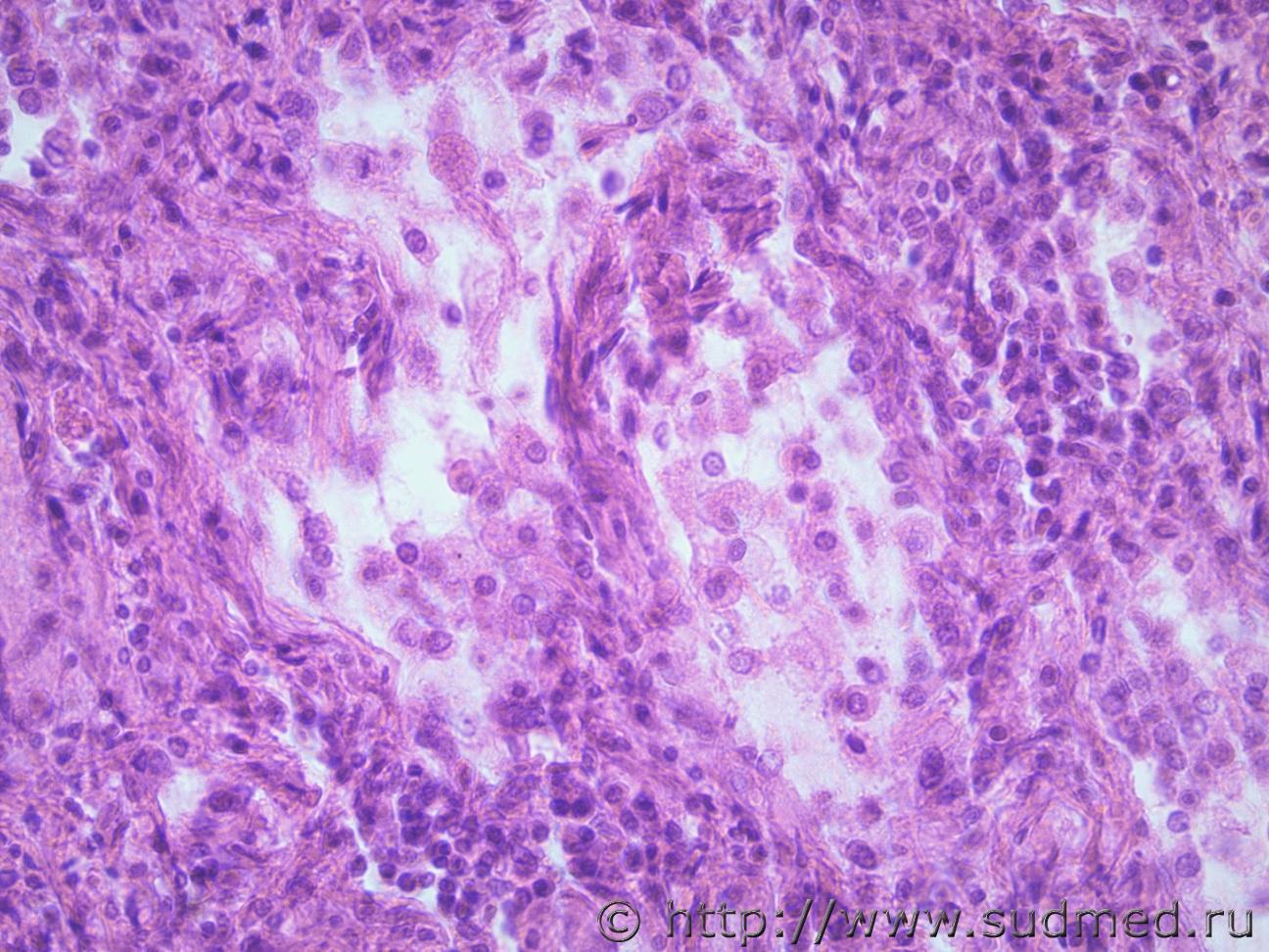
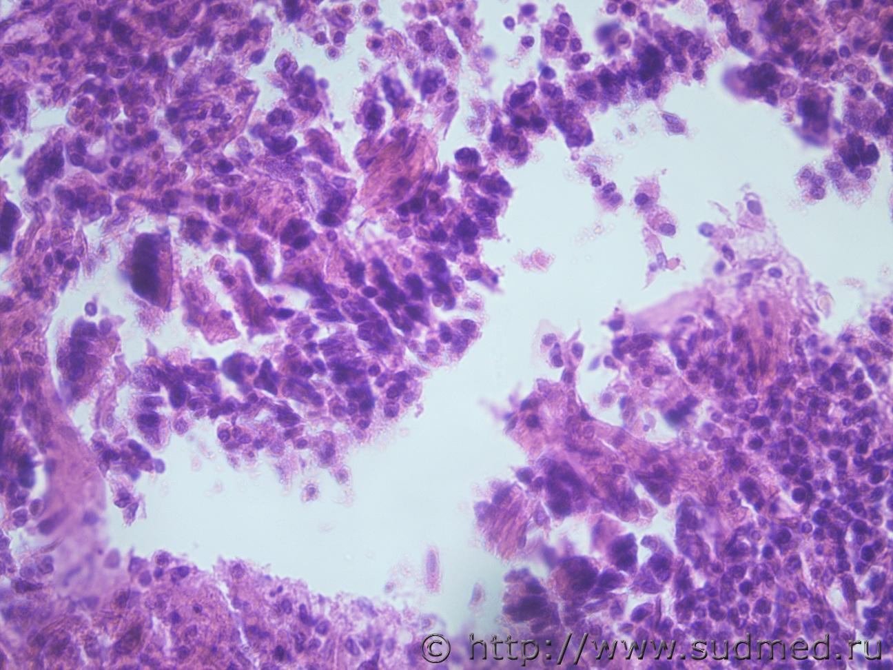
Жен 68 лет Нижняя доля легкого

Судебная медицина - Прикрепленное изображение Судебная медицина - Прикрепленное изображение Судебная медицина - Прикрепленное изображение Судебная медицина - Прикрепленное изображение Судебная медицина - Прикрепленное изображение Судебная медицина - Прикрепленное изображение Судебная медицина - Прикрепленное изображение Судебная медицина - Прикрепленное изображение Судебная медицина - Прикрепленное изображение
Пользователь offline
К началу страницы
+Ответить с цитированием
 
>   Ответов(1 - 4) >
Anton
сообщение 20.06.2017 - 16:48
Сообщение #2


Мастер II

Группа: СМЭ
Регистрация: 6.12.2011
Из: Опорный край державы
Пользователь №: 30 279


Предположу бронхиолоальвеолярный.
Пользователь offline
К началу страницы
+Ответить с цитированием
Медик
сообщение 21.06.2017 - 23:19
Сообщение #3


Учитель
Group Icon
Группа: Модераторы
Регистрация: 16.05.2010
Пользователь №: 21 553


Цитата(Anton @ 20.06.2017 - 17:48)
бронхиолоальвеолярный.

Аналогично.
Пользователь offline
К началу страницы
+Ответить с цитированием
доктор морфолог
сообщение 22.06.2017 - 07:31
Сообщение #4


Мастер I

Группа: СМЭ
Регистрация: 5.12.2013
Пользователь №: 38 421


Цитата(IVANNES @ 20.06.2017 - 13:37)
Жен 68 лет Нижняя доля легкого

Судебная медицина - Прикрепленное изображение Судебная медицина - Прикрепленное изображение Судебная медицина - Прикрепленное изображение Судебная медицина - Прикрепленное изображение Судебная медицина - Прикрепленное изображение Судебная медицина - Прикрепленное изображение Судебная медицина - Прикрепленное изображение Судебная медицина - Прикрепленное изображение Судебная медицина - Прикрепленное изображение

кроме эпителиально-клеточной инфильтрации ввиде пневмоцитов 2-порядка с округлой центральной и эксцентричной локализацией ядер с зернисто-эозинофильной цитоплазмой, наблюдается мезенхимальные структуры в строме ввиде миофибробластических.

Сообщение отредактировал доктор морфолог - 22.06.2017 - 15:00
Пользователь offline
К началу страницы
+Ответить с цитированием
IVANNES
сообщение 23.06.2017 - 09:35
Сообщение #5


Опытный участник

Группа: СМЭ
Регистрация: 28.02.2015
Пользователь №: 41 483


Всем большое спасибо за помощь.
Пользователь offline
К началу страницы
+Ответить с цитированием




- Обратная связь Сейчас: 6.11.2025 - 07:58