Здравствуйте, гость ( Вход | Регистрация )

Форум судебных медиков России
>

Костный мозг

>
IVANNES
сообщение 20.07.2017 - 11:53
Сообщение #1


Опытный участник

Группа: СМЭ
Регистрация: 28.02.2015
Пользователь №: 41 483


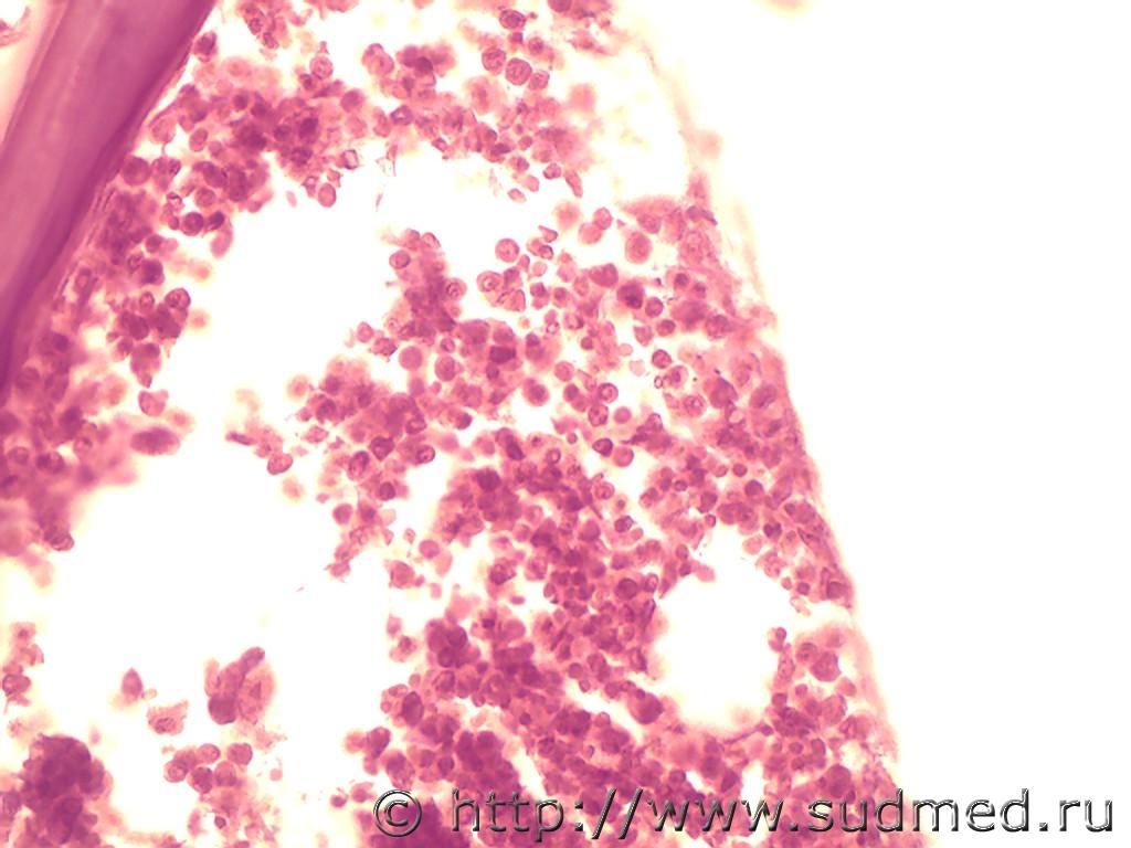
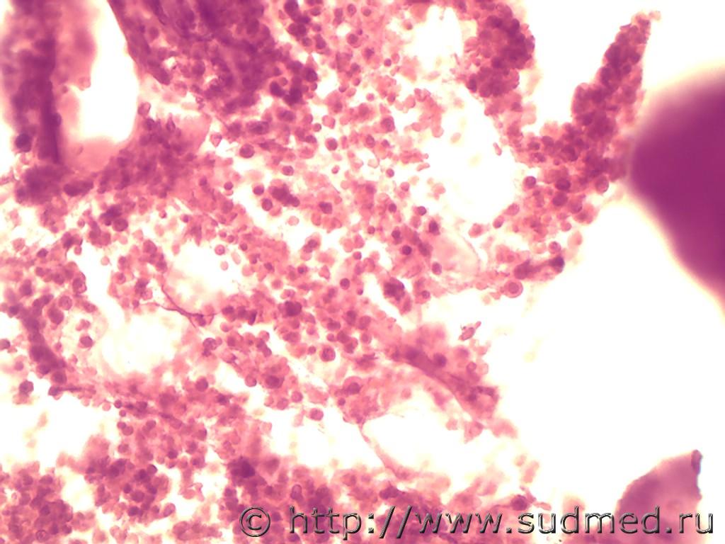
Ув. коллеги. Нужна помощь. Мужчина 50 лет умер в стационаре. Поступил с хронической почечной недостаточностью, хр. пиелонефрит. Анемия не ясной этиологии. Гемоглобин 70, эритроциты 2.1. У эксперта возник вопрос о лейкозах, взята грудина с костным мозгом на исследование.Судебная медицина - Прикрепленное изображение Судебная медицина - Прикрепленное изображение Судебная медицина - Прикрепленное изображение Судебная медицина - Прикрепленное изображение Судебная медицина - Прикрепленное изображение Судебная медицина - Прикрепленное изображение Может есть у кого какие нибудь предположения. Фото не мои, а коллеги.
Пользователь offline
К началу страницы
+Ответить с цитированием
 
>   Ответов(1 - 8) >
Медик
сообщение 20.07.2017 - 13:07
Сообщение #2


Учитель
Group Icon
Группа: Модераторы
Регистрация: 16.05.2010
Пользователь №: 21 553


Что в препаратах внутренних органов ?
Пользователь offline
К началу страницы
+Ответить с цитированием
IVANNES
сообщение 20.07.2017 - 13:19
Сообщение #3


Опытный участник

Группа: СМЭ
Регистрация: 28.02.2015
Пользователь №: 41 483


Цитата(Медик @ 20.07.2017 - 13:07)
Что в препаратах внутренних органов ?

В микропрепаратах хронический пиелонефрит в стадии обострения. Мозг, легкие-отек. Коранаросклероз 80%. Гипертоническая болезнь. Хронический гастрит, панкреатит. В стационаре пробыл 1 день, в коме, уремия.
Пользователь offline
К началу страницы
+Ответить с цитированием
Медик
сообщение 20.07.2017 - 13:50
Сообщение #4


Учитель
Group Icon
Группа: Модераторы
Регистрация: 16.05.2010
Пользователь №: 21 553


При хр.анемиях всегда будут изменения костного мозга.


Цитата(IVANNES @ 20.07.2017 - 12:53)
Анемия не ясной этиологии.

Сложностей в определении её этиологии в настоящем случае не вижу (см.анемическую форму хр.пиелонефрита).

Цитата(IVANNES @ 20.07.2017 - 14:19)
В микропрепаратах хронический пиелонефрит в стадии обострения. Мозг, легкие-отек. Коранаросклероз 80%. Гипертоническая болезнь. Хронический гастрит, панкреатит. В стационаре пробыл 1 день, в коме, уремия.

Лимфатические узлы,селезёнка конечно же не взяты,так как каких-либо макроскопических изменений со стороны их, танатолог не увидел.Верно ?

Сообщение отредактировал Медик - 20.07.2017 - 13:47
Пользователь offline
К началу страницы
+Ответить с цитированием
IVANNES
сообщение 20.07.2017 - 13:59
Сообщение #5


Опытный участник

Группа: СМЭ
Регистрация: 28.02.2015
Пользователь №: 41 483


Совершенно верно селезенка и ЛУ не взяты
Пользователь offline
К началу страницы
+Ответить с цитированием
Медик
сообщение 20.07.2017 - 14:02
Сообщение #6


Учитель
Group Icon
Группа: Модераторы
Регистрация: 16.05.2010
Пользователь №: 21 553


Р.S.Для Вас.
"Анемическая форма характеризуется доминированием в клинике анемии,обусловленной нарушением продукции эритропоэтина и влиянием интоксикации.Чаще выраженная анемия наблюдается при развитии ХПН...".
Диагностика болезней внутренних органов.А.Н.Окороков.2009г.Том 5,стр.426.

Сообщение отредактировал Медик - 20.07.2017 - 14:03
Пользователь offline
К началу страницы
+Ответить с цитированием
IVANNES
сообщение 20.07.2017 - 14:06
Сообщение #7


Опытный участник

Группа: СМЭ
Регистрация: 28.02.2015
Пользователь №: 41 483


Да, спасибо. С этим мы уже разобрались. Сейчас коллег интересует правильное описание микропрепарата костного мозга
Пользователь offline
К началу страницы
+Ответить с цитированием
доктор морфолог
сообщение 20.07.2017 - 21:25
Сообщение #8


Мастер I

Группа: СМЭ
Регистрация: 5.12.2013
Пользователь №: 38 421


Цитата(IVANNES @ 20.07.2017 - 14:53)
Ув. коллеги. Нужна помощь. Мужчина 50 лет умер в стационаре. Поступил с хронической почечной недостаточностью, хр. пиелонефрит. Анемия не ясной этиологии. Гемоглобин 70, эритроциты 2.1. У эксперта возник вопрос о лейкозах, взята грудина с костным мозгом на исследование.Судебная медицина - Прикрепленное изображение Судебная медицина - Прикрепленное изображение Судебная медицина - Прикрепленное изображение Судебная медицина - Прикрепленное изображение Судебная медицина - Прикрепленное изображение Судебная медицина - Прикрепленное изображение Может есть у кого какие нибудь предположения. Фото не мои, а коллеги.

Мононуклеарная лейкемоидная реакция костного мозга на фоне хрон.заболевании с тяжелой степени анемии.

Сообщение отредактировал доктор морфолог - 20.07.2017 - 21:27
Пользователь offline
К началу страницы
+Ответить с цитированием
Медик
сообщение 20.07.2017 - 23:05
Сообщение #9


Учитель
Group Icon
Группа: Модераторы
Регистрация: 16.05.2010
Пользователь №: 21 553


Препараты после декальцинации,качество неважное.


Сообщение отредактировал Медик - 20.07.2017 - 23:31
Пользователь offline
К началу страницы
+Ответить с цитированием




- Обратная связь Сейчас: 10.11.2025 - 22:37