Здравствуйте, гость ( Вход | Регистрация )

Форум судебных медиков России
>

Инфаркт миокарда у кошки?

>
Catherine
сообщение 26.07.2017 - 00:50
Сообщение #1


Вновь прибывший

Группа: Участники
Регистрация: 10.02.2016
Пользователь №: 43 437


Здравствуйте, уважаемые форумчане.
Я являюсь начинающим ветеринарным врачом со специализацией по вскрытию мелких домашних животных. Так как общая патанатомия почти полностью совпадает у людей и животных, то хотелось бы узнать ваше мнение по следующему случаю.
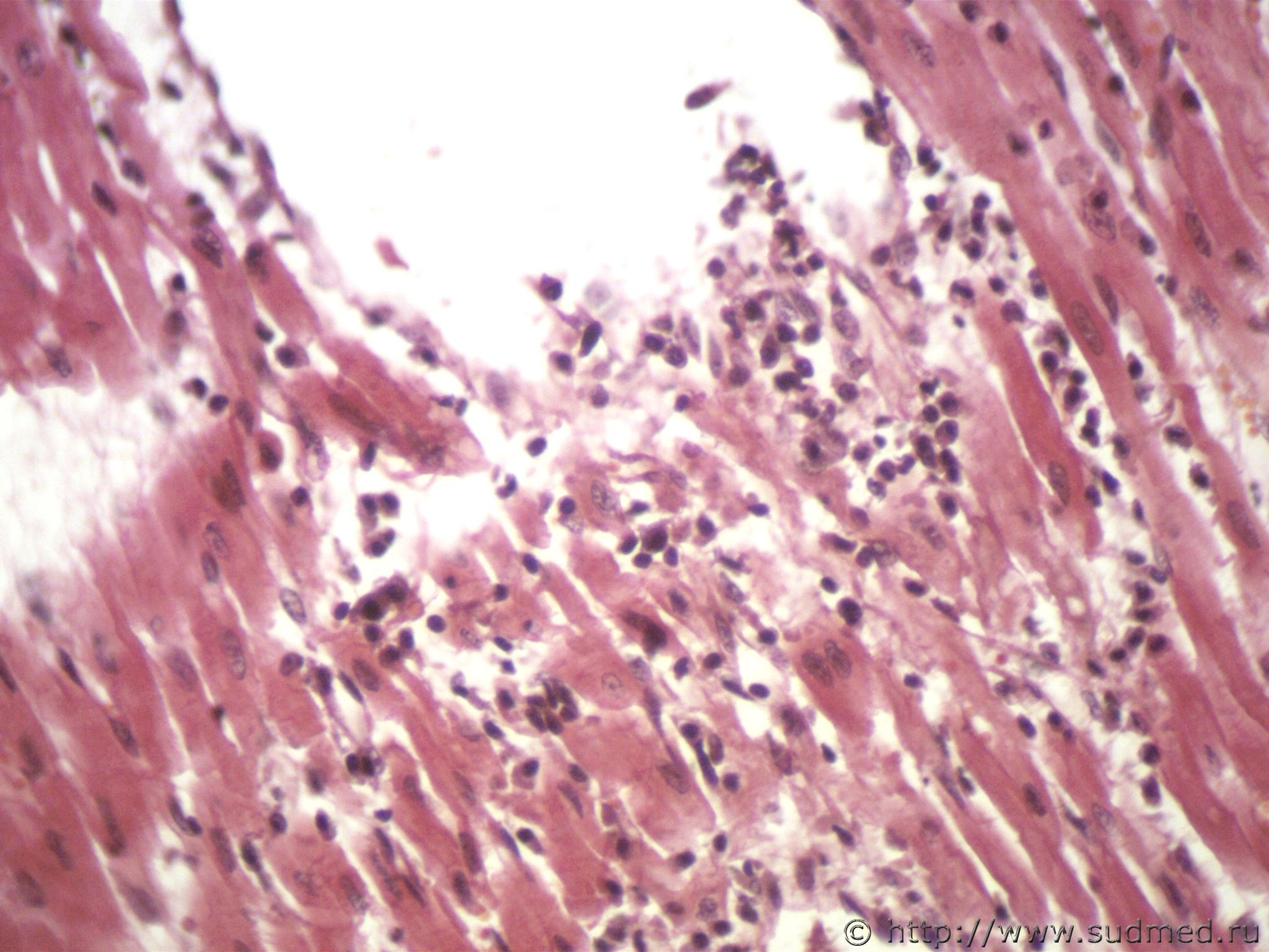
Кошка 8 месяцев. На вскрытии обнаружены полосчатые кровоизлияния миокарда; в области верхушки сердца крупный белый очаг примерно 0,6х0,6см, на мой взгляд, представляющий собой инфаркт. Вопрос в том, что существует мнение, что инфаркт миокарда у кошек и собак невозможен по неясным лично мне причинам. Можно ли говорить об инфаркте в данном случае?
Фото макро: с вырезки (только верхушка сердца и часть левого желудочка)
гистология: окраска гематоксилин и эозин (1-4) и ГОФП методом (5-7).
С уважением.

Сообщение отредактировал Catherine - 26.07.2017 - 00:54


Эскизы прикрепленных изображений
Судебная медицина - Прикрепленное изображение Судебная медицина - Прикрепленное изображение Судебная медицина - Прикрепленное изображение Судебная медицина - Прикрепленное изображение Судебная медицина - Прикрепленное изображение Судебная медицина - Прикрепленное изображение Судебная медицина - Прикрепленное изображение Судебная медицина - Прикрепленное изображение
Пользователь offline
К началу страницы
+Ответить с цитированием
 
>   Ответов(1 - 4) >
Медик
сообщение 26.07.2017 - 10:42
Сообщение #2


Учитель
Group Icon
Группа: Модераторы
Регистрация: 16.05.2010
Пользователь №: 21 553


Все фото открыть не смог.
На тех микрофото,что открылись полностью или частично, картина продуктивного миокардита.
Макроскопически - фиброз эпикарда.
См.перикард.Должны быть хр.измения перикарда.
Пользователь offline
К началу страницы
+Ответить с цитированием
Catherine
сообщение 26.07.2017 - 11:20
Сообщение #3


Вновь прибывший

Группа: Участники
Регистрация: 10.02.2016
Пользователь №: 43 437


Спасибо большое за ответ! Буду набираться опыта.
Пользователь offline
К началу страницы
+Ответить с цитированием
доктор морфолог
сообщение 26.07.2017 - 22:43
Сообщение #4


Мастер I

Группа: СМЭ
Регистрация: 5.12.2013
Пользователь №: 38 421


Цитата(Catherine @ 26.07.2017 - 03:50)
Здравствуйте, уважаемые форумчане.
Я являюсь начинающим ветеринарным врачом со специализацией по вскрытию мелких домашних животных. Так как общая патанатомия почти полностью совпадает у людей и животных, то хотелось бы узнать ваше мнение по следующему случаю.
Кошка 8 месяцев. На вскрытии обнаружены полосчатые кровоизлияния миокарда; в области верхушки сердца крупный белый очаг примерно 0,6х0,6см, на мой взгляд, представляющий собой инфаркт. Вопрос в том, что существует мнение, что инфаркт миокарда у кошек и собак невозможен по неясным лично мне причинам. Можно ли говорить об инфаркте в данном случае?
Фото макро: с вырезки (только верхушка сердца и часть левого желудочка)
гистология: окраска гематоксилин и эозин (1-4) и ГОФП методом (5-7).
С уважением.

каким образом вы вызвали предполагаемого вами инфаркта миокарда т.е. перевязывали ли коронарный сосуд или вызвали эмболизацию либо тромбом? на рисунках имеет место, кроме установленного диагнозом ув.Медиком и добавлю еще ушиб миокарда ввиде стромального кровоизлияния и кардиомиоцитолизиса т.е.повреждения кардиомиоцитов и безядерных и дезориентации ядра(смещения ядра от центра).
Пользователь offline
К началу страницы
+Ответить с цитированием
Catherine
сообщение 28.07.2017 - 01:17
Сообщение #5


Вновь прибывший

Группа: Участники
Регистрация: 10.02.2016
Пользователь №: 43 437


[quote name='доктор морфолог' date='26.07.2017 - 22:43' post='234599']каким образом вы вызвали предполагаемого вами инфаркта миокарда т.е. перевязывали ли коронарный сосуд или вызвали эмболизацию либо тромбом?

Это кошка не из эксперимента. Вот данные, которыми располагаю из истории болезни. Поступила в ветеринарную клинику с температурой 39,8С (субфебрильная для них). Слизистые оболочки иктеричны; наблюдалась одышка. Глюкоза крови 3,6 ммоль/л (при норме до 6,8 ммоль/л), повышение уровня АЛТ, АСТ, а также гипокальциемия (по данным показателям конкретных значений в карточке (истории болезни) не указано). При инфузии 5%-ным раствором глюкозы через 6 часов после поступления уровень глюкозы возрос до 11,8 ммоль/л, через 3 часа опустился до 1,4 ммоль/л, температура тела опустилась до 34С. Следующий день состояние тяжелое, уровень гюкозы 1,4-3,6 ммоль/л в течение дня. Гибель в 4:20 утра следующего дня (спустя 32 часа после поступления).
Про инфаркт подумала как про следствие длительной ишемии миокарда, к тому же, смутили повышение уровня АСТ, и понижение уровня кальция.
Касательно ушиба миокарда - в анамнезе и истории болезни не нашла каких-либо указаний на физическое воздействие. Да и при вскрытии - грудная клетка целая, кровоизлияний в мышцах и подкожной клетчатке нет, переломы ребер отсутствуют.
Пользователь offline
К началу страницы
+Ответить с цитированием




- Обратная связь Сейчас: 4.11.2025 - 11:31