Здравствуйте, гость ( Вход | Регистрация )

Форум судебных медиков России
>

Микозая пневмония?

>
IVANNES
сообщение 1.03.2018 - 15:09
Сообщение #1


Опытный участник

Группа: СМЭ
Регистрация: 28.02.2015
Пользователь №: 41 483


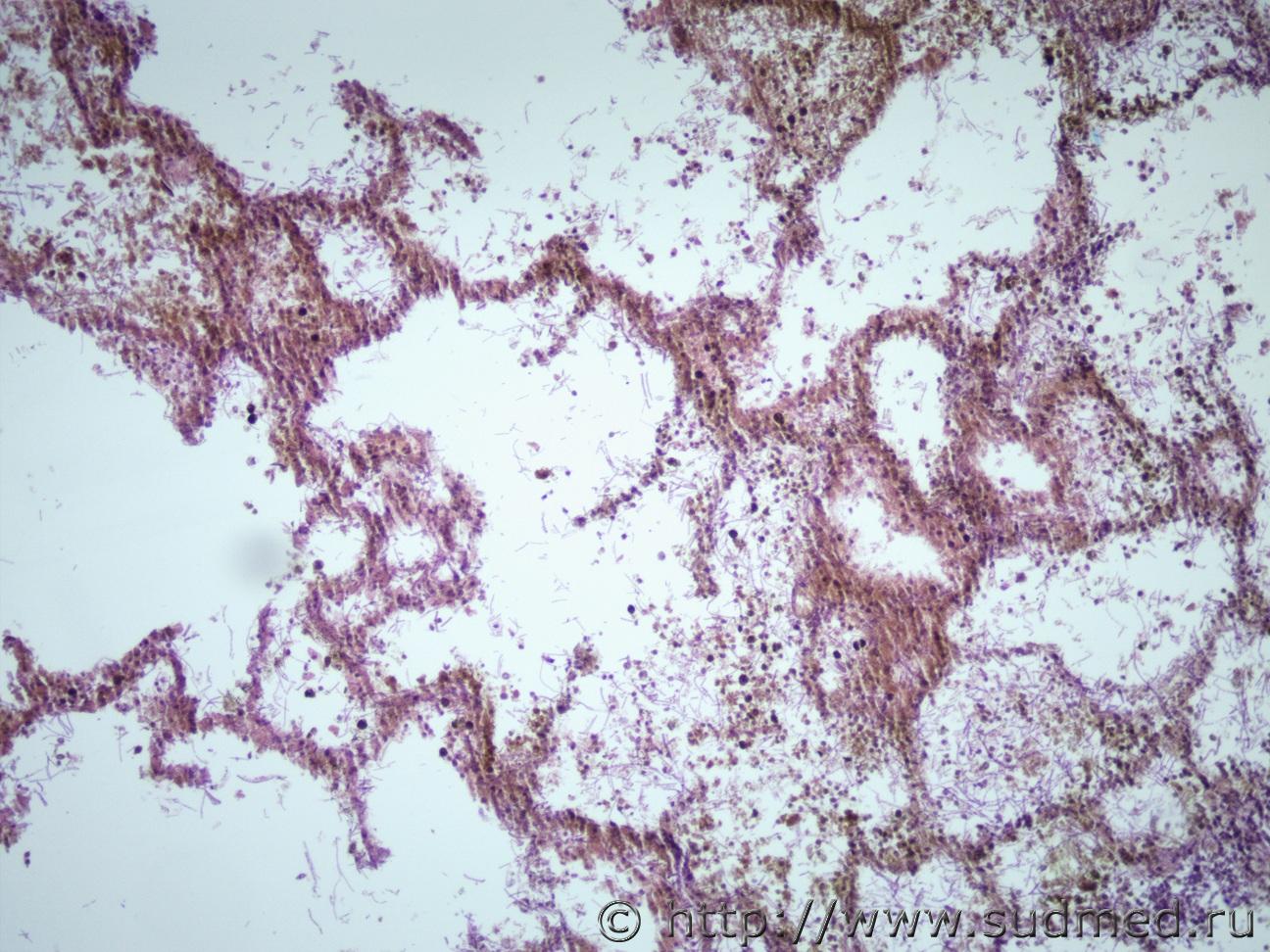
Добрый день уважаемые коллеги. Возник вопрос, точнее хочется уточнить для себя. В первые сталкиваюсь с такой пневмонией, с картинок атласов очень похоже на аспергиллез, но хочется окончательно убедится. Судебная медицина - Прикрепленное изображение Судебная медицина - Прикрепленное изображениеСудебная медицина - Прикрепленное изображениеСудебная медицина - Прикрепленное изображениеСудебная медицина - Прикрепленное изображение
Судебная медицина - Прикрепленное изображениеСудебная медицина - Прикрепленное изображениеСудебная медицина - Прикрепленное изображениеСудебная медицина - Прикрепленное изображение
Пользователь offline
К началу страницы
+Ответить с цитированием
 
>   Ответов(1 - 4) >
Anton
сообщение 1.03.2018 - 20:48
Сообщение #2


Мастер II

Группа: СМЭ
Регистрация: 6.12.2011
Из: Опорный край державы
Пользователь №: 30 279


По всему - грибы. ВИЧ? Сколько лет?
Пользователь offline
К началу страницы
+Ответить с цитированием
Медик
сообщение 1.03.2018 - 21:35
Сообщение #3


Учитель
Group Icon
Группа: Модераторы
Регистрация: 16.05.2010
Пользователь №: 21 553


Цитата(IVANNES @ 1.03.2018 - 16:09)
похоже на аспергиллез

Похоже.
На одних фото - гнойный аспергиллёз,на других - аспергиллёз-мицетома.
Пользователь offline
К началу страницы
+Ответить с цитированием
IVANNES
сообщение 2.03.2018 - 09:29
Сообщение #4


Опытный участник

Группа: СМЭ
Регистрация: 28.02.2015
Пользователь №: 41 483


муж 65 лет. Информации о наличии ВИЧ у нас нет.
Пользователь offline
К началу страницы
+Ответить с цитированием
доктор морфолог
сообщение 8.04.2018 - 17:33
Сообщение #5


Мастер I

Группа: СМЭ
Регистрация: 5.12.2013
Пользователь №: 38 421


Цитата(Медик @ 2.03.2018 - 00:35)
Похоже.
На одних фото - гнойный аспергиллёз,на других - аспергиллёз-мицетома.

Верно! Аспергиллезная пневмония.
Пользователь offline
К началу страницы
+Ответить с цитированием




- Обратная связь Сейчас: 13.12.2025 - 17:47