Здравствуйте, гость ( Вход | Регистрация )

Форум судебных медиков России
>

Рак легкого

>
IVANNES
сообщение 28.03.2018 - 13:16
Сообщение #1


Опытный участник

Группа: СМЭ
Регистрация: 28.02.2015
Пользователь №: 41 483


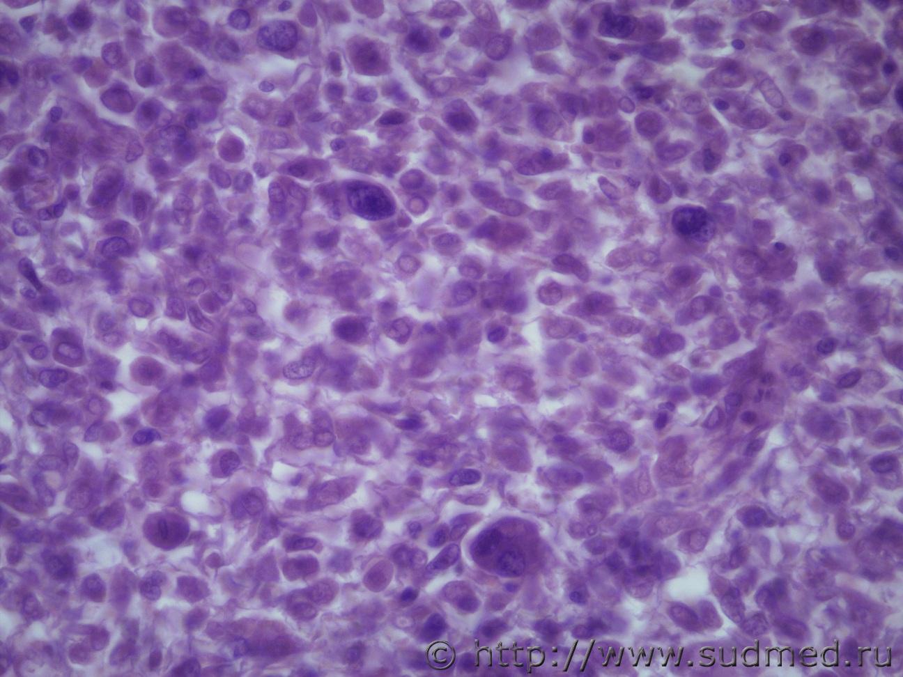
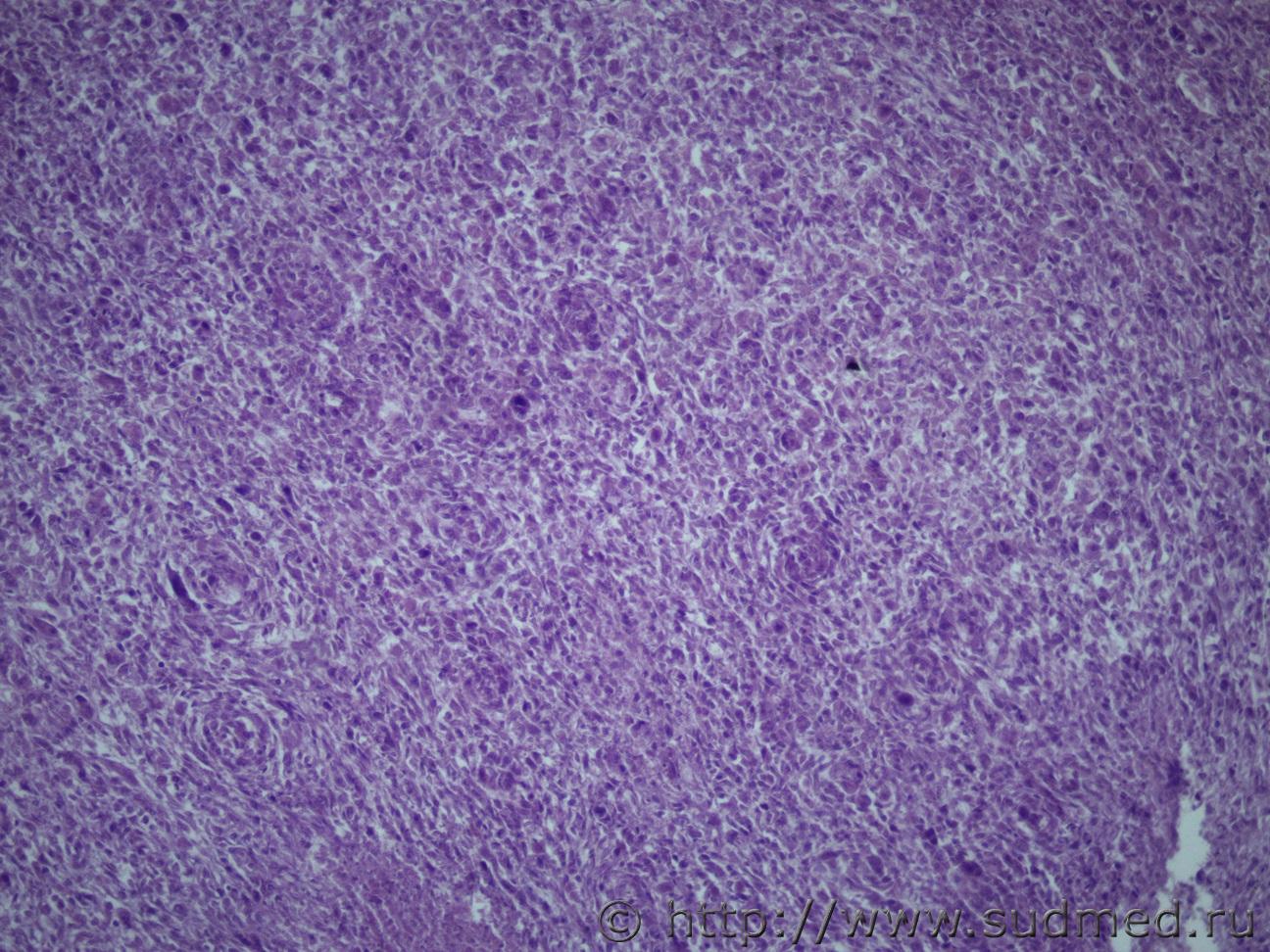
Ув. коллеги помогите определиться с раком легкого. Муж 63 года.Судебная медицина - Прикрепленное изображение Судебная медицина - Прикрепленное изображениеСудебная медицина - Прикрепленное изображениеСудебная медицина - Прикрепленное изображениеСудебная медицина - Прикрепленное изображение
Судебная медицина - Прикрепленное изображениеСудебная медицина - Прикрепленное изображениеСудебная медицина - Прикрепленное изображениеСудебная медицина - Прикрепленное изображение
Судебная медицина - Прикрепленное изображение
Пользователь offline
К началу страницы
+Ответить с цитированием
 
>   Ответов(1 - 2) >
Медик
сообщение 28.03.2018 - 13:34
Сообщение #2


Учитель
Group Icon
Группа: Модераторы
Регистрация: 16.05.2010
Пользователь №: 21 553


Плоскоклеточный низкодифференцированный рак.
Пользователь offline
К началу страницы
+Ответить с цитированием
Anton
сообщение 28.03.2018 - 16:52
Сообщение #3


Мастер II

Группа: СМЭ
Регистрация: 6.12.2011
Из: Опорный край державы
Пользователь №: 30 279


Он.
Пользователь offline
К началу страницы
+Ответить с цитированием




- Обратная связь Сейчас: 4.11.2025 - 10:45