Здравствуйте, гость ( Вход | Регистрация )

Форум судебных медиков России
>

Злокачественное образование глотки

>
IVANNES
сообщение 13.08.2018 - 10:33
Сообщение #1


Опытный участник

Группа: СМЭ
Регистрация: 28.02.2015
Пользователь №: 41 483


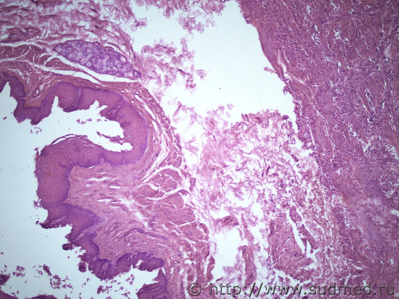
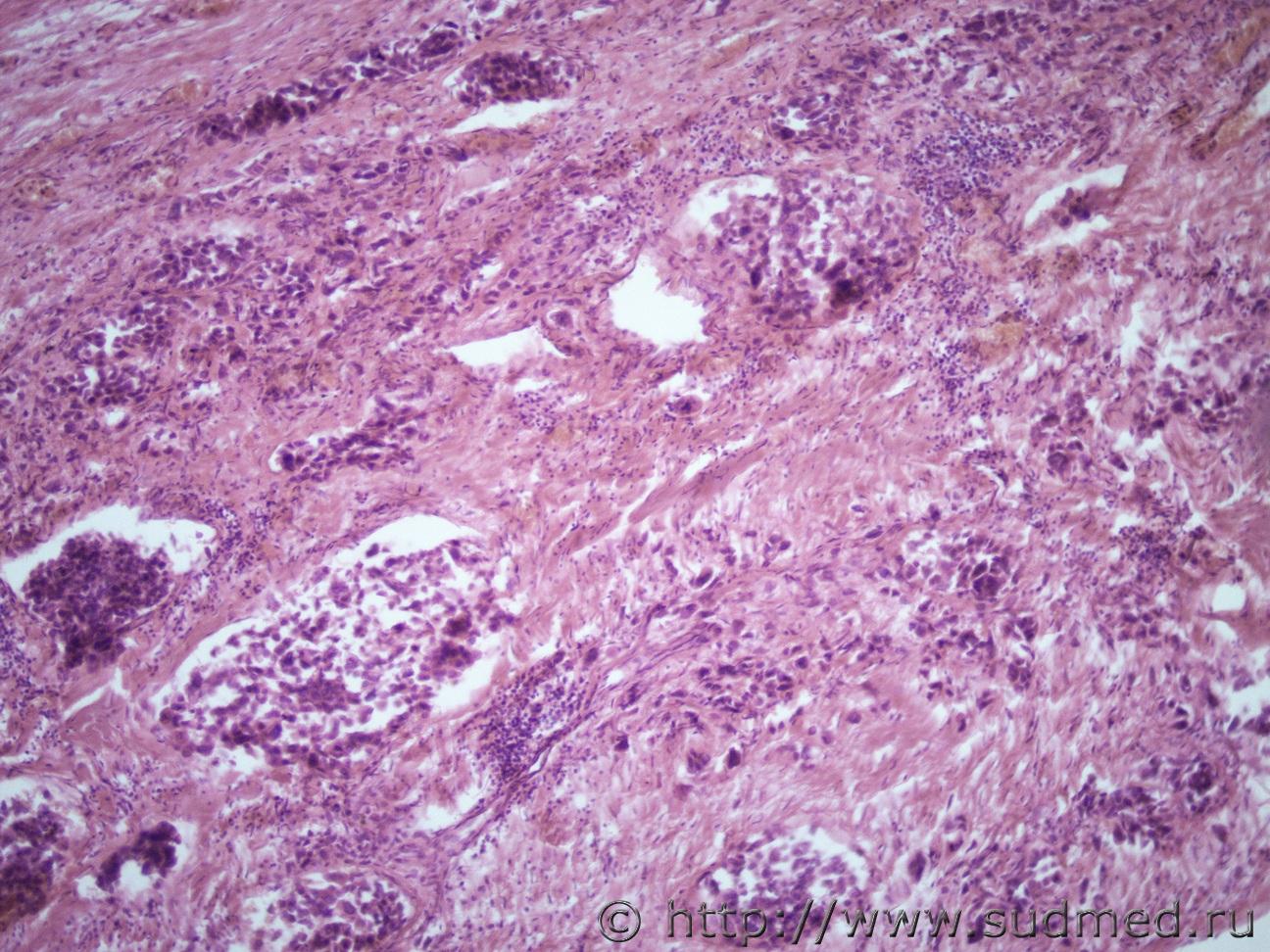
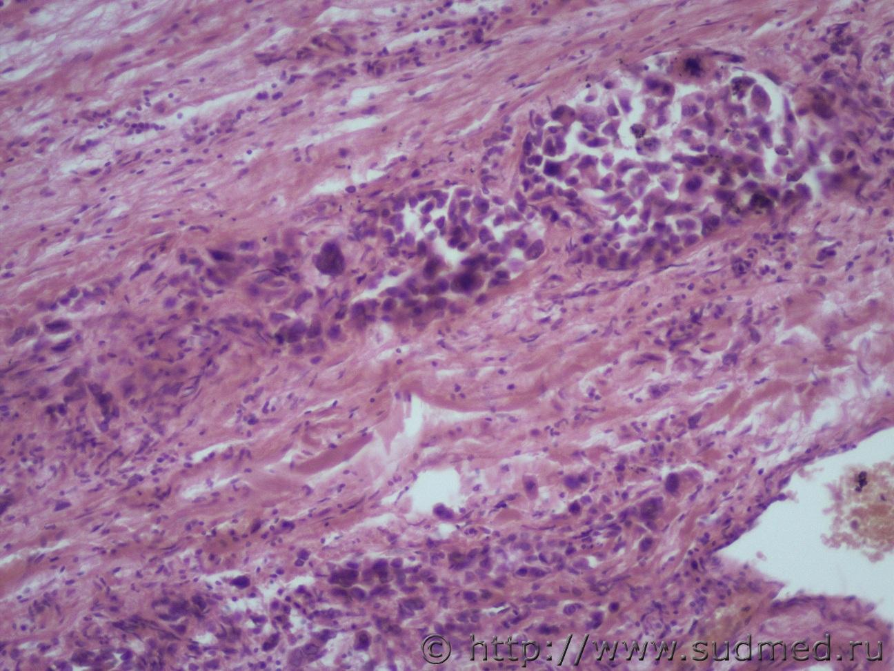
Ув. коллеги я как всегда к Вам с опухолью))). Муж 70 лет. Новообразование глотки справа с прорастанием в прилежащие мягкие ткани шеи, множественные метастазы в правое легкое, печень, подчелюстные и шейные лимфатические узлы.Судебная медицина - Прикрепленное изображение Судебная медицина - Прикрепленное изображениеСудебная медицина - Прикрепленное изображениеСудебная медицина - Прикрепленное изображениеСудебная медицина - Прикрепленное изображение
Судебная медицина - Прикрепленное изображениеСудебная медицина - Прикрепленное изображениеСудебная медицина - Прикрепленное изображениеСудебная медицина - Прикрепленное изображение
Судебная медицина - Прикрепленное изображениеСудебная медицина - Прикрепленное изображение Последние 3 легкие.
Пользователь offline
К началу страницы
+Ответить с цитированием
 
>   Ответов(1 - 3) >
Медик
сообщение 13.08.2018 - 22:48
Сообщение #2


Учитель
Group Icon
Группа: Модераторы
Регистрация: 16.05.2010
Пользователь №: 21 553


Аденокарцинома.
Пользователь offline
К началу страницы
+Ответить с цитированием
IVANNES
сообщение 15.08.2018 - 08:36
Сообщение #3


Опытный участник

Группа: СМЭ
Регистрация: 28.02.2015
Пользователь №: 41 483


Спасибо. Перестраховалась.
Пользователь offline
К началу страницы
+Ответить с цитированием
доктор морфолог
сообщение 20.08.2018 - 18:00
Сообщение #4


Мастер I

Группа: СМЭ
Регистрация: 5.12.2013
Пользователь №: 38 421


Цитата(IVANNES @ 13.08.2018 - 13:33)
Ув. коллеги я как всегда к Вам с опухолью))). Муж 70 лет. Новообразование глотки справа с прорастанием в прилежащие мягкие ткани шеи, множественные метастазы в правое легкое, печень, подчелюстные и шейные лимфатические узлы.Судебная медицина - Прикрепленное изображение Судебная медицина - Прикрепленное изображениеСудебная медицина - Прикрепленное изображениеСудебная медицина - Прикрепленное изображениеСудебная медицина - Прикрепленное изображение
Судебная медицина - Прикрепленное изображениеСудебная медицина - Прикрепленное изображениеСудебная медицина - Прикрепленное изображениеСудебная медицина - Прикрепленное изображение
Судебная медицина - Прикрепленное изображениеСудебная медицина - Прикрепленное изображение Последние 3 легкие.

Похоже на mts ацинарноклеточной карциномы из легких. Многослойная плоскоклеточная структура вроде интактна, где глотка😏
Пользователь offline
К началу страницы
+Ответить с цитированием




- Обратная связь Сейчас: 4.11.2025 - 04:11