Здравствуйте, гость ( Вход | Регистрация )

Форум судебных медиков России
>

Рак кожи с метастазами в легкие и почки

>
IVANNES
сообщение 3.12.2018 - 13:01
Сообщение #1


Опытный участник

Группа: СМЭ
Регистрация: 28.02.2015
Пользователь №: 41 483


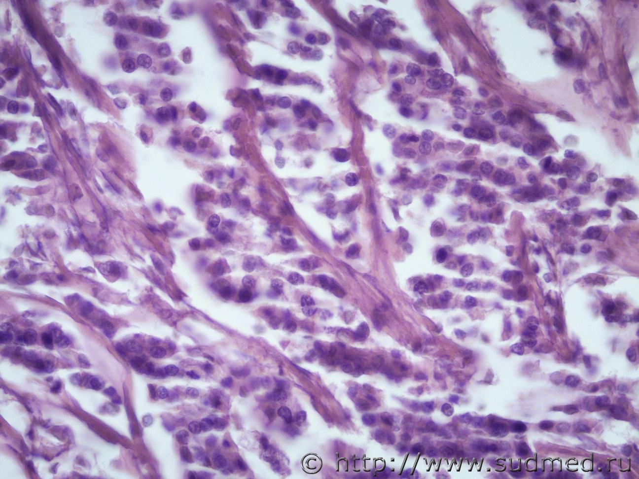
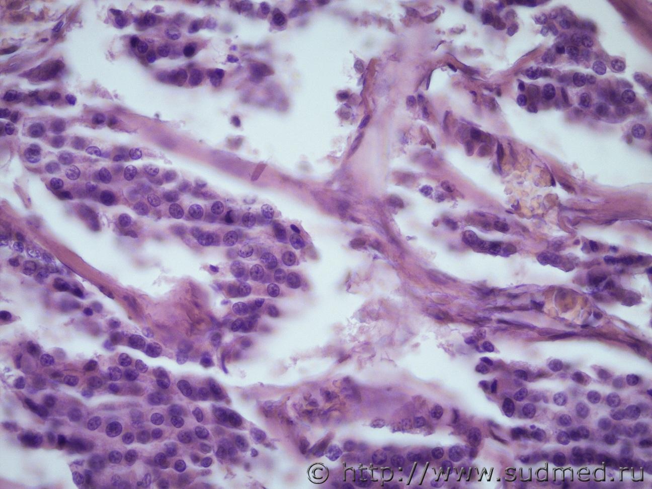
Муж 70 лет, на препаратах кожаСудебная медицина - Прикрепленное изображение Судебная медицина - Прикрепленное изображениеСудебная медицина - Прикрепленное изображениеСудебная медицина - Прикрепленное изображениеСудебная медицина - Прикрепленное изображение
Судебная медицина - Прикрепленное изображениеСудебная медицина - Прикрепленное изображение
Пользователь offline
К началу страницы
+Ответить с цитированием
 
>   Ответов(1 - 3) >
Медик
сообщение 3.12.2018 - 22:09
Сообщение #2


Учитель
Group Icon
Группа: Модераторы
Регистрация: 16.05.2010
Пользователь №: 21 553


Не из придатков ли кожи ?


Сообщение отредактировал Медик - 3.12.2018 - 22:10
Пользователь offline
К началу страницы
+Ответить с цитированием
Медик
сообщение 5.12.2018 - 10:02
Сообщение #3


Учитель
Group Icon
Группа: Модераторы
Регистрация: 16.05.2010
Пользователь №: 21 553


Один из предполагаемых вариантов - меланома.
Препараты с эпидермисом есть ?

Сообщение отредактировал Медик - 5.12.2018 - 10:03
Пользователь offline
К началу страницы
+Ответить с цитированием
IVANNES
сообщение 11.12.2018 - 08:58
Сообщение #4


Опытный участник

Группа: СМЭ
Регистрация: 28.02.2015
Пользователь №: 41 483


Прошу прощение, что не отвечаю. это не мой случай, коллеги попросили выставить фото, нюансов не знаю.
Пользователь offline
К началу страницы
+Ответить с цитированием




- Обратная связь Сейчас: 8.11.2025 - 07:17