Здравствуйте, гость ( Вход | Регистрация )

Форум судебных медиков России
>

Опухоль ПЖ

>
IVANNES
сообщение 19.09.2019 - 10:47
Сообщение #1


Опытный участник

Группа: СМЭ
Регистрация: 28.02.2015
Пользователь №: 41 483


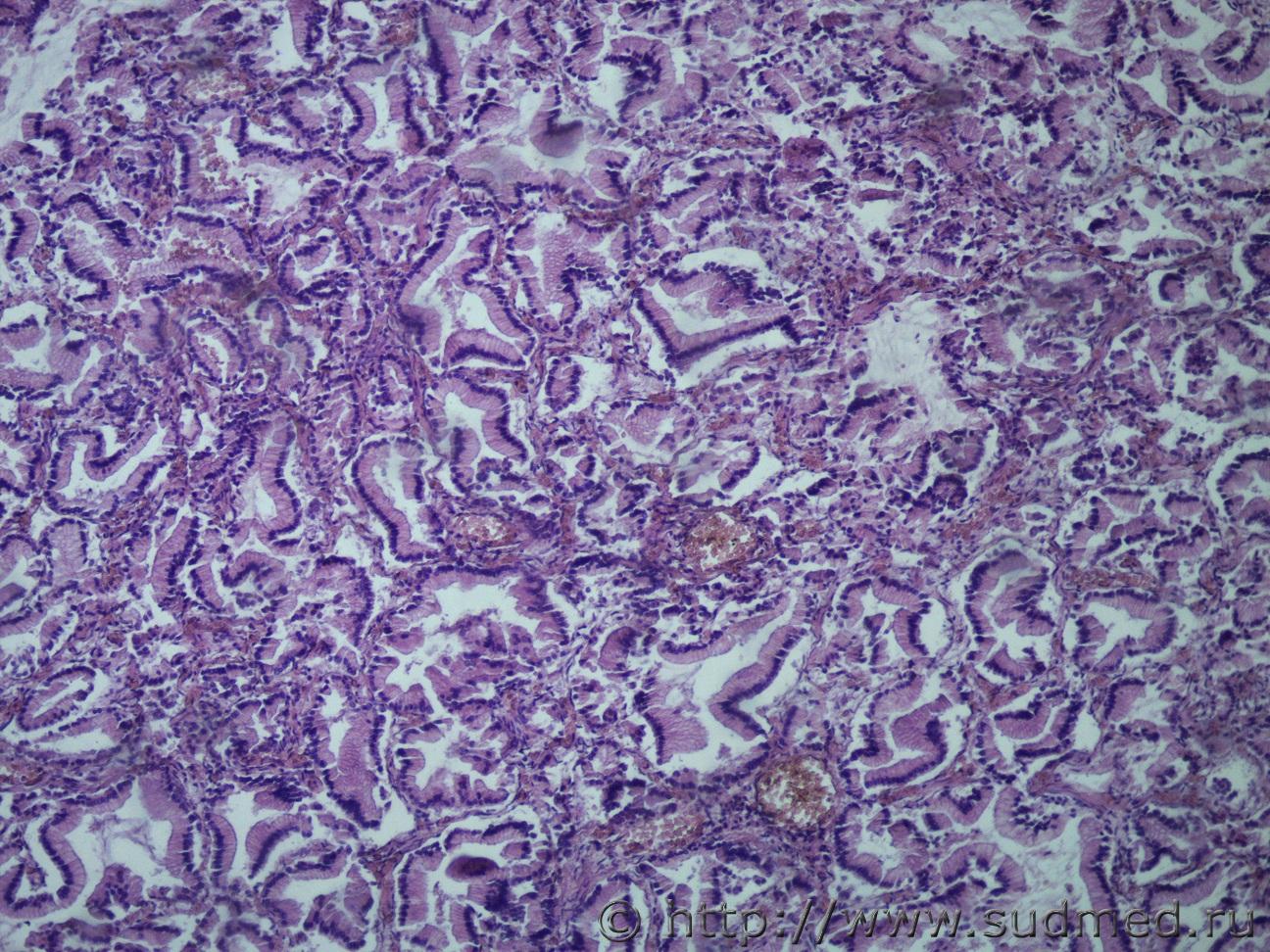
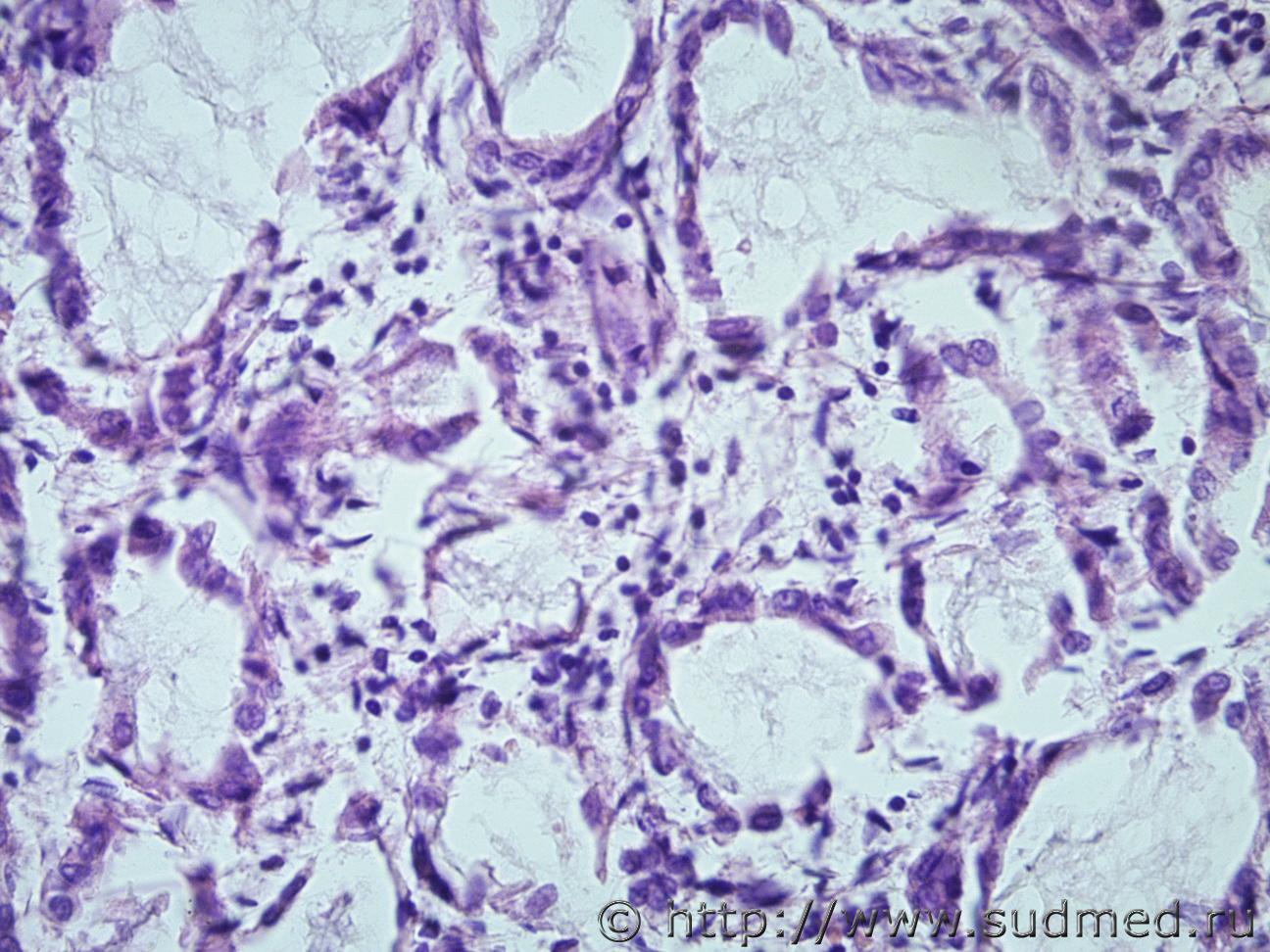
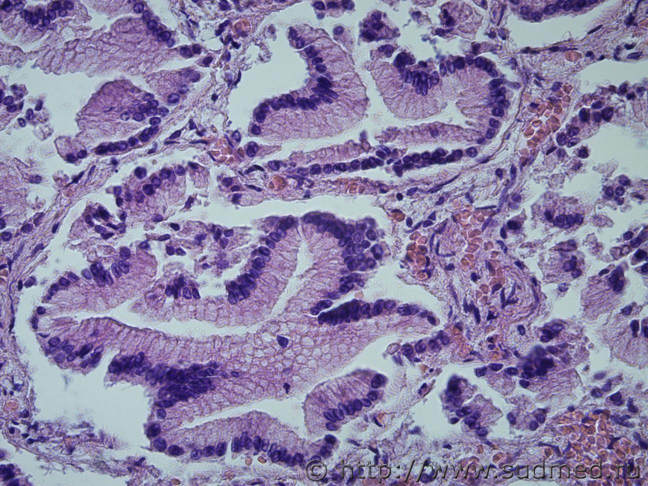
Ув. коллеги, сегодня в рубрике опухоль поджелудочной железы с метастазами в легкие. Муж, 80лет.
Легкие Судебная медицина - Прикрепленное изображениеСудебная медицина - Прикрепленное изображениеСудебная медицина - Прикрепленное изображение ПЖ Судебная медицина - Прикрепленное изображениеСудебная медицина - Прикрепленное изображениеСудебная медицина - Прикрепленное изображениеСудебная медицина - Прикрепленное изображение
Судебная медицина - Прикрепленное изображение
Похоже на муцинозную цистаденокарциному? В легких очень красивый эпителий, а вот в поджелудочной такого эпителия очень мало(((
Пользователь offline
К началу страницы
+Ответить с цитированием
 
>   Ответов(1 - 3) >
Anton
сообщение 19.09.2019 - 14:07
Сообщение #2


Мастер II

Группа: СМЭ
Регистрация: 6.12.2011
Из: Опорный край державы
Пользователь №: 30 279


Похоже.
Пользователь offline
К началу страницы
+Ответить с цитированием
Медик
сообщение 19.09.2019 - 20:25
Сообщение #3


Учитель
Group Icon
Группа: Модераторы
Регистрация: 16.05.2010
Пользователь №: 21 553


Цитата(IVANNES @ 19.09.2019 - 11:47)
Похоже на муцинозную цистаденокарциному?

Да.

Цитата(IVANNES @ 19.09.2019 - 11:47)
цистаденокарциному

В гист.Акте печатайте без "цист". Просто, "муцинозная аденокарцинома".
Пользователь offline
К началу страницы
+Ответить с цитированием
IVANNES
сообщение 20.09.2019 - 09:37
Сообщение #4


Опытный участник

Группа: СМЭ
Регистрация: 28.02.2015
Пользователь №: 41 483


Всем спасибо smile.gif
Пользователь offline
К началу страницы
+Ответить с цитированием




- Обратная связь Сейчас: 3.11.2025 - 20:54