Здравствуйте, гость ( Вход | Регистрация )

Форум судебных медиков России
>

образование на коже нижней губы

>
новичок014
сообщение 29.07.2025 - 21:28
Сообщение #1


Вновь прибывший

Группа: Участники
Регистрация: 22.06.2025
Пользователь №: 47 401


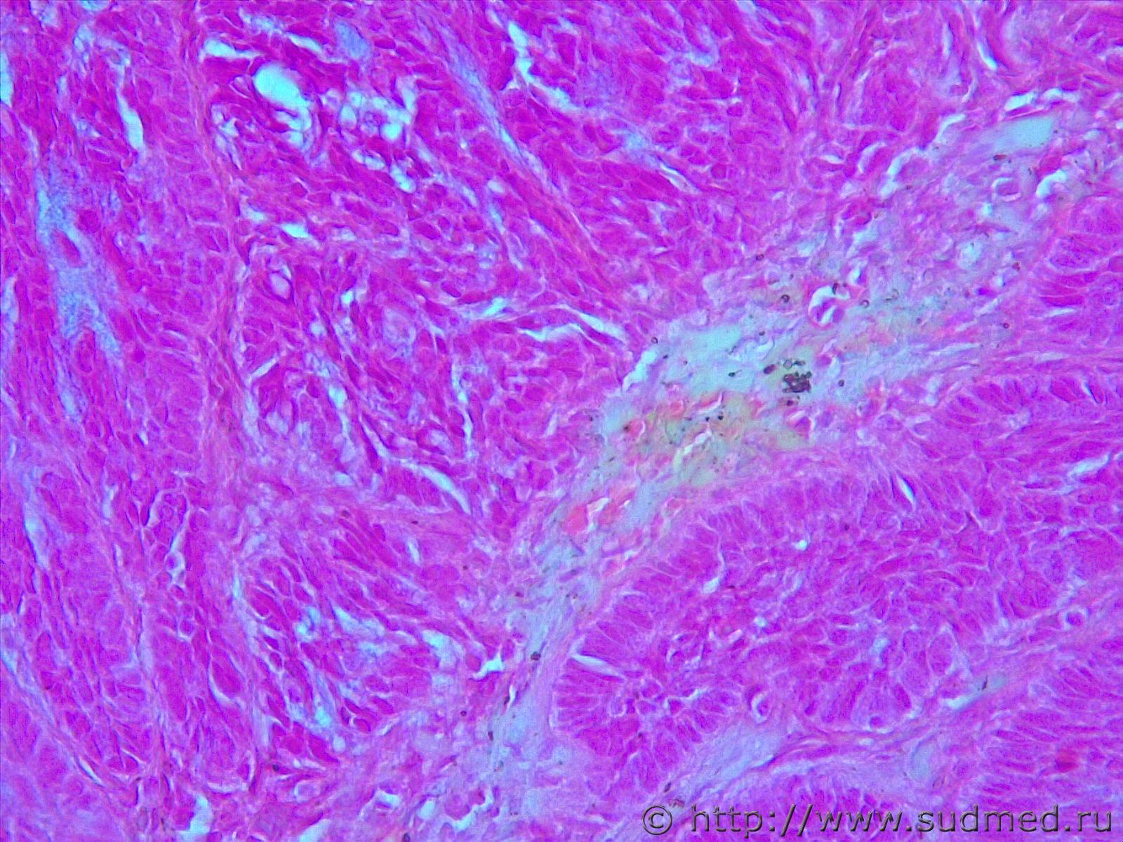
снова новообразование


Эскизы прикрепленных изображений
Судебная медицина - Прикрепленное изображение Судебная медицина - Прикрепленное изображение Судебная медицина - Прикрепленное изображение Судебная медицина - Прикрепленное изображение
Пользователь offline
К началу страницы
+Ответить с цитированием
 
>   Ответов(1 - 3) >
Медик
сообщение 30.07.2025 - 00:17
Сообщение #2


Учитель
Group Icon
Группа: Модераторы
Регистрация: 16.05.2010
Пользователь №: 21 553


Вероятно, это метатипический рак.
Пользователь offline
К началу страницы
+Ответить с цитированием
Медик
сообщение 30.07.2025 - 00:22
Сообщение #3


Учитель
Group Icon
Группа: Модераторы
Регистрация: 16.05.2010
Пользователь №: 21 553


Цитата(новичок014 @ 29.07.2025 - 22:28)
новообразование

Начальное, среднее, высшее ? wink.gif
Не лучше ли вместо "новообразование", применять слово "опухоль" ?

Сообщение отредактировал Медик - 30.07.2025 - 00:23
Пользователь offline
К началу страницы
+Ответить с цитированием
доктор морфолог
сообщение 4.11.2025 - 18:21
Сообщение #4


Мастер I

Группа: СМЭ
Регистрация: 5.12.2013
Пользователь №: 38 421


Цитата(новичок014 @ 30.07.2025 - 00:28)
снова новообразование

Похожи на Трихоэпителиому, нужно ИГХ верификация
Пользователь offline
К началу страницы
+Ответить с цитированием




- Обратная связь Сейчас: 11.11.2025 - 19:29