![]() |
![]() |
![]() |
![]() |
![]() |
Не просто иллюстрация, Сомневаюсь я, однако... |
![]() |
| vulture |
11.01.2006 - 18:26
Сообщение
#1 |
|
|
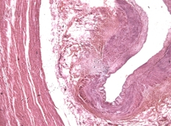
Ув. коллеги сравнительно свежий случай. Смотрю случай одного сотрудника. Патологоанатомический диагноз в направлении "Острая коронарная недостаточность? Отравление алкоголем?". Умершенму - 48 лет. В макроописании сердце весом 380 г и... ничего особенного. Глядь, а там в одном кусочке сердца в толще миокарда - здоровенная такая артерия с утолщенными, местами склерозированными стенками, подчеркнутой эластической мембраной. Меня сразу мысль в лоб шандарахнула - а не bridging ли это? Помните кажется летом у Andrey'a была тема про этот феномен (уж не знаю как его перевести на русский язык). Я под впечатлением того обсуждения попытался тогда даже для себя небольщшой обзорчик составить, но нигде в отеч. лит-ре ничего об этом не встретил. Кстати в зарубежных изданиях тоже не везде об этом написано (у Robbins'a нет ничего, например).
Посмотрев стекло, я с вопросами к эксперту. Алкоголь в крови и моче - "по нулям". Ничего экстраординарного в расположении венечных артерий он не заметил (а скорее всего не обратил на это внимания, хотя про bridging я ему рассказывал Короче, кто что думает? Bridging это, все-таки, или не bridging? Ps вся артерия в кадр не поместилась, но поверьте мне на слово, плиз, вокруг нее со всех сторон миокард ________________________ Добавил по просьбе vulture еще одну фотографию. Эскизы прикрепленных изображений |
![]() |
![]() |
![]() |
Сообщений в этой теме |
![]() |
vulture Не просто иллюстрация 11.01.2006 - 18:26
Борода Ну раз такой интерес, то гляну у нас в библиотеке.... 12.01.2006 - 01:21
vulture
в предложенном случае вероятнее всего была именно... 12.01.2006 - 10:11
Борода Myocardial bridges of anterior descending branch o... 19.01.2006 - 14:41
Борода ссылка с паролем у меня не работает :o 19.01.2006 - 14:47
vulture Спасибо большое, Борода, за статью. Можт,я, конечн... 19.01.2006 - 18:48
vulture Ув. коллеги, на днях попала в руки одна книженция:... 26.01.2006 - 13:05
vulture К сожалению скан статьи не влез в предыдущий пост. 26.01.2006 - 13:11
vulture 2-я и 3-я страницы статьи 26.01.2006 - 13:13
йцук Оч-чень интересная и продуктивная получилась ветка... 26.01.2006 - 14:48
Алексей Уважаемый Vulture, а можно в файн ридер и на РМ ил... 26.01.2006 - 21:02
vulture Сегодня коллега вскрывал труп.
Мужчина, 43 лет, д... 24.07.2006 - 12:00
йцук Было в моей практике два случая, после укуса ос и ... 24.07.2006 - 12:25
Aleks День добрый!
....... Даже без явных аллергиче... 25.07.2006 - 12:37
йцук
День добрый!
....... Даже без явных аллергич... 25.07.2006 - 13:34
Мих Уважаемый vulture!! А как выглядила гортан... 24.07.2006 - 12:31
vulture
В гортань заглянули первым делом. Слизистая обол... 24.07.2006 - 12:31
йцук
В гортань заглянули первым делом. Слизистая оболо... 24.07.2006 - 12:48
Борода А с сердцем всё нормально было? 24.07.2006 - 23:21
Severina Возможно отёк легких и головного мозга. 24.07.2006 - 23:31
FILIN Спасибо за фотографии.
Интересные.
Встречались т... 25.07.2006 - 00:22
vulture
Не все. Масса сердца 649 г. Очаговых изменений н... 25.07.2006 - 09:05![]() ![]() |
| Сейчас: 11.11.2025 - 03:33 |